Learning

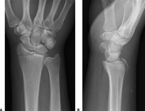
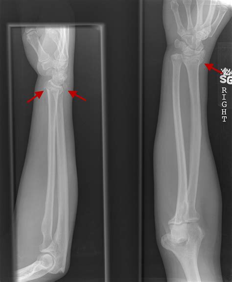
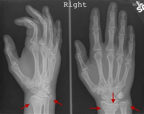
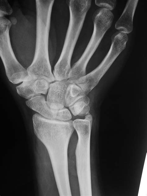
Ulnar Styloid Fracture

Ulnar Styloid Fracture
Ulnar Styloid Fracture

An *ulnar styloid fracture* is a specific type of wrist injury that occurs when the styloid process of the ulna bone breaks. This small, bony protrusion on the ulna is crucial for the stability and movement of the wrist. Understanding the causes, symptoms, diagnosis, and treatment options for an ulnar styloid fracture is essential for anyone who has experienced this injury or is at risk of it.

Understanding the Ulnar Styloid

The ulna is one of the two long bones in the forearm, the other being the radius. The styloid process is a small, pointed projection at the distal end of the ulna, near the wrist. This structure plays a vital role in the stability of the wrist joint and the attachment of several ligaments. When this process fractures, it can significantly impact wrist function and cause considerable pain.

Causes of Ulnar Styloid Fracture

An ulnar styloid fracture can result from various types of trauma to the wrist. Common causes include:

  • Falls: Especially those where the hand is outstretched to break the fall, such as in a forward fall.
  • Sports Injuries: High-impact sports like football, basketball, or skiing can lead to wrist injuries.
  • Motor Vehicle Accidents: The force of impact can cause fractures in the wrist.
  • Direct Blows: A direct hit to the wrist, such as from a heavy object or during a fight, can result in a fracture.

Symptoms of Ulnar Styloid Fracture

Recognizing the symptoms of an ulnar styloid fracture is crucial for prompt treatment. Common symptoms include:

  • Severe pain in the wrist, especially with movement.
  • Swelling and bruising around the wrist.
  • Tenderness to touch, particularly over the ulnar styloid process.
  • Limited range of motion in the wrist.
  • Deformity or visible bump at the fracture site.

Diagnosing an Ulnar Styloid Fracture

Diagnosing an ulnar styloid fracture typically involves a combination of physical examination and imaging tests. The diagnostic process may include:

  • Physical Examination: A healthcare provider will assess the wrist for pain, swelling, and deformity. They may also check the range of motion and stability of the wrist.
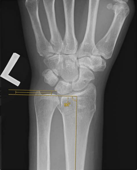
  • X-rays: These are the primary imaging tool used to confirm the diagnosis. X-rays can show the location and extent of the fracture.
  • CT Scan: In some cases, a CT scan may be ordered to provide a more detailed view of the fracture, especially if surgery is being considered.
  • MRI: An MRI may be used to assess soft tissue damage, such as ligament injuries, which can accompany an ulnar styloid fracture.

Treatment Options for Ulnar Styloid Fracture

The treatment for an ulnar styloid fracture depends on the severity of the fracture and the individual’s overall health. Treatment options can be broadly categorized into non-surgical and surgical approaches.

Non-Surgical Treatment

For less severe fractures, non-surgical treatment may be sufficient. This typically involves:

  • Immobilization: The wrist is immobilized using a cast or splint to allow the bone to heal. This usually lasts for 4 to 6 weeks.
  • Pain Management: Over-the-counter pain relievers such as ibuprofen or acetaminophen can help manage pain and reduce inflammation.
  • Physical Therapy: Once the cast is removed, physical therapy can help restore range of motion, strength, and flexibility in the wrist.

Surgical Treatment

In cases of severe fractures or when non-surgical treatment is not effective, surgery may be required. Surgical options include:

  • Open Reduction and Internal Fixation (ORIF): This procedure involves realigning the bone fragments and securing them with plates, screws, or wires.
  • Arthroscopy: In some cases, arthroscopic surgery may be used to repair the fracture and assess any associated ligament damage.

Recovery and Rehabilitation

Recovery from an ulnar styloid fracture can take several weeks to months, depending on the severity of the injury and the type of treatment received. The rehabilitation process typically involves:

  • Immobilization Period: During the initial healing phase, the wrist is kept immobile to allow the bone to heal.
  • Gradual Return to Activity: As the bone heals, gradual return to normal activities is encouraged, with a focus on avoiding activities that put excessive stress on the wrist.
  • Physical Therapy: Regular physical therapy sessions can help restore strength, flexibility, and range of motion in the wrist.

Complications of Ulnar Styloid Fracture

While most ulnar styloid fractures heal without complications, there are potential risks to be aware of. These include:

  • Non-Union: The bone fragments do not heal properly, leading to a persistent fracture.
  • Malunion: The bone heals in a misaligned position, which can affect wrist function.
  • Arthritis: Long-term complications can include the development of arthritis in the wrist joint.
  • Nerve Damage: Injury to nearby nerves can occur, leading to numbness, tingling, or weakness in the hand.

📝 Note: Regular follow-up appointments with a healthcare provider are essential to monitor healing and address any potential complications.

Preventing Ulnar Styloid Fracture

While not all ulnar styloid fractures can be prevented, there are steps you can take to reduce the risk of injury. These include:

  • Wearing Protective Gear: Use wrist guards or other protective gear during high-impact activities or sports.
  • Falling Safely: Learn proper falling techniques to minimize the impact on the wrists.
  • Maintaining Bone Health: Ensure adequate calcium and vitamin D intake to maintain bone strength.
  • Strengthening Exercises: Regular exercises to strengthen the muscles and ligaments around the wrist can help prevent injuries.

An ulnar styloid fracture is a serious injury that requires prompt medical attention and appropriate treatment. Understanding the causes, symptoms, and treatment options can help individuals manage this injury effectively and promote a successful recovery. By taking preventive measures, the risk of such injuries can be significantly reduced, ensuring better overall wrist health.

Related Terms:

  • ulnar styloid fracture management
  • ulnar styloid fracture icd 10
  • ununited ulnar styloid fracture
  • ulnar styloid fracture splint
  • ulnar styloid fracture wikem
  • ulnar styloid fracture radiopaedia
Facebook Twitter WhatsApp
Related Posts
Don't Miss