Learning

Supravalvular Aortic Stenosis

Supravalvular Aortic Stenosis
Supravalvular Aortic Stenosis

Supravalvular aortic stenosis (SVAS) is a rare congenital heart condition characterized by the narrowing of the aorta above the aortic valve. This narrowing restricts blood flow from the heart to the rest of the body, leading to various cardiovascular complications. Understanding SVAS, its causes, symptoms, diagnosis, and treatment options is crucial for managing this condition effectively.

Understanding Supravalvular Aortic Stenosis

Supravalvular aortic stenosis is a form of aortic stenosis where the narrowing occurs above the aortic valve, unlike subvalvular or valvular stenosis, which occur below or at the valve, respectively. This condition is often associated with genetic syndromes, such as Williams syndrome, but it can also occur sporadically. The narrowing can be localized to a specific segment of the aorta or diffuse, affecting a larger portion of the vessel.

Causes of Supravalvular Aortic Stenosis

The exact cause of SVAS is not always clear, but it is often linked to genetic mutations. Key factors include:

  • Genetic Syndromes: Williams syndrome is the most common genetic syndrome associated with SVAS. This syndrome is caused by a deletion of genetic material on chromosome 7.
  • Familial Inheritance: In some cases, SVAS can be inherited in an autosomal dominant pattern, meaning that a single copy of the mutated gene from one parent is sufficient to cause the condition.
  • Isolated Cases: SVAS can also occur sporadically without any known genetic cause or family history.

Symptoms of Supravalvular Aortic Stenosis

The symptoms of SVAS can vary widely depending on the severity of the narrowing and the age of the individual. Common symptoms include:

  • Chest Pain: Especially during physical exertion, due to the heart working harder to pump blood through the narrowed aorta.
  • Shortness of Breath: Difficulty breathing, particularly during physical activity, as the heart struggles to meet the body's oxygen demands.
  • Fatigue: General weakness and tiredness, often due to the heart's reduced efficiency in pumping blood.
  • Dizziness or Fainting: These can occur due to reduced blood flow to the brain.
  • Heart Murmur: A distinctive sound heard during a physical examination, indicating turbulent blood flow through the narrowed aorta.

In infants and young children, symptoms may include:

  • Poor feeding and failure to thrive.
  • Rapid breathing or shortness of breath.
  • Sweating, especially during feeding.
  • Pale skin.

Diagnosis of Supravalvular Aortic Stenosis

Diagnosing SVAS involves a combination of physical examination, medical history, and various diagnostic tests. Key diagnostic steps include:

  • Physical Examination: A healthcare provider will listen to the heart for any abnormal sounds, such as a heart murmur, and check for signs of heart failure.
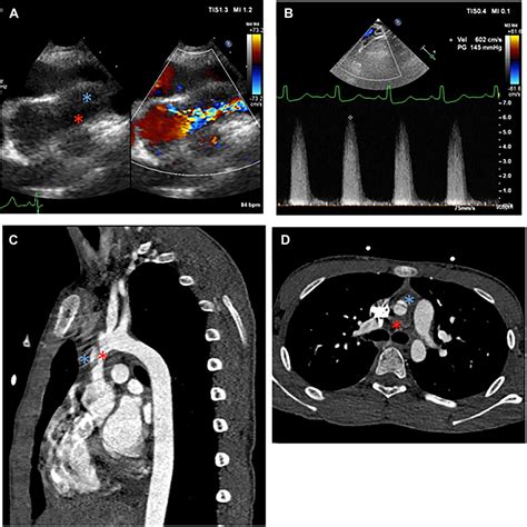
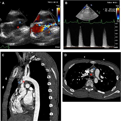
  • Echocardiogram: This is a non-invasive ultrasound test that provides detailed images of the heart and aorta. It can help identify the location and severity of the narrowing.
  • Electrocardiogram (ECG): This test records the electrical activity of the heart and can detect any abnormalities in heart rhythm or function.
  • Cardiac Catheterization: In some cases, a catheter may be inserted into the heart to measure pressure and blood flow directly. This procedure can provide detailed information about the severity of the stenosis.
  • Magnetic Resonance Imaging (MRI) or Computed Tomography (CT) Scan: These imaging techniques can provide detailed images of the heart and aorta, helping to assess the extent of the narrowing and plan treatment.

Treatment Options for Supravalvular Aortic Stenosis

The treatment of SVAS depends on the severity of the condition, the presence of symptoms, and the overall health of the individual. Treatment options include:

  • Medications: While medications cannot cure SVAS, they can help manage symptoms and prevent complications. Common medications include:
Medication Purpose
Beta-blockers Reduce heart rate and blood pressure, decreasing the workload on the heart.
ACE inhibitors Lower blood pressure and reduce the heart's workload.
Diuretics Reduce fluid retention and ease the symptoms of heart failure.
  • Surgical Intervention: In severe cases, surgery may be necessary to repair or replace the narrowed portion of the aorta. Common surgical procedures include:
  • Patch Aortoplasty: A surgical technique where a patch is used to widen the narrowed segment of the aorta.
  • Aortic Valve Replacement: In some cases, the aortic valve itself may need to be replaced if it is severely damaged or dysfunctional.
  • Balloon Angioplasty: A minimally invasive procedure where a balloon is used to widen the narrowed segment of the aorta. This procedure is less common for SVAS but may be considered in certain cases.

📝 Note: The choice of treatment depends on various factors, including the severity of the stenosis, the presence of symptoms, and the overall health of the individual. Regular follow-up with a healthcare provider is essential to monitor the condition and adjust treatment as needed.

Living with Supravalvular Aortic Stenosis

Living with SVAS requires ongoing management and regular medical follow-up. Key aspects of managing the condition include:

  • Regular Check-ups: Regular visits to a cardiologist are essential to monitor the condition and adjust treatment as needed.
  • Lifestyle Modifications: Adopting a heart-healthy lifestyle can help manage symptoms and prevent complications. This includes:
  • Eating a balanced diet low in sodium and saturated fats.
  • Engaging in regular physical activity, as recommended by a healthcare provider.
  • Avoiding smoking and excessive alcohol consumption.
  • Managing stress through relaxation techniques and support systems.

In addition to medical management, emotional support is crucial for individuals with SVAS and their families. Support groups and counseling services can provide valuable resources and a sense of community.

SVAS is a complex condition that requires careful management and ongoing medical care. By understanding the causes, symptoms, diagnosis, and treatment options, individuals with SVAS can take proactive steps to manage their condition effectively and improve their quality of life.

SVAS is a rare but significant condition that affects the aorta above the aortic valve. Understanding its causes, symptoms, diagnosis, and treatment options is essential for effective management. Regular medical follow-up, lifestyle modifications, and emotional support play crucial roles in living with SVAS. By staying informed and proactive, individuals with SVAS can lead fulfilling lives despite the challenges posed by this condition.

Related Terms:

  • supravalvular aortic stenosis congenital
  • supravalvular aortic stenosis murmur
  • supravalvular aortic stenosis repair
  • supravalvular aortic stenosis williams syndrome
  • supravalvular aortic stenosis vs coarctation
  • supravalvular aortic stenosis svas
Facebook Twitter WhatsApp
Related Posts
Don't Miss