Learning

Function Of Reticular Tissue

Function Of Reticular Tissue
Function Of Reticular Tissue

The human body is a complex system composed of various tissues, each with unique functions and characteristics. Among these, the function of reticular tissue is particularly intriguing due to its role in supporting and connecting other tissues. This type of connective tissue is found throughout the body, providing structural support and facilitating the movement of cells and substances. Understanding the function of reticular tissue is crucial for appreciating its significance in maintaining the body's overall health and functionality.

The Structure of Reticular Tissue

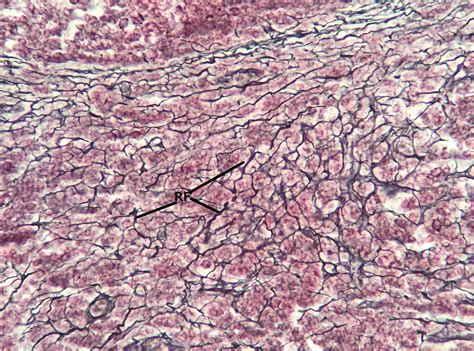
Reticular tissue is a type of loose connective tissue characterized by its delicate network of reticular fibers. These fibers are composed of type III collagen and are produced by specialized cells called reticular cells or fibroblasts. The reticular fibers form a fine meshwork that supports various organs and tissues, providing a framework for other cells to attach and move.

The Function of Reticular Tissue

The primary function of reticular tissue is to provide structural support and a scaffold for other cells. This tissue is particularly abundant in organs such as the liver, spleen, and lymph nodes, where it plays a crucial role in filtering blood and lymph. The reticular fibers create a network that allows for the efficient movement of cells and substances, facilitating processes such as immune response and blood filtration.

One of the key functions of reticular tissue is its role in the immune system. In the lymph nodes, reticular tissue forms a network that traps and filters foreign particles, such as bacteria and viruses. This filtration process helps to activate the immune response, enabling the body to defend against infections. Additionally, reticular tissue in the spleen helps to remove old or damaged red blood cells from circulation, contributing to the maintenance of healthy blood.

Another important function of reticular tissue is its role in supporting the structure of various organs. In the liver, reticular tissue provides a framework for hepatocytes, the cells responsible for detoxification and metabolism. This support is essential for the liver's ability to perform its functions efficiently. Similarly, in the bone marrow, reticular tissue supports the development and maturation of blood cells, ensuring a steady supply of red blood cells, white blood cells, and platelets.

Types of Reticular Tissue

Reticular tissue can be categorized into different types based on its location and function. The main types include:

  • Lymphoid Reticular Tissue: Found in lymph nodes, spleen, and other lymphoid organs, this type of reticular tissue supports the immune system by providing a framework for lymphocytes and other immune cells.
  • Hepatic Reticular Tissue: Located in the liver, this tissue supports hepatocytes and facilitates the liver’s metabolic and detoxification functions.
  • Myeloid Reticular Tissue: Present in the bone marrow, this tissue supports the development and maturation of blood cells, ensuring a continuous supply of various blood components.

Importance of Reticular Tissue in Health and Disease

The function of reticular tissue is vital for maintaining overall health. Any disruption in the structure or function of reticular tissue can lead to various health issues. For example, damage to reticular tissue in the liver can impair its ability to detoxify harmful substances, leading to conditions such as liver cirrhosis. Similarly, abnormalities in reticular tissue in the bone marrow can affect blood cell production, resulting in conditions like anemia or leukemia.

In the immune system, reticular tissue plays a critical role in filtering and trapping foreign particles. Any dysfunction in this process can compromise the body's ability to defend against infections, making individuals more susceptible to diseases. Understanding the function of reticular tissue and its role in health and disease is essential for developing effective treatments and interventions.

Reticular Tissue and Aging

As the body ages, the structure and function of reticular tissue can undergo changes that affect its ability to support other tissues and organs. For instance, the reticular fibers in the liver may become less elastic, impairing the liver’s ability to perform its functions efficiently. Similarly, changes in reticular tissue in the bone marrow can affect blood cell production, leading to conditions such as anemia in older adults.

Research has shown that maintaining a healthy lifestyle, including a balanced diet and regular exercise, can help preserve the function of reticular tissue and slow down the aging process. Additionally, certain medical interventions, such as stem cell therapy, are being explored as potential treatments for restoring the function of reticular tissue in aging individuals.

Reticular Tissue and Regenerative Medicine

Regenerative medicine is an emerging field that focuses on repairing or replacing damaged tissues and organs. The function of reticular tissue makes it a promising target for regenerative therapies. By understanding the mechanisms underlying the formation and maintenance of reticular tissue, researchers can develop strategies to enhance tissue repair and regeneration.

One approach involves using stem cells to regenerate reticular tissue. Stem cells have the ability to differentiate into various cell types, including reticular cells. By transplanting stem cells into damaged tissues, researchers aim to promote the regeneration of reticular tissue and restore its function. This approach has shown promise in preclinical studies and is being further investigated for potential clinical applications.

Another area of research focuses on the use of biomaterials to support the regeneration of reticular tissue. Biomaterials can provide a scaffold for reticular cells to attach and proliferate, facilitating the formation of new reticular tissue. This approach has been explored in various tissue engineering applications, including liver and bone marrow regeneration.

Future Directions in Reticular Tissue Research

The study of reticular tissue is a rapidly evolving field with numerous opportunities for future research. Some key areas of focus include:

  • Understanding the Molecular Mechanisms: Further research is needed to elucidate the molecular pathways involved in the formation and maintenance of reticular tissue. This knowledge can help identify potential targets for therapeutic interventions.
  • Developing Novel Therapies: Exploring new approaches for regenerating reticular tissue, such as stem cell therapy and biomaterial scaffolds, can lead to innovative treatments for various diseases and conditions.
  • Investigating Aging and Disease: Studying the changes in reticular tissue during aging and disease can provide insights into the underlying mechanisms and potential interventions to maintain tissue health.

By advancing our understanding of the function of reticular tissue and its role in health and disease, researchers can develop more effective strategies for preventing and treating a wide range of conditions.

📝 Note: The information provided in this blog post is for educational purposes only and should not be used as a substitute for professional medical advice. Always consult a healthcare provider for any health-related concerns.

In summary, the function of reticular tissue is essential for supporting various organs and tissues in the body. Its role in providing structural support, facilitating immune responses, and maintaining organ function highlights its importance in overall health. Understanding the structure, types, and functions of reticular tissue, as well as its implications in health and disease, is crucial for advancing medical research and developing effective treatments. As research continues to uncover new insights into reticular tissue, the potential for innovative therapies and interventions grows, offering hope for improved health outcomes in the future.

Related Terms:

  • example of reticular connective tissue
  • where is reticular ct found
  • reticular connective tissue characteristics
  • where are reticular cells found
  • reticular tissue purpose
  • reticular tissue locations
Facebook Twitter WhatsApp
Related Posts
Don't Miss