Learning

Thumb And Finger Sucking

Thumb And Finger Sucking
Thumb And Finger Sucking

Thumb and finger sucking is a common habit among infants and young children, often providing comfort and a sense of security. While it is generally harmless in the early stages of development, prolonged thumb and finger sucking can lead to various dental and speech issues. Understanding the causes, effects, and strategies to help children overcome this habit is crucial for parents and caregivers.

Understanding Thumb and Finger Sucking

Thumb and finger sucking is a natural reflex for infants, often beginning in the womb. It serves as a soothing mechanism and can help babies self-soothe and fall asleep. However, as children grow older, this habit can become a concern. It is essential to recognize the stages at which thumb and finger sucking is more likely to cause problems.

Stages of Thumb and Finger Sucking

Thumb and finger sucking can be categorized into different stages based on the child's age and the potential impact on their development.

  • Infancy (0-12 months): During this stage, thumb and finger sucking is a normal and beneficial behavior. It helps infants develop oral motor skills and provides comfort.
  • Toddlerhood (1-3 years): At this age, children may continue to suck their thumbs or fingers as a coping mechanism for stress or anxiety. While it is still relatively harmless, it is a good time to start encouraging alternative coping strategies.
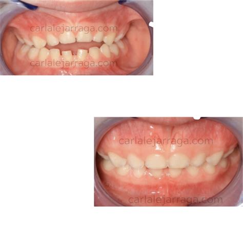
  • Preschool (3-5 years): By this stage, prolonged thumb and finger sucking can start to affect dental development. Permanent teeth may begin to erupt, and the habit can cause misalignment.
  • School Age (5+ years): At this point, thumb and finger sucking can have more significant impacts on dental health and speech development. It is crucial to address the habit to prevent long-term issues.

Effects of Prolonged Thumb and Finger Sucking

Prolonged thumb and finger sucking can have several adverse effects on a child's health and development. Some of the most common issues include:

  • Dental Problems: Prolonged thumb and finger sucking can lead to misaligned teeth, overbite, and other dental issues. The constant pressure on the teeth and jaw can cause them to shift out of place.
  • Speech Issues: The habit can affect the development of the tongue and mouth muscles, leading to speech impediments such as lisping or difficulty pronouncing certain sounds.
  • Social Stigma: As children grow older, thumb and finger sucking can become a source of embarrassment and social stigma. Peers may tease or ridicule the child, affecting their self-esteem.
  • Infections: Prolonged thumb and finger sucking can increase the risk of infections, especially if the child's hands are not clean. Bacteria and germs can be transferred from the fingers to the mouth, leading to illnesses.

Strategies to Help Children Overcome Thumb and Finger Sucking

Helping a child overcome thumb and finger sucking requires patience, understanding, and a variety of strategies. Here are some effective methods to consider:

Positive Reinforcement

Positive reinforcement involves rewarding the child for not sucking their thumb or finger. This can be done through praise, stickers, or small treats. The goal is to encourage the child to replace the habit with positive behaviors.

Identifying Triggers

Identifying the triggers that cause the child to suck their thumb or finger can help in addressing the underlying issues. Common triggers include stress, anxiety, boredom, and fatigue. Once identified, parents can work on alternative coping mechanisms, such as deep breathing exercises or engaging in a favorite activity.

Using Reminders

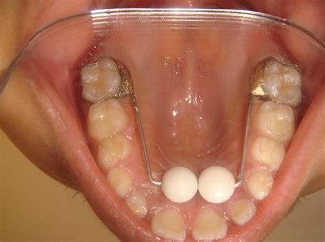
Reminders can be a simple yet effective way to help children break the habit. Parents can use band-aids, gloves, or special thumb guards to remind the child not to suck their thumb or finger. These reminders can be gradually phased out as the child becomes more aware of the habit.

Creating a Habit Tracker

A habit tracker can help children visualize their progress and stay motivated. Parents can create a simple chart with daily or weekly goals, and the child can mark their achievements. This visual representation can be a powerful motivator for children to continue breaking the habit.

Professional Help

In some cases, professional help may be necessary to address thumb and finger sucking. Speech therapists, pediatric dentists, and child psychologists can provide specialized guidance and support. They can offer techniques and strategies tailored to the child's specific needs and challenges.

📝 Note: It is important to approach the issue with empathy and understanding. Children may resist changes, and it is essential to be patient and supportive throughout the process.

Alternative Coping Mechanisms

Encouraging alternative coping mechanisms can help children replace thumb and finger sucking with healthier behaviors. Some effective alternatives include:

  • Deep Breathing Exercises: Teaching children deep breathing exercises can help them manage stress and anxiety without resorting to thumb and finger sucking.
  • Engaging in Activities: Encouraging children to engage in activities they enjoy, such as drawing, playing with toys, or reading, can keep their hands and minds occupied.
  • Comfort Items: Providing comfort items, such as a favorite blanket or stuffed animal, can offer a sense of security without the need for thumb and finger sucking.
  • Positive Affirmations: Using positive affirmations can help children build self-confidence and resilience, reducing the need for thumb and finger sucking as a coping mechanism.

When to Seek Professional Help

While many children can overcome thumb and finger sucking with the support of their parents, some may require professional intervention. It is essential to seek help if:

  • The child continues to suck their thumb or finger beyond the age of five.
  • There are noticeable dental or speech issues.
  • The child experiences significant stress or anxiety related to the habit.
  • Home-based strategies have not been effective.

Professionals can provide a comprehensive assessment and develop a tailored plan to address the habit effectively.

Case Studies and Success Stories

Many parents have successfully helped their children overcome thumb and finger sucking. Here are a few case studies and success stories to inspire and guide you:

Child's Age Duration of Habit Strategies Used Outcome
4 years 2 years Positive reinforcement, habit tracker, deep breathing exercises Successfully stopped thumb sucking within 3 months
6 years 4 years Professional help, reminders, alternative coping mechanisms Stopped thumb sucking within 6 months
5 years 3 years Positive reinforcement, identifying triggers, comfort items Successfully stopped thumb sucking within 4 months

These case studies demonstrate that with the right strategies and support, children can overcome thumb and finger sucking and develop healthier coping mechanisms.

Thumb and finger sucking is a common habit among young children, but it can have long-term effects if not addressed. By understanding the causes, effects, and strategies to help children overcome this habit, parents can support their children in developing healthier behaviors. Positive reinforcement, identifying triggers, using reminders, and encouraging alternative coping mechanisms are all effective methods to consider. In some cases, professional help may be necessary to address the habit effectively. With patience, understanding, and the right strategies, children can overcome thumb and finger sucking and thrive in their development.

Facebook Twitter WhatsApp
Related Posts
Don't Miss