Learning

What Is Subluxation

What Is Subluxation
What Is Subluxation

Understanding the intricacies of spinal health is crucial for maintaining overall well-being. One term that often comes up in discussions about spinal health is What Is Subluxation. This condition refers to a partial dislocation or misalignment of the vertebrae in the spine. Subluxations can occur due to various factors, including trauma, poor posture, or repetitive stress. Recognizing the signs and symptoms of subluxation is the first step in addressing this issue effectively.

Understanding Subluxation

Subluxation is a condition where the vertebrae in the spine are misaligned, causing a partial dislocation. This misalignment can lead to a variety of symptoms and health issues. The spine is a complex structure composed of 33 individual bones, known as vertebrae, which are stacked on top of each other. These vertebrae are separated by intervertebral discs that act as shock absorbers and allow for flexibility and movement.

When a subluxation occurs, the vertebrae can press on nerves, causing pain, numbness, or weakness. This condition can affect any part of the spine, including the cervical (neck), thoracic (mid-back), and lumbar (lower back) regions. The severity of symptoms can vary depending on the location and extent of the misalignment.

Causes of Subluxation

Subluxations can be caused by a variety of factors, including:

  • Trauma: Sudden impacts or injuries, such as those from car accidents or falls, can cause subluxations.
  • Poor Posture: Prolonged poor posture, such as slouching or hunching over a desk, can lead to misalignments over time.
  • Repetitive Stress: Activities that involve repetitive movements, such as certain sports or jobs, can cause wear and tear on the spine, leading to subluxations.
  • Degenerative Conditions: Conditions such as osteoarthritis or degenerative disc disease can weaken the spine and increase the risk of subluxations.

Symptoms of Subluxation

The symptoms of subluxation can vary widely depending on the location and severity of the misalignment. Common symptoms include:

  • Back Pain: Persistent or intermittent pain in the back, which may worsen with movement.
  • Neck Pain: Pain and stiffness in the neck, which may radiate to the shoulders or arms.
  • Headaches: Frequent headaches, often starting at the base of the skull and radiating forward.
  • Numbness or Tingling: Sensations of numbness or tingling in the extremities, which may indicate nerve compression.
  • Weakness: Muscle weakness or fatigue, which can affect mobility and daily activities.
  • Reduced Range of Motion: Limited ability to move the spine or extremities, which can impact flexibility and mobility.

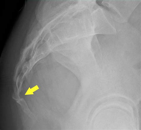
Diagnosing Subluxation

Diagnosing subluxation typically involves a combination of physical examination and imaging tests. A healthcare provider will perform a thorough evaluation to assess the spine's alignment and function. This may include:

  • Physical Examination: The healthcare provider will check for tenderness, range of motion, and any signs of nerve compression.
  • Imaging Tests: X-rays, MRI, or CT scans may be used to visualize the spine and identify any misalignments or abnormalities.
  • Neurological Tests: These tests assess nerve function and can help determine if nerve compression is present.

In some cases, additional tests such as electromyography (EMG) or nerve conduction studies may be recommended to further evaluate nerve function.

Treatment Options for Subluxation

Treatment for subluxation depends on the severity of the condition and the underlying cause. Common treatment options include:

  • Chiropractic Care: Chiropractors use manual adjustments to realign the vertebrae and relieve pressure on nerves. This can help reduce pain and improve mobility.
  • Physical Therapy: Physical therapists use exercises and manual techniques to strengthen the muscles supporting the spine and improve flexibility.
  • Medications: Over-the-counter pain relievers or prescription medications may be used to manage pain and inflammation.
  • Injections: Corticosteroid injections may be used to reduce inflammation and relieve pain in severe cases.
  • Surgery: In rare cases, surgery may be recommended to correct severe misalignments or address underlying conditions such as herniated discs.

It is important to consult with a healthcare provider to determine the most appropriate treatment plan for your specific condition.

Preventing Subluxation

Preventing subluxation involves maintaining good spinal health and avoiding activities that can lead to misalignments. Some tips for preventing subluxation include:

  • Maintain Good Posture: Practice good posture to reduce stress on the spine and prevent misalignments.
  • Exercise Regularly: Engage in regular exercise to strengthen the muscles supporting the spine and improve flexibility.
  • Avoid Repetitive Stress: Take breaks and vary your activities to avoid repetitive stress on the spine.
  • Use Proper Lifting Techniques: Use your legs to lift heavy objects and avoid twisting or bending your back.
  • Stay Hydrated: Drink plenty of water to keep the intervertebral discs hydrated and healthy.

By following these tips, you can help maintain good spinal health and reduce the risk of subluxation.

💡 Note: Always consult with a healthcare provider before starting any new exercise or treatment program.

Living with Subluxation

Living with subluxation can be challenging, but with the right treatment and lifestyle changes, many people are able to manage their symptoms effectively. It is important to work closely with your healthcare provider to develop a personalized treatment plan that addresses your specific needs and goals.

In addition to medical treatment, making lifestyle changes such as improving posture, exercising regularly, and maintaining a healthy weight can help reduce the risk of future subluxations and improve overall spinal health.

Support from family and friends can also be beneficial in managing the challenges of living with subluxation. Joining a support group or seeking counseling can provide additional resources and emotional support.

Remember, everyone's experience with subluxation is unique, and what works for one person may not work for another. It is important to stay informed about your condition and work closely with your healthcare provider to find the best treatment options for you.

In some cases, subluxation may be a chronic condition that requires ongoing management. However, with the right treatment and lifestyle changes, many people are able to lead active and fulfilling lives despite their condition.

It is important to stay positive and focus on the things you can do to improve your health and well-being. By taking an active role in your care and working closely with your healthcare provider, you can effectively manage subluxation and enjoy a better quality of life.

In conclusion, understanding What Is Subluxation is crucial for maintaining spinal health and addressing any issues that may arise. By recognizing the symptoms, seeking appropriate treatment, and making lifestyle changes, you can effectively manage subluxation and improve your overall well-being. Regular check-ups with a healthcare provider and maintaining good spinal health practices can help prevent future subluxations and ensure a healthier, more active life.

Related Terms:

  • what is subluxation treatment
  • subluxation meaning medical
  • subluxation definition
  • different types of subluxation
  • subluxation meaning medical terminology
  • meaning of subluxation
Facebook Twitter WhatsApp
Related Posts
Don't Miss