Learning

Transmission Electron Microscope Images

Transmission Electron Microscope Images
Transmission Electron Microscope Images

In the realm of scientific research and material analysis, the ability to visualize and understand the microscopic world is paramount. One of the most powerful tools in this domain is the Transmission Electron Microscope (TEM). TEM images provide unparalleled insights into the structure and composition of materials at the nanoscale, making them indispensable for researchers across various fields. This post delves into the intricacies of TEM images, their applications, and the techniques used to capture and analyze them.

Understanding Transmission Electron Microscope Images

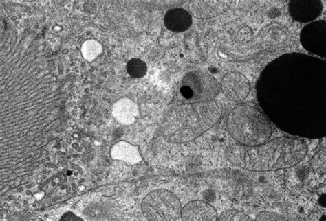
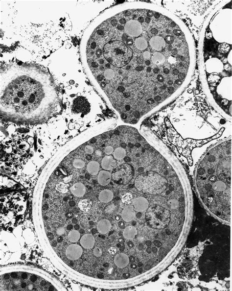
Transmission Electron Microscope (TEM) images are produced by passing a beam of electrons through a thin specimen. The electrons interact with the atoms in the sample, and the resulting image is formed based on the scattering and absorption of these electrons. This process allows for the visualization of structures as small as individual atoms, providing detailed information about the sample's morphology, crystallography, and composition.

TEM images are particularly valuable in fields such as materials science, nanotechnology, and biology. In materials science, TEM images help researchers understand the microstructure of materials, identify defects, and study the behavior of materials under different conditions. In nanotechnology, TEM images are used to characterize nanoparticles, quantum dots, and other nanoscale structures. In biology, TEM images provide insights into the ultrastructure of cells and tissues, aiding in the study of diseases and the development of new treatments.

Applications of Transmission Electron Microscope Images

TEM images have a wide range of applications across various scientific disciplines. Some of the key areas where TEM images are extensively used include:

  • Materials Science: TEM images are used to study the microstructure of metals, ceramics, and polymers. Researchers can analyze grain boundaries, dislocations, and other defects that affect the mechanical properties of materials.
  • Nanotechnology: TEM images are essential for characterizing nanoscale structures such as nanoparticles, nanotubes, and quantum dots. These images help in understanding the size, shape, and distribution of nanoparticles, which are crucial for their applications in electronics, medicine, and energy.
  • Biology: TEM images provide detailed views of cellular structures, organelles, and viruses. This information is vital for understanding cellular processes, identifying pathogens, and developing new therapeutic strategies.
  • Geology: TEM images are used to study the microstructure of minerals and rocks. Researchers can analyze the composition and structure of minerals, which helps in understanding geological processes and the formation of natural resources.

Techniques for Capturing Transmission Electron Microscope Images

Capturing high-quality TEM images requires a combination of advanced techniques and precise instrumentation. Some of the key techniques used in TEM imaging include:

  • Bright-Field Imaging: This is the most basic form of TEM imaging, where the image is formed by the electrons that pass through the sample without being scattered. Bright-field images provide a clear view of the sample's morphology and structure.
  • Dark-Field Imaging: In dark-field imaging, the image is formed by the electrons that are scattered by the sample. This technique highlights specific features within the sample, such as defects or precipitates, making it useful for studying the microstructure of materials.
  • High-Resolution TEM (HRTEM): HRTEM provides atomic-level resolution, allowing researchers to visualize individual atoms and their arrangements within the sample. This technique is particularly useful for studying crystalline materials and nanoscale structures.
  • Energy-Dispersive X-ray Spectroscopy (EDS): EDS is used in conjunction with TEM to analyze the chemical composition of the sample. By detecting the X-rays emitted by the sample when it is bombarded with electrons, EDS provides information about the elemental composition and distribution within the sample.

Analyzing Transmission Electron Microscope Images

Once TEM images are captured, the next step is to analyze them to extract meaningful information. This process involves several steps, including image processing, data interpretation, and quantitative analysis. Some of the key techniques used in TEM image analysis include:

  • Image Processing: Image processing techniques such as filtering, contrast enhancement, and edge detection are used to improve the quality of TEM images and highlight specific features within the sample.
  • Data Interpretation: Data interpretation involves understanding the information contained in the TEM images. This includes identifying structures, defects, and other features within the sample and correlating them with the sample's properties and behavior.
  • Quantitative Analysis: Quantitative analysis techniques such as particle size distribution, crystallographic analysis, and elemental mapping are used to quantify the information contained in TEM images. This provides precise measurements and statistical data that can be used to draw conclusions about the sample.

One of the most powerful tools for analyzing TEM images is the use of software packages that provide advanced image processing and analysis capabilities. These software packages allow researchers to perform complex analyses, such as Fourier transform analysis, image segmentation, and 3D reconstruction, to gain deeper insights into the sample's structure and composition.

For example, consider a study on the microstructure of a metal alloy. The researcher might capture a series of TEM images at different magnifications and orientations. By using image processing techniques, the researcher can enhance the contrast and clarity of the images, making it easier to identify grain boundaries, dislocations, and other defects. Quantitative analysis can then be performed to measure the size and distribution of these defects, providing valuable information about the alloy's mechanical properties.

Similarly, in a biological study, TEM images of cellular structures can be analyzed to understand the ultrastructure of cells and tissues. Image processing techniques can be used to enhance the visibility of organelles and other cellular components, while quantitative analysis can provide measurements of their size, shape, and distribution. This information is crucial for understanding cellular processes and the mechanisms of diseases.

Challenges and Limitations of Transmission Electron Microscope Images

While TEM images provide invaluable insights into the microscopic world, there are several challenges and limitations associated with their use. Some of the key challenges include:

  • Sample Preparation: Preparing samples for TEM imaging can be time-consuming and technically demanding. The sample must be thin enough to allow electrons to pass through, typically less than 100 nanometers thick. This requires specialized techniques such as ion milling, ultramicrotomy, or focused ion beam (FIB) milling.
  • Radiation Damage: The high-energy electron beam used in TEM can cause radiation damage to the sample, altering its structure and composition. This is particularly problematic for biological samples, which are sensitive to radiation.
  • Resolution Limits: While TEM provides high-resolution images, there are still limitations to the resolution that can be achieved. Factors such as sample thickness, electron beam energy, and the quality of the microscope can affect the resolution of the images.
  • Interpretation Complexity: Interpreting TEM images can be complex and requires a deep understanding of the sample's structure and composition. Misinterpretation of the images can lead to incorrect conclusions about the sample's properties and behavior.

To address these challenges, researchers often use complementary techniques such as Scanning Electron Microscopy (SEM), Atomic Force Microscopy (AFM), and X-ray diffraction (XRD) to gain a more comprehensive understanding of the sample. Additionally, advancements in TEM technology, such as the development of aberration-corrected TEM and environmental TEM, are helping to overcome some of these limitations and provide even higher-resolution images.

For example, aberration-corrected TEM uses advanced optics to correct for aberrations in the electron beam, resulting in images with higher resolution and better contrast. Environmental TEM allows for the observation of samples in their natural environment, providing insights into dynamic processes such as chemical reactions and phase transformations.

In summary, while there are challenges and limitations associated with TEM images, ongoing advancements in technology and techniques are helping to overcome these obstacles and expand the capabilities of TEM imaging.

🔍 Note: Always ensure that the sample preparation techniques are optimized for the specific material being studied to minimize artifacts and maximize the quality of the TEM images.

In the field of materials science, TEM images are used to study the microstructure of materials, identify defects, and understand the behavior of materials under different conditions. For example, researchers might use TEM images to study the grain boundaries and dislocations in a metal alloy, providing insights into its mechanical properties and failure mechanisms. Similarly, in nanotechnology, TEM images are used to characterize nanoparticles, quantum dots, and other nanoscale structures, helping to understand their size, shape, and distribution.

In biology, TEM images provide detailed views of cellular structures, organelles, and viruses. This information is vital for understanding cellular processes, identifying pathogens, and developing new therapeutic strategies. For instance, TEM images of viral particles can reveal their structure and composition, aiding in the development of vaccines and antiviral drugs.

In geology, TEM images are used to study the microstructure of minerals and rocks. Researchers can analyze the composition and structure of minerals, which helps in understanding geological processes and the formation of natural resources. For example, TEM images of mineral grains can provide insights into their crystallographic orientation, defects, and chemical composition, aiding in the study of geological phenomena such as metamorphism and mineralization.

In the field of environmental science, TEM images are used to study the structure and composition of environmental samples, such as soils, sediments, and atmospheric particles. This information is crucial for understanding environmental processes and the impact of human activities on the environment. For example, TEM images of atmospheric particles can reveal their size, shape, and chemical composition, providing insights into their sources and potential health effects.

In the field of forensic science, TEM images are used to analyze trace evidence, such as fibers, paint chips, and gunshot residues. This information is crucial for identifying the source of the evidence and linking it to a specific individual or event. For example, TEM images of gunshot residues can reveal their composition and morphology, providing insights into the type of ammunition used and the distance from which the shot was fired.

In the field of archaeology, TEM images are used to study the microstructure of ancient artifacts, such as pottery, metals, and glass. This information is crucial for understanding the manufacturing techniques and cultural practices of ancient civilizations. For example, TEM images of ancient pottery can reveal the composition and structure of the clay, providing insights into the firing techniques and decorative styles used by the artisans.

In the field of art conservation, TEM images are used to study the microstructure of artworks, such as paintings, sculptures, and textiles. This information is crucial for understanding the materials and techniques used in the creation of the artwork and for developing conservation strategies to preserve it for future generations. For example, TEM images of paint samples can reveal the composition and structure of the pigments, providing insights into the artist's techniques and the condition of the artwork.

In the field of pharmaceuticals, TEM images are used to study the structure and composition of drug molecules and delivery systems. This information is crucial for understanding the behavior of drugs in the body and for developing new and more effective treatments. For example, TEM images of drug nanoparticles can reveal their size, shape, and surface properties, providing insights into their bioavailability and therapeutic efficacy.

In the field of energy, TEM images are used to study the microstructure of materials used in energy storage and conversion devices, such as batteries, fuel cells, and solar cells. This information is crucial for understanding the performance and durability of these devices and for developing new and more efficient energy technologies. For example, TEM images of battery electrodes can reveal the composition and structure of the active materials, providing insights into their electrochemical properties and degradation mechanisms.

In the field of electronics, TEM images are used to study the microstructure of semiconductor devices, such as transistors, diodes, and integrated circuits. This information is crucial for understanding the performance and reliability of these devices and for developing new and more advanced electronic technologies. For example, TEM images of semiconductor junctions can reveal the composition and structure of the materials, providing insights into their electrical properties and failure mechanisms.

In the field of catalysis, TEM images are used to study the structure and composition of catalytic materials, such as nanoparticles, supported catalysts, and zeolites. This information is crucial for understanding the catalytic activity and selectivity of these materials and for developing new and more efficient catalytic processes. For example, TEM images of catalytic nanoparticles can reveal their size, shape, and surface properties, providing insights into their catalytic performance and stability.

In the field of materials science, TEM images are used to study the microstructure of materials, identify defects, and understand the behavior of materials under different conditions. For example, researchers might use TEM images to study the grain boundaries and dislocations in a metal alloy, providing insights into its mechanical properties and failure mechanisms. Similarly, in nanotechnology, TEM images are used to characterize nanoparticles, quantum dots, and other nanoscale structures, helping to understand their size, shape, and distribution.

In biology, TEM images provide detailed views of cellular structures, organelles, and viruses. This information is vital for understanding cellular processes, identifying pathogens, and developing new therapeutic strategies. For instance, TEM images of viral particles can reveal their structure and composition, aiding in the development of vaccines and antiviral drugs.

In geology, TEM images are used to study the microstructure of minerals and rocks. Researchers can analyze the composition and structure of minerals, which helps in understanding geological processes and the formation of natural resources. For example, TEM images of mineral grains can provide insights into their crystallographic orientation, defects, and chemical composition, aiding in the study of geological phenomena such as metamorphism and mineralization.

In the field of environmental science, TEM images are used to study the structure and composition of environmental samples, such as soils, sediments, and atmospheric particles. This information is crucial for understanding environmental processes and the impact of human activities on the environment. For example, TEM images of atmospheric particles can reveal their size, shape, and chemical composition, providing insights into their sources and potential health effects.

In the field of forensic science, TEM images are used to analyze trace evidence, such as fibers, paint chips, and gunshot residues. This information is crucial for identifying the source of the evidence and linking it to a specific individual or event. For example, TEM images of gunshot residues can reveal their composition and morphology, providing insights into the type of ammunition used and the distance from which the shot was fired.

In the field of archaeology, TEM images are used to study the microstructure of ancient artifacts, such as pottery, metals, and glass. This information is crucial for understanding the manufacturing techniques and cultural practices of ancient civilizations. For example, TEM images of ancient pottery can reveal the composition and structure of the clay, providing insights into the firing techniques and decorative styles used by the artisans.

In the field of art conservation, TEM images are used to study the microstructure of artworks, such as paintings, sculptures, and textiles. This information is crucial for understanding the materials and techniques used in the creation of the artwork and for developing conservation strategies to preserve it for future generations. For example, TEM images of paint samples can reveal the composition and structure of the pigments, providing insights into the artist's techniques and the condition of the artwork.

In the field of pharmaceuticals, TEM images are used to study the structure and composition of drug molecules and delivery systems. This information is crucial for understanding the behavior of drugs in the body and for developing new and more effective treatments. For example, TEM images of drug nanoparticles can reveal their size, shape, and surface properties, providing insights into their bioavailability and therapeutic efficacy.

In the field of energy, TEM images are used to study the microstructure of materials used in energy storage and conversion devices, such as batteries, fuel cells, and solar cells. This information is crucial for understanding the performance and durability of these devices and for developing new and more efficient energy technologies. For example, TEM images of battery electrodes can reveal the composition and structure of the active materials, providing insights into their electrochemical properties and degradation mechanisms.

In the field of electronics, TEM images are used to study the microstructure of semiconductor devices, such as transistors, diodes, and integrated circuits. This information is crucial for understanding the performance and reliability of these devices and for developing new and more advanced electronic technologies. For example, TEM images of semiconductor junctions can reveal the composition and structure of the materials, providing insights into their electrical properties and failure mechanisms.

In the field of catalysis, TEM images are used to study the structure and composition of catalytic materials, such as nanoparticles, supported catalysts, and zeolites. This information is crucial for understanding the catalytic activity and selectivity of these materials and for developing new and more efficient catalytic processes. For example, TEM images of catalytic nanoparticles can reveal their size, shape, and surface properties, providing insights into their catalytic performance and stability.

In the field of materials science, TEM images are used to study the microstructure of materials, identify defects, and understand the behavior of materials under different conditions. For example, researchers might use TEM images to study the grain boundaries and dislocations in a metal alloy, providing insights into its mechanical properties and failure mechanisms. Similarly, in nanotechnology, TEM images are used to characterize nanoparticles, quantum dots, and other nanoscale structures, helping to understand their size, shape, and distribution.

In biology, TEM images provide detailed views of cellular structures, organelles, and viruses. This information is vital for understanding cellular processes, identifying pathogens, and developing new therapeutic strategies. For instance, TEM images of viral particles can reveal their structure and composition, aiding in the development of vaccines and antiviral drugs.

In geology, TEM images are used to study the microstructure of minerals and rocks. Researchers can analyze the composition and structure of minerals, which helps in understanding geological processes and the formation of natural resources. For example, TEM images of mineral grains can provide insights into their crystallographic orientation, defects, and chemical composition, aiding in the study of geological phenomena such as metamorphism and mineralization.

In the field of environmental science, TEM images are used to study the structure and composition of environmental samples, such as soils, sediments, and atmospheric particles. This information is crucial for understanding environmental processes and the impact of human activities on the environment. For example, TEM images of atmospheric particles can reveal their size, shape, and chemical composition, providing insights into their sources and potential health effects.

In the field of forensic science, TEM images are used to analyze trace evidence, such as fibers, paint chips, and gunshot residues. This information is crucial for identifying the source of the evidence and linking it to a specific individual or event. For example, TEM images of gunshot residues can reveal their composition and morphology, providing insights into the type of ammunition used and the distance from which the shot was fired.

In the field of archaeology, TEM images are used to study the microstructure of ancient artifacts, such as pottery, metals, and glass. This information is crucial for understanding the manufacturing techniques and cultural practices of ancient civilizations. For example, TEM images of ancient pottery can reveal the composition and structure of the clay, providing insights into the firing techniques and decorative styles used by the artisans.

In the field of art conservation, TEM images are used to study the microstructure of artworks, such as paintings, sculptures, and textiles. This information is crucial for understanding the materials and techniques used in the creation of the artwork and for developing conservation strategies to preserve it for future generations. For example, TEM images of paint samples can reveal the composition and structure of the pigments, providing insights into the artist's techniques and the condition of the artwork.

In the field of pharmaceuticals, TEM images are used to study the structure and composition of drug molecules and delivery systems. This information is crucial for understanding the behavior of drugs in the body and for developing new and more effective treatments. For example, TEM images of drug nanoparticles can reveal their size, shape, and surface properties, providing insights into their bioavailability and therapeutic efficacy.

In the field of energy, TEM images are used to study the microstructure of materials used in energy storage and conversion devices, such as batteries, fuel

Related Terms:

  • transmission electron microscopy tem
  • scanning electron microscope images
  • electron microscope image gallery
  • transmission electron microscope diagram
  • transmission electron microscopy uses
  • transmission electron microscope magnification
Facebook Twitter WhatsApp
Related Posts
Don't Miss