Learning

Zimmer Dental Implants

Zimmer Dental Implants
Zimmer Dental Implants

Dental implants have revolutionized the field of dentistry, offering a permanent solution for missing teeth. Among the various options available, Zimmer Dental Implants stand out for their quality, durability, and innovative design. This blog post will delve into the world of Zimmer Dental Implants, exploring their benefits, the procedure involved, and why they are a preferred choice for many dental professionals and patients alike.

Understanding Zimmer Dental Implants

Zimmer Dental Implants are a type of dental implant system designed to replace missing teeth. These implants are made from high-quality materials, ensuring longevity and biocompatibility. The implants are surgically placed into the jawbone, where they fuse with the bone over time, providing a stable foundation for replacement teeth.

Benefits of Zimmer Dental Implants

Choosing Zimmer Dental Implants comes with a multitude of benefits:

  • Durability: Made from titanium, Zimmer Dental Implants are incredibly durable and can last for many years with proper care.
  • Natural Appearance: The implants are designed to mimic the look and feel of natural teeth, ensuring a seamless and aesthetically pleasing result.
  • Improved Functionality: Unlike dentures, which can slip or shift, Zimmer Dental Implants provide a stable base for chewing and speaking, enhancing overall functionality.
  • Bone Preservation: The implants stimulate the jawbone, preventing bone loss that often occurs with missing teeth.
  • Easy Maintenance: Caring for Zimmer Dental Implants is similar to caring for natural teeth, requiring regular brushing, flossing, and dental check-ups.

The Procedure for Zimmer Dental Implants

The process of getting Zimmer Dental Implants involves several steps, each crucial for ensuring a successful outcome. Here’s a breakdown of the procedure:

Initial Consultation

The first step is an initial consultation with a dental professional. During this visit, the dentist will:

  • Evaluate the patient's oral health and medical history.
  • Take X-rays or 3D images to assess the jawbone and surrounding structures.
  • Discuss the treatment plan, including the number of implants needed and the expected timeline.

Implant Placement

Once the treatment plan is in place, the next step is the surgical placement of the implants. This procedure is typically performed under local anesthesia. The dentist will:

  • Make an incision in the gum tissue to expose the jawbone.
  • Drill a small hole into the bone to create a space for the implant.
  • Insert the Zimmer Dental Implant into the hole.
  • Close the gum tissue around the implant and allow it to heal.

Osseointegration

After the implant is placed, a process called osseointegration begins. This is where the implant fuses with the jawbone, creating a strong and stable foundation. This process can take several months, during which the patient may wear a temporary crown or denture.

Abutment Placement

Once osseointegration is complete, the next step is to place an abutment on the implant. The abutment serves as a connector between the implant and the replacement tooth. The dentist will:

  • Make a small incision in the gum tissue to expose the implant.
  • Attach the abutment to the implant.
  • Close the gum tissue around the abutment and allow it to heal.

Crown Placement

The final step is the placement of the crown. The dentist will:

  • Take impressions of the abutment to create a custom crown.
  • Place a temporary crown while the permanent one is being made.
  • Attach the permanent crown to the abutment once it is ready.

📝 Note: The entire process can take several months, depending on the individual's healing time and the complexity of the case.

Types of Zimmer Dental Implants

Zimmer offers a variety of dental implant systems to cater to different needs. Some of the most common types include:

Type of Implant Description
Endosteal Implants These are the most common type of dental implants, placed directly into the jawbone. They are typically used for patients with sufficient bone density.
Subperiosteal Implants These implants are placed under the gum but on top of the jawbone. They are often used for patients who do not have enough bone height for endosteal implants.
All-on-4 Implants This technique involves placing four implants in the jawbone to support a full arch of replacement teeth. It is a popular option for patients who need to replace all their teeth.

Caring for Zimmer Dental Implants

Proper care and maintenance are essential for the longevity of Zimmer Dental Implants. Here are some tips to keep your implants in excellent condition:

  • Regular Oral Hygiene: Brush and floss your teeth at least twice a day to remove plaque and food particles.
  • Professional Cleanings: Schedule regular dental check-ups and cleanings to ensure your implants and surrounding tissues remain healthy.
  • Avoid Hard Foods: Be cautious with hard or sticky foods that can damage the crown or abutment.
  • Quit Smoking: Smoking can impair healing and increase the risk of implant failure.

Common Misconceptions About Zimmer Dental Implants

There are several misconceptions surrounding dental implants that can deter people from considering them as an option. Let's address some of the most common myths:

  • Myth: Dental Implants are Painful - The procedure is typically performed under local anesthesia, and most patients report minimal discomfort.
  • Myth: Dental Implants are Expensive - While the initial cost may be higher than other options, the long-term benefits and durability make them a cost-effective solution.
  • Myth: Dental Implants Require Special Care - Caring for dental implants is similar to caring for natural teeth, requiring regular brushing, flossing, and dental check-ups.

📝 Note: It's important to consult with a dental professional to address any specific concerns or questions you may have about Zimmer Dental Implants.

Success Stories and Testimonials

Many patients have benefited from Zimmer Dental Implants, regaining their confidence and improving their quality of life. Here are a few success stories:

  • John D. - "I had been struggling with dentures for years, but after getting Zimmer Dental Implants, I feel like I have my natural teeth back. I can eat and speak with confidence again."
  • Maria L. - "The procedure was quick and painless, and the results are amazing. My implants look and feel just like real teeth."
  • David R. - "I was hesitant at first, but my dentist assured me that Zimmer Dental Implants were the best option. I'm glad I listened to him—they have changed my life for the better."

These testimonials highlight the positive impact that Zimmer Dental Implants can have on a person's life, providing a permanent and natural-looking solution for missing teeth.

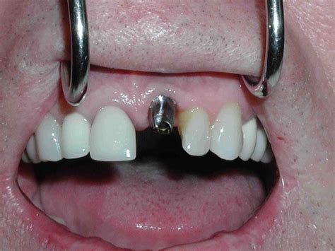
Zimmer Dental Implants Success Story

Comparing Zimmer Dental Implants to Other Options

When considering dental implants, it's essential to compare Zimmer Dental Implants with other available options. Here’s a brief comparison:

Option Description Pros Cons
Dentures Removable replacement teeth that fit over the gums. Affordable, non-invasive. Can slip or shift, require adhesives, may affect speech and eating.
Bridges Fixed replacement teeth that are anchored to adjacent natural teeth. Stable, natural-looking. Require grinding down adjacent teeth, may not be suitable for all patients.
Zimmer Dental Implants Surgically placed implants that fuse with the jawbone. Durable, natural appearance, improved functionality, bone preservation. Higher initial cost, requires surgery and healing time.

While dentures and bridges offer viable solutions, Zimmer Dental Implants provide a more permanent and natural-looking option, making them a preferred choice for many patients.

Zimmer Dental Implants offer a reliable and effective solution for missing teeth, providing durability, natural appearance, and improved functionality. The procedure involves several steps, from initial consultation to crown placement, and requires proper care and maintenance for long-term success. With numerous benefits and positive testimonials, Zimmer Dental Implants are a trusted choice for dental professionals and patients alike. Whether you are considering implants for the first time or looking to replace existing dentures or bridges, Zimmer Dental Implants offer a solution that can enhance your quality of life and restore your confidence.

Related Terms:

  • zimmer dental implants contact number
  • zimmer dental implants catalog pdf
  • zimmer biomet dental
  • zimmer dental implant size chart
  • zimmer biomet dental implants ordering
  • zimmer dental implants phone number
Facebook Twitter WhatsApp
Related Posts
Don't Miss