Learning

Tumor Or Tumour

Tumor Or Tumour
Tumor Or Tumour

Understanding the complexities of a tumor or tumour is crucial for anyone seeking information about this medical condition. A tumor or tumour is an abnormal growth of tissue that can be either benign or malignant. Benign tumors are non-cancerous and do not spread to other parts of the body, while malignant tumors are cancerous and can invade nearby tissues and spread to distant organs. This post aims to provide a comprehensive overview of tumors or tumours, their types, causes, symptoms, diagnosis, and treatment options.

Types of Tumors or Tumours

Tumors or tumours can be classified into several types based on their origin and behavior. The main types include:

  • Benign Tumors: These are non-cancerous and do not spread to other parts of the body. Examples include lipomas (fat tissue tumors) and fibroids (uterine tumors).
  • Malignant Tumors: These are cancerous and can invade nearby tissues and spread to distant organs. Examples include carcinomas (which originate from epithelial cells) and sarcomas (which originate from connective tissue).
  • Primary Tumors: These originate in a specific organ or tissue. For example, a primary lung tumor or tumour starts in the lung tissue.
  • Secondary Tumors: These are metastases, meaning they have spread from a primary tumor or tumour located elsewhere in the body. For example, a secondary lung tumor or tumour may have originated from a primary breast tumor or tumour.

Causes of Tumors or Tumours

The exact causes of tumors or tumours are not always clear, but several factors are known to increase the risk of developing them. These factors include:

  • Genetic Mutations: Inherited genetic mutations can increase the risk of developing certain types of tumors or tumours. For example, mutations in the BRCA1 and BRCA2 genes are associated with an increased risk of breast and ovarian cancer.
  • Environmental Factors: Exposure to certain environmental factors, such as radiation, chemicals, and viruses, can increase the risk of developing tumors or tumours. For example, exposure to asbestos is linked to an increased risk of mesothelioma, a type of lung tumor or tumour.
  • Lifestyle Factors: Certain lifestyle choices, such as smoking, excessive alcohol consumption, and a poor diet, can increase the risk of developing tumors or tumours. For example, smoking is a major risk factor for lung cancer.
  • Age and Gender: The risk of developing tumors or tumours increases with age. Certain types of tumors or tumours are more common in specific age groups or genders. For example, breast cancer is more common in women, while prostate cancer is more common in men.

Symptoms of Tumors or Tumours

The symptoms of tumors or tumours can vary widely depending on the type, size, and location of the tumor or tumour. Some common symptoms include:

  • Lump or Swelling: A palpable lump or swelling in the affected area.
  • Pain: Persistent pain or discomfort in the affected area.
  • Fatigue: Unexplained fatigue or weakness.
  • Weight Loss: Unexplained weight loss.
  • Fever: Persistent fever.
  • Changes in Bowel or Bladder Habits: Changes in bowel or bladder habits, such as constipation, diarrhea, or frequent urination.
  • Coughing or Shortness of Breath: Persistent coughing or shortness of breath, especially if accompanied by blood in the sputum.

It is important to note that these symptoms can also be caused by other conditions, so it is essential to consult a healthcare provider for an accurate diagnosis.

Diagnosis of Tumors or Tumours

The diagnosis of tumors or tumours typically involves a combination of medical history, physical examination, and diagnostic tests. Some common diagnostic tests include:

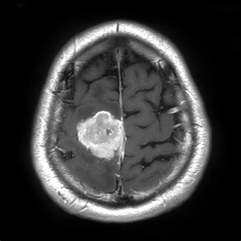
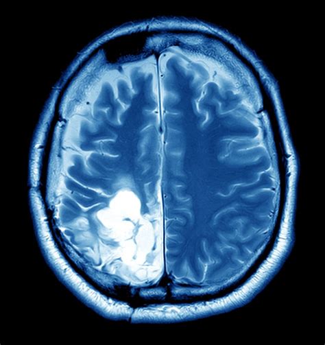
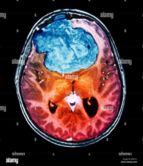
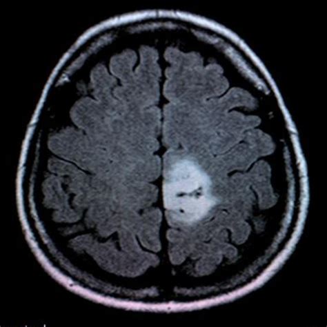
  • Imaging Tests: Imaging tests such as X-rays, CT scans, MRI scans, and PET scans can help visualize the tumor or tumour and determine its size, location, and extent.
  • Biopsy: A biopsy involves removing a small sample of tissue from the tumor or tumour for examination under a microscope. This can help determine whether the tumor or tumour is benign or malignant.
  • Blood Tests: Blood tests can help detect certain markers associated with specific types of tumors or tumours. For example, prostate-specific antigen (PSA) levels can be elevated in men with prostate cancer.
  • Endoscopy: Endoscopy involves using a flexible tube with a camera to examine the inside of the body. This can help detect tumors or tumours in the digestive tract, respiratory tract, or other internal organs.

Treatment Options for Tumors or Tumours

The treatment of tumors or tumours depends on several factors, including the type, size, location, and stage of the tumor or tumour, as well as the patient's overall health and preferences. Some common treatment options include:

  • Surgery: Surgery involves removing the tumor or tumour and, if necessary, surrounding tissue. This can be curative for benign tumors or tumours and may also be used to remove malignant tumors or tumours before other treatments.
  • Radiation Therapy: Radiation therapy uses high-energy beams to kill cancer cells. It can be used alone or in combination with other treatments, such as surgery or chemotherapy.
  • Chemotherapy: Chemotherapy uses drugs to kill cancer cells. It can be used alone or in combination with other treatments, such as surgery or radiation therapy.
  • Targeted Therapy: Targeted therapy uses drugs that target specific molecules involved in cancer growth and spread. This can be more effective and have fewer side effects than traditional chemotherapy.
  • Immunotherapy: Immunotherapy uses the body's immune system to fight cancer. It can be used alone or in combination with other treatments, such as surgery or chemotherapy.

In some cases, a combination of these treatments may be recommended to achieve the best possible outcome.

Stages of Tumors or Tumours

The staging of tumors or tumours is a critical aspect of diagnosis and treatment planning. Staging helps determine the extent of the tumor or tumour and guides the choice of treatment. The most common staging system is the TNM system, which stands for Tumor, Node, and Metastasis. Here is a breakdown of the TNM system:

T (Tumor) N (Node) M (Metastasis)
Describes the size and extent of the primary tumor or tumour. Describes whether the cancer has spread to nearby lymph nodes. Describes whether the cancer has spread to distant organs or tissues.

Each category is further divided into subcategories to provide a more detailed description of the tumor or tumour. For example, T1, T2, T3, and T4 describe the size and extent of the primary tumor or tumour, while N0, N1, N2, and N3 describe the involvement of lymph nodes, and M0 and M1 describe the presence or absence of distant metastases.

Based on the TNM categories, tumors or tumours are often grouped into stages, typically ranging from Stage 0 to Stage IV. Stage 0 indicates a very early tumor or tumour that is confined to the site of origin, while Stage IV indicates a tumor or tumour that has spread to distant organs or tissues.

📝 Note: The staging system can vary slightly depending on the type of cancer, so it is important to consult with a healthcare provider for accurate information.

Prevention of Tumors or Tumours

While not all tumors or tumours can be prevented, there are several steps that can be taken to reduce the risk of developing certain types of tumors or tumours. These include:

  • Healthy Lifestyle: Maintaining a healthy lifestyle, including a balanced diet, regular exercise, and avoiding tobacco and excessive alcohol consumption, can help reduce the risk of developing tumors or tumours.
  • Regular Screenings: Regular screenings, such as mammograms for breast cancer and colonoscopies for colorectal cancer, can help detect tumors or tumours at an early stage when they are more treatable.
  • Vaccinations: Certain vaccinations, such as the HPV vaccine, can help prevent tumors or tumours caused by viral infections.
  • Avoiding Environmental Hazards: Avoiding exposure to environmental hazards, such as radiation and certain chemicals, can help reduce the risk of developing tumors or tumours.

Living with a Tumor or Tumour

Living with a tumor or tumour can be challenging, both physically and emotionally. It is important to seek support from healthcare providers, family, and friends during this time. Some tips for coping with a tumor or tumour diagnosis include:

  • Educate Yourself: Learn as much as you can about your specific type of tumor or tumour and the available treatment options.
  • Communicate with Your Healthcare Team: Maintain open communication with your healthcare team to ensure you are receiving the best possible care.
  • Seek Support: Join support groups or seek counseling to help cope with the emotional challenges of a tumor or tumour diagnosis.
  • Maintain a Healthy Lifestyle: Continue to follow a healthy lifestyle, including a balanced diet and regular exercise, to support your overall health and well-being.

It is also important to be aware of the potential side effects of treatment and to discuss any concerns with your healthcare provider.

In addition to the physical challenges, living with a tumor or tumour can also have a significant emotional impact. It is common to experience feelings of fear, anxiety, and depression. Seeking support from mental health professionals, support groups, and loved ones can help manage these emotions and improve overall well-being.

Financial concerns can also arise due to the cost of treatment and potential loss of income. It is important to explore available resources, such as insurance coverage, financial assistance programs, and support from non-profit organizations, to help manage these challenges.

Finally, it is important to maintain a positive outlook and focus on the things that bring joy and meaning to life. Engaging in hobbies, spending time with loved ones, and practicing self-care can all contribute to a better quality of life during this challenging time.

In conclusion, understanding the complexities of a tumor or tumour is essential for anyone seeking information about this medical condition. From the types and causes to the symptoms, diagnosis, and treatment options, this post has provided a comprehensive overview of tumors or tumours. By taking proactive steps to reduce the risk of developing tumors or tumours and seeking appropriate care and support, individuals can improve their overall health and well-being.

Related Terms:

  • is a tumour always cancer
  • tumor vs cancer
  • difference between cancer and tumour
  • tumor or tumour canada
  • cancer tumor or tumour
  • tumour vs tumor definition
Facebook Twitter WhatsApp
Related Posts
Don't Miss