Learning

White Spots On Teeth

White Spots On Teeth
White Spots On Teeth

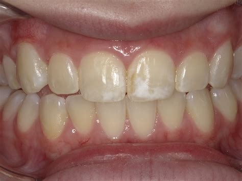
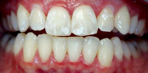
White spots on teeth can be a common dental issue that affects people of all ages. These spots, often appearing as chalky white patches, can be caused by a variety of factors, including enamel hypoplasia, fluorosis, or even poor oral hygiene. Understanding the causes and treatments for white spots on teeth is crucial for maintaining good oral health and a confident smile.

Table of Contents

Understanding White Spots on Teeth

White spots on teeth are typically characterized by their chalky, opaque appearance. They can vary in size and location, and while they are generally harmless, they can be a cosmetic concern for many people. The most common causes of white spots on teeth include:

  • Enamel Hypoplasia: This condition occurs when the enamel layer of the tooth does not form properly, leading to thin or weak enamel. It can be caused by genetic factors, nutritional deficiencies, or infections during childhood.
  • Dental Fluorosis: Excessive fluoride intake during tooth development can lead to fluorosis, which causes white spots and streaks on the teeth. This condition is more common in areas with high fluoride levels in the water supply.
  • Poor Oral Hygiene: Inadequate brushing and flossing can lead to the buildup of plaque, which can cause demineralization of the enamel and result in white spots.
  • Dietary Factors: Consuming acidic foods and beverages can erode the enamel, making it more susceptible to white spots.
  • Orthodontic Treatment: Braces and other orthodontic appliances can sometimes trap plaque and bacteria, leading to white spots around the brackets.

Diagnosing White Spots on Teeth

Diagnosing the cause of white spots on teeth typically involves a thorough dental examination. Your dentist will assess the location, size, and appearance of the spots to determine the underlying cause. In some cases, additional tests or imaging may be required to confirm the diagnosis. Common diagnostic methods include:

  • Visual Examination: The dentist will visually inspect your teeth to identify the presence and extent of white spots.
  • X-Rays: Dental X-rays can help identify any underlying issues, such as cavities or enamel defects.
  • Clinical History: Your dentist will ask about your medical history, including any past dental treatments, medications, and dietary habits.

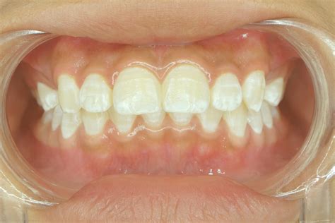
Treatment Options for White Spots on Teeth

The treatment for white spots on teeth depends on the underlying cause and the severity of the condition. Here are some common treatment options:

Professional Teeth Whitening

Professional teeth whitening treatments can help reduce the appearance of white spots by brightening the overall color of the teeth. These treatments are typically performed in a dental office and use high-concentration bleaching agents to achieve optimal results.

Microabrasion

Microabrasion is a procedure that involves gently removing a thin layer of enamel to reduce the appearance of white spots. This treatment is often used for mild cases of enamel hypoplasia or fluorosis.

Dental Bonding

Dental bonding involves applying a tooth-colored resin to the affected areas to match the color of the surrounding teeth. This procedure is quick and relatively inexpensive, making it a popular choice for cosmetic improvements.

Porcelain Veneers

Porcelain veneers are thin shells of porcelain that are bonded to the front surface of the teeth. They can effectively cover white spots and improve the overall appearance of the smile. Veneers are a more permanent solution compared to bonding but are also more expensive.

Topical Fluoride Treatments

For cases of demineralization caused by poor oral hygiene, topical fluoride treatments can help remineralize the enamel and reduce the appearance of white spots. These treatments are often applied in a dental office but can also be done at home with prescription-strength fluoride products.

Orthodontic Treatment

If white spots are caused by orthodontic treatment, addressing the underlying issue with proper oral hygiene and possibly removing the braces can help. In some cases, additional treatments like microabrasion or bonding may be recommended to improve the appearance of the teeth.

💡 Note: It's important to consult with a dental professional to determine the best treatment option for your specific case. Some treatments may not be suitable for everyone, and a thorough evaluation is necessary to achieve the best results.

Preventing White Spots on Teeth

Preventing white spots on teeth involves maintaining good oral hygiene and addressing any underlying issues promptly. Here are some tips to help prevent white spots:

  • Regular Dental Check-ups: Schedule regular dental check-ups and cleanings to monitor your oral health and address any issues early.
  • Proper Oral Hygiene: Brush your teeth at least twice a day and floss daily to remove plaque and bacteria.
  • Balanced Diet: Consume a balanced diet rich in calcium and vitamins to support strong teeth and gums.
  • Limit Acidic Foods and Beverages: Reduce your intake of acidic foods and beverages to minimize enamel erosion.
  • Use Fluoride Toothpaste: Use a fluoride toothpaste to help strengthen your enamel and prevent demineralization.
  • Avoid Excessive Fluoride: Be mindful of your fluoride intake, especially for children, to prevent fluorosis.

Common Myths About White Spots on Teeth

There are several myths and misconceptions surrounding white spots on teeth. Understanding the facts can help you make informed decisions about your oral health. Here are some common myths debunked:

  • Myth: White spots are always a sign of cavities - While white spots can sometimes indicate cavities, they are often caused by other factors such as enamel hypoplasia or fluorosis.
  • Myth: White spots are only a cosmetic issue - While white spots can be a cosmetic concern, they can also indicate underlying dental issues that need to be addressed.
  • Myth: White spots can be treated at home - While some home remedies may help, professional dental treatment is often necessary to effectively address white spots.
  • Myth: White spots are always permanent - Depending on the cause, white spots can sometimes be treated and improved, although some cases may require more extensive treatment.

Case Studies: Success Stories

Many individuals have successfully treated white spots on teeth and improved their smiles. Here are a few case studies highlighting different treatment approaches:

Case Study 1: Enamel Hypoplasia

Patient A, a 25-year-old woman, had white spots on her teeth due to enamel hypoplasia. After a thorough examination, her dentist recommended microabrasion followed by dental bonding. The treatment successfully reduced the appearance of the white spots, and the patient was satisfied with the results.

Case Study 2: Dental Fluorosis

Patient B, a 30-year-old man, had white spots on his teeth due to fluorosis. His dentist suggested porcelain veneers to cover the spots and improve the overall appearance of his smile. The veneers were placed successfully, and the patient reported a significant improvement in his confidence.

Case Study 3: Poor Oral Hygiene

Patient C, a 40-year-old woman, had white spots on her teeth due to poor oral hygiene. After a professional cleaning and topical fluoride treatments, the spots began to fade. The patient was also advised on proper oral hygiene techniques to prevent future issues.

Frequently Asked Questions

Here are some frequently asked questions about white spots on teeth:

What causes white spots on teeth?

White spots on teeth can be caused by a variety of factors, including enamel hypoplasia, fluorosis, poor oral hygiene, dietary factors, and orthodontic treatment.

Are white spots on teeth harmful?

White spots on teeth are generally harmless but can indicate underlying dental issues. It's important to consult with a dental professional to determine the cause and appropriate treatment.

Can white spots on teeth be prevented?

Yes, white spots on teeth can be prevented by maintaining good oral hygiene, consuming a balanced diet, limiting acidic foods and beverages, and using fluoride toothpaste. Regular dental check-ups are also essential for early detection and prevention.

What are the treatment options for white spots on teeth?

Treatment options for white spots on teeth include professional teeth whitening, microabrasion, dental bonding, porcelain veneers, topical fluoride treatments, and orthodontic treatment. The best option depends on the underlying cause and severity of the condition.

How long does it take to treat white spots on teeth?

The duration of treatment for white spots on teeth varies depending on the chosen method and the severity of the condition. Some treatments, like dental bonding, can be completed in a single visit, while others, like porcelain veneers, may require multiple appointments.

Can white spots on teeth be treated at home?

While some home remedies may help, professional dental treatment is often necessary to effectively address white spots. Consult with a dental professional to determine the best course of action.

Are white spots on teeth always permanent?

Depending on the cause, white spots on teeth can sometimes be treated and improved. However, some cases may require more extensive treatment or may not be fully reversible.

Can children get white spots on teeth?

Yes, children can get white spots on teeth due to factors such as enamel hypoplasia, fluorosis, or poor oral hygiene. It's important to address these issues early to prevent further complications.

What should I do if I notice white spots on my teeth?

If you notice white spots on your teeth, schedule a dental appointment for a thorough examination. Your dentist can determine the cause and recommend appropriate treatment options.

Can white spots on teeth be covered with toothpaste?

Toothpaste alone cannot cover white spots on teeth. While some whitening toothpastes may help brighten the overall color of the teeth, professional dental treatments are often necessary to effectively address white spots.

Are white spots on teeth a sign of cavities?

White spots on teeth can sometimes indicate cavities, but they are often caused by other factors such as enamel hypoplasia or fluorosis. A dental examination is necessary to determine the underlying cause.

Can white spots on teeth be treated with braces?

Braces themselves do not treat white spots on teeth, but proper oral hygiene during orthodontic treatment can help prevent the formation of white spots. If white spots are already present, additional treatments like microabrasion or bonding may be recommended.

Can white spots on teeth be treated with veneers?

Yes, porcelain veneers can effectively cover white spots on teeth and improve the overall appearance of the smile. Veneers are a more permanent solution compared to bonding but are also more expensive.

Can white spots on teeth be treated with microabrasion?

Yes, microabrasion is a procedure that involves gently removing a thin layer of enamel to reduce the appearance of white spots. This treatment is often used for mild cases of enamel hypoplasia or fluorosis.

Can white spots on teeth be treated with bonding?

Yes, dental bonding involves applying a tooth-colored resin to the affected areas to match the color of the surrounding teeth. This procedure is quick and relatively inexpensive, making it a popular choice for cosmetic improvements.

Can white spots on teeth be treated with fluoride?

Topical fluoride treatments can help remineralize the enamel and reduce the appearance of white spots caused by demineralization. These treatments are often applied in a dental office but can also be done at home with prescription-strength fluoride products.

Can white spots on teeth be treated with whitening?

Professional teeth whitening treatments can help reduce the appearance of white spots by brightening the overall color of the teeth. These treatments are typically performed in a dental office and use high-concentration bleaching agents to achieve optimal results.

Can white spots on teeth be treated with home remedies?

While some home remedies may help, professional dental treatment is often necessary to effectively address white spots. Consult with a dental professional to determine the best course of action.

Can white spots on teeth be treated with diet changes?

Maintaining a balanced diet rich in calcium and vitamins can support strong teeth and gums, but diet changes alone may not be sufficient to treat white spots. Professional dental treatment is often necessary to address the underlying cause.

Can white spots on teeth be treated with oral hygiene?

Proper oral hygiene, including regular brushing and flossing, can help prevent the formation of white spots caused by demineralization. However, if white spots are already present, professional dental treatment may be necessary to address the underlying cause.

Can white spots on teeth be treated with orthodontic treatment?

If white spots are caused by orthodontic treatment, addressing the underlying issue with proper oral hygiene and possibly removing the braces can help. In some cases, additional treatments like microabrasion or bonding may be recommended to improve the appearance of the teeth.

Can white spots on teeth be treated with enamel hypoplasia?

Enamel hypoplasia is a condition that causes thin or weak enamel, leading to white spots on teeth. Treatment options for enamel hypoplasia include microabrasion, dental bonding, and porcelain veneers. Consult with a dental professional to determine the best course of action.

Can white spots on teeth be treated with fluorosis?

Dental fluorosis is caused by excessive fluoride intake during tooth development, leading to white spots and streaks on the teeth. Treatment options for fluorosis include microabrasion, dental bonding, and porcelain veneers. Consult with a dental professional to determine the best course of action.

Can white spots on teeth be treated with demineralization?

Demineralization is the process by which minerals are lost from the enamel, leading to white spots on teeth. Treatment options for demineralization include topical fluoride treatments, proper oral hygiene, and dietary changes. Consult with a dental professional to determine the best course of action.

Can white spots on teeth be treated with enamel erosion?

Enamel erosion is the wearing away of the enamel layer, leading to white spots on teeth. Treatment options for enamel erosion include microabrasion, dental bonding, and porcelain veneers. Consult with a dental professional to determine the best course of action.

Can white spots on teeth be treated with poor oral hygiene?

Poor oral hygiene can lead to the buildup of plaque, causing demineralization and white spots on teeth. Treatment options for poor oral hygiene include professional cleanings, topical fluoride treatments, and proper oral hygiene techniques. Consult with a dental professional to determine the best course of action.

Can white spots on teeth be treated with acidic foods and beverages?

Consuming acidic foods and beverages can erode the enamel, making it more susceptible to white spots. Treatment options for enamel erosion include microabrasion, dental bonding, and porcelain veneers. Consult with a dental professional to determine the best course of action.

Can white spots on teeth be treated with orthodontic appliances?

Orthodontic appliances can sometimes trap plaque and bacteria, leading to white spots around the brackets. Proper oral hygiene during orthodontic treatment can help prevent the formation of white spots. If white spots are already present, additional treatments like microabrasion or bonding may be recommended.

Can white spots on teeth be treated with genetic factors?

Genetic factors can contribute to conditions like enamel hypoplasia, leading to white spots on teeth. Treatment options for genetic factors include microabrasion, dental bonding, and porcelain veneers. Consult with a dental professional to determine the best course of action.

Can white spots on teeth be treated with nutritional deficiencies?

Nutritional deficiencies can contribute to conditions like enamel hypoplasia, leading to white spots on teeth. Treatment options for nutritional deficiencies include dietary changes, microabrasion, dental bonding, and porcelain veneers. Consult with a dental professional to determine the best course of action.

Can white spots on teeth be treated with infections?

Infections during childhood can contribute to conditions like enamel hypoplasia, leading to white spots on teeth. Treatment options for infections include microabrasion, dental bonding, and porcelain veneers. Consult with a dental professional to determine the best course of action.

Can white spots on teeth be treated with high fluoride levels?

High fluoride levels in the water supply can lead to fluorosis, causing white spots and streaks on the teeth. Treatment options for fluorosis include microabrasion, dental bonding, and porcelain veneers. Consult with a dental professional to determine the best course of action.

Can white spots on teeth be treated with enamel defects?

Enamel defects can lead to white spots on teeth. Treatment options for enamel defects include microabrasion, dental bonding, and porcelain veneers. Consult with a dental professional to determine the best course of action.

Can white spots on teeth be treated with enamel thinning?

Enamel thinning can lead to white spots on teeth. Treatment options for enamel thinning include microabrasion, dental bonding, and porcelain veneers. Consult with a dental professional to determine the best course of action.

Can white spots on teeth be treated with enamel weakness?

Enamel weakness can lead to white spots on teeth. Treatment options for enamel weakness include microabrasion, dental bonding, and porcelain veneers. Consult with a dental professional to determine the best course of action.

Can white spots on teeth be treated with enamel erosion?

Enamel erosion can lead to white spots on teeth. Treatment options for enamel erosion include microabrasion, dental bonding, and porcelain veneers. Consult with a dental professional to determine the best course of action.

Can white spots on teeth be treated with enamel demineralization?

Enamel demineralization can lead to white spots on teeth. Treatment options for enamel demineralization include topical fluoride treatments, proper oral hygiene, and dietary changes. Consult with a dental professional to determine the best course of action.

Can white spots on teeth be treated with enamel remineralization?

Enamel remineralization can help reduce the appearance of white spots on teeth caused by demineralization. Treatment options for enamel remineralization include topical fluoride treatments, proper oral hygiene, and dietary changes. Consult with a dental professional to

Related Terms:

  • white spot on tooth overnight
  • white spots on teeth meaning
  • white spots appearing on teeth
  • white spots on adult teeth
  • bright white spots on teeth
  • white spots on teeth overnight
Facebook Twitter WhatsApp
Related Posts
Don't Miss