Learning

Tamponade Vs Pericardial Effusion

Tamponade Vs Pericardial Effusion
Tamponade Vs Pericardial Effusion

Understanding the differences between Tamponade vs Pericardial Effusion is crucial for medical professionals and patients alike. Both conditions involve the pericardium, the sac-like structure surrounding the heart, but they present distinct symptoms, causes, and treatments. This blog post delves into the intricacies of these conditions, providing a comprehensive overview to enhance your knowledge.

Understanding Pericardial Effusion

Pericardial effusion refers to the accumulation of fluid within the pericardial sac. This fluid can be serous, serosanguineous, chylous, or purulent, depending on the underlying cause. The condition can be acute or chronic and may result from various factors, including infections, inflammation, trauma, or malignancy.

Symptoms of pericardial effusion can vary widely. In mild cases, patients may be asymptomatic. However, as the fluid volume increases, symptoms such as chest pain, shortness of breath, and fatigue may develop. In severe cases, pericardial effusion can lead to cardiac tamponade, a life-threatening condition.

Causes of Pericardial Effusion

The causes of pericardial effusion are diverse and can be categorized into several groups:

  • Infectious Causes: Viral, bacterial, or fungal infections can lead to pericardial effusion.
  • Inflammatory Causes: Conditions like rheumatoid arthritis, lupus, and scleroderma can cause inflammation of the pericardium.
  • Traumatic Causes: Chest injuries, such as those from car accidents or falls, can result in pericardial effusion.
  • Neoplastic Causes: Cancers, particularly those affecting the lungs or breasts, can metastasize to the pericardium.
  • Metabolic Causes: Conditions like uremia and hypothyroidism can also lead to pericardial effusion.

Diagnosis of Pericardial Effusion

Diagnosing pericardial effusion involves a combination of clinical evaluation, imaging studies, and laboratory tests. Common diagnostic tools include:

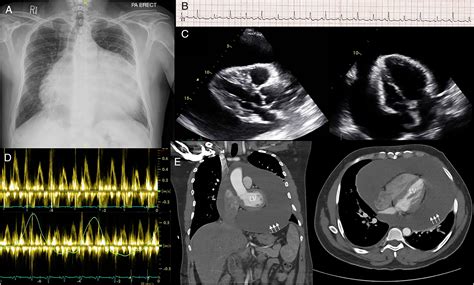
  • Echocardiography: This is the gold standard for diagnosing pericardial effusion. It provides real-time images of the heart and pericardium, allowing for the detection and measurement of fluid accumulation.
  • Chest X-ray: While not as sensitive as echocardiography, a chest X-ray can sometimes reveal an enlarged cardiac silhouette, suggesting pericardial effusion.
  • CT Scan or MRI: These imaging modalities can provide detailed views of the pericardium and surrounding structures, aiding in the diagnosis and assessment of pericardial effusion.
  • Laboratory Tests: Blood tests can help identify underlying causes, such as infections or inflammatory conditions.

Treatment of Pericardial Effusion

The treatment of pericardial effusion depends on the underlying cause and the severity of symptoms. In mild cases, conservative management may be sufficient. This includes:

  • Rest and monitoring
  • Medications to treat underlying conditions, such as antibiotics for infections or anti-inflammatory drugs for inflammatory causes

In more severe cases, interventions such as pericardiocentesis (drainage of the pericardial fluid) or surgical procedures like pericardial window or pericardiectomy may be necessary. These procedures aim to relieve pressure on the heart and prevent complications.

Understanding Cardiac Tamponade

Cardiac tamponade is a medical emergency characterized by the rapid accumulation of fluid in the pericardial sac, leading to compression of the heart. This condition impairs the heart's ability to pump blood effectively, resulting in hemodynamic instability and potential cardiac arrest.

Tamponade can occur due to various causes, including trauma, pericarditis, malignancy, and iatrogenic factors such as cardiac surgery or catheterization procedures. The rapid accumulation of fluid is a key factor in the development of tamponade, as it does not allow the pericardium to stretch and accommodate the increased volume.

Symptoms of Cardiac Tamponade

The symptoms of cardiac tamponade can be dramatic and life-threatening. Common symptoms include:

  • Chest pain
  • Shortness of breath
  • Tachycardia (rapid heart rate)
  • Hypotension (low blood pressure)
  • Pulsus paradoxus (a drop in systolic blood pressure during inspiration)
  • Jugular venous distention
  • Muffled heart sounds

These symptoms often present suddenly and require immediate medical attention.

Diagnosis of Cardiac Tamponade

Diagnosing cardiac tamponade involves a rapid assessment of the patient's hemodynamic status and the use of imaging studies. Key diagnostic tools include:

  • Echocardiography: This is the primary diagnostic tool for cardiac tamponade. It can visualize the pericardial effusion and assess its hemodynamic impact on the heart.
  • Chest X-ray: While not as sensitive as echocardiography, a chest X-ray can sometimes reveal an enlarged cardiac silhouette.
  • CT Scan or MRI: These imaging modalities can provide detailed views of the pericardium and surrounding structures, aiding in the diagnosis and assessment of cardiac tamponade.
  • Electrocardiogram (ECG): An ECG can show low voltage and electrical alternans, which are characteristic of pericardial effusion and tamponade.

Treatment of Cardiac Tamponade

Cardiac tamponade is a medical emergency that requires immediate intervention. The primary goal of treatment is to relieve the pressure on the heart and restore hemodynamic stability. Common treatment options include:

  • Pericardiocentesis: This procedure involves the insertion of a needle or catheter into the pericardial sac to drain the fluid. It is often performed under ultrasound guidance to ensure accuracy and safety.
  • Surgical Intervention: In some cases, surgical procedures such as pericardial window or pericardiectomy may be necessary to relieve the pressure and prevent recurrence.
  • Medical Management: Supportive care, including fluid resuscitation and vasopressors, may be necessary to stabilize the patient's hemodynamic status while definitive treatment is being performed.

πŸ“Œ Note: Cardiac tamponade is a life-threatening condition that requires immediate medical attention. Early recognition and prompt intervention are crucial for a successful outcome.

Comparing Tamponade vs Pericardial Effusion

While both Tamponade vs Pericardial Effusion involve the accumulation of fluid in the pericardial sac, they differ in several key aspects:

Aspect Pericardial Effusion Cardiac Tamponade
Fluid Accumulation Gradual or rapid Rapid
Symptoms Mild to severe, depending on the volume of fluid Severe and life-threatening
Hemodynamic Impact Variable, depending on the volume of fluid Significant, leading to hemodynamic instability
Treatment Conservative management or pericardiocentesis Emergency pericardiocentesis or surgical intervention

Understanding these differences is essential for accurate diagnosis and appropriate management of these conditions.

Risk Factors and Prevention

Several risk factors are associated with the development of pericardial effusion and cardiac tamponade. These include:

  • History of heart disease or pericarditis
  • Recent cardiac surgery or catheterization procedures
  • Infections, particularly viral or bacterial
  • Inflammatory conditions, such as rheumatoid arthritis or lupus
  • Malignancies, particularly those affecting the lungs or breasts
  • Trauma to the chest

Preventing pericardial effusion and cardiac tamponade involves managing underlying conditions and avoiding risk factors. Regular medical check-ups, prompt treatment of infections, and careful management of inflammatory conditions can help reduce the risk of these complications.

In cases where pericardial effusion or cardiac tamponade is suspected, seeking immediate medical attention is crucial. Early diagnosis and intervention can significantly improve outcomes and prevent life-threatening complications.

In summary, understanding the differences between Tamponade vs Pericardial Effusion is essential for medical professionals and patients alike. While both conditions involve the accumulation of fluid in the pericardial sac, they present distinct symptoms, causes, and treatments. Early recognition and prompt intervention are crucial for successful management and prevention of complications. Regular medical check-ups and careful management of underlying conditions can help reduce the risk of these complications and improve overall health outcomes.

Related Terms:

  • pericardial effusion causes cardiac tamponade
  • pericardial effusion without tamponade
  • pericardial effusion mitral inflow variation
  • pleural effusion vs cardiac tamponade
  • pleural effusion vs tamponade
  • what is cardiac tamponade hemopericardium
Facebook Twitter WhatsApp
Related Posts
Don't Miss