Learning

What Is Zirconia

What Is Zirconia
What Is Zirconia

Zirconia, a versatile and robust ceramic material, has gained significant attention in various industries due to its exceptional properties. From dental implants to industrial applications, zirconia's unique characteristics make it a preferred choice for many. This blog post delves into the intricacies of zirconia, exploring what is zirconia, its types, applications, and benefits. By the end, you will have a comprehensive understanding of this remarkable material and its wide-ranging uses.

What Is Zirconia?

Zirconia, also known as zirconium dioxide (ZrO2), is a white crystalline oxide of the metal zirconium. It is renowned for its high strength, durability, and resistance to corrosion and wear. These properties make zirconia an ideal material for a variety of applications, ranging from medical implants to industrial components. Zirconia’s chemical stability and biocompatibility further enhance its appeal in fields where safety and longevity are paramount.

Types of Zirconia

Zirconia comes in several forms, each with distinct properties and applications. The primary types of zirconia include:

  • Stabilized Zirconia: This type is stabilized with additives such as yttria (yttrium oxide) to enhance its mechanical properties and prevent phase transformations. Stabilized zirconia is commonly used in dental implants and industrial ceramics.
  • Partially Stabilized Zirconia (PSZ): PSZ contains a lower concentration of stabilizers, resulting in a material with improved toughness and strength. It is often used in cutting tools and wear-resistant components.
  • Tetragonal Zirconia Polycrystals (TZP): TZP is known for its high strength and toughness, making it suitable for applications requiring exceptional mechanical performance. It is frequently used in biomedical implants and high-performance ceramics.

Applications of Zirconia

Zirconia’s versatility makes it a valuable material in numerous industries. Some of the key applications include:

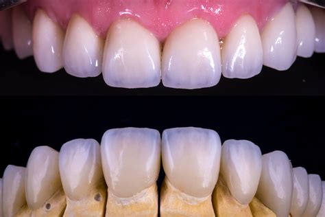
Dental Implants

One of the most prominent uses of zirconia is in dental implants. Zirconia’s biocompatibility and aesthetic appeal make it an excellent choice for dental restorations. Unlike traditional metal implants, zirconia implants are less likely to cause allergic reactions and provide a more natural appearance. They are used in crowns, bridges, and dental implants, offering patients a durable and aesthetically pleasing solution.

Industrial Applications

In the industrial sector, zirconia is utilized for its exceptional mechanical properties. It is commonly used in:

  • Cutting Tools: Zirconia’s hardness and wear resistance make it ideal for cutting tools used in machining and manufacturing processes.
  • Wear-Resistant Components: Zirconia’s ability to withstand high temperatures and abrasion makes it suitable for components in engines, pumps, and other machinery.
  • Electronics: Zirconia is used in the production of capacitors and other electronic components due to its high dielectric constant and stability.

Medical Applications

Beyond dental implants, zirconia is also used in other medical applications. Its biocompatibility and durability make it a preferred material for:

  • Orthopedic Implants: Zirconia is used in hip and knee replacements, providing a long-lasting and biocompatible solution.
  • Surgical Instruments: Zirconia’s resistance to corrosion and wear makes it suitable for surgical tools and instruments.

Benefits of Zirconia

Zirconia offers numerous benefits that make it a superior choice in various applications. Some of the key advantages include:

  • High Strength and Durability: Zirconia’s exceptional mechanical properties ensure longevity and reliability in demanding applications.
  • Biocompatibility: Zirconia is safe for use in medical and dental implants, as it does not cause adverse reactions in the body.
  • Corrosion Resistance: Zirconia’s resistance to corrosion makes it suitable for use in harsh environments.
  • Aesthetic Appeal: Zirconia’s white color and natural appearance make it an ideal material for dental restorations.

Properties of Zirconia

Understanding the properties of zirconia is crucial for appreciating its versatility and effectiveness in various applications. Some of the key properties include:

Property Description
Melting Point Approximately 2,715°C (4,919°F)
Density 5.68 g/cm³
Hardness 12-13 GPa (Vickers hardness)
Thermal Conductivity 2.0-2.5 W/(m·K)
Coefficient of Thermal Expansion 10.5 x 10^-6 /°C

These properties contribute to zirconia's suitability for a wide range of applications, from dental implants to industrial components.

🔍 Note: The properties of zirconia can vary slightly depending on the specific type and manufacturing process.

Manufacturing Process of Zirconia

The manufacturing process of zirconia involves several steps to ensure the material’s high quality and performance. The process typically includes:

  • Raw Material Preparation: High-purity zirconium dioxide is obtained from zirconium minerals.
  • Powder Processing: The zirconia powder is mixed with stabilizers such as yttria to enhance its properties.
  • Shaping: The powder is shaped into the desired form using techniques such as pressing, casting, or injection molding.
  • Sintering: The shaped zirconia is heated to high temperatures to densify and strengthen the material.
  • Finishing: The final product is polished and finished to meet the required specifications.

Each step in the manufacturing process is carefully controlled to ensure the zirconia's properties meet the desired standards.

🔍 Note: The specific manufacturing process can vary depending on the type of zirconia and its intended application.

Future of Zirconia

The future of zirconia looks promising, with ongoing research and development aimed at enhancing its properties and expanding its applications. Advances in materials science and manufacturing technologies are expected to further improve zirconia’s performance and cost-effectiveness. As industries continue to seek durable, biocompatible, and high-performance materials, zirconia is poised to play an increasingly important role.

In the medical field, zirconia's use in implants and surgical instruments is likely to grow, driven by its biocompatibility and durability. In the industrial sector, zirconia's applications in cutting tools, wear-resistant components, and electronics are expected to expand as manufacturers seek materials that can withstand harsh conditions and provide long-term reliability.

Additionally, the development of new zirconia-based composites and hybrid materials is an area of active research. These materials combine the strengths of zirconia with other advanced materials to create products with enhanced properties and broader applications.

As research continues, the potential for zirconia to revolutionize various industries becomes increasingly apparent. Its unique combination of strength, durability, and biocompatibility makes it a material of choice for a wide range of applications, from medical implants to industrial components.

In conclusion, zirconia’s exceptional properties and versatility make it a valuable material in numerous industries. From dental implants to industrial applications, zirconia’s strength, durability, and biocompatibility ensure its continued relevance and growth. As research and development efforts continue, the future of zirconia looks bright, with new applications and innovations on the horizon. The material’s ability to meet the demands of modern industries makes it a key player in the advancement of technology and healthcare.

Related Terms:

  • what is zirconia crown
  • what is zirconia jewelry
  • what is zirconium
  • is zirconia a diamond
  • what is zirconia stone
  • what is cubic zirconia
Facebook Twitter WhatsApp
Related Posts
Don't Miss