Learning

Superior Sagittal Sinus Vein

Superior Sagittal Sinus Vein
Superior Sagittal Sinus Vein

The Superior Sagittal Sinus Vein (SSSV) is a critical component of the venous drainage system in the brain. It plays a pivotal role in maintaining cerebral blood flow and intracranial pressure. Understanding the anatomy, function, and clinical significance of the SSSV is essential for healthcare professionals, particularly those involved in neurosurgery and neurology. This post delves into the intricacies of the SSSV, its role in the body, and its relevance in various medical conditions.

The Anatomy of the Superior Sagittal Sinus Vein

The Superior Sagittal Sinus Vein is a large venous channel that runs along the superior border of the falx cerebri, a fold of dura mater that separates the two cerebral hemispheres. It begins at the foramen caecum, near the crista galli of the ethmoid bone, and extends posteriorly to the internal occipital protuberance, where it joins the straight sinus to form the confluence of sinuses.

The SSSV is divided into three segments based on its location:

  • Anterior Segment: This segment runs from the foramen caecum to the coronal suture.
  • Middle Segment: This segment extends from the coronal suture to the lambdoid suture.
  • Posterior Segment: This segment runs from the lambdoid suture to the internal occipital protuberance.

The SSSV receives blood from the cerebral veins, including the superior cerebral veins, which drain the lateral and medial surfaces of the cerebral hemispheres. It also receives blood from the diploic veins, which drain the diploic spaces of the skull.

The Function of the Superior Sagittal Sinus Vein

The primary function of the Superior Sagittal Sinus Vein is to drain deoxygenated blood from the brain and return it to the heart. It plays a crucial role in maintaining cerebral blood flow and intracranial pressure. The SSSV is part of the dural venous sinuses, which form a network of venous channels that drain blood from the brain and skull.

The SSSV also plays a role in the regulation of intracranial pressure. It acts as a pressure buffer, allowing for the accommodation of changes in blood volume and cerebrospinal fluid (CSF) volume. This helps to maintain a stable intracranial environment, which is essential for normal brain function.

Clinical Significance of the Superior Sagittal Sinus Vein

The Superior Sagittal Sinus Vein is clinically significant in various medical conditions, including:

Thrombosis

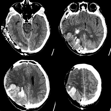
Thrombosis of the SSSV, also known as cerebral venous sinus thrombosis (CVST), is a rare but serious condition that occurs when a blood clot forms in the venous sinuses. CVST can lead to increased intracranial pressure, cerebral edema, and even stroke. Symptoms of CVST may include headache, seizures, and focal neurological deficits.

Risk factors for CVST include:

  • Pregnancy and the postpartum period
  • Oral contraceptive use
  • Inflammatory conditions, such as Behçet's disease and systemic lupus erythematosus
  • Infections, such as meningitis and sinusitis
  • Malignancies, such as leukemia and brain tumors

Diagnosis of CVST typically involves imaging studies, such as magnetic resonance venography (MRV) or computed tomography venography (CTV). Treatment may include anticoagulation therapy, thrombolysis, or surgical intervention.

Aneurysms

Aneurysms of the SSSV are rare but can occur. They may be congenital or acquired and can present with symptoms such as headache, seizures, or focal neurological deficits. Diagnosis typically involves imaging studies, such as MRV or CTV. Treatment may include endovascular coiling or surgical clipping.

Traumatic Injury

Traumatic injury to the SSSV can occur in cases of head trauma, such as motor vehicle accidents or falls. Injury to the SSSV can lead to epidural hematoma, subdural hematoma, or intracranial hemorrhage. Symptoms may include headache, vomiting, and loss of consciousness. Diagnosis typically involves computed tomography (CT) or magnetic resonance imaging (MRI). Treatment may include surgical evacuation of the hematoma or intracranial pressure monitoring.

Tumors

Tumors of the SSSV are rare but can occur. They may be primary, such as meningiomas, or secondary, such as metastases from other cancers. Symptoms may include headache, seizures, or focal neurological deficits. Diagnosis typically involves imaging studies, such as MRI or CT. Treatment may include surgical resection, radiation therapy, or chemotherapy.

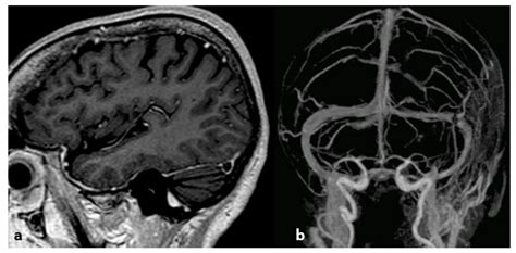
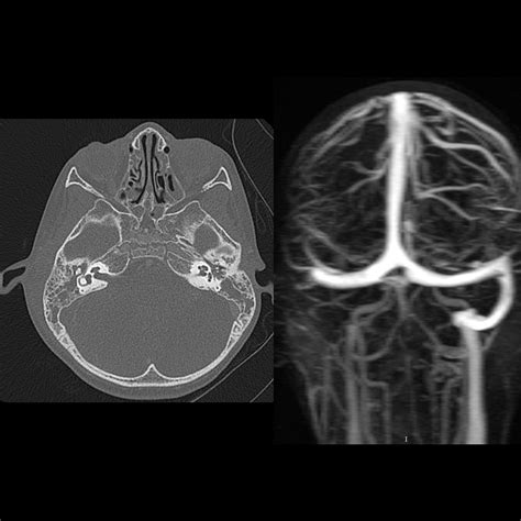
Diagnostic Imaging of the Superior Sagittal Sinus Vein

Diagnostic imaging plays a crucial role in the evaluation of the Superior Sagittal Sinus Vein. Various imaging modalities can be used to visualize the SSSV and detect any abnormalities. These include:

Magnetic Resonance Venography (MRV)

MRV is a non-invasive imaging technique that uses magnetic resonance imaging (MRI) to visualize the venous sinuses. It provides detailed images of the SSSV and can detect abnormalities such as thrombosis, aneurysms, or tumors. MRV is particularly useful in patients with suspected CVST, as it can provide information about the patency of the venous sinuses and the presence of any blood clots.

Computed Tomography Venography (CTV)

CTV is another non-invasive imaging technique that uses computed tomography (CT) to visualize the venous sinuses. It involves the injection of a contrast agent to enhance the visibility of the venous sinuses. CTV can detect abnormalities such as thrombosis, aneurysms, or tumors and is particularly useful in patients with suspected CVST or traumatic injury to the SSSV.

Digital Subtraction Angiography (DSA)

DSA is an invasive imaging technique that involves the injection of a contrast agent into the arterial system. It provides detailed images of the cerebral vasculature, including the SSSV. DSA is particularly useful in patients with suspected aneurysms or arteriovenous malformations (AVMs) involving the SSSV. However, it is an invasive procedure and carries a risk of complications, such as stroke or hemorrhage.

Treatment Options for Superior Sagittal Sinus Vein Disorders

Treatment options for disorders of the Superior Sagittal Sinus Vein depend on the underlying condition and its severity. These may include:

Anticoagulation Therapy

Anticoagulation therapy is the mainstay of treatment for CVST. It involves the use of anticoagulant medications, such as heparin or warfarin, to prevent the formation of blood clots and promote the dissolution of existing clots. Anticoagulation therapy is typically continued for several months to prevent recurrence of CVST.

Thrombolysis

Thrombolysis involves the use of thrombolytic agents, such as tissue plasminogen activator (tPA), to dissolve blood clots. It may be used in patients with severe CVST who do not respond to anticoagulation therapy. Thrombolysis can be administered systemically or locally, through a catheter placed in the affected venous sinus.

📌 Note: Thrombolysis carries a risk of bleeding complications and should be used with caution in patients with a history of bleeding disorders or recent surgery.

Surgical Intervention

Surgical intervention may be required in patients with severe CVST, aneurysms, or traumatic injury to the SSSV. Surgical options may include:

  • Surgical evacuation of hematoma: This involves the removal of a blood clot or hematoma that is causing increased intracranial pressure or neurological deficits.
  • Endovascular coiling or stenting: This involves the placement of a coil or stent in the affected venous sinus to treat aneurysms or arteriovenous malformations (AVMs).
  • Surgical clipping: This involves the placement of a clip on the neck of an aneurysm to prevent rupture.

Radiation Therapy and Chemotherapy

Radiation therapy and chemotherapy may be used in patients with tumors involving the SSSV. The choice of treatment depends on the type and stage of the tumor, as well as the patient's overall health and preferences. Radiation therapy involves the use of high-energy radiation to kill cancer cells, while chemotherapy involves the use of drugs to kill cancer cells.

Prevention of Superior Sagittal Sinus Vein Disorders

Prevention of disorders of the Superior Sagittal Sinus Vein involves the management of risk factors and early detection of abnormalities. Some preventive measures include:

  • Management of risk factors: This includes the management of conditions such as pregnancy, oral contraceptive use, inflammatory conditions, infections, and malignancies that increase the risk of CVST.
  • Early detection: Regular imaging studies, such as MRV or CTV, can help detect abnormalities of the SSSV early, allowing for prompt treatment and prevention of complications.
  • Lifestyle modifications: Maintaining a healthy lifestyle, including regular exercise, a balanced diet, and avoidance of smoking and excessive alcohol consumption, can help reduce the risk of disorders of the SSSV.

Future Directions in Superior Sagittal Sinus Vein Research

Research on the Superior Sagittal Sinus Vein is ongoing, with a focus on improving diagnostic and treatment options for disorders of the SSSV. Some areas of active research include:

  • Advanced imaging techniques: Development of advanced imaging techniques, such as 4D flow MRI, can provide more detailed information about blood flow in the SSSV and help detect abnormalities early.
  • Novel therapeutic agents: Development of novel therapeutic agents, such as targeted thrombolytics or anti-inflammatory drugs, can improve the treatment of CVST and other disorders of the SSSV.
  • Minimally invasive surgical techniques: Development of minimally invasive surgical techniques, such as endovascular stenting or robotic-assisted surgery, can reduce the risk of complications and improve outcomes in patients with disorders of the SSSV.

Future research is expected to lead to improved diagnostic and treatment options for disorders of the Superior Sagittal Sinus Vein, ultimately enhancing patient outcomes and quality of life.

In conclusion, the Superior Sagittal Sinus Vein plays a crucial role in the venous drainage system of the brain. Understanding its anatomy, function, and clinical significance is essential for healthcare professionals involved in the management of neurological conditions. Disorders of the SSSV, such as thrombosis, aneurysms, and traumatic injury, can have serious consequences and require prompt diagnosis and treatment. Advances in diagnostic imaging and therapeutic options continue to improve the management of these conditions, offering hope for better patient outcomes in the future.

Related Terms:

  • superior sagittal sinus ct
  • superior sagittal sinus thrombosis
  • sigmoid sinus
  • superior sagittal sinus location
  • superior sagittal sinus ultrasound
  • superior sagittal sinus function
Facebook Twitter WhatsApp
Related Posts
Don't Miss