Learning

Aberrant Right Subclavian Artery

Aberrant Right Subclavian Artery
Aberrant Right Subclavian Artery

Vascular anomalies, particularly those involving the great vessels of the body, can present unique challenges in diagnosis and management. One such anomaly is the Aberrant Right Subclavian Artery (ARSA), a congenital condition that affects the branching pattern of the aortic arch. This condition, while relatively rare, has significant clinical implications that warrant a detailed understanding.

Understanding the Aberrant Right Subclavian Artery

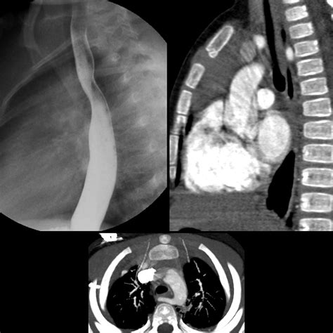
The Aberrant Right Subclavian Artery is a congenital vascular anomaly where the right subclavian artery arises from the descending aorta rather than the brachiocephalic trunk. This anomaly is often associated with other congenital heart defects and can lead to various symptoms depending on its severity and the presence of associated conditions.

Anatomy and Pathophysiology

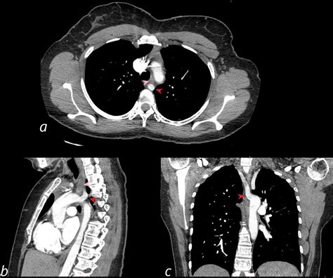
The normal aortic arch gives rise to three major branches: the brachiocephalic trunk, the left common carotid artery, and the left subclavian artery. In the case of ARSA, the right subclavian artery originates from the descending aorta, typically distal to the left subclavian artery. This aberrant vessel often passes behind the esophagus and trachea, which can cause compression and lead to symptoms.

The path of the aberrant right subclavian artery can vary, but it commonly follows one of two courses:

  • Retroesophageal: The artery passes behind the esophagus.
  • Paratracheal: The artery passes between the trachea and esophagus.

These variations can influence the clinical presentation and management of the condition.

Clinical Presentation

The clinical presentation of ARSA can vary widely, ranging from asymptomatic individuals to those with significant symptoms. Common symptoms include:

  • Dysphagia: Difficulty swallowing, often due to compression of the esophagus by the aberrant artery.
  • Respiratory Symptoms: Coughing, wheezing, or stridor, which may be due to tracheal compression.
  • Chest Pain: Especially during exertion, which can be due to reduced blood flow to the right arm.
  • Neurological Symptoms: Weakness or numbness in the right arm, which may be due to ischemia.

In many cases, ARSA is discovered incidentally during imaging studies performed for other reasons. The symptoms, when present, typically manifest in childhood or early adulthood.

Diagnostic Evaluation

The diagnosis of ARSA involves a combination of clinical evaluation and imaging studies. The following diagnostic modalities are commonly used:

  • Chest X-ray: May show an abnormal aortic arch contour or a right-sided aortic knob.
  • Barium Swallow: Can demonstrate an indentation on the posterior wall of the esophagus, suggestive of an aberrant vessel.
  • Computed Tomography Angiography (CTA): Provides detailed images of the aortic arch and its branches, confirming the diagnosis and defining the course of the aberrant artery.
  • Magnetic Resonance Angiography (MRA): Offers a non-invasive method to visualize the vascular anatomy, particularly useful in pediatric patients.
  • Echocardiography: Can be used to assess associated cardiac anomalies and evaluate the aortic arch.

Imaging studies are crucial for planning surgical intervention, if necessary.

Management and Treatment

The management of ARSA depends on the severity of symptoms and the presence of associated conditions. Treatment options include both conservative and surgical approaches.

Conservative Management

For asymptomatic patients or those with mild symptoms, conservative management is often sufficient. This may include:

  • Regular Follow-up: To monitor for any changes in symptoms or the development of associated conditions.
  • Symptomatic Treatment: Medications to manage dysphagia, respiratory symptoms, or chest pain.

Surgical Intervention

Surgical intervention is indicated for patients with severe symptoms or those at risk of complications. The goal of surgery is to relieve compression of the esophagus and trachea and restore normal blood flow to the right arm. Common surgical procedures include:

  • Division and Reimplantation: The aberrant artery is divided and reimplanted into the right common carotid artery or the brachiocephalic trunk.
  • Subclavian Artery Transposition: The aberrant artery is transposed to a more normal position, relieving compression on the esophagus and trachea.

Surgical outcomes are generally favorable, with most patients experiencing relief of symptoms and improved quality of life.

📝 Note: Surgical intervention should be performed by experienced vascular surgeons to minimize the risk of complications.

Complications and Prognosis

Complications of ARSA can include:

  • Esophageal Compression: Leading to dysphagia and potential esophageal strictures.
  • Tracheal Compression: Causing respiratory symptoms and potential airway obstruction.
  • Ischemia: Reduced blood flow to the right arm, leading to weakness, numbness, or claudication.

The prognosis for patients with ARSA is generally good, especially with early diagnosis and appropriate management. Most patients can lead normal lives with conservative management or surgical intervention, if necessary.

Associated Conditions

ARSA is often associated with other congenital anomalies, including:

  • Vascular Rings: Abnormalities in the branching pattern of the aortic arch that can cause compression of the trachea and esophagus.
  • Tetralogy of Fallot: A congenital heart defect characterized by four specific heart abnormalities.
  • Coarctation of the Aorta: A narrowing of the aorta, which can lead to hypertension and other cardiovascular complications.

These associated conditions can influence the clinical presentation and management of ARSA.

Case Studies and Clinical Examples

To illustrate the clinical presentation and management of ARSA, consider the following case studies:

Case Study 1: Asymptomatic ARSA

A 45-year-old woman presented for a routine health check-up. A chest X-ray revealed an abnormal aortic arch contour. Further evaluation with CTA confirmed the presence of an Aberrant Right Subclavian Artery with a retroesophageal course. The patient was asymptomatic and underwent regular follow-up without any intervention.

Case Study 2: Symptomatic ARSA

A 30-year-old man presented with a history of dysphagia and chest pain. A barium swallow demonstrated an indentation on the posterior wall of the esophagus. CTA confirmed the presence of an Aberrant Right Subclavian Artery with a retroesophageal course. The patient underwent surgical division and reimplantation of the aberrant artery, with significant improvement in symptoms post-operatively.

Future Directions in Research

Ongoing research is focused on improving the diagnosis and management of ARSA. Areas of interest include:

  • Advanced Imaging Techniques: Developing more sensitive and specific imaging modalities to detect ARSA and associated conditions.
  • Minimally Invasive Surgical Techniques: Exploring less invasive surgical approaches to reduce morbidity and improve outcomes.
  • Genetic Studies: Investigating the genetic basis of ARSA and its association with other congenital anomalies.

These advancements hold promise for enhancing the care and outcomes of patients with ARSA.

In conclusion, the Aberrant Right Subclavian Artery is a congenital vascular anomaly with significant clinical implications. Early diagnosis and appropriate management, whether conservative or surgical, are crucial for optimizing patient outcomes. Understanding the anatomy, pathophysiology, and associated conditions of ARSA is essential for healthcare providers to deliver effective care and improve the quality of life for affected individuals.

Related Terms:

  • aberrant right subclavian artery complications
  • aberrant right subclavian artery aneurysm
  • aberrant right subclavian artery treatment
  • aberrant right subclavian artery fetal
  • aberrant right subclavian artery ultrasound
  • aberrant right subclavian artery vomiting
Facebook Twitter WhatsApp
Related Posts
Don't Miss