Learning

Vertical Dimension In Dentistry

Vertical Dimension In Dentistry
Vertical Dimension In Dentistry

Dentistry is a multifaceted field that requires a deep understanding of various dimensions to ensure optimal oral health. One of the critical aspects that often goes unnoticed but is vital for comprehensive dental care is the vertical dimension in dentistry. This dimension refers to the distance between two points: one on the tip of the nose and the other on the chin, with the mouth closed. Understanding and managing the vertical dimension is crucial for achieving functional and aesthetic harmony in dental treatments.

Understanding the Vertical Dimension in Dentistry

The vertical dimension in dentistry is not just about measurements; it encompasses the overall balance and harmony of the facial structures. It plays a significant role in:

  • Occlusal stability
  • Masticatory function
  • Aesthetic appearance
  • Speech articulation

When the vertical dimension is compromised, it can lead to various issues such as temporomandibular joint (TMJ) disorders, muscle fatigue, and even changes in facial aesthetics. Therefore, dentists must carefully assess and manage this dimension to ensure comprehensive oral health.

Assessing the Vertical Dimension

Assessing the vertical dimension involves a combination of clinical examination and diagnostic tools. Here are the key steps involved:

  • Clinical Examination: A thorough clinical examination includes evaluating the patient's facial profile, lip support, and occlusal relationships. The dentist looks for signs of wear on the teeth, which can indicate a loss of vertical dimension.
  • Diagnostic Tools: Tools such as cephalometric radiographs, panoramic radiographs, and digital imaging can provide detailed information about the vertical dimension. These tools help in measuring the distance between key anatomical landmarks and assessing the overall facial balance.
  • Photographic Analysis: Photographs taken from different angles can help in visualizing the vertical dimension and planning the treatment accordingly. This is particularly useful in cases where aesthetic considerations are paramount.

By combining these methods, dentists can gain a comprehensive understanding of the vertical dimension and plan appropriate treatments.

Treatment Approaches for Vertical Dimension

Treatment approaches for managing the vertical dimension in dentistry can vary depending on the specific needs of the patient. Some common treatment options include:

  • Restorative Dentistry: In cases where the vertical dimension has been lost due to tooth wear, restorative procedures such as crowns, bridges, and veneers can be used to restore the proper dimensions. These procedures not only improve the aesthetics but also enhance the functionality of the teeth.
  • Orthodontic Treatment: Orthodontic interventions can help in correcting malocclusions that affect the vertical dimension. Braces, aligners, and other orthodontic appliances can be used to reposition the teeth and jaws, thereby restoring the vertical dimension.
  • Prosthodontic Treatment: For patients with missing teeth, prosthodontic treatments such as dentures, implants, and implant-supported prostheses can be used to restore the vertical dimension. These treatments not only replace the missing teeth but also provide support to the facial structures.
  • Occlusal Adjustment: In some cases, occlusal adjustment or equilibration may be necessary to restore the proper vertical dimension. This involves reshaping the teeth to achieve a balanced occlusion and reduce excessive forces on the temporomandibular joints.

Each of these treatment approaches has its own set of indications and contraindications, and the choice of treatment depends on the individual needs of the patient.

Importance of Vertical Dimension in Prosthodontics

In prosthodontics, the vertical dimension is particularly important as it directly affects the stability and retention of dental prostheses. When the vertical dimension is not properly managed, it can lead to:

  • Increased risk of prosthesis failure
  • Discomfort and instability of the prosthesis
  • Changes in facial aesthetics
  • Difficulty in speech and mastication

Therefore, prosthodontists must carefully assess and manage the vertical dimension to ensure the long-term success of dental prostheses. This involves:

  • Accurate measurement of the vertical dimension
  • Proper design and fabrication of the prosthesis
  • Regular follow-up and adjustment as needed

By paying close attention to the vertical dimension, prosthodontists can provide patients with functional, stable, and aesthetically pleasing dental prostheses.

Case Studies: Vertical Dimension in Dentistry

To illustrate the importance of the vertical dimension in dentistry, let's consider a few case studies:

Case Study 1: Restorative Treatment

A 45-year-old patient presented with severe tooth wear and a loss of vertical dimension. The patient complained of discomfort during chewing and a noticeable change in facial aesthetics. After a thorough clinical examination and diagnostic imaging, the dentist decided to restore the vertical dimension using full-coverage crowns. The treatment involved:

  • Preparation of the teeth for crowns
  • Fabrication of temporary crowns to assess the new vertical dimension
  • Final fabrication and placement of permanent crowns

The patient reported significant improvement in comfort and aesthetics post-treatment.

Case Study 2: Orthodontic Treatment

A 28-year-old patient with a deep bite and a loss of vertical dimension sought orthodontic treatment. The patient had difficulty in chewing and experienced frequent headaches. After a detailed assessment, the orthodontist decided to use clear aligners to correct the malocclusion and restore the vertical dimension. The treatment plan included:

  • Fabrication of a series of clear aligners
  • Regular follow-up appointments to monitor progress
  • Final adjustments to achieve the desired vertical dimension

The patient achieved a balanced occlusion and reported relief from headaches and improved chewing ability.

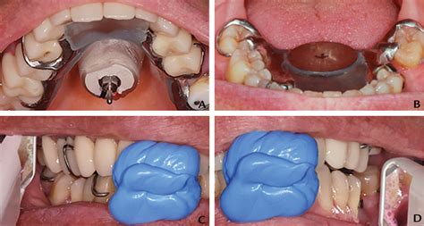
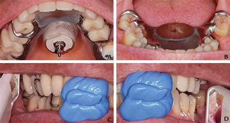
Case Study 3: Prosthodontic Treatment

A 60-year-old patient with multiple missing teeth and a loss of vertical dimension required prosthodontic treatment. The patient had difficulty in speaking and eating and was concerned about the aesthetic impact of missing teeth. The prosthodontist decided to use implant-supported prostheses to restore the vertical dimension. The treatment involved:

  • Placement of dental implants
  • Fabrication of implant-supported prostheses
  • Regular follow-up to ensure stability and comfort

The patient was satisfied with the functional and aesthetic outcomes of the treatment.

📝 Note: These case studies highlight the diverse applications of managing the vertical dimension in dentistry. Each case requires a tailored approach based on the patient's specific needs and clinical presentation.

Challenges in Managing the Vertical Dimension

While managing the vertical dimension is crucial, it also presents several challenges. Some of the common challenges include:

  • Patient Compliance: Ensuring patient compliance with treatment plans can be challenging, especially in cases requiring long-term orthodontic or prosthodontic treatments.
  • Diagnostic Accuracy: Accurate diagnosis and measurement of the vertical dimension require advanced diagnostic tools and expertise, which may not be available in all dental practices.
  • Treatment Complexity: Managing the vertical dimension often involves complex treatment plans that require coordination among different dental specialties.
  • Patient Expectations: Managing patient expectations and ensuring they understand the importance of the vertical dimension can be challenging, especially in aesthetic cases.

Addressing these challenges requires a multidisciplinary approach and continuous education for dental professionals.

Future Directions in Vertical Dimension Management

The field of dentistry is continually evolving, and so are the techniques for managing the vertical dimension. Some of the future directions in this area include:

  • Advanced Diagnostic Tools: The development of more advanced diagnostic tools, such as 3D imaging and digital scanning, can enhance the accuracy of vertical dimension assessment.
  • Digital Dentistry: The integration of digital dentistry, including CAD/CAM technology and 3D printing, can improve the precision and efficiency of treatments aimed at restoring the vertical dimension.
  • Biomaterials: The use of advanced biomaterials can enhance the durability and aesthetics of dental restorations, making them more effective in managing the vertical dimension.
  • Patient-Centered Care: Emphasizing patient-centered care and personalized treatment plans can improve patient compliance and satisfaction, leading to better outcomes in managing the vertical dimension.

These advancements hold promise for improving the management of the vertical dimension in dentistry, leading to better patient outcomes and enhanced oral health.

In conclusion, the vertical dimension in dentistry is a critical aspect that plays a pivotal role in achieving functional and aesthetic harmony in dental treatments. By understanding and managing this dimension, dentists can provide comprehensive care that addresses both the functional and aesthetic needs of their patients. From restorative and orthodontic treatments to prosthodontic interventions, the vertical dimension is a key consideration in ensuring long-term oral health and patient satisfaction. As the field continues to evolve, advancements in diagnostic tools, digital dentistry, and biomaterials will further enhance the management of the vertical dimension, leading to better patient outcomes and improved quality of life.

Related Terms:

  • vertical dimension of teeth
  • vertical dimension of occlusion dental
  • opening vertical dimension of occlusion
  • occlusal vertical dimension prosthesis
  • loss of vertical dimension occlusion
  • vertical dimension of dentistry
Facebook Twitter WhatsApp
Related Posts
Don't Miss