Learning

Teeth Inside Mouth

Teeth Inside Mouth
Teeth Inside Mouth

Understanding the intricacies of the human mouth is essential for maintaining good oral health. The teeth inside mouth play a crucial role in our daily lives, from chewing food to speaking clearly. This blog post delves into the anatomy of the teeth, common oral health issues, and best practices for maintaining a healthy smile.

Anatomy of the Teeth Inside Mouth

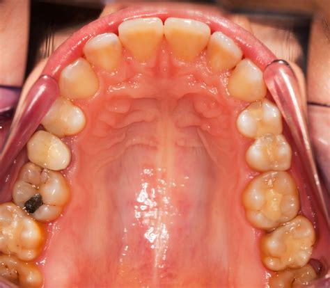
The human mouth typically contains 32 permanent teeth, also known as secondary teeth. These teeth are divided into four main types, each serving a specific function:

  • Incisors: Located at the front of the mouth, incisors are used for biting into food.
  • Canines: Situated next to the incisors, canines have a pointed shape and are used for tearing food.
  • Premolars: Found behind the canines, premolars have a flat surface with ridges and are used for crushing and grinding food.
  • Molars: Located at the back of the mouth, molars are the largest teeth and have a broad, flat surface designed for grinding food.

Each tooth is composed of several layers, including the enamel, dentin, pulp, and cementum. The enamel is the hardest substance in the human body and protects the tooth from decay. The dentin lies beneath the enamel and provides support and structure. The pulp contains nerves and blood vessels, while the cementum anchors the tooth to the jawbone.

Common Oral Health Issues

Maintaining the health of the teeth inside mouth is crucial for overall well-being. Several common oral health issues can affect the teeth and gums:

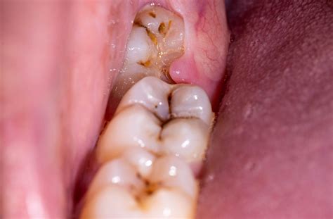
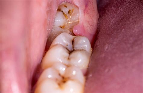
  • Cavities: Also known as dental caries, cavities are caused by the breakdown of tooth enamel due to bacteria and acid. Regular brushing and flossing can help prevent cavities.
  • Gum Disease: Gum disease, or periodontal disease, is an infection of the tissues that surround and support the teeth. It can lead to tooth loss if left untreated.
  • Tooth Sensitivity: Tooth sensitivity occurs when the dentin layer of the tooth is exposed, causing discomfort when consuming hot, cold, sweet, or acidic foods and beverages.
  • Bad Breath: Bad breath, or halitosis, can be caused by poor oral hygiene, certain foods, or underlying medical conditions.

Best Practices for Maintaining Oral Health

Proper oral hygiene is essential for keeping the teeth inside mouth healthy. Here are some best practices to follow:

  • Brush Regularly: Brush your teeth at least twice a day using a fluoride toothpaste. Use a soft-bristled toothbrush and gentle circular motions to clean all surfaces of the teeth.
  • Floss Daily: Flossing helps remove plaque and food particles from between the teeth and under the gumline. Use about 18 inches of floss, winding it around your middle fingers and gently sliding it between your teeth.
  • Use Mouthwash: Mouthwash can help kill bacteria and freshen breath. Choose an alcohol-free mouthwash to avoid drying out your mouth.
  • Regular Dental Check-ups: Visit your dentist every six months for a professional cleaning and examination. Regular check-ups can help detect and treat oral health issues early.
  • Healthy Diet: A balanced diet rich in fruits, vegetables, and lean proteins can support oral health. Limit sugary and acidic foods and beverages, which can contribute to tooth decay.

Understanding Dental Procedures

In some cases, dental procedures may be necessary to maintain the health of the teeth inside mouth. Common dental procedures include:

  • Fillings: Fillings are used to repair cavities by removing the decayed portion of the tooth and filling the space with a material such as composite resin or amalgam.
  • Root Canals: A root canal procedure is performed when the pulp of the tooth becomes infected or inflamed. The infected pulp is removed, and the tooth is sealed to prevent further infection.
  • Crowns: Crowns are used to restore the shape, size, and strength of a tooth that has been damaged by decay or injury. A crown is a cap that is placed over the tooth to protect it.
  • Bridges: Bridges are used to replace one or more missing teeth. A bridge consists of one or more artificial teeth that are anchored to the adjacent natural teeth.
  • Dental Implants: Dental implants are a permanent solution for replacing missing teeth. An implant is a titanium post that is surgically placed into the jawbone to support a crown, bridge, or denture.

Dental procedures can vary in complexity and cost, so it's important to consult with a dental professional to determine the best course of treatment for your specific needs.

The Role of Nutrition in Oral Health

Nutrition plays a vital role in maintaining the health of the teeth inside mouth. A balanced diet provides the necessary nutrients to support strong teeth and gums. Here are some key nutrients and their benefits for oral health:

Nutrient Benefits for Oral Health
Calcium Strengthens teeth and bones
Vitamin D Aids in calcium absorption
Vitamin C Supports gum health and collagen production
Phosphorus Helps build strong teeth and bones
Vitamin A Promotes saliva production and gum health

Incorporating these nutrients into your diet can help maintain the health of your teeth inside mouth. Foods rich in these nutrients include dairy products, leafy greens, citrus fruits, and lean proteins.

💡 Note: While a balanced diet is essential for oral health, it should be combined with regular oral hygiene practices for optimal results.

Oral Health and Overall Well-being

The health of the teeth inside mouth is closely linked to overall well-being. Poor oral health can contribute to various systemic health issues, including:

  • Heart Disease: Bacteria from the mouth can enter the bloodstream and contribute to the formation of plaque in the arteries, increasing the risk of heart disease.
  • Diabetes: People with diabetes are more susceptible to infections, including gum disease. Poorly controlled diabetes can also impair the body's ability to fight infections.
  • Respiratory Infections: Bacteria from the mouth can be inhaled into the lungs, leading to respiratory infections such as pneumonia.
  • Pregnancy Complications: Poor oral health during pregnancy has been linked to preterm birth and low birth weight.

Maintaining good oral hygiene and regular dental check-ups can help prevent these health issues and promote overall well-being.

Oral health is a critical aspect of overall health and well-being. The teeth inside mouth play a vital role in our daily lives, and maintaining their health requires a combination of good oral hygiene practices, a balanced diet, and regular dental check-ups. By understanding the anatomy of the teeth, common oral health issues, and best practices for maintaining oral health, you can ensure a healthy smile for years to come.

Related Terms:

  • diagram of incisor teeth
  • picture of upper teeth anatomy
  • picture of tooth structure
  • inside of teeth diagram
  • picture of inside teeth
  • picture of teeth in mouth
Facebook Twitter WhatsApp
Related Posts
Don't Miss