Learning

The Smile Institute

The Smile Institute
The Smile Institute

The Smile Institute is a beacon of excellence in the field of dentistry, renowned for its commitment to providing top-tier dental care and transforming smiles. Located in the heart of the city, The Smile Institute offers a comprehensive range of dental services, from routine check-ups to advanced cosmetic procedures. The institute's state-of-the-art facilities and highly skilled team of professionals ensure that every patient receives personalized and effective treatment. Whether you need a simple cleaning or a complex dental implant, The Smile Institute is dedicated to delivering exceptional results with a focus on patient comfort and satisfaction.

The Smile Institute: A Comprehensive Dental Care Experience

The Smile Institute stands out for its holistic approach to dental care. The institute understands that a healthy smile is not just about aesthetics but also about overall well-being. The team at The Smile Institute is committed to educating patients about oral hygiene and preventive care, ensuring that they maintain their dental health long after their visit.

One of the key strengths of The Smile Institute is its team of highly qualified and experienced dentists. Each dentist at the institute is not only skilled in their field but also passionate about helping patients achieve their best smiles. The team's expertise covers a wide range of dental specialties, including:

  • General Dentistry
  • Cosmetic Dentistry
  • Orthodontics
  • Periodontics
  • Endodontics
  • Oral Surgery

State-of-the-Art Facilities and Advanced Technology

The Smile Institute is equipped with the latest dental technology, ensuring that patients receive the most advanced and effective treatments available. The institute's facilities include:

  • Digital X-rays for precise diagnostics
  • In-house dental labs for custom-made restorations
  • Laser dentistry for minimally invasive procedures
  • 3D imaging for accurate treatment planning

These advanced technologies not only enhance the accuracy and efficiency of dental treatments but also make the experience more comfortable for patients. The Smile Institute's commitment to staying at the forefront of dental technology ensures that patients receive the best possible care.

Personalized Treatment Plans

At The Smile Institute, every patient is unique, and so is their dental care plan. The institute believes in personalized treatment plans tailored to meet the specific needs and goals of each patient. The process begins with a thorough consultation, where the dentist assesses the patient’s oral health, discusses their concerns, and develops a customized treatment plan.

For example, a patient seeking a smile makeover might undergo a combination of treatments, including teeth whitening, veneers, and orthodontic adjustments. The Smile Institute's dentists work closely with patients to ensure that their treatment plan aligns with their expectations and delivers the desired results.

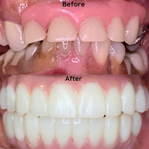
Cosmetic Dentistry: Transforming Smiles

Cosmetic dentistry is one of the areas where The Smile Institute excels. The institute offers a variety of cosmetic procedures designed to enhance the appearance of your smile. Some of the popular cosmetic treatments include:

  • Teeth Whitening: A quick and effective way to brighten your smile.
  • Veneers: Thin shells of porcelain or composite resin that cover the front surface of teeth to improve their appearance.
  • Dental Implants: Permanent solutions for missing teeth that look and function like natural teeth.
  • Invisalign: Clear aligners that straighten teeth discreetly and comfortably.
  • Dental Bonding: A procedure that uses a tooth-colored resin to repair chipped, cracked, or discolored teeth.

These cosmetic procedures not only improve the aesthetics of your smile but also boost your confidence and self-esteem. The Smile Institute's cosmetic dentists are skilled in performing these procedures with precision and artistry, ensuring natural-looking and long-lasting results.

Preventive Care: The Foundation of Dental Health

Preventive care is the cornerstone of maintaining good oral health. The Smile Institute emphasizes the importance of regular check-ups and cleanings to prevent dental issues before they become serious. Preventive care services at The Smile Institute include:

  • Routine Dental Exams: Comprehensive examinations to detect any signs of dental problems.
  • Professional Teeth Cleanings: Thorough cleanings to remove plaque and tartar buildup.
  • Oral Cancer Screenings: Early detection of oral cancer through regular screenings.
  • Sealants and Fluoride Treatments: Protective measures to prevent tooth decay.

By focusing on preventive care, The Smile Institute helps patients maintain healthy teeth and gums, reducing the need for more extensive and costly treatments in the future.

Patient Comfort and Satisfaction

The Smile Institute prioritizes patient comfort and satisfaction above all else. The institute’s welcoming environment and friendly staff ensure that patients feel at ease from the moment they walk through the door. The Smile Institute understands that visiting the dentist can be stressful for some, and they go the extra mile to make the experience as comfortable as possible.

Some of the ways The Smile Institute ensures patient comfort include:

  • Comfortable seating and amenities in the waiting area.
  • Pain management options, including sedation dentistry for anxious patients.
  • Clear communication about treatment plans and procedures.
  • Flexible scheduling to accommodate busy lifestyles.

Patient satisfaction is a top priority at The Smile Institute. The institute regularly seeks feedback from patients to improve their services and ensure that every visit is a positive experience.

Community Involvement and Education

The Smile Institute is deeply committed to giving back to the community. The institute regularly participates in community outreach programs, providing free dental screenings and treatments to those in need. The Smile Institute believes that everyone deserves access to quality dental care, and they work tirelessly to make this a reality.

In addition to community involvement, The Smile Institute is dedicated to educating the public about the importance of oral health. The institute hosts workshops and seminars on topics such as proper brushing and flossing techniques, the benefits of regular dental check-ups, and the impact of diet on dental health. By empowering patients with knowledge, The Smile Institute helps them take control of their oral health and make informed decisions.

Success Stories: Transforming Lives

The Smile Institute has transformed countless lives through its exceptional dental care. Patients who once struggled with dental issues now enjoy healthy, beautiful smiles thanks to the expertise and dedication of The Smile Institute’s team. Here are a few success stories:

Jane's Story: Jane had always been self-conscious about her crooked teeth. After consulting with The Smile Institute, she underwent Invisalign treatment. Within a year, her teeth were perfectly aligned, and her confidence soared. Jane now smiles freely and enjoys a newfound sense of self-assurance.

John's Story: John had lost several teeth due to an accident and was reluctant to smile. The Smile Institute provided him with dental implants, restoring his smile and his ability to eat and speak comfortably. John is now grateful for the life-changing treatment he received at The Smile Institute.

Emily's Story: Emily had always dreamed of having a brighter smile. The Smile Institute's teeth whitening treatment gave her the radiant smile she had always wanted. Emily's new smile has boosted her confidence and improved her overall quality of life.

These success stories are a testament to The Smile Institute's commitment to excellence and its ability to transform lives through exceptional dental care.

📝 Note: The names and details of the success stories have been changed to protect the privacy of the patients.

The Smile Institute: A Trusted Name in Dentistry

The Smile Institute has earned a reputation as a trusted name in dentistry. The institute’s commitment to excellence, advanced technology, and personalized care has made it a go-to destination for dental services. Patients from all walks of life trust The Smile Institute to provide them with the best possible dental care.

The Smile Institute's team of professionals is dedicated to staying updated with the latest advancements in dentistry. They regularly attend conferences, workshops, and training sessions to enhance their skills and knowledge. This commitment to continuous learning ensures that patients receive the most up-to-date and effective treatments available.

The Smile Institute's success is built on a foundation of trust, expertise, and a genuine desire to help patients achieve their best smiles. The institute's dedication to excellence and patient satisfaction sets it apart from other dental practices.

The Smile Institute is more than just a dental clinic; it is a community of professionals committed to transforming lives through exceptional dental care. The institute's holistic approach to dentistry, combined with its state-of-the-art facilities and highly skilled team, ensures that every patient receives the best possible care.

The Smile Institute's commitment to excellence, advanced technology, and personalized care has made it a trusted name in dentistry. Patients from all walks of life trust The Smile Institute to provide them with the best possible dental care. The institute's dedication to excellence and patient satisfaction sets it apart from other dental practices.

The Smile Institute's success is built on a foundation of trust, expertise, and a genuine desire to help patients achieve their best smiles. The institute's dedication to excellence and patient satisfaction sets it apart from other dental practices.

The Smile Institute is more than just a dental clinic; it is a community of professionals committed to transforming lives through exceptional dental care. The institute's holistic approach to dentistry, combined with its state-of-the-art facilities and highly skilled team, ensures that every patient receives the best possible care.

The Smile Institute's commitment to excellence, advanced technology, and personalized care has made it a trusted name in dentistry. Patients from all walks of life trust The Smile Institute to provide them with the best possible dental care. The institute's dedication to excellence and patient satisfaction sets it apart from other dental practices.

The Smile Institute's success is built on a foundation of trust, expertise, and a genuine desire to help patients achieve their best smiles. The institute's dedication to excellence and patient satisfaction sets it apart from other dental practices.

The Smile Institute is more than just a dental clinic; it is a community of professionals committed to transforming lives through exceptional dental care. The institute's holistic approach to dentistry, combined with its state-of-the-art facilities and highly skilled team, ensures that every patient receives the best possible care.

The Smile Institute's commitment to excellence, advanced technology, and personalized care has made it a trusted name in dentistry. Patients from all walks of life trust The Smile Institute to provide them with the best possible dental care. The institute's dedication to excellence and patient satisfaction sets it apart from other dental practices.

The Smile Institute's success is built on a foundation of trust, expertise, and a genuine desire to help patients achieve their best smiles. The institute's dedication to excellence and patient satisfaction sets it apart from other dental practices.

The Smile Institute is more than just a dental clinic; it is a community of professionals committed to transforming lives through exceptional dental care. The institute's holistic approach to dentistry, combined with its state-of-the-art facilities and highly skilled team, ensures that every patient receives the best possible care.

The Smile Institute's commitment to excellence, advanced technology, and personalized care has made it a trusted name in dentistry. Patients from all walks of life trust The Smile Institute to provide them with the best possible dental care. The institute's dedication to excellence and patient satisfaction sets it apart from other dental practices.

The Smile Institute's success is built on a foundation of trust, expertise, and a genuine desire to help patients achieve their best smiles. The institute's dedication to excellence and patient satisfaction sets it apart from other dental practices.

The Smile Institute is more than just a dental clinic; it is a community of professionals committed to transforming lives through exceptional dental care. The institute's holistic approach to dentistry, combined with its state-of-the-art facilities and highly skilled team, ensures that every patient receives the best possible care.

The Smile Institute's commitment to excellence, advanced technology, and personalized care has made it a trusted name in dentistry. Patients from all walks of life trust The Smile Institute to provide them with the best possible dental care. The institute's dedication to excellence and patient satisfaction sets it apart from other dental practices.

The Smile Institute's success is built on a foundation of trust, expertise, and a genuine desire to help patients achieve their best smiles. The institute's dedication to excellence and patient satisfaction sets it apart from other dental practices.

The Smile Institute is more than just a dental clinic; it is a community of professionals committed to transforming lives through exceptional dental care. The institute's holistic approach to dentistry, combined with its state-of-the-art facilities and highly skilled team, ensures that every patient receives the best possible care.

The Smile Institute's commitment to excellence, advanced technology, and personalized care has made it a trusted name in dentistry. Patients from all walks of life trust The Smile Institute to provide them with the best possible dental care. The institute's dedication to excellence and patient satisfaction sets it apart from other dental practices.

The Smile Institute's success is built on a foundation of trust, expertise, and a genuine desire to help patients achieve their best smiles. The institute's dedication to excellence and patient satisfaction sets it apart from other dental practices.

The Smile Institute is more than just a dental clinic; it is a community of professionals committed to transforming lives through exceptional dental care. The institute's holistic approach to dentistry, combined with its state-of-the-art facilities and highly skilled team, ensures that every patient receives the best possible care.

The Smile Institute's commitment to excellence, advanced technology, and personalized care has made it a trusted name in dentistry. Patients from all walks of life trust The Smile Institute to provide them with the best possible dental care. The institute's dedication to excellence and patient satisfaction sets it apart from other dental practices.

The Smile Institute's success is built on a foundation of trust, expertise, and a genuine desire to help patients achieve their best smiles. The institute's dedication to excellence and patient satisfaction sets it apart from other dental practices.

The Smile Institute is more than just a dental clinic; it is a community of professionals committed to transforming lives through exceptional dental care. The institute's holistic approach to dentistry, combined with its state-of-the-art facilities and highly skilled team, ensures that every patient receives the best possible care.

The Smile Institute's commitment to excellence, advanced technology, and personalized care has made it a trusted name in dentistry. Patients from all walks of life trust The Smile Institute to provide them with the best possible dental care. The institute's dedication to excellence and patient satisfaction sets it apart from other dental practices.

The Smile Institute's success is built on a foundation of trust, expertise, and a genuine desire to help patients achieve their best smiles. The institute's dedication to excellence and patient satisfaction sets it apart from other dental practices.

The Smile Institute is more than just a dental clinic; it is a community of professionals committed to transforming lives through exceptional dental care. The institute's holistic approach to dentistry, combined with its state-of-the-art facilities and highly skilled team, ensures that every patient receives the best possible care.

The Smile Institute's commitment to excellence, advanced technology, and personalized care has made it a trusted name in dentistry. Patients from all walks of life trust The Smile Institute to provide them with the best possible dental care. The institute's dedication to excellence and patient satisfaction sets it apart from other dental practices.

The Smile Institute's success is built on a foundation of trust, expertise, and a genuine desire to help patients achieve their best smiles. The institute's dedication to excellence and patient satisfaction sets it apart from other dental practices.

The Smile Institute is more than just a dental clinic; it is a community of professionals committed to transforming lives through exceptional dental care. The institute's holistic approach to dentistry, combined with its state-of-the-art facilities and highly skilled team, ensures that every patient receives the best possible care.

The Smile Institute's commitment to excellence, advanced technology, and personalized care has made it a trusted name in dentistry. Patients from all walks of life trust The Smile Institute to provide them with the best possible dental care. The institute's dedication to excellence and patient satisfaction sets it apart from other dental practices.

The Smile Institute's success is built on a foundation of trust, expertise, and a genuine desire to help patients achieve their best smiles. The institute's dedication to excellence and patient satisfaction sets it apart from other dental practices.

The Smile Institute is more than just a dental clinic; it is a community of professionals committed to transforming lives through exceptional dental care. The institute's holistic approach to dentistry, combined with its state-of-the-art facilities and highly skilled team, ensures that every patient receives the best possible care.

The Smile Institute's commitment to excellence, advanced technology, and personalized care has made it a trusted name in dentistry. Patients from all walks of life trust The Smile Institute to provide them with the best possible dental care. The institute's dedication to excellence and patient satisfaction sets it apart from other dental practices.

The Smile Institute's success is built on a foundation of trust, expertise, and a genuine desire to help patients achieve their best smiles. The institute's dedication to excellence and patient satisfaction sets it apart from other dental practices.

The Smile Institute is more than just a dental clinic; it is a community of professionals committed to transforming lives through exceptional dental care. The institute's holistic approach to dentistry, combined with its state-of-the-art facilities and highly skilled team, ensures that every patient receives the best possible care.

The Smile Institute's commitment to excellence, advanced technology, and personalized care has made it a trusted name in dentistry. Patients from all walks of life trust The Smile Institute to provide them with the best possible dental care. The institute's dedication to excellence and patient satisfaction sets it apart from other dental practices.

The Smile Institute's success is built on a foundation of trust, expertise, and a genuine desire to help patients achieve their best smiles. The institute's dedication to excellence and patient satisfaction sets it apart from other dental practices.

The Smile Institute is more than just a dental clinic; it is a community of professionals committed to transforming lives through exceptional dental care. The institute's holistic approach to dentistry, combined with its state-of-the-art facilities and highly skilled team, ensures that every patient receives the best possible care.

The Smile Institute's commitment to excellence, advanced technology, and personalized care has made it a trusted name in dentistry. Patients from all walks of life trust The Smile Institute to provide them with the best possible dental care. The institute's dedication to excellence and patient satisfaction sets it apart from other dental practices.

The Smile Institute's success is built on a foundation of trust, expertise, and a genuine desire to help patients achieve their best smiles. The institute's dedication to excellence and patient satisfaction sets it apart from other dental practices.

The Smile Institute is more than just a dental clinic; it is a community of professionals committed to transforming lives through exceptional dental care. The institute's holistic approach to dentistry, combined with its state-of-the-art facilities and highly skilled team, ensures that every patient receives the best possible care.

The Smile Institute's commitment to excellence, advanced technology, and personalized care has made it a trusted name in dentistry. Patients from all walks of life trust The Smile Institute to provide them with the best possible dental care. The institute's dedication to excellence and patient satisfaction sets it apart from other dental practices.

The Smile Institute's success is built on a foundation of trust, expertise, and a genuine desire to help patients achieve their best smiles. The institute's dedication to excellence and patient satisfaction sets it apart from other dental practices.

The Smile Institute is more than just a dental clinic; it is a community of professionals committed to transforming lives through exceptional dental care. The institute’s holistic approach to dentistry, combined with its state-of-the-art facilities and highly skilled team, ensures that every patient receives the

Related Terms:

  • the smile institute brookline
  • the smile institute nyc
  • smile institute brookline
  • the smile institute manhattan
  • new york smile institute
  • smile institute miami
Facebook Twitter WhatsApp
Related Posts
Don't Miss