Learning

Vp Shunt Icd 10

Vp Shunt Icd 10
Vp Shunt Icd 10

Understanding the intricacies of medical coding is crucial for healthcare professionals, especially when dealing with complex procedures and diagnoses. One such procedure that requires precise coding is the VP Shunt ICD 10 coding. This procedure involves the placement of a ventriculoperitoneal (VP) shunt, a medical device used to treat hydrocephalus by draining excess cerebrospinal fluid (CSF) from the brain to the peritoneal cavity. Proper coding ensures accurate billing and appropriate reimbursement, making it a vital aspect of medical administration.

Understanding Hydrocephalus and VP Shunts

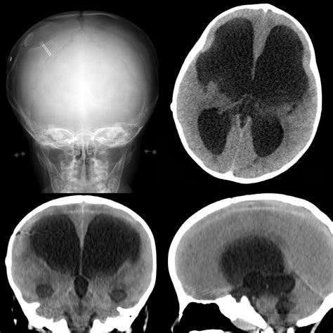
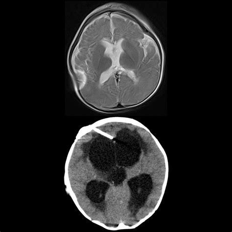
Hydrocephalus is a condition characterized by the accumulation of CSF in the brain, leading to increased intracranial pressure. This can cause a variety of symptoms, including headaches, nausea, and cognitive impairments. A VP shunt is a surgical solution that helps manage this condition by redirecting the excess fluid to the abdomen, where it can be absorbed naturally.

The VP shunt consists of several components:

  • A catheter placed in the ventricles of the brain to drain the CSF.
  • A valve that regulates the flow of CSF.
  • A distal catheter that directs the fluid to the peritoneal cavity.

Importance of Accurate VP Shunt ICD 10 Coding

Accurate coding for VP shunt procedures is essential for several reasons:

  • Reimbursement: Correct coding ensures that healthcare providers receive appropriate payment for the services rendered.
  • Patient Care: Proper documentation and coding help in tracking patient outcomes and ensuring continuity of care.
  • Compliance: Accurate coding helps healthcare facilities comply with regulatory requirements and avoid penalties.

ICD-10 Codes for VP Shunt Procedures

The ICD-10 coding system provides specific codes for VP shunt procedures. These codes are used to document the placement, revision, and removal of VP shunts. Here are some of the key codes related to VP shunt procedures:

Code Description
02H60ZZ Insertion of intracranial neurostimulator lead into brain, open approach
02H63ZZ Insertion of intracranial neurostimulator lead into brain, percutaneous approach
02H64ZZ Insertion of intracranial neurostimulator lead into brain, percutaneous endoscopic approach
02H67ZZ Insertion of intracranial neurostimulator lead into brain, via natural or artificial opening
02H68ZZ Insertion of intracranial neurostimulator lead into brain, via natural or artificial opening endoscopic

These codes are part of the broader ICD-10 system, which includes thousands of codes for various medical procedures and diagnoses. Understanding and correctly applying these codes is essential for accurate billing and documentation.

Steps for Accurate VP Shunt ICD 10 Coding

To ensure accurate coding for VP shunt procedures, follow these steps:

  1. Review Medical Records: Thoroughly review the patient's medical records to understand the specifics of the procedure performed.
  2. Identify the Procedure: Determine whether the procedure involves the insertion, revision, or removal of the VP shunt.
  3. Select the Appropriate Code: Choose the ICD-10 code that best describes the procedure. Refer to the table above for common codes related to VP shunt procedures.
  4. Document the Code: Accurately document the selected code in the patient's medical record and billing system.
  5. Verify Compliance: Ensure that the coding complies with regulatory requirements and internal policies.

📝 Note: Always double-check the coding to avoid errors that could lead to incorrect billing or compliance issues.

Common Challenges in VP Shunt ICD 10 Coding

Despite the importance of accurate coding, healthcare professionals often face several challenges:

  • Complexity of Procedures: VP shunt procedures can be complex, involving multiple steps and components. Accurately capturing all aspects of the procedure in a single code can be challenging.
  • Regulatory Changes: The ICD-10 coding system is subject to frequent updates and changes. Staying current with these changes is essential for accurate coding.
  • Documentation Issues: Incomplete or inaccurate documentation can lead to coding errors. Ensuring thorough and precise documentation is crucial.

Addressing these challenges requires ongoing training and education for coding professionals, as well as robust documentation practices within healthcare facilities.

Best Practices for VP Shunt ICD 10 Coding

To overcome the challenges and ensure accurate coding, consider the following best practices:

  • Continuous Education: Regularly update your knowledge of ICD-10 codes and regulatory changes through training programs and workshops.
  • Thorough Documentation: Ensure that all aspects of the procedure are thoroughly documented in the patient's medical record.
  • Use of Coding Tools: Utilize coding software and tools that provide real-time updates and guidance on ICD-10 codes.
  • Peer Review: Conduct regular peer reviews of coding practices to identify and correct errors.

Implementing these best practices can significantly improve the accuracy and efficiency of VP shunt ICD 10 coding.

Accurate coding for VP shunt procedures is a critical aspect of medical administration. By understanding the intricacies of the procedure, selecting the appropriate ICD-10 codes, and following best practices, healthcare professionals can ensure accurate billing, compliance, and patient care. Continuous education and thorough documentation are key to overcoming the challenges associated with VP shunt ICD 10 coding. By adhering to these principles, healthcare facilities can enhance their coding practices and provide better care for patients with hydrocephalus.

Related Terms:

  • blocked vp shunt icd 10
  • vp shunt placement icd 10
  • normal pressure hydrocephalus icd 10
  • vp shunt cpt code
  • vp shunt catheter icd 10
  • vp shunt icd 10 status
Facebook Twitter WhatsApp
Related Posts
Don't Miss