Learning

Swollen Mouth Palate

Swollen Mouth Palate
Swollen Mouth Palate

Dealing with a swollen mouth palate can be uncomfortable and concerning. This condition, often referred to as oral mucosal swelling, can be caused by a variety of factors ranging from minor irritations to more serious medical conditions. Understanding the causes, symptoms, and treatments for a swollen mouth palate is essential for effective management and relief. This guide will provide comprehensive information to help you navigate this issue.

Understanding the Swollen Mouth Palate

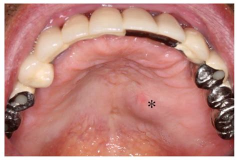
A swollen mouth palate, or oral mucosal swelling, occurs when the soft tissue on the roof of the mouth becomes inflamed and enlarged. This condition can affect anyone, regardless of age, and can be caused by a multitude of factors. The palate is a crucial part of the oral cavity, playing a significant role in speech, swallowing, and breathing. When it becomes swollen, it can disrupt these functions and cause discomfort.

Common Causes of a Swollen Mouth Palate

The causes of a swollen mouth palate can be categorized into several groups. Understanding these causes can help in identifying the underlying issue and seeking appropriate treatment.

Infections

Infections are one of the most common causes of a swollen mouth palate. These can include:

  • Viral Infections: Conditions like the common cold, flu, or mononucleosis can cause swelling in the mouth.
  • Bacterial Infections: Bacterial infections such as strep throat or oral thrush can also lead to swelling.
  • Fungal Infections: Fungal infections like oral candidiasis can cause inflammation and swelling.

Trauma

Physical trauma to the mouth can result in a swollen mouth palate. This can occur from:

  • Accidental bites or injuries.
  • Dental procedures or surgeries.
  • Burns from hot food or drinks.

Allergic Reactions

Allergic reactions to certain foods, medications, or environmental allergens can cause swelling in the mouth, including the palate. Common allergens include:

  • Nuts and shellfish.
  • Certain medications.
  • Latex or other materials used in dental procedures.

Dental Issues

Dental problems can also lead to a swollen mouth palate. These issues include:

  • Tooth infections or abscesses.
  • Gum disease or periodontitis.
  • Impacted wisdom teeth.

Systemic Conditions

Certain systemic conditions can affect the mouth and cause swelling. These include:

  • Autoimmune disorders like lupus or Sjogren's syndrome.
  • Hormonal imbalances.
  • Vitamin deficiencies, particularly B vitamins.

Other Causes

Other less common causes of a swollen mouth palate include:

  • Smoking or tobacco use.
  • Chronic snoring or sleep apnea.
  • Dehydration.

Symptoms of a Swollen Mouth Palate

The symptoms of a swollen mouth palate can vary depending on the underlying cause. Common symptoms include:

  • Pain or discomfort in the mouth.
  • Difficulty swallowing or speaking.
  • Redness or inflammation of the palate.
  • Bad breath or a metallic taste in the mouth.
  • Fever or chills.
  • Swollen lymph nodes in the neck.

In some cases, a swollen mouth palate may be accompanied by other symptoms such as:

  • Headache.
  • Earache.
  • Nausea or vomiting.

Diagnosing a Swollen Mouth Palate

Diagnosing the cause of a swollen mouth palate typically involves a combination of physical examination and medical history. A healthcare provider may perform the following steps:

  • Visual inspection of the mouth and throat.
  • Palpation of the neck and jaw to check for swelling or tenderness.
  • Review of medical history, including any recent illnesses, injuries, or medications.
  • Blood tests to check for infections or autoimmune disorders.
  • Imaging studies, such as X-rays or CT scans, to identify underlying dental issues.

📝 Note: If the swelling is severe or accompanied by difficulty breathing, seek immediate medical attention.

Treatment Options for a Swollen Mouth Palate

The treatment for a swollen mouth palate depends on the underlying cause. Common treatment options include:

Medications

Medications can help reduce inflammation and alleviate symptoms. These may include:

  • Antibiotics: For bacterial infections.
  • Antifungals: For fungal infections.
  • Antihistamines: For allergic reactions.
  • Pain relievers: Such as ibuprofen or acetaminophen for pain management.
  • Steroids: To reduce inflammation in severe cases.

Home Remedies

Home remedies can provide temporary relief and support healing. These include:

  • Rinsing the mouth with warm salt water.
  • Using over-the-counter oral gels or sprays.
  • Applying cold compresses to the outside of the mouth.
  • Avoiding spicy or acidic foods.
  • Staying hydrated.

Dental Procedures

In some cases, dental procedures may be necessary to address the underlying cause. These can include:

  • Root canal therapy for infected teeth.
  • Extraction of impacted wisdom teeth.
  • Treatment for gum disease.

Lifestyle Changes

Lifestyle changes can help prevent and manage a swollen mouth palate. These include:

  • Maintaining good oral hygiene.
  • Avoiding tobacco and excessive alcohol.
  • Managing stress and getting adequate sleep.
  • Eating a balanced diet rich in vitamins and minerals.

Preventing a Swollen Mouth Palate

Preventing a swollen mouth palate involves addressing the underlying causes and maintaining good oral health. Here are some tips to help prevent this condition:

  • Practice good oral hygiene, including regular brushing and flossing.
  • Avoid smoking and excessive alcohol consumption.
  • Manage allergies and avoid known allergens.
  • Stay hydrated and maintain a balanced diet.
  • Regular dental check-ups and cleanings.
  • Address any dental issues promptly.

📝 Note: If you have a history of oral mucosal swelling, be vigilant about maintaining good oral health and seek medical attention at the first sign of swelling.

When to Seek Medical Attention

While a swollen mouth palate can often be managed with home remedies and over-the-counter treatments, there are times when medical attention is necessary. Seek medical help if you experience any of the following:

  • Severe pain or difficulty swallowing.
  • Swelling that persists for more than a few days.
  • Fever or chills.
  • Difficulty breathing.
  • Blood in saliva or vomit.
  • Severe headache or earache.

In some cases, a swollen mouth palate may be a sign of a more serious condition. Early diagnosis and treatment can prevent complications and improve outcomes.

Special Considerations for Children

Children are particularly susceptible to oral mucosal swelling due to their developing immune systems and frequent exposure to infections. Parents should be aware of the following considerations:

  • Children may be more likely to experience allergic reactions to foods or medications.
  • Dental issues, such as cavities or impacted teeth, can cause swelling.
  • Children may be more prone to injuries from falls or accidents.
  • Maintain good oral hygiene and regular dental check-ups.
  • Teach children to avoid sharing utensils or personal items to prevent the spread of infections.

If a child experiences a swollen mouth palate, monitor for signs of difficulty breathing or severe pain, and seek medical attention if necessary.

Special Considerations for Elderly

The elderly are also at risk for oral mucosal swelling due to age-related changes in the mouth and immune system. Considerations for the elderly include:

  • Dry mouth, which can increase the risk of infections.
  • Medications that can cause oral side effects.
  • Dental issues, such as gum disease or tooth decay.
  • Systemic conditions, such as diabetes or autoimmune disorders.
  • Maintain good oral hygiene and regular dental check-ups.
  • Avoid smoking and excessive alcohol consumption.

Elderly individuals should be vigilant about maintaining good oral health and seek medical attention for any signs of swelling or discomfort.

Special Considerations for Pregnant Women

Pregnant women may experience oral mucosal swelling due to hormonal changes and increased susceptibility to infections. Considerations for pregnant women include:

  • Hormonal changes that can affect oral health.
  • Increased risk of infections due to a weakened immune system.
  • Dental issues, such as gum disease or tooth decay.
  • Maintain good oral hygiene and regular dental check-ups.
  • Avoid smoking and excessive alcohol consumption.

Pregnant women should be aware of the signs of a swollen mouth palate and seek medical attention if necessary. Regular dental check-ups and good oral hygiene can help prevent complications.

Special Considerations for Individuals with Chronic Conditions

Individuals with chronic conditions, such as diabetes or autoimmune disorders, may be more susceptible to oral mucosal swelling. Considerations for these individuals include:

  • Increased risk of infections due to a weakened immune system.
  • Medications that can cause oral side effects.
  • Dental issues, such as gum disease or tooth decay.
  • Maintain good oral hygiene and regular dental check-ups.
  • Avoid smoking and excessive alcohol consumption.

Individuals with chronic conditions should be vigilant about maintaining good oral health and seek medical attention for any signs of swelling or discomfort.

Special Considerations for Individuals with Allergies

Individuals with allergies may experience oral mucosal swelling as a result of allergic reactions. Considerations for these individuals include:

  • Identify and avoid known allergens.
  • Carry an epinephrine auto-injector if prescribed.
  • Maintain good oral hygiene and regular dental check-ups.
  • Avoid smoking and excessive alcohol consumption.

Individuals with allergies should be aware of the signs of a swollen mouth palate and seek medical attention if necessary. Regular dental check-ups and good oral hygiene can help prevent complications.

Special Considerations for Individuals with Dental Issues

Individuals with dental issues, such as cavities or gum disease, may be more susceptible to oral mucosal swelling. Considerations for these individuals include:

  • Regular dental check-ups and cleanings.
  • Address any dental issues promptly.
  • Maintain good oral hygiene.
  • Avoid smoking and excessive alcohol consumption.

Individuals with dental issues should be vigilant about maintaining good oral health and seek medical attention for any signs of swelling or discomfort.

Special Considerations for Individuals with Systemic Conditions

Individuals with systemic conditions, such as autoimmune disorders or hormonal imbalances, may be more susceptible to oral mucosal swelling. Considerations for these individuals include:

  • Regular medical check-ups and monitoring.
  • Address any underlying conditions promptly.
  • Maintain good oral hygiene and regular dental check-ups.
  • Avoid smoking and excessive alcohol consumption.

Individuals with systemic conditions should be aware of the signs of a swollen mouth palate and seek medical attention if necessary. Regular dental check-ups and good oral hygiene can help prevent complications.

Special Considerations for Individuals with Trauma

Individuals who have experienced trauma to the mouth, such as accidents or injuries, may be more susceptible to oral mucosal swelling. Considerations for these individuals include:

  • Seek immediate medical attention for any injuries.
  • Follow up with regular dental check-ups and cleanings.
  • Maintain good oral hygiene.
  • Avoid smoking and excessive alcohol consumption.

Individuals who have experienced trauma should be vigilant about maintaining good oral health and seek medical attention for any signs of swelling or discomfort.

Special Considerations for Individuals with Infections

Individuals with infections, such as viral or bacterial infections, may be more susceptible to oral mucosal swelling. Considerations for these individuals include:

  • Seek medical attention for any signs of infection.
  • Follow up with regular dental check-ups and cleanings.
  • Maintain good oral hygiene.
  • Avoid smoking and excessive alcohol consumption.

Individuals with infections should be aware of the signs of a swollen mouth palate and seek medical attention if necessary. Regular dental check-ups and good oral hygiene can help prevent complications.

Special Considerations for Individuals with Dehydration

Individuals who are dehydrated may be more susceptible to oral mucosal swelling. Considerations for these individuals include:

  • Stay hydrated by drinking plenty of water.
  • Follow up with regular dental check-ups and cleanings.
  • Maintain good oral hygiene.
  • Avoid smoking and excessive alcohol consumption.

Individuals who are dehydrated should be vigilant about maintaining good oral health and seek medical attention for any signs of swelling or discomfort.

Special Considerations for Individuals with Chronic Snoring or Sleep Apnea

Individuals with chronic snoring or sleep apnea may be more susceptible to oral mucosal swelling. Considerations for these individuals include:

  • Seek medical attention for any signs of sleep apnea.
  • Follow up with regular dental check-ups and cleanings.
  • Maintain good oral hygiene.
  • Avoid smoking and excessive alcohol consumption.

Individuals with chronic snoring or sleep apnea should be aware of the signs of a swollen mouth palate and seek medical attention if necessary. Regular dental check-ups and good oral hygiene can help prevent complications.

Special Considerations for Individuals with Vitamin Deficiencies

Individuals with vitamin deficiencies, particularly B vitamins, may be more susceptible to oral mucosal swelling. Considerations for these individuals include:

  • Consume a balanced diet rich in vitamins and minerals.
  • Follow up with regular dental check-ups and cleanings.
  • Maintain good oral hygiene.
  • Avoid smoking and excessive alcohol consumption.

Individuals with vitamin deficiencies should be vigilant about maintaining good oral health and seek medical attention for any signs of swelling or discomfort.

Special Considerations for Individuals with Hormonal Imbalances

Individuals with hormonal imbalances may be more susceptible to oral mucosal swelling. Considerations for these individuals include:

  • Seek medical attention for any signs of hormonal imbalances.
  • Follow up with regular dental check-ups and cleanings.
  • Maintain good oral hygiene.
  • Avoid smoking and excessive alcohol consumption.

Individuals with hormonal imbalances should be aware of the signs of a swollen mouth palate and seek medical attention if necessary. Regular dental check-ups and good oral hygiene can help prevent complications.

Special Considerations for Individuals with Autoimmune Disorders

Individuals with autoimmune disorders may be more susceptible to oral mucosal swelling. Considerations for these individuals include:

  • Seek medical attention for any signs of autoimmune disorders.
  • Follow up with regular dental check-ups and cleanings.
  • Maintain good oral hygiene.
  • Avoid smoking and excessive alcohol consumption.

Individuals with autoimmune disorders should be vigilant about maintaining good oral health and seek medical attention for any signs of swelling or discomfort.

Special Considerations for Individuals with Sjogren's Syndrome

Individuals with Sjogren's syndrome may be more susceptible to oral mucosal swelling. Considerations for these individuals include:

  • Seek medical attention for any signs of Sjogren's syndrome.
  • Follow up with regular dental check-ups and cleanings.
  • Maintain good oral hygiene.
  • Avoid smoking and excessive alcohol consumption.

Individuals with Sjogren's syndrome should be aware of the signs of a swollen mouth palate and seek medical attention if necessary. Regular dental check-ups and good oral hygiene can help prevent complications.

Special Considerations for Individuals with Lupus

Individuals with lupus may be more susceptible to oral mucosal swelling. Considerations for these individuals include:

  • Seek medical attention for any signs of lupus.
  • Follow up with regular dental check-ups and cleanings.
  • Maintain good oral hygiene.
  • Avoid smoking and excessive alcohol consumption.

Individuals with lupus should be vigilant about maintaining good oral health and seek medical attention for any signs of swelling or discomfort.

Special Considerations for Individuals with Diabetes

Individuals with diabetes may be more susceptible to oral mucosal swelling. Considerations for these individuals include:

  • Seek medical attention for any signs of diabetes.
  • Follow up with regular dental check-ups and cleanings.

Related Terms:

  • palate swelling on mouth floor
  • swollen hard palate in mouth
  • swollen hard palate
  • swollen palate behind teeth
  • swelling hard palate
  • swollen upper palate mouth treatment
Facebook Twitter WhatsApp
Related Posts
Don't Miss