Learning

Yellow Roof Of Mouth

Yellow Roof Of Mouth
Yellow Roof Of Mouth

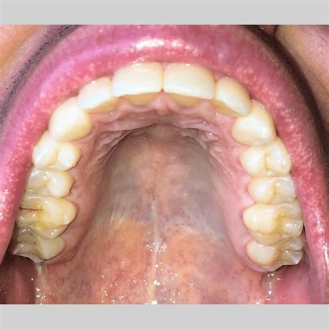
Dental health is a critical aspect of overall well-being, and understanding the various components of the mouth can help in maintaining optimal oral hygiene. One of the lesser-known but equally important parts of the mouth is the yellow roof of mouth. This area, also known as the hard palate, plays a significant role in oral health and function. This blog post will delve into the anatomy, functions, and care of the yellow roof of mouth, providing valuable insights for anyone interested in maintaining good oral health.

Anatomy of the Yellow Roof of Mouth

The yellow roof of mouth, or hard palate, is the bony structure that forms the roof of the mouth. It is located above the teeth and separates the oral cavity from the nasal cavity. The hard palate is composed of bone and is covered by a mucous membrane, which gives it a yellowish appearance in some individuals. This area is crucial for various functions, including speech, swallowing, and breathing.

Functions of the Yellow Roof of Mouth

The yellow roof of mouth serves several essential functions:

  • Speech Production: The hard palate helps in the articulation of sounds, particularly consonants like 't', 'd', 's', and 'z'.
  • Swallowing: It aids in the movement of food from the mouth to the throat during swallowing.
  • Breathing: The hard palate separates the nasal cavity from the oral cavity, allowing for proper airflow during breathing.
  • Taste and Smell: The hard palate contributes to the sense of taste and smell by directing food particles and odors towards the taste buds and olfactory receptors.

Common Issues Affecting the Yellow Roof of Mouth

Several conditions can affect the yellow roof of mouth, ranging from minor irritations to more serious health issues. Some of the common problems include:

  • Canker Sores: These are small, painful ulcers that can appear on the hard palate. They are usually benign but can be quite uncomfortable.
  • Oral Thrush: This is a yeast infection that can cause white patches on the hard palate and other parts of the mouth. It is often seen in individuals with compromised immune systems.
  • Palatal Torus: This is a bony growth on the hard palate that is usually harmless but can sometimes cause discomfort or interfere with denture fitting.
  • Oral Cancer: Although rare, oral cancer can affect the hard palate. Regular check-ups and self-examinations are crucial for early detection.

Caring for the Yellow Roof of Mouth

Maintaining good oral hygiene is essential for keeping the yellow roof of mouth healthy. Here are some tips for caring for this area:

  • Regular Brushing and Flossing: Brush your teeth at least twice a day and floss daily to remove plaque and food particles from the hard palate and other parts of the mouth.
  • Use a Soft-Bristled Toothbrush: A soft-bristled toothbrush is gentler on the gums and the hard palate, reducing the risk of irritation.
  • Rinse with Mouthwash: Use an antiseptic mouthwash to kill bacteria and freshen your breath. This can help prevent infections and maintain overall oral health.
  • Stay Hydrated: Drink plenty of water to keep your mouth moist and promote saliva production, which helps in washing away food particles and bacteria.
  • Avoid Irritants: Limit your intake of spicy, acidic, or hard foods that can irritate the hard palate. Also, avoid smoking and excessive alcohol consumption, as they can damage oral tissues.
  • Regular Dental Check-ups: Visit your dentist regularly for check-ups and cleanings. Early detection of any issues can prevent more serious problems.

🔍 Note: If you notice any persistent pain, swelling, or unusual growths on the yellow roof of mouth, consult a healthcare professional immediately.

When to Seek Medical Attention

While many issues affecting the yellow roof of mouth are minor and can be managed at home, some symptoms warrant medical attention. If you experience any of the following, seek professional help:

  • Persistent pain or discomfort in the hard palate.
  • Swelling or redness that does not go away.
  • White patches or sores that do not heal within a week.
  • Difficulty swallowing or breathing.
  • Unusual growths or lumps on the hard palate.

Early intervention can prevent complications and ensure prompt treatment.

Preventive Measures for Oral Health

Prevention is key to maintaining good oral health. Here are some preventive measures to keep the yellow roof of mouth and the rest of your mouth healthy:

  • Balanced Diet: Consume a balanced diet rich in vitamins and minerals. Foods high in calcium and vitamin D are particularly beneficial for oral health.
  • Limit Sugary Foods: Reduce your intake of sugary foods and beverages, as they can contribute to tooth decay and gum disease.
  • Avoid Tobacco: Smoking and chewing tobacco can cause oral cancer and other serious health issues. Quitting tobacco is one of the best things you can do for your oral health.
  • Regular Exercise: Regular physical activity can improve overall health, including oral health, by boosting the immune system and reducing stress.
  • Good Oral Hygiene Habits: Establish and maintain good oral hygiene habits, including regular brushing, flossing, and dental check-ups.

By following these preventive measures, you can significantly reduce the risk of oral health issues and maintain a healthy yellow roof of mouth.

Understanding the Yellow Roof of Mouth in Different Age Groups

The yellow roof of mouth can be affected differently in various age groups. Understanding these differences can help in providing age-appropriate care:

  • Infants and Children: In young children, the hard palate is still developing. It is essential to monitor their oral health and ensure they receive proper dental care. Regular check-ups can help detect any issues early.
  • Adults: Adults are more likely to experience issues like canker sores, oral thrush, and palatal torus. Maintaining good oral hygiene and regular dental visits can help prevent these problems.
  • Elderly: Older adults may experience dry mouth, which can affect the health of the hard palate. Staying hydrated and using saliva substitutes can help manage this condition. Regular dental check-ups are also crucial for early detection of oral health issues.

By understanding the specific needs of each age group, you can provide tailored care for the yellow roof of mouth and ensure optimal oral health.

The Role of the Yellow Roof of Mouth in Speech Therapy

The yellow roof of mouth plays a crucial role in speech production. Speech therapists often focus on the hard palate when working with individuals who have speech impairments. Understanding the anatomy and function of the hard palate can help in developing effective speech therapy techniques. Some common speech therapy exercises that involve the hard palate include:

  • Tongue Placement Exercises: These exercises help individuals learn to place their tongue correctly against the hard palate for proper sound production.
  • Palatal Lift Exercises: These exercises involve lifting the soft palate to improve nasal resonance and speech clarity.
  • Articulation Drills: These drills focus on practicing specific sounds that require contact with the hard palate, such as 't', 'd', 's', and 'z'.

By incorporating these exercises into speech therapy sessions, individuals can improve their speech clarity and overall communication skills.

The Impact of the Yellow Roof of Mouth on Taste and Smell

The yellow roof of mouth contributes to the sense of taste and smell by directing food particles and odors towards the taste buds and olfactory receptors. Any issues affecting the hard palate can impact these senses. For example, a dry mouth can reduce saliva production, making it difficult to taste and smell food properly. Similarly, infections or injuries to the hard palate can affect the ability to detect flavors and aromas.

To maintain optimal taste and smell, it is essential to keep the yellow roof of mouth healthy. Regular oral hygiene, staying hydrated, and avoiding irritants can help preserve these senses and enhance the overall enjoyment of food and beverages.

Conclusion

The yellow roof of mouth, or hard palate, is a vital component of the oral cavity that plays a significant role in speech, swallowing, breathing, and taste. Understanding its anatomy, functions, and common issues can help in maintaining good oral health. By following proper oral hygiene practices, seeking medical attention when necessary, and taking preventive measures, you can ensure the health of the yellow roof of mouth and overall well-being. Regular dental check-ups and a balanced diet are also crucial for maintaining optimal oral health. By taking care of the yellow roof of mouth, you can enjoy better oral health and a higher quality of life.

Related Terms:

  • inside of mouth is yellow
  • yellow spot inside cheek
  • yellow colored roof of mouth
  • yellow patches inside mouth
  • back of throat is yellowish
Facebook Twitter WhatsApp
Related Posts
Don't Miss