Learning

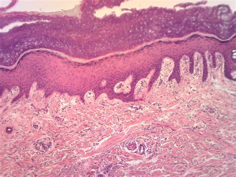
Stratified Squamous Epithelium Keratinized

Stratified Squamous Epithelium Keratinized
Stratified Squamous Epithelium Keratinized

Stratified squamous epithelium keratinized is a type of epithelial tissue that plays a crucial role in protecting the body from external stressors. This tissue is characterized by its multiple layers of flattened cells, which provide a robust barrier against mechanical stress, pathogens, and environmental hazards. Understanding the structure and function of stratified squamous epithelium keratinized is essential for appreciating its significance in various biological contexts.

Structure of Stratified Squamous Epithelium Keratinized

The stratified squamous epithelium keratinized is composed of several layers, each with distinct characteristics and functions. The primary layers include:

  • Basal Layer: This is the deepest layer, consisting of cuboidal or columnar cells that actively divide to produce new cells.
  • Spinous Layer: Located above the basal layer, this layer contains cells that are more flattened and have spines or projections that interconnect with neighboring cells.
  • Granular Layer: This layer is characterized by cells that contain keratin granules, which are essential for the keratinization process.
  • Cornified Layer: The outermost layer, composed of dead, keratinized cells that form a tough, waterproof barrier.

Each layer contributes to the overall strength and protective function of the stratified squamous epithelium keratinized. The keratinization process involves the accumulation of keratin, a fibrous protein that provides rigidity and durability to the cells.

Function of Stratified Squamous Epithelium Keratinized

The primary function of stratified squamous epithelium keratinized is to provide a protective barrier. This tissue is found in areas of the body that are subject to significant wear and tear, such as the skin, oral cavity, and esophagus. The keratinized cells in the outermost layer create a tough, waterproof barrier that:

  • Prevents water loss from the body.
  • Protects against mechanical damage.
  • Resists the entry of pathogens and toxins.

In addition to its protective role, stratified squamous epithelium keratinized also plays a part in sensory perception. The cells in this tissue can detect changes in temperature, pressure, and other stimuli, contributing to the body's overall sensory awareness.

Locations of Stratified Squamous Epithelium Keratinized

Stratified squamous epithelium keratinized is found in various locations throughout the body, including:

  • Skin: The epidermis, the outermost layer of the skin, is composed of stratified squamous epithelium keratinized. This tissue provides a protective barrier against environmental hazards and mechanical stress.
  • Oral Cavity: The lining of the mouth, including the cheeks, gums, and hard palate, is covered by stratified squamous epithelium keratinized. This tissue protects the underlying tissues from mechanical damage and pathogens.
  • Esophagus: The esophagus, which connects the mouth to the stomach, is lined with stratified squamous epithelium keratinized. This tissue protects the esophagus from the abrasive effects of food and liquids.
  • Vagina: The vaginal epithelium is also stratified squamous epithelium keratinized, providing a protective barrier against mechanical stress and pathogens.

In each of these locations, the stratified squamous epithelium keratinized serves to protect the underlying tissues and maintain the integrity of the body's surfaces.

Keratinization Process

The keratinization process is a critical aspect of stratified squamous epithelium keratinized. This process involves the transformation of living cells into dead, keratinized cells that form a tough, protective barrier. The key steps in the keratinization process include:

  • Cell Differentiation: Cells in the basal layer differentiate and migrate upward through the layers of the epithelium.
  • Granule Formation: As cells move through the spinous and granular layers, they begin to produce keratin granules.
  • Cell Death: In the cornified layer, cells undergo programmed cell death (apoptosis) and are filled with keratin.
  • Barrier Formation: The dead, keratinized cells form a tough, waterproof barrier that protects the underlying tissues.

The keratinization process ensures that the outermost layer of the epithelium is constantly renewed, maintaining its protective function.

๐Ÿ“ Note: The keratinization process is essential for the protective function of stratified squamous epithelium keratinized. Disruptions in this process can lead to various skin and mucosal disorders.

Clinical Significance of Stratified Squamous Epithelium Keratinized

The clinical significance of stratified squamous epithelium keratinized lies in its role in protecting the body from external stressors. Disorders affecting this tissue can have serious implications for health and well-being. Some common conditions associated with stratified squamous epithelium keratinized include:

  • Psoriasis: A chronic inflammatory skin condition characterized by the rapid proliferation of keratinocytes, leading to the formation of thick, scaly plaques.
  • Eczema: A condition that causes the skin to become red, itchy, and inflamed, often due to disruptions in the barrier function of the epidermis.
  • Oral Lichen Planus: A chronic inflammatory condition that affects the oral mucosa, characterized by white streaks or patches and ulcerations.
  • Esophageal Cancer: A malignant tumor that can arise from the stratified squamous epithelium of the esophagus, often associated with chronic inflammation and damage.

Understanding the structure and function of stratified squamous epithelium keratinized is crucial for diagnosing and managing these conditions effectively.

Histological Features of Stratified Squamous Epithelium Keratinized

The histological features of stratified squamous epithelium keratinized can be observed through microscopic examination. Key features include:

Layer Cell Shape Characteristics
Basal Layer Cuboidal or Columnar Actively dividing cells
Spinous Layer Flattened with Spines Interconnected cells
Granular Layer Flattened with Granules Contains keratin granules
Cornified Layer Flattened and Keratinized Dead, keratinized cells

These histological features provide valuable insights into the structure and function of stratified squamous epithelium keratinized, aiding in the diagnosis and management of various conditions.

๐Ÿ“ Note: Histological examination is a crucial tool for diagnosing disorders affecting stratified squamous epithelium keratinized. It allows for the detailed analysis of tissue structure and function.

Role in Wound Healing

Stratified squamous epithelium keratinized plays a vital role in wound healing. When the skin or mucosal surfaces are injured, the body initiates a complex process to repair the damage. The key steps in wound healing involving stratified squamous epithelium keratinized include:

  • Inflammation: The initial response to injury, characterized by the release of inflammatory mediators and the recruitment of immune cells.
  • Proliferation: The proliferation of keratinocytes and other cells to form new tissue.
  • Remodeling: The reorganization of the new tissue to restore its structure and function.

During the proliferation phase, keratinocytes in the basal layer rapidly divide and migrate to cover the wound surface. This process is essential for restoring the protective barrier function of the stratified squamous epithelium keratinized.

๐Ÿ“ Note: Proper wound healing requires the coordinated efforts of various cell types, including keratinocytes. Disruptions in this process can lead to delayed healing and increased risk of infection.

Stratified Squamous Epithelium Keratinized in Different Species

Stratified squamous epithelium keratinized is not unique to humans; it is found in various species across the animal kingdom. In different species, this tissue serves similar protective functions but may have unique adaptations. For example:

  • Mammals: In mammals, stratified squamous epithelium keratinized is found in the skin, oral cavity, and esophagus, providing protection against mechanical stress and pathogens.
  • Birds: In birds, the epidermis is highly keratinized, forming feathers that provide insulation and protection.
  • Reptiles: In reptiles, the epidermis is also highly keratinized, forming scales that protect against environmental hazards and predators.

These adaptations highlight the versatility and importance of stratified squamous epithelium keratinized in various biological contexts.

๐Ÿ“ Note: The structure and function of stratified squamous epithelium keratinized can vary significantly between species, reflecting their unique evolutionary adaptations.

Stratified squamous epithelium keratinized is a remarkable tissue that plays a crucial role in protecting the body from external stressors. Its structure, function, and clinical significance make it an essential topic of study in biology and medicine. Understanding this tissueโ€™s properties and adaptations can provide valuable insights into various biological processes and disorders, contributing to improved health and well-being.

Related Terms:

  • pictures of stratified squamous epithelium
  • stratified squamous epithelium keratinized location
  • stratified squamous location
  • stratified squamous keratinizing epithelium
  • keratinized stratified squamous epithelium drawing
  • what does stratified squamous mean
Facebook Twitter WhatsApp
Related Posts
Don't Miss