Learning

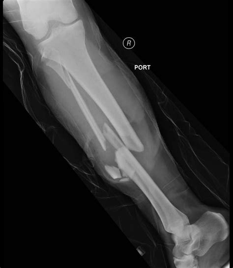
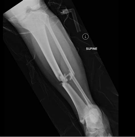
Tib Fib Fracture

Tib Fib Fracture
Tib Fib Fracture

Understanding a Tib Fib Fracture is crucial for anyone involved in orthopedics, sports medicine, or anyone who has experienced a lower leg injury. This type of fracture involves the tibia and fibula, the two bones that make up the lower leg. A Tib Fib Fracture can range from minor cracks to severe breaks, and understanding the causes, symptoms, diagnosis, and treatment options is essential for effective management and recovery.

Understanding the Tibia and Fibula

The tibia, also known as the shinbone, is the larger of the two bones in the lower leg. It bears most of the body’s weight and is crucial for standing, walking, and running. The fibula, on the other hand, is the smaller bone located on the outer side of the leg. While it does not bear as much weight as the tibia, it plays a significant role in stabilizing the ankle and supporting the muscles of the lower leg.

Causes of Tib Fib Fracture

A Tib Fib Fracture can occur due to various reasons, including:

  • Trauma: Direct impact or blunt force to the lower leg, often from accidents, falls, or sports injuries.
  • Stress Fractures: Repetitive stress or overuse, common in athletes and individuals involved in high-impact activities.
  • Pathological Fractures: Underlying conditions such as osteoporosis or bone tumors can weaken the bones, making them more susceptible to fractures.

Symptoms of Tib Fib Fracture

Recognizing the symptoms of a Tib Fib Fracture is the first step in seeking appropriate medical attention. Common symptoms include:

  • Severe pain in the lower leg, especially when bearing weight.
  • Swelling and bruising around the affected area.
  • Deformity or visible misalignment of the leg.
  • Inability to walk or bear weight on the affected leg.
  • Numbness or tingling in the foot or toes.

Diagnosing a Tib Fib Fracture

Diagnosing a Tib Fib Fracture involves a combination of physical examination and imaging tests. The diagnostic process typically includes:

  • Physical Examination: A healthcare provider will assess the injured leg, checking for pain, swelling, and deformity.
  • Imaging Tests: X-rays are the primary imaging tool used to confirm a Tib Fib Fracture. In some cases, additional tests such as CT scans or MRIs may be required for a more detailed view of the fracture.

Classification of Tib Fib Fractures

Tib Fib Fractures are classified based on the location, pattern, and severity of the break. Common classifications include:

Classification Description
Proximal Tib Fib Fracture Occurs near the knee joint.
Midshaft Tib Fib Fracture Occurs in the middle of the tibia and fibula.
Distal Tib Fib Fracture Occurs near the ankle joint.
Open Tib Fib Fracture The bone breaks through the skin, increasing the risk of infection.
Closed Tib Fib Fracture The bone does not break through the skin.

Treatment Options for Tib Fib Fracture

The treatment for a Tib Fib Fracture depends on the severity and type of fracture. Common treatment options include:

  • Non-Surgical Treatment: For minor fractures, non-surgical options such as immobilization with a cast or splint, pain management, and physical therapy may be sufficient.
  • Surgical Treatment: Severe or complex fractures may require surgery. Surgical options include:
  • Open Reduction and Internal Fixation (ORIF): The bone is realigned and held in place with plates, screws, or rods.
  • Intramedullary Nailing: A rod is inserted into the marrow cavity of the bone to stabilize the fracture.
  • External Fixation: Pins or screws are inserted into the bone and connected to an external frame to stabilize the fracture.

📝 Note: The choice of treatment depends on various factors, including the patient's age, overall health, and the specific characteristics of the fracture.

Recovery and Rehabilitation

Recovery from a Tib Fib Fracture can be a lengthy process, depending on the severity of the injury. Key aspects of recovery and rehabilitation include:

  • Immobilization: The affected leg may need to be immobilized for several weeks to allow the bone to heal.
  • Pain Management: Medications such as nonsteroidal anti-inflammatory drugs (NSAIDs) or opioids may be prescribed to manage pain.
  • Physical Therapy: Once the bone has started to heal, physical therapy is crucial for regaining strength, flexibility, and range of motion. Exercises may include:
  • Range-of-motion exercises to improve flexibility.
  • Strengthening exercises to rebuild muscle strength.
  • Balance and coordination exercises to improve stability.

📝 Note: It is essential to follow the rehabilitation plan prescribed by the healthcare provider to ensure a successful recovery.

Complications of Tib Fib Fracture

While most Tib Fib Fractures heal without complications, there are potential risks to be aware of:

  • Infection: Particularly in open fractures, there is a risk of infection.
  • Nonunion: The bone fails to heal properly, leading to persistent pain and instability.
  • Malunion: The bone heals in a misaligned position, which can affect mobility and function.
  • Compartment Syndrome: Swelling within the muscle compartments can lead to reduced blood flow and tissue damage.

📝 Note: Regular follow-ups with the healthcare provider are essential to monitor healing and address any potential complications.

Preventing Tib Fib Fractures

While not all Tib Fib Fractures can be prevented, there are steps you can take to reduce the risk:

  • Wear Protective Gear: Use appropriate protective equipment during sports and physical activities.
  • Strengthen Bones: Engage in weight-bearing exercises and maintain a balanced diet rich in calcium and vitamin D.
  • Avoid High-Risk Activities: Be cautious during activities that pose a high risk of falls or impacts.

Preventing Tib Fib Fractures involves a combination of awareness, protective measures, and maintaining overall bone health. By taking proactive steps, you can significantly reduce the risk of experiencing this type of injury.

In summary, a Tib Fib Fracture is a serious injury that requires prompt medical attention and appropriate treatment. Understanding the causes, symptoms, diagnosis, and treatment options is crucial for effective management and recovery. Whether you are a healthcare provider, athlete, or someone who has experienced a lower leg injury, being informed about Tib Fib Fractures can help ensure the best possible outcome.

Related Terms:

  • left tibia fibula fracture
  • types of tibia fractures
  • tib fib shaft fracture
  • distal tibia and fibular fracture
  • tibial and fibular fracture
  • tibia fibula shaft fracture
Facebook Twitter WhatsApp
Related Posts
Don't Miss