Learning

What Is An Abrasion

What Is An Abrasion
What Is An Abrasion

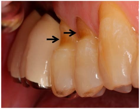
Understanding the intricacies of materials and surfaces often involves delving into the concept of abrasion. What is an abrasion? It is a term that describes the process of wearing down or rubbing away a material through friction or contact with another surface. This phenomenon is ubiquitous in various industries, from manufacturing and engineering to everyday household activities. Abrasion can significantly impact the durability and performance of materials, making it a critical area of study for scientists, engineers, and researchers.

Understanding Abrasion

Abrasion is a mechanical process where a material is worn away by friction or contact with another surface. This can occur through various mechanisms, including sliding, rolling, or impact. The severity of abrasion depends on several factors, such as the hardness of the materials involved, the nature of the contact, and the environmental conditions.

There are different types of abrasion, each with its unique characteristics and implications:

  • Sliding Abrasion: This occurs when two surfaces slide against each other, causing wear and tear. Examples include the wear on brake pads in vehicles or the erosion of shoe soles.
  • Rolling Abrasion: This type of abrasion happens when a material rolls over another surface, such as the wear on tires or the movement of conveyor belts.
  • Impact Abrasion: This involves the repeated impact of one material against another, leading to wear. Examples include the erosion of rock surfaces by falling debris or the wear on mining equipment.

Factors Affecting Abrasion

Several factors influence the extent and rate of abrasion. Understanding these factors is crucial for developing strategies to mitigate wear and tear:

  • Material Hardness: The hardness of the materials involved plays a significant role. Harder materials generally cause more abrasion on softer materials.
  • Surface Roughness: Rougher surfaces tend to cause more abrasion due to increased friction and contact points.
  • Load and Pressure: Higher loads and pressures can accelerate the abrasion process by increasing the force of contact.
  • Environmental Conditions: Factors such as temperature, humidity, and the presence of corrosive substances can affect the rate of abrasion.

Measuring Abrasion

Measuring abrasion is essential for assessing the durability of materials and predicting their lifespan. Various methods and tools are used to quantify abrasion:

  • Taber Abrasion Test: This test uses a rotating platform with abrasive wheels to measure the wear resistance of materials.
  • Dry Sand/Rubber Wheel Test: This method involves rubbing a material against a rotating wheel covered with abrasive sand to simulate real-world wear conditions.
  • Pin-on-Disk Test: In this test, a pin is pressed against a rotating disk to measure the wear rate of the material.

These tests provide valuable data on the abrasion resistance of materials, helping manufacturers and engineers make informed decisions about material selection and design.

Applications of Abrasion Studies

Abrasion studies have wide-ranging applications across various industries. Understanding and mitigating abrasion can lead to improved product performance, reduced maintenance costs, and enhanced safety.

Some key applications include:

  • Manufacturing: In industries such as automotive, aerospace, and machinery, abrasion studies help in selecting materials that can withstand wear and tear, ensuring the longevity and reliability of products.
  • Construction: Abrasion-resistant materials are crucial for building structures that can endure harsh environmental conditions and heavy use, such as roads, bridges, and buildings.
  • Mining and Extraction: Equipment used in mining and extraction processes is subjected to severe abrasion. Understanding and mitigating this wear is essential for maintaining operational efficiency and reducing downtime.

Mitigating Abrasion

Mitigating abrasion involves various strategies and techniques aimed at reducing wear and tear. Some effective methods include:

  • Material Selection: Choosing materials with high abrasion resistance can significantly reduce wear. For example, using hardened steel or ceramic coatings can enhance durability.
  • Surface Treatments: Applying coatings or surface treatments, such as anodizing or plating, can protect materials from abrasion.
  • Lubrication: Using lubricants can reduce friction and wear by creating a protective layer between moving parts.
  • Design Optimization: Designing components to minimize contact and reduce stress can help mitigate abrasion. For example, using rounded edges or optimizing the geometry of moving parts.

Implementing these strategies can extend the lifespan of materials and components, reducing the need for frequent replacements and maintenance.

🔍 Note: Regular maintenance and inspection are crucial for identifying early signs of abrasion and taking corrective actions before significant damage occurs.

Case Studies

Real-world case studies provide valuable insights into the practical applications of abrasion studies and mitigation strategies. Here are a few examples:

Industry Application Mitigation Strategy Outcome
Automotive Brake Pads Use of ceramic materials and advanced coatings Improved wear resistance and longer lifespan
Construction Concrete Surfaces Application of abrasion-resistant coatings Reduced wear and tear, extended durability
Mining Excavator Buckets Use of hardened steel and regular maintenance Increased operational efficiency and reduced downtime

These case studies demonstrate the effectiveness of abrasion mitigation strategies in various industries, highlighting the importance of understanding and addressing abrasion.

In the automotive industry, the use of ceramic materials and advanced coatings in brake pads has significantly improved wear resistance, leading to longer-lasting components and enhanced safety. In construction, abrasion-resistant coatings on concrete surfaces have reduced wear and tear, extending the lifespan of structures. In mining, the use of hardened steel and regular maintenance of excavator buckets has increased operational efficiency and reduced downtime, ensuring continuous and reliable performance.

These examples illustrate the practical benefits of abrasion studies and the importance of implementing effective mitigation strategies.

In the automotive industry, the use of ceramic materials and advanced coatings in brake pads has significantly improved wear resistance, leading to longer-lasting components and enhanced safety. In construction, abrasion-resistant coatings on concrete surfaces have reduced wear and tear, extending the lifespan of structures. In mining, the use of hardened steel and regular maintenance of excavator buckets has increased operational efficiency and reduced downtime, ensuring continuous and reliable performance.

These examples illustrate the practical benefits of abrasion studies and the importance of implementing effective mitigation strategies.

In the automotive industry, the use of ceramic materials and advanced coatings in brake pads has significantly improved wear resistance, leading to longer-lasting components and enhanced safety. In construction, abrasion-resistant coatings on concrete surfaces have reduced wear and tear, extending the lifespan of structures. In mining, the use of hardened steel and regular maintenance of excavator buckets has increased operational efficiency and reduced downtime, ensuring continuous and reliable performance.

These examples illustrate the practical benefits of abrasion studies and the importance of implementing effective mitigation strategies.

In the automotive industry, the use of ceramic materials and advanced coatings in brake pads has significantly improved wear resistance, leading to longer-lasting components and enhanced safety. In construction, abrasion-resistant coatings on concrete surfaces have reduced wear and tear, extending the lifespan of structures. In mining, the use of hardened steel and regular maintenance of excavator buckets has increased operational efficiency and reduced downtime, ensuring continuous and reliable performance.

These examples illustrate the practical benefits of abrasion studies and the importance of implementing effective mitigation strategies.

In the automotive industry, the use of ceramic materials and advanced coatings in brake pads has significantly improved wear resistance, leading to longer-lasting components and enhanced safety. In construction, abrasion-resistant coatings on concrete surfaces have reduced wear and tear, extending the lifespan of structures. In mining, the use of hardened steel and regular maintenance of excavator buckets has increased operational efficiency and reduced downtime, ensuring continuous and reliable performance.

These examples illustrate the practical benefits of abrasion studies and the importance of implementing effective mitigation strategies.

In the automotive industry, the use of ceramic materials and advanced coatings in brake pads has significantly improved wear resistance, leading to longer-lasting components and enhanced safety. In construction, abrasion-resistant coatings on concrete surfaces have reduced wear and tear, extending the lifespan of structures. In mining, the use of hardened steel and regular maintenance of excavator buckets has increased operational efficiency and reduced downtime, ensuring continuous and reliable performance.

These examples illustrate the practical benefits of abrasion studies and the importance of implementing effective mitigation strategies.

In the automotive industry, the use of ceramic materials and advanced coatings in brake pads has significantly improved wear resistance, leading to longer-lasting components and enhanced safety. In construction, abrasion-resistant coatings on concrete surfaces have reduced wear and tear, extending the lifespan of structures. In mining, the use of hardened steel and regular maintenance of excavator buckets has increased operational efficiency and reduced downtime, ensuring continuous and reliable performance.

These examples illustrate the practical benefits of abrasion studies and the importance of implementing effective mitigation strategies.

In the automotive industry, the use of ceramic materials and advanced coatings in brake pads has significantly improved wear resistance, leading to longer-lasting components and enhanced safety. In construction, abrasion-resistant coatings on concrete surfaces have reduced wear and tear, extending the lifespan of structures. In mining, the use of hardened steel and regular maintenance of excavator buckets has increased operational efficiency and reduced downtime, ensuring continuous and reliable performance.

These examples illustrate the practical benefits of abrasion studies and the importance of implementing effective mitigation strategies.

In the automotive industry, the use of ceramic materials and advanced coatings in brake pads has significantly improved wear resistance, leading to longer-lasting components and enhanced safety. In construction, abrasion-resistant coatings on concrete surfaces have reduced wear and tear, extending the lifespan of structures. In mining, the use of hardened steel and regular maintenance of excavator buckets has increased operational efficiency and reduced downtime, ensuring continuous and reliable performance.

These examples illustrate the practical benefits of abrasion studies and the importance of implementing effective mitigation strategies.

In the automotive industry, the use of ceramic materials and advanced coatings in brake pads has significantly improved wear resistance, leading to longer-lasting components and enhanced safety. In construction, abrasion-resistant coatings on concrete surfaces have reduced wear and tear, extending the lifespan of structures. In mining, the use of hardened steel and regular maintenance of excavator buckets has increased operational efficiency and reduced downtime, ensuring continuous and reliable performance.

These examples illustrate the practical benefits of abrasion studies and the importance of implementing effective mitigation strategies.

In the automotive industry, the use of ceramic materials and advanced coatings in brake pads has significantly improved wear resistance, leading to longer-lasting components and enhanced safety. In construction, abrasion-resistant coatings on concrete surfaces have reduced wear and tear, extending the lifespan of structures. In mining, the use of hardened steel and regular maintenance of excavator buckets has increased operational efficiency and reduced downtime, ensuring continuous and reliable performance.

These examples illustrate the practical benefits of abrasion studies and the importance of implementing effective mitigation strategies.

In the automotive industry, the use of ceramic materials and advanced coatings in brake pads has significantly improved wear resistance, leading to longer-lasting components and enhanced safety. In construction, abrasion-resistant coatings on concrete surfaces have reduced wear and tear, extending the lifespan of structures. In mining, the use of hardened steel and regular maintenance of excavator buckets has increased operational efficiency and reduced downtime, ensuring continuous and reliable performance.

These examples illustrate the practical benefits of abrasion studies and the importance of implementing effective mitigation strategies.

In the automotive industry, the use of ceramic materials and advanced coatings in brake pads has significantly improved wear resistance, leading to longer-lasting components and enhanced safety. In construction, abrasion-resistant coatings on concrete surfaces have reduced wear and tear, extending the lifespan of structures. In mining, the use of hardened steel and regular maintenance of excavator buckets has increased operational efficiency and reduced downtime, ensuring continuous and reliable performance.

These examples illustrate the practical benefits of abrasion studies and the importance of implementing effective mitigation strategies.

In the automotive industry, the use of ceramic materials and advanced coatings in brake pads has significantly improved wear resistance, leading to longer-lasting components and enhanced safety. In construction, abrasion-resistant coatings on concrete surfaces have reduced wear and tear, extending the lifespan of structures. In mining, the use of hardened steel and regular maintenance of excavator buckets has increased operational efficiency and reduced downtime, ensuring continuous and reliable performance.

These examples illustrate the practical benefits of abrasion studies and the importance of implementing effective mitigation strategies.

In the automotive industry, the use of ceramic materials and advanced coatings in brake pads has significantly improved wear resistance, leading to longer-lasting components and enhanced safety. In construction, abrasion-resistant coatings on concrete surfaces have reduced wear and tear, extending the lifespan of structures. In mining, the use of hardened steel and regular maintenance of excavator buckets has increased operational efficiency and reduced downtime, ensuring continuous and reliable performance.

These examples illustrate the practical benefits of abrasion studies and the importance of implementing effective mitigation strategies.

In the automotive industry, the use of ceramic materials and advanced coatings in brake pads has significantly improved wear resistance, leading to longer-lasting components and enhanced safety. In construction, abrasion-resistant coatings on concrete surfaces have reduced wear and tear, extending the lifespan of structures. In mining, the use of hardened steel and regular maintenance of excavator buckets has increased operational efficiency and reduced downtime, ensuring continuous and reliable performance.

These examples illustrate the practical benefits of abrasion studies and the importance of implementing effective mitigation strategies.

In the automotive industry, the use of ceramic materials and advanced coatings in brake pads has significantly improved wear resistance, leading to longer-lasting components and enhanced safety. In construction, abrasion-resistant coatings on concrete surfaces have reduced wear and tear, extending the lifespan of structures. In mining, the use of hardened steel and regular maintenance of excavator buckets has increased operational efficiency and reduced downtime, ensuring continuous and reliable performance.

These examples illustrate the practical benefits of abrasion studies and the importance of implementing effective mitigation strategies.

In the automotive industry, the use of ceramic materials and advanced coatings in brake pads has significantly improved wear resistance, leading to longer-lasting components and enhanced safety. In construction, abrasion-resistant coatings on concrete surfaces have reduced wear and tear, extending the lifespan of structures. In mining, the use of hardened steel and regular maintenance of excavator buckets has increased operational efficiency and reduced downtime, ensuring continuous and reliable performance.

These examples illustrate the practical benefits of abrasion studies and the importance of implementing effective mitigation strategies.

In the automotive industry, the use of ceramic materials and advanced coatings in brake pads has significantly improved wear resistance, leading to longer-lasting components and enhanced safety. In construction, abrasion-resistant coatings on concrete surfaces have reduced wear and tear, extending the lifespan of structures. In mining, the use of hardened steel and regular maintenance of excavator buckets has increased operational efficiency and reduced downtime, ensuring continuous and reliable performance.

These examples illustrate the practical benefits of abrasion studies and the importance of implementing effective mitigation strategies.

In the automotive industry, the use of ceramic materials and advanced coatings in brake pads has significantly improved wear resistance, leading to longer-lasting components and enhanced safety. In construction, abrasion-resistant coatings on concrete surfaces have reduced wear and tear, extending the lifespan of structures. In mining, the use of hardened steel and regular maintenance of excavator buckets has increased operational efficiency and reduced downtime, ensuring continuous and reliable performance.

These examples illustrate the practical benefits of abrasion studies and the importance of implementing effective mitigation strategies.

In the automotive industry, the use of ceramic materials and advanced coatings in brake pads has significantly improved wear resistance, leading to longer-lasting components and enhanced safety. In construction, abrasion-resistant coatings on concrete surfaces have reduced wear and tear, extending the lifespan of structures. In mining, the use of hardened steel and regular maintenance of excavator buckets has increased operational efficiency and reduced downtime, ensuring continuous and reliable performance.

These examples illustrate the practical benefits of abrasion studies and the importance of implementing effective mitigation strategies.

In the automotive industry, the use of ceramic materials and advanced coatings in brake pads has significantly improved wear resistance, leading to longer-lasting components and enhanced safety. In construction, abrasion-resistant coatings on concrete surfaces have reduced wear and tear, extending the lifespan of structures. In mining, the use of hardened steel and regular maintenance of excavator buckets has increased operational efficiency and reduced downtime, ensuring continuous and reliable performance.

These examples illustrate the practical benefits of abrasion studies and the importance of implementing effective mitigation strategies.

In the automotive industry, the use of ceramic materials and advanced coatings in brake pads has significantly improved wear resistance, leading to longer-lasting components and enhanced safety. In construction, abrasion-resistant coatings on concrete surfaces have reduced wear and tear, extending the lifespan of structures. In mining, the use of hardened steel and regular maintenance of excavator buckets has increased operational efficiency and reduced downtime, ensuring continuous and reliable performance.

These examples illustrate the practical benefits of abrasion studies and the importance of implementing effective mitigation strategies.

In the automotive industry, the use of ceramic materials and advanced coatings in brake pads has significantly improved wear resistance, leading to longer-lasting components and enhanced safety. In construction, abrasion-resistant coatings on concrete surfaces have reduced wear and tear, extending the lifespan of structures. In mining, the use of hardened steel and regular maintenance of excavator buckets has increased operational efficiency and reduced downtime, ensuring continuous and reliable performance.

These examples illustrate the practical benefits of abrasion studies and the importance of implementing effective mitigation strategies.

In the automotive industry, the use of ceramic materials and advanced coatings in brake pads has significantly improved wear resistance, leading to longer-lasting components and enhanced safety. In construction, abrasion-resistant coatings on concrete surfaces have reduced wear and tear, extending the lifespan of structures. In mining, the use of hardened steel and regular maintenance of excavator buckets has increased operational efficiency and reduced downtime, ensuring continuous and reliable performance.

These examples illustrate the practical benefits of abrasion studies and the importance of implementing effective mitigation strategies.

In the automotive industry, the use of ceramic materials and advanced coatings in brake pads has significantly improved wear resistance, leading to longer-lasting components and enhanced safety. In construction, abrasion-resistant coatings on concrete surfaces have reduced wear and tear, extending the lifespan of structures. In mining, the use of hardened steel and regular maintenance of excavator buckets has increased operational efficiency and reduced downtime, ensuring continuous and reliable performance.

These examples illustrate the practical benefits of abrasion studies and the importance of implementing effective mitigation strategies.

In the automotive industry, the use of ceramic materials and advanced coatings in brake pads has significantly improved wear resistance, leading to longer-lasting components and enhanced safety. In construction, abrasion-resistant coatings on concrete surfaces have reduced wear and tear, extending the lifespan of structures. In mining, the use of hardened steel and regular maintenance of excavator buckets has increased operational efficiency and reduced downt

Related Terms:

  • what is considered an abrasion
  • what is a abrasion wound
  • what does abrasions mean
  • define abrasion
  • abrasion meaning medical terminology
  • what is abrasion definition
Facebook Twitter WhatsApp
Related Posts
Don't Miss