Learning

What Is Radiography

What Is Radiography
What Is Radiography

Radiography is a critical field in medical imaging that plays a pivotal role in diagnosing and treating various medical conditions. It involves the use of radiation, typically X-rays, to produce images of the inside of the body. These images help healthcare professionals to identify fractures, infections, tumors, and other abnormalities. Understanding what is radiography and its applications is essential for anyone interested in medical imaging or healthcare in general.

What is Radiography?

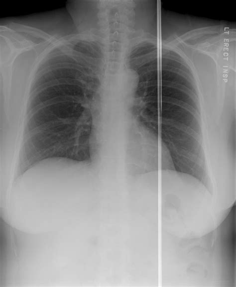
Radiography is the process of using radiation to view the internal structure of the body. It is a non-invasive procedure that allows doctors to see inside the body without surgery. The most common type of radiography uses X-rays, which are a form of electromagnetic radiation. When X-rays pass through the body, they are absorbed differently by various tissues. Dense tissues, like bone, absorb more X-rays and appear white on the image, while less dense tissues, like muscle and fat, absorb fewer X-rays and appear gray. Air-filled spaces, like the lungs, absorb the least amount of X-rays and appear black.

The History of Radiography

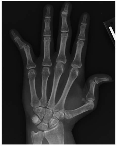
The history of radiography begins with the discovery of X-rays by Wilhelm Conrad Röntgen in 1895. Röntgen was experimenting with cathode rays when he noticed that a nearby fluorescent screen glowed when the cathode rays were turned on. He realized that an unknown type of radiation was causing the glow and named it X-rays. The first X-ray image, taken by Röntgen, was of his wife’s hand, showing her bones and a ring she was wearing. This groundbreaking discovery revolutionized medical imaging and led to the development of radiography as a diagnostic tool.

Types of Radiography

Radiography encompasses various techniques, each serving different diagnostic purposes. Some of the most common types include:

  • Conventional Radiography: This is the most basic form of radiography, using X-rays to produce images on film or digital detectors. It is commonly used to diagnose fractures, pneumonia, and other conditions.
  • Fluoroscopy: This technique uses a continuous X-ray beam to produce real-time images of the body’s internal structures. It is often used during procedures like angiography and barium studies.
  • Computed Tomography (CT): CT scans use X-rays and computer processing to create detailed cross-sectional images of the body. They are useful for diagnosing complex conditions and guiding surgical procedures.
  • Magnetic Resonance Imaging (MRI): Although MRI does not use radiation, it is often grouped with radiography techniques. It uses magnetic fields and radio waves to produce detailed images of soft tissues, making it ideal for diagnosing conditions affecting the brain, spinal cord, and joints.
  • Ultrasound: Similar to MRI, ultrasound does not use radiation. It uses high-frequency sound waves to produce images of the body’s internal structures. It is commonly used to visualize the fetus during pregnancy, as well as to examine the heart, blood vessels, and other organs.

Applications of Radiography

Radiography has a wide range of applications in medicine, making it an indispensable tool for diagnosing and treating various conditions. Some of the key applications include:

  • Diagnostic Imaging: Radiography is primarily used for diagnostic purposes. It helps doctors identify fractures, infections, tumors, and other abnormalities. For example, a chest X-ray can reveal pneumonia, while a bone X-ray can show a fracture.
  • Interventional Procedures: Radiography is used to guide minimally invasive procedures, such as biopsies, drainages, and stent placements. Fluoroscopy, in particular, is essential for these procedures as it provides real-time imaging.
  • Cancer Detection and Treatment: Radiography plays a crucial role in the detection and treatment of cancer. CT scans and MRI are used to stage cancer and monitor treatment response. Radiation therapy, which uses high-energy radiation to kill cancer cells, is also a form of radiography.
  • Cardiovascular Imaging: Radiography is used to visualize the heart and blood vessels. Techniques like angiography and echocardiography help diagnose and treat cardiovascular diseases.

Safety and Precautions

While radiography is a powerful diagnostic tool, it involves the use of radiation, which can be harmful if not properly managed. Therefore, safety and precautions are paramount. Some key considerations include:

  • Radiation Dose: The amount of radiation used in radiography should be as low as reasonably achievable (ALARA) to minimize the risk of radiation-induced injuries. Modern equipment and techniques help reduce radiation exposure.
  • Shielding: Patients and healthcare providers should use appropriate shielding, such as lead aprons and gloves, to protect sensitive areas from radiation exposure.
  • Training and Certification: Radiographers and other healthcare professionals involved in radiography must undergo specialized training and certification to ensure they can perform procedures safely and effectively.
  • Patient Preparation: Patients should be prepared for radiography procedures to ensure accurate results and minimize risks. This may include fasting, removing jewelry, and wearing appropriate clothing.

Advancements in Radiography

Radiography has evolved significantly since its inception, with advancements in technology and techniques continually improving its capabilities. Some of the latest developments include:

  • Digital Radiography: Digital radiography has replaced traditional film-based methods, offering higher image quality, faster processing times, and reduced radiation exposure.
  • 3D Imaging: Techniques like CT and MRI provide three-dimensional images of the body, allowing for more detailed and accurate diagnoses.
  • Artificial Intelligence (AI): AI is being integrated into radiography to enhance image analysis and interpretation. AI algorithms can help detect abnormalities more accurately and efficiently, assisting radiologists in their work.
  • Molecular Imaging: This advanced technique uses radiotracers to visualize biological processes at the molecular level. It is particularly useful for cancer detection and treatment monitoring.

Career Opportunities in Radiography

Radiography offers a variety of career opportunities for those interested in medical imaging. Some of the key roles include:

  • Radiographer: Radiographers are healthcare professionals who operate imaging equipment and perform diagnostic procedures. They work closely with radiologists and other healthcare providers to ensure accurate and timely diagnoses.
  • Radiologist: Radiologists are medical doctors who specialize in interpreting medical images. They use their expertise to diagnose conditions and guide treatment plans.
  • Radiation Therapist: Radiation therapists use radiation to treat cancer and other diseases. They work closely with oncologists and other healthcare providers to deliver precise and effective radiation therapy.
  • Medical Physicist: Medical physicists specialize in the physics of medical imaging and radiation therapy. They ensure that imaging equipment and radiation therapy machines are safe and effective.

📌 Note: Career opportunities in radiography require specialized education and training. Prospective radiographers and radiologists typically need to complete a bachelor's degree in radiography or a related field, followed by a residency or fellowship program. Radiation therapists and medical physicists also require specialized training and certification.

Challenges in Radiography

Despite its many benefits, radiography faces several challenges. Some of the key issues include:

  • Radiation Exposure: While modern techniques and equipment have reduced radiation exposure, there is still a risk of radiation-induced injuries, particularly with repeated or high-dose procedures.
  • Cost: Advanced radiography techniques, such as CT and MRI, can be expensive, making them less accessible to some patients and healthcare facilities.
  • Interpretation Errors: Misinterpretation of radiography images can lead to incorrect diagnoses and treatment delays. This highlights the importance of proper training and experience for radiologists and other healthcare providers.
  • Technological Limitations: While radiography has advanced significantly, there are still limitations in terms of image resolution, contrast, and other factors. Ongoing research and development are needed to overcome these challenges.

Radiography is a vital field in medical imaging that continues to evolve with advancements in technology and techniques. Understanding what is radiography and its applications is essential for anyone interested in healthcare or medical imaging. From diagnostic imaging to interventional procedures and cancer treatment, radiography plays a crucial role in modern medicine. As technology continues to advance, the future of radiography looks promising, with new developments and innovations on the horizon.

Related Terms:

  • what is a radiographer
  • what is radiology
  • what is radiography test
  • what is radiography degree
  • what is radiography vs radiology
  • what does radiography mean
Facebook Twitter WhatsApp
Related Posts
Don't Miss