Learning

What Is Joint Effusion

What Is Joint Effusion
What Is Joint Effusion

Joint effusion, often referred to as joint swelling, is a common medical condition that can affect individuals of all ages. Understanding what is joint effusion, its causes, symptoms, and treatment options is crucial for managing this condition effectively. This blog post delves into the intricacies of joint effusion, providing a comprehensive guide to help you recognize the signs and seek appropriate medical care.

Understanding Joint Effusion

Joint effusion occurs when excess fluid accumulates in the joint space, leading to swelling and discomfort. This condition can affect any joint in the body, but it is most commonly observed in the knees, elbows, and ankles. The fluid buildup can be due to various factors, including injury, infection, or underlying medical conditions.

Causes of Joint Effusion

Joint effusion can be caused by a variety of factors. Some of the most common causes include:

  • Injury: Trauma to the joint, such as a sprain or fracture, can lead to fluid accumulation as the body’s natural response to injury.
  • Infection: Bacterial or viral infections can cause inflammation and fluid buildup in the joint.
  • Arthritis: Conditions like rheumatoid arthritis and osteoarthritis can lead to chronic joint effusion.
  • Overuse: Repetitive stress on a joint, often seen in athletes, can result in fluid accumulation.
  • Autoimmune Disorders: Conditions like lupus or gout can cause joint inflammation and effusion.

Symptoms of Joint Effusion

The symptoms of joint effusion can vary depending on the underlying cause and the severity of the condition. Common symptoms include:

  • Swelling: The affected joint appears larger than normal due to fluid buildup.
  • Pain: Discomfort or pain in the joint, which can range from mild to severe.
  • Stiffness: Reduced range of motion and stiffness in the joint.
  • Warmth: The affected joint may feel warm to the touch.
  • Redness: In some cases, the skin around the joint may appear red or inflamed.

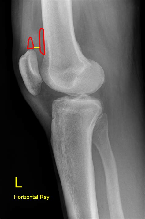
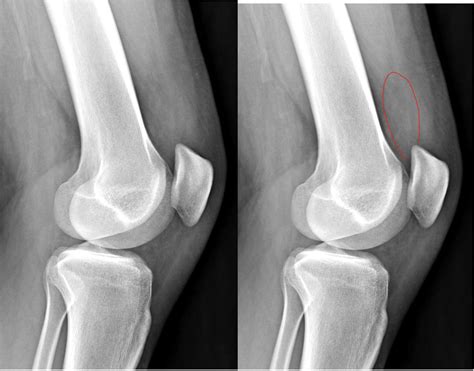
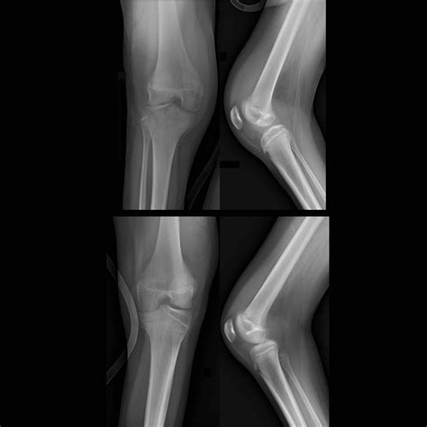
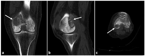
Diagnosing Joint Effusion

Diagnosing joint effusion involves a combination of physical examination and diagnostic tests. Your healthcare provider may perform the following steps:

  • Physical Examination: The doctor will examine the affected joint, checking for swelling, tenderness, and range of motion.
  • Imaging Tests: X-rays, MRI, or ultrasound may be used to visualize the joint and assess the extent of fluid buildup.
  • Joint Aspiration: In some cases, a needle may be used to remove a sample of the fluid from the joint for laboratory analysis. This can help identify the underlying cause of the effusion.

🔍 Note: Joint aspiration is a minimally invasive procedure that can provide valuable information about the cause of joint effusion. It is typically performed under local anesthesia to minimize discomfort.

Treatment Options for Joint Effusion

The treatment for joint effusion depends on the underlying cause and the severity of the condition. Common treatment options include:

  • Rest and Ice: Resting the affected joint and applying ice can help reduce swelling and pain.
  • Medications: Over-the-counter pain relievers such as ibuprofen or acetaminophen can help manage pain and inflammation. In some cases, prescription medications may be necessary.
  • Physical Therapy: Exercises and stretches can help improve range of motion and strengthen the muscles around the joint.
  • Joint Aspiration: Removing excess fluid from the joint can provide immediate relief from pain and swelling.
  • Injections: Corticosteroid injections can help reduce inflammation and pain in the joint.

Preventing Joint Effusion

While not all cases of joint effusion can be prevented, there are several steps you can take to reduce your risk:

  • Maintain a Healthy Weight: Excess weight can put additional stress on your joints, increasing the risk of effusion.
  • Exercise Regularly: Regular physical activity can help strengthen the muscles around your joints and improve overall joint health.
  • Warm Up Before Exercise: Proper warm-up and cool-down routines can help prevent joint injuries.
  • Use Proper Technique: Whether you’re exercising or performing daily activities, using the correct technique can help prevent joint injuries.
  • Avoid Overuse: Repetitive stress on a joint can lead to effusion. Take breaks and vary your activities to avoid overuse.

When to Seek Medical Attention

If you experience symptoms of joint effusion, it is important to seek medical attention promptly. While mild cases may resolve on their own, more severe or persistent symptoms may require medical intervention. Contact your healthcare provider if you experience any of the following:

  • Severe pain or swelling in the joint.
  • Inability to move the joint.
  • Fever or chills accompanying joint pain.
  • Redness or warmth around the joint.
  • Joint effusion that does not improve with rest and home remedies.

Joint effusion can be a challenging condition to manage, but with the right diagnosis and treatment, it is possible to alleviate symptoms and improve joint health. Understanding the causes, symptoms, and treatment options for joint effusion can help you take proactive steps to manage this condition effectively.

In summary, joint effusion is a common condition characterized by the accumulation of excess fluid in the joint space. It can be caused by a variety of factors, including injury, infection, and underlying medical conditions. Recognizing the symptoms and seeking appropriate medical care is crucial for managing joint effusion effectively. By understanding the causes, symptoms, and treatment options, you can take proactive steps to manage this condition and improve your overall joint health.

Related Terms:

  • what is hip joint effusion
  • what is joint effusion elbow
  • what is joint effusion shoulder
  • what is joint effusion knee
  • is joint effusion serious
  • what causes joint effusion
Facebook Twitter WhatsApp
Related Posts
Don't Miss