Learning

Transverse Fracture Definition

Transverse Fracture Definition
Transverse Fracture Definition

Understanding the intricacies of bone fractures is crucial for medical professionals and anyone interested in orthopedics. One specific type of fracture that warrants attention is the transverse fracture. This type of fracture occurs when a bone breaks at a right angle to its long axis, often resulting from direct trauma or high-impact forces. The transverse fracture definition is essential for diagnosing and treating these injuries effectively.

Understanding Transverse Fractures

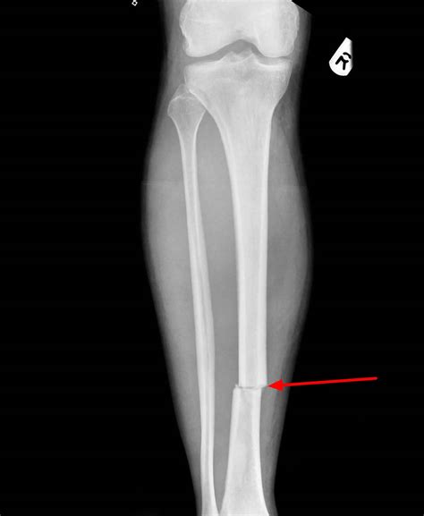
A transverse fracture is characterized by a clean break across the bone, perpendicular to its longitudinal axis. This type of fracture is commonly seen in long bones such as the femur, tibia, and humerus. The mechanism of injury typically involves a direct blow or a high-impact force, such as a fall from a height or a motor vehicle accident.

Causes of Transverse Fractures

Transverse fractures can result from various causes, including:

  • Direct Trauma: A direct blow to the bone, such as from a fall or a collision, can cause a transverse fracture.
  • High-Impact Forces: Activities involving high-impact forces, like sports injuries or motor vehicle accidents, can lead to transverse fractures.
  • Pathological Conditions: Underlying bone conditions, such as osteoporosis or bone tumors, can weaken the bone and make it more susceptible to transverse fractures.

Diagnosing Transverse Fractures

Diagnosing a transverse fracture involves a combination of clinical examination and imaging studies. The process typically includes:

  • Clinical Examination: A thorough physical examination to assess the site of injury, swelling, deformity, and tenderness.
  • Imaging Studies: X-rays are the primary imaging modality used to visualize the fracture. In some cases, CT scans or MRI may be required for a more detailed assessment.

Treatment Options for Transverse Fractures

The treatment of transverse fractures depends on the severity of the fracture, the location, and the patient's overall health. Common treatment options include:

  • Non-Surgical Treatment: For less severe fractures, non-surgical methods such as immobilization with a cast or splint may be sufficient. This allows the bone to heal naturally over time.
  • Surgical Treatment: More severe fractures may require surgical intervention. Surgical options include:

Open Reduction and Internal Fixation (ORIF): This procedure involves realigning the bone fragments and securing them with plates, screws, or rods.

External Fixation: In cases where the skin and soft tissues are severely damaged, an external fixator may be used to stabilize the fracture from outside the body.

Recovery and Rehabilitation

Recovery from a transverse fracture involves a combination of rest, immobilization, and rehabilitation. The key steps in the recovery process include:

  • Immobilization: The affected limb is immobilized to allow the bone to heal. This may involve the use of a cast, splint, or brace.
  • Pain Management: Medications such as analgesics and anti-inflammatory drugs are prescribed to manage pain and reduce inflammation.
  • Physical Therapy: Once the fracture has begun to heal, physical therapy is initiated to restore range of motion, strength, and function. This may include exercises, manual therapy, and modalities such as heat or cold therapy.

Complications of Transverse Fractures

While transverse fractures can heal successfully with proper treatment, there are potential complications to be aware of:

  • Non-Union: Failure of the bone to heal properly, resulting in a persistent fracture line.
  • Malunion: Healing of the bone in a misaligned position, which can affect function and mobility.
  • Infection: Risk of infection, especially in cases where surgical intervention is required.
  • Nerve and Vascular Damage: Injury to nearby nerves and blood vessels, which can lead to neurological deficits or impaired blood flow.

Preventing Transverse Fractures

Preventing transverse fractures involves taking measures to reduce the risk of injury. Some effective strategies include:

  • Safety Measures: Wearing protective gear during high-risk activities, such as helmets, pads, and braces.
  • Fall Prevention: Implementing fall prevention strategies, especially for elderly individuals, such as removing tripping hazards and installing grab bars.
  • Bone Health: Maintaining good bone health through a balanced diet rich in calcium and vitamin D, regular exercise, and avoiding smoking and excessive alcohol consumption.

๐Ÿ” Note: Regular medical check-ups can help identify underlying bone conditions that may increase the risk of fractures.

Special Considerations for Transverse Fractures in Children

Transverse fractures in children have some unique considerations due to the differences in bone structure and growth plates. Key points to consider include:

  • Growth Plates: Children's bones are still growing, and fractures near the growth plates require special attention to ensure proper healing and continued growth.
  • Non-Surgical Treatment: Many transverse fractures in children can be treated non-surgically with immobilization and close monitoring.
  • Follow-Up Care: Regular follow-up appointments are essential to monitor the healing process and ensure that the growth plates are not affected.

Special Considerations for Transverse Fractures in the Elderly

Elderly individuals are at a higher risk of transverse fractures due to age-related bone loss and increased risk of falls. Special considerations for this population include:

  • Bone Density: Assessing bone density through tests like DEXA scans to identify osteoporosis or osteopenia.
  • Fall Prevention: Implementing fall prevention strategies to reduce the risk of fractures.
  • Rehabilitation: Tailoring rehabilitation programs to address age-related limitations and promote a safe return to daily activities.

๐Ÿ” Note: Elderly patients may require longer recovery times and more intensive rehabilitation to regain full function.

Case Studies and Examples

To better understand the transverse fracture definition and its implications, let's examine a few case studies:

Case Study 1: A 30-year-old athlete sustains a transverse fracture of the tibia during a soccer match. The fracture is diagnosed through X-rays, and the athlete undergoes surgical treatment with ORIF. Post-operative rehabilitation includes physical therapy to restore strength and mobility.

Case Study 2: An 80-year-old woman falls in her home and suffers a transverse fracture of the femur. The fracture is treated non-surgically with a hip spica cast. The patient undergoes physical therapy to regain mobility and prevent future falls.

Case Study 3: A 10-year-old child falls from a playground equipment and sustains a transverse fracture of the radius. The fracture is treated with a cast, and the child is closely monitored to ensure proper healing and growth.

Future Directions in Transverse Fracture Management

The management of transverse fractures continues to evolve with advancements in medical technology and research. Future directions in this field include:

  • Advanced Imaging Techniques: Utilizing advanced imaging techniques such as 3D CT scans and MRI to provide more detailed assessments of fractures.
  • Biological Enhancements: Exploring the use of biological enhancements, such as bone grafts and growth factors, to promote faster and more effective healing.
  • Minimally Invasive Surgery: Developing minimally invasive surgical techniques to reduce recovery times and improve patient outcomes.

In conclusion, understanding the transverse fracture definition is crucial for diagnosing and treating these injuries effectively. Transverse fractures result from direct trauma or high-impact forces and require a combination of clinical examination and imaging studies for accurate diagnosis. Treatment options range from non-surgical methods to surgical interventions, depending on the severity of the fracture. Recovery involves immobilization, pain management, and rehabilitation to restore function. Preventive measures, such as safety gear and fall prevention, can help reduce the risk of transverse fractures. Special considerations for children and the elderly ensure that treatment is tailored to their unique needs. Future advancements in imaging, biological enhancements, and surgical techniques promise to improve the management of transverse fractures further.

Related Terms:

  • transverse fracture x ray
  • transverse fracture description
  • transverse bone fracture
  • what is a transverse fracture
  • transverse vs oblique fracture
  • displaced fracture definition
Facebook Twitter WhatsApp
Related Posts
Don't Miss