Learning

What Are Bony Lesions

What Are Bony Lesions
What Are Bony Lesions

Bony lesions are abnormalities or changes in the bone structure that can be caused by a variety of conditions, ranging from infections and injuries to more serious diseases like cancer. Understanding what are bony lesions, their types, causes, symptoms, and treatment options is crucial for early detection and effective management. This comprehensive guide will delve into the intricacies of bony lesions, providing valuable insights for both medical professionals and individuals seeking information.

What Are Bony Lesions?

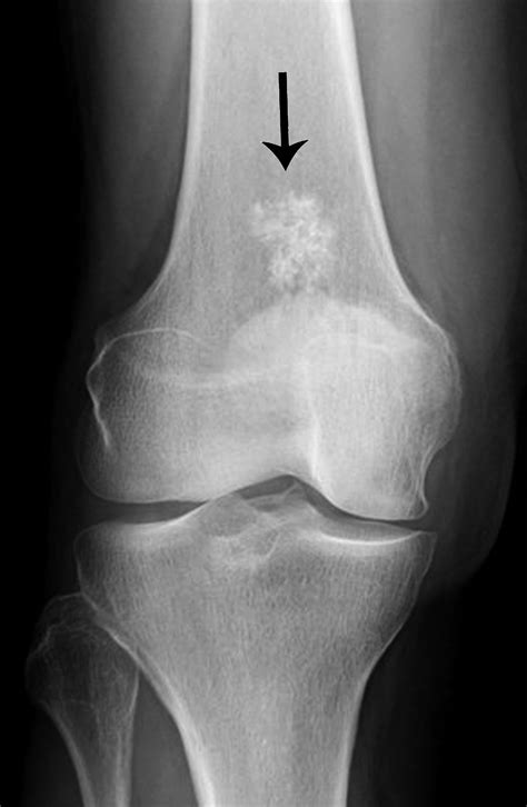
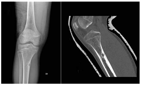
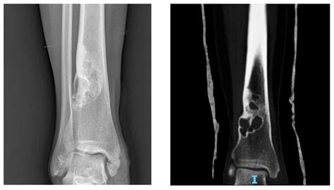
Bony lesions refer to any abnormal growths, defects, or changes in the bone tissue. These lesions can be benign (non-cancerous) or malignant (cancerous) and can occur in any part of the skeletal system. They are often detected through imaging techniques such as X-rays, CT scans, MRI, or bone scans. The characteristics of bony lesions can vary widely, making accurate diagnosis essential for appropriate treatment.

Types of Bony Lesions

Bony lesions can be classified into several types based on their origin, appearance, and behavior. Some of the most common types include:

  • Benign Lesions: These are non-cancerous and typically do not spread to other parts of the body. Examples include osteochondromas, enchondromas, and osteoid osteomas.
  • Malignant Lesions: These are cancerous and can metastasize to other organs. Common types include osteosarcoma, Ewing sarcoma, and chondrosarcoma.
  • Infectious Lesions: These are caused by bacterial, viral, or fungal infections. Examples include osteomyelitis and tuberculosis of the bone.
  • Metabolic Lesions: These result from metabolic disorders such as osteoporosis, Paget’s disease, and hyperparathyroidism.
  • Traumatic Lesions: These occur due to injuries such as fractures, dislocations, or bone contusions.

Causes of Bony Lesions

The causes of bony lesions can be diverse and multifaceted. Understanding the underlying causes is essential for effective diagnosis and treatment. Some of the primary causes include:

  • Infections: Bacterial, viral, or fungal infections can lead to bony lesions. For example, Staphylococcus aureus is a common cause of osteomyelitis.
  • Trauma: Injuries such as fractures, dislocations, or bone contusions can result in bony lesions.
  • Metabolic Disorders: Conditions like osteoporosis, Paget’s disease, and hyperparathyroidism can cause bone abnormalities.
  • Cancer: Both primary bone cancers (e.g., osteosarcoma) and metastatic cancers (e.g., breast cancer spreading to the bone) can cause bony lesions.
  • Genetic Factors: Certain genetic conditions, such as neurofibromatosis and multiple hereditary exostoses, can predispose individuals to bony lesions.

Symptoms of Bony Lesions

The symptoms of bony lesions can vary depending on the type, location, and severity of the lesion. Common symptoms include:

  • Pain: Persistent or intermittent pain in the affected area is a common symptom.
  • Swelling: Inflammation and swelling around the lesion site.
  • Limited Mobility: Reduced range of motion or difficulty moving the affected limb.
  • Fractures: Increased risk of fractures, especially in cases of metastatic lesions.
  • Systemic Symptoms: Fever, fatigue, and weight loss may accompany infectious or malignant lesions.

Diagnosis of Bony Lesions

Accurate diagnosis of bony lesions involves a combination of clinical evaluation, imaging studies, and laboratory tests. The diagnostic process typically includes:

  • Medical History and Physical Examination: A thorough medical history and physical examination to assess symptoms and identify any underlying conditions.
  • Imaging Studies: X-rays, CT scans, MRI, and bone scans are commonly used to visualize the lesion and determine its characteristics.
  • Biopsy: A tissue sample may be taken for histopathological examination to confirm the diagnosis and determine the type of lesion.
  • Laboratory Tests: Blood tests, urine tests, and other laboratory investigations may be performed to rule out infections or metabolic disorders.

Treatment Options for Bony Lesions

The treatment of bony lesions depends on the type, location, and severity of the lesion, as well as the overall health of the patient. Common treatment options include:

  • Medications: Antibiotics for infectious lesions, pain relievers, and anti-inflammatory drugs.
  • Surgery: Surgical removal of the lesion, bone grafting, or joint replacement may be necessary.
  • Radiation Therapy: Used to shrink malignant lesions and reduce pain.
  • Chemotherapy: Systemic treatment for malignant lesions to destroy cancer cells.
  • Physical Therapy: To improve mobility, strength, and function after treatment.

Prevention and Management of Bony Lesions

While not all bony lesions can be prevented, certain measures can help reduce the risk and manage existing conditions. Key strategies include:

  • Regular Exercise: Maintaining a healthy lifestyle with regular physical activity to strengthen bones and muscles.
  • Balanced Diet: Consuming a diet rich in calcium and vitamin D to support bone health.
  • Avoiding Injuries: Taking precautions to prevent fractures and other injuries.
  • Regular Check-ups: Regular medical check-ups and screenings to detect any abnormalities early.
  • Managing Underlying Conditions: Effective management of conditions like osteoporosis, diabetes, and autoimmune disorders.

📝 Note: Early detection and prompt treatment of bony lesions can significantly improve outcomes and quality of life.

Commonly Asked Questions About Bony Lesions

Understanding bony lesions often involves addressing common questions and concerns. Here are some frequently asked questions:

Question Answer
What are the most common types of bony lesions? The most common types include osteochondromas, enchondromas, osteoid osteomas, osteosarcoma, Ewing sarcoma, and chondrosarcoma.
How are bony lesions diagnosed? Diagnosis involves a combination of medical history, physical examination, imaging studies (X-rays, CT scans, MRI), biopsy, and laboratory tests.
What are the treatment options for bony lesions? Treatment options include medications, surgery, radiation therapy, chemotherapy, and physical therapy, depending on the type and severity of the lesion.
Can bony lesions be prevented? While not all lesions can be prevented, maintaining a healthy lifestyle, regular exercise, a balanced diet, and managing underlying conditions can help reduce the risk.

Bony lesions are a complex and multifaceted topic that requires a comprehensive understanding of their types, causes, symptoms, and treatment options. By staying informed and proactive, individuals can better manage these conditions and improve their overall health and well-being.

In summary, bony lesions encompass a wide range of abnormalities in the bone structure, each with its unique characteristics and treatment requirements. Early detection through regular check-ups and prompt intervention can significantly enhance the prognosis and quality of life for individuals affected by these conditions. Whether benign or malignant, infectious or traumatic, understanding what are bony lesions and their implications is crucial for effective management and prevention.

Related Terms:

  • bony lesions radiology assistant
  • bony lesions meaning
  • benign bony lesions
  • bony lesions of the mandible
  • multiple bony lesions
  • destructive bony lesions
Facebook Twitter WhatsApp
Related Posts
Don't Miss