Learning

Thalamus Vs Hypothalamus

Thalamus Vs Hypothalamus
Thalamus Vs Hypothalamus

The human brain is a complex and fascinating organ, responsible for a wide range of functions that govern our thoughts, emotions, and physical actions. Among its many components, the thalamus and hypothalamus play crucial roles in maintaining the body's homeostasis and regulating various physiological processes. Understanding the differences and similarities between the thalamus vs hypothalamus can provide valuable insights into how the brain functions and how these structures contribute to overall health and well-being.

Understanding the Thalamus

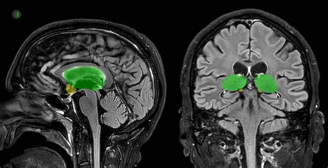
The thalamus is a small, egg-shaped structure located deep within the brain, situated between the cerebral cortex and the midbrain. It serves as a relay center, processing and transmitting sensory information to the cerebral cortex. The thalamus is involved in various functions, including:

  • Sensory processing: It receives sensory inputs from the body and relays them to the appropriate areas of the cerebral cortex for further processing.
  • Motor control: The thalamus plays a role in coordinating voluntary movements by relaying information between the cerebral cortex and the brainstem.
  • Consciousness and arousal: The thalamus is involved in regulating sleep-wake cycles and maintaining consciousness.
  • Cognitive functions: It contributes to various cognitive processes, such as attention, memory, and learning.

The thalamus is divided into several nuclei, each responsible for different functions. Some of the main nuclei include:

  • Lateral geniculate nucleus: Processes visual information.
  • Medial geniculate nucleus: Processes auditory information.
  • Ventral posterior nucleus: Processes somatosensory information, such as touch, pain, and temperature.
  • Anterior nucleus: Involved in memory and emotional regulation.

Understanding the Hypothalamus

The hypothalamus is a small, pea-sized structure located at the base of the brain, just below the thalamus. It plays a critical role in maintaining the body's homeostasis by regulating various physiological processes, including:

  • Hormone regulation: The hypothalamus produces and releases hormones that control the pituitary gland, which in turn regulates other endocrine glands.
  • Body temperature: It helps maintain a stable body temperature by regulating heat production and loss.
  • Hunger and thirst: The hypothalamus controls appetite and thirst, ensuring the body receives adequate nutrients and hydration.
  • Circadian rhythms: It regulates sleep-wake cycles and other daily rhythms.
  • Emotional responses: The hypothalamus is involved in emotional regulation, particularly in response to stress and fear.

The hypothalamus is connected to the pituitary gland via the infundibulum, a stalk-like structure that allows hormones produced by the hypothalamus to reach the pituitary gland. The hypothalamus is also connected to the autonomic nervous system, which controls involuntary bodily functions such as heart rate, blood pressure, and digestion.

Thalamus Vs Hypothalamus: Key Differences

While both the thalamus and hypothalamus are essential for brain function, they have distinct roles and locations. Here are some key differences between the thalamus vs hypothalamus:

Aspect Thalamus Hypothalamus
Location Deep within the brain, between the cerebral cortex and the midbrain Base of the brain, just below the thalamus
Primary Function Relay center for sensory information Regulation of physiological processes and homeostasis
Connections Connected to the cerebral cortex, brainstem, and other brain regions Connected to the pituitary gland and autonomic nervous system
Nuclei Divided into several nuclei, each with specific functions Does not have distinct nuclei but contains various nuclei groups

One of the most significant differences between the thalamus vs hypothalamus is their role in sensory processing. The thalamus acts as a relay center, receiving sensory inputs from various parts of the body and transmitting them to the cerebral cortex for further processing. In contrast, the hypothalamus is primarily involved in regulating physiological processes and maintaining homeostasis.

Another key difference is their connection to other brain structures. The thalamus is connected to the cerebral cortex, brainstem, and other brain regions, allowing it to process and transmit sensory information efficiently. The hypothalamus, on the other hand, is connected to the pituitary gland and the autonomic nervous system, enabling it to regulate hormone release and involuntary bodily functions.

Thalamus Vs Hypothalamus: Similarities

Despite their differences, the thalamus and hypothalamus share some similarities in their functions and roles within the brain. Both structures are involved in:

  • Regulating consciousness and arousal: Both the thalamus and hypothalamus play a role in maintaining consciousness and regulating sleep-wake cycles.
  • Processing sensory information: While the thalamus is primarily responsible for relaying sensory information, the hypothalamus also receives and processes certain types of sensory inputs, such as those related to hunger, thirst, and temperature.
  • Contributing to cognitive functions: Both structures contribute to various cognitive processes, such as attention, memory, and learning.

Additionally, the thalamus and hypothalamus are both involved in emotional regulation. The thalamus processes sensory information related to emotions, while the hypothalamus is involved in the body's response to stress and fear.

Another similarity between the thalamus vs hypothalamus is their role in maintaining homeostasis. The thalamus helps regulate body temperature and other physiological processes by relaying sensory information to the cerebral cortex. The hypothalamus, on the other hand, directly regulates these processes by controlling hormone release and autonomic functions.

Thalamus Vs Hypothalamus: Disorders and Conditions

Dysfunction in either the thalamus or hypothalamus can lead to various disorders and conditions. Some of the most common disorders associated with these structures include:

  • Thalamic pain syndrome: A condition characterized by severe, chronic pain that occurs after a stroke or other injury to the thalamus.
  • Thalamic dementia: A rare form of dementia caused by damage to the thalamus, resulting in memory loss, confusion, and other cognitive impairments.
  • Thalamic epilepsy: A type of epilepsy that originates in the thalamus, causing seizures that may be difficult to control with medication.
  • Hypothalamic obesity: A condition characterized by excessive weight gain and difficulty losing weight, often due to damage to the hypothalamus.
  • Diabetes insipidus: A disorder caused by a deficiency in the hormone vasopressin, which is produced by the hypothalamus and regulates water balance in the body.
  • Kallmann syndrome: A genetic disorder that affects the hypothalamus and pituitary gland, resulting in delayed or absent puberty and infertility.

While these disorders can have significant impacts on an individual's health and well-being, many can be managed with appropriate medical treatment and lifestyle modifications.

đź’ˇ Note: If you suspect you or someone else may be experiencing symptoms related to thalamus or hypothalamus dysfunction, it is essential to consult a healthcare professional for proper evaluation and treatment.

Thalamus Vs Hypothalamus: Research and Future Directions

Research on the thalamus and hypothalamus continues to advance our understanding of these critical brain structures and their roles in health and disease. Some of the most promising areas of research include:

  • Neuroimaging techniques: Advances in neuroimaging, such as functional magnetic resonance imaging (fMRI) and positron emission tomography (PET), allow researchers to study the thalamus and hypothalamus in greater detail and better understand their functions.
  • Genetic studies: Investigating the genetic basis of thalamus and hypothalamus disorders can help identify new targets for treatment and prevention.
  • Neuromodulation therapies: Techniques such as deep brain stimulation (DBS) and transcranial magnetic stimulation (TMS) show promise in treating disorders related to the thalamus and hypothalamus by modulating their activity.

As our knowledge of the thalamus and hypothalamus grows, so too does our ability to develop effective treatments for the disorders associated with these structures. Future research will likely focus on translating these findings into clinical applications, improving the lives of those affected by thalamus and hypothalamus dysfunction.

One area of particular interest is the role of the thalamus and hypothalamus in sleep and circadian rhythms. Understanding how these structures regulate sleep-wake cycles can lead to new treatments for sleep disorders and other conditions related to disrupted circadian rhythms.

Another promising area of research is the study of the thalamus and hypothalamus in emotional regulation. By better understanding how these structures contribute to emotional processing, researchers may develop new therapies for mood disorders, anxiety, and other mental health conditions.

Finally, investigating the role of the thalamus and hypothalamus in cognitive functions, such as attention, memory, and learning, can provide insights into the development of new treatments for cognitive impairments and neurodegenerative diseases.

In conclusion, the thalamus vs hypothalamus are two critical brain structures that play essential roles in maintaining the body’s homeostasis and regulating various physiological processes. While they have distinct functions and locations, they also share similarities in their contributions to sensory processing, cognitive functions, and emotional regulation. Understanding the differences and similarities between the thalamus and hypothalamus can provide valuable insights into how the brain functions and how these structures contribute to overall health and well-being. By continuing to advance our knowledge of these structures through research, we can develop more effective treatments for the disorders associated with them, ultimately improving the lives of those affected.

Related Terms:

  • thalamus and hypothalamus in brain
  • thalamus
  • difference between thalamus and hypothalamos
  • functions of thalamus vs hypothalamus
  • thalamus and hypothalamus functions
  • thalamus hypothalamus location
Facebook Twitter WhatsApp
Related Posts
Don't Miss