Learning

What Is A Orthodontist

What Is A Orthodontist
What Is A Orthodontist

Orthodontics is a specialized field of dentistry that focuses on diagnosing, preventing, and treating dental and facial irregularities. If you've ever wondered, "What is an orthodontist?" you're in the right place. An orthodontist is a dental specialist who has undergone additional training to correct issues related to the alignment of teeth and jaws. This blog post will delve into the role of an orthodontist, the types of treatments they offer, and the benefits of seeking orthodontic care.

What is an Orthodontist?

An orthodontist is a dentist who has completed additional years of specialized training in orthodontics. This training focuses on the diagnosis, prevention, and treatment of dental and facial irregularities. Orthodontists are experts in correcting misaligned teeth, crowded teeth, overbites, underbites, and other issues that affect the alignment of the teeth and jaws.

The Role of an Orthodontist

Orthodontists play a crucial role in improving both the function and aesthetics of a person’s smile. Their primary responsibilities include:

  • Diagnosing dental and facial irregularities through clinical examinations and diagnostic tools such as X-rays and photographs.
  • Developing personalized treatment plans to address specific orthodontic issues.
  • Using various orthodontic appliances, such as braces, aligners, and retainers, to correct misaligned teeth and jaws.
  • Monitoring the progress of treatment and making necessary adjustments to ensure optimal results.
  • Providing post-treatment care to maintain the results and prevent relapse.

Types of Orthodontic Treatments

Orthodontists offer a variety of treatments to address different orthodontic issues. Some of the most common treatments include:

Traditional Braces

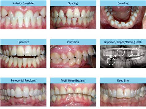
Traditional braces are the most common type of orthodontic treatment. They consist of metal brackets and wires that are attached to the teeth and gradually move them into the desired position. Traditional braces are effective for treating a wide range of orthodontic issues, including:

  • Crowded teeth
  • Gapped teeth
  • Overbites
  • Underbites
  • Crossbites

Clear Aligners

Clear aligners, such as Invisalign, are a popular alternative to traditional braces. They are made of clear, removable plastic trays that fit over the teeth and gradually move them into the desired position. Clear aligners are virtually invisible and can be removed for eating, brushing, and flossing, making them a convenient option for many patients.

Lingual Braces

Lingual braces are similar to traditional braces, but they are attached to the back of the teeth instead of the front. This makes them less visible and a good option for patients who want a more discreet treatment. Lingual braces are effective for treating a wide range of orthodontic issues, but they can be more difficult to clean and adjust than traditional braces.

Palatal Expanders

Palatal expanders are used to widen the upper jaw and create more space for the teeth. They are often used in children and adolescents whose jaws are still growing. Palatal expanders can help prevent the need for more extensive orthodontic treatment in the future.

Retainers

Retainers are used to maintain the results of orthodontic treatment and prevent relapse. They can be removable or fixed and are typically worn for a period of time after the completion of active treatment. Retainers are an essential part of post-treatment care and help ensure that the teeth remain in their new positions.

Benefits of Orthodontic Treatment

Orthodontic treatment offers numerous benefits, both functional and aesthetic. Some of the key benefits include:

  • Improved oral health: Straight teeth are easier to clean and maintain, reducing the risk of tooth decay and gum disease.
  • Enhanced appearance: A straight, well-aligned smile can boost self-confidence and improve overall appearance.
  • Better function: Properly aligned teeth and jaws can improve chewing, speaking, and breathing.
  • Prevention of future issues: Early orthodontic treatment can prevent more serious dental and facial issues from developing in the future.

When to See an Orthodontist

It’s never too late to seek orthodontic treatment, but early intervention can often lead to better results and prevent more serious issues from developing. The American Association of Orthodontists recommends that children have their first orthodontic evaluation by the age of 7. However, adults can also benefit from orthodontic treatment and should not hesitate to seek care if they have concerns about their teeth or jaws.

What to Expect During Your First Orthodontic Visit

During your first visit to an orthodontist, you can expect a comprehensive evaluation of your dental and facial structure. The orthodontist will:

  • Review your medical and dental history.
  • Perform a clinical examination of your teeth, jaws, and bite.
  • Take diagnostic records, such as X-rays, photographs, and impressions of your teeth.
  • Discuss your treatment options and develop a personalized treatment plan.

📝 Note: It's important to bring any relevant dental records or X-rays to your first orthodontic visit. This can help the orthodontist make an accurate diagnosis and develop an effective treatment plan.

Orthodontic Treatment for Children

Orthodontic treatment for children often focuses on interceptive orthodontics, which aims to address issues early and guide the growth and development of the teeth and jaws. Some common orthodontic issues in children include:

  • Crowded teeth
  • Gapped teeth
  • Overbites
  • Underbites
  • Crossbites
  • Thumb-sucking or pacifier habits that affect tooth alignment

Orthodontic Treatment for Adults

Orthodontic treatment for adults is becoming increasingly popular, as more adults seek to improve their smiles and oral health. Adult orthodontic treatment can address a wide range of issues, including:

  • Crowded teeth
  • Gapped teeth
  • Overbites
  • Underbites
  • Crossbites
  • Teeth that have shifted due to aging or previous dental work

Orthodontic Treatment for Special Needs Patients

Orthodontic treatment can also benefit patients with special needs, such as those with developmental disabilities, medical conditions, or physical limitations. Orthodontists are trained to provide compassionate and effective care to patients with special needs, and they work closely with other healthcare providers to ensure comprehensive treatment.

Cost of Orthodontic Treatment

The cost of orthodontic treatment can vary depending on the type of treatment, the severity of the orthodontic issues, and the duration of treatment. Many orthodontists offer flexible payment plans and financing options to make treatment more affordable. It’s important to discuss the cost of treatment with your orthodontist and explore your payment options before beginning treatment.

Maintaining Orthodontic Results

Maintaining the results of orthodontic treatment is essential to ensure long-term success. After completing active treatment, patients will typically wear a retainer to maintain the new position of their teeth. Regular dental check-ups and good oral hygiene habits are also important for maintaining orthodontic results and preventing future issues.

Choosing the Right Orthodontist

Choosing the right orthodontist is an important decision that can impact the success of your treatment. When selecting an orthodontist, consider the following factors:

  • Education and training: Look for an orthodontist who has completed a specialized orthodontic program and is board-certified.
  • Experience: Choose an orthodontist with experience treating patients with similar orthodontic issues.
  • Reputation: Read reviews and ask for recommendations from friends and family to find an orthodontist with a good reputation.
  • Technology and techniques: Look for an orthodontist who uses the latest technology and techniques to provide effective and efficient treatment.
  • Communication: Choose an orthodontist who communicates clearly and listens to your concerns and goals.

Here is a table to help you understand the different types of orthodontic appliances and their uses:

Type of Appliance Use Benefits
Traditional Braces Correcting misaligned teeth and jaws Effective for a wide range of issues, durable, and cost-effective
Clear Aligners Correcting mild to moderate misalignments Virtually invisible, removable, and convenient
Lingual Braces Correcting misaligned teeth and jaws Less visible, effective for a wide range of issues
Palatal Expanders Widening the upper jaw Prevents the need for more extensive treatment, effective for children and adolescents
Retainers Maintaining orthodontic results Prevents relapse, essential for post-treatment care

Orthodontic treatment can significantly improve both the function and aesthetics of your smile. By understanding what an orthodontist does and the various treatments available, you can make informed decisions about your oral health. Whether you're considering orthodontic treatment for yourself or your child, it's important to consult with a qualified orthodontist to develop a personalized treatment plan that meets your unique needs and goals.

Orthodontic treatment is a journey that requires commitment and patience, but the results are well worth the effort. With the right orthodontist and treatment plan, you can achieve a healthy, beautiful smile that lasts a lifetime.

Related Terms:

  • is an orthodontist a physician
  • what is a orthodontist dentist
  • what is an orthodontic treatment
  • what is a orthodontics dentist
  • what is orthodontics in dentistry
  • is an orthodontist a doctor
Facebook Twitter WhatsApp
Related Posts
Don't Miss