Learning

Subluxation Of Radius

Subluxation Of Radius
Subluxation Of Radius

Understanding the complexities of the human body, particularly the intricacies of the musculoskeletal system, is crucial for anyone involved in healthcare, fitness, or physical therapy. One condition that often goes unnoticed but can have significant implications is the subluxation of radius. This condition involves a partial dislocation of the radius bone, which is one of the two bones in the forearm. The radius plays a critical role in the movement and stability of the wrist and elbow, making any disruption in its alignment a matter of concern.

Understanding the Radius Bone

The radius is one of the two long bones in the forearm, the other being the ulna. It runs from the elbow to the wrist and is involved in various movements, including rotation of the forearm and flexion of the wrist. The radius articulates with the ulna at the elbow and with the carpal bones at the wrist. Its proper alignment is essential for the smooth functioning of the arm and hand.

What is Subluxation of Radius?

Subluxation of radius refers to a partial dislocation of the radius bone. Unlike a full dislocation, where the bone is completely out of its socket, a subluxation involves a partial displacement. This condition can occur at the elbow or the wrist, depending on the specific injury or underlying condition. Subluxation of the radius can be caused by various factors, including trauma, repetitive stress, or congenital abnormalities.

Causes of Subluxation of Radius

Several factors can contribute to the development of a subluxation of the radius. Understanding these causes can help in prevention and early intervention. Some of the common causes include:

  • Trauma: Direct impact or sudden force to the elbow or wrist can cause the radius to partially dislocate.
  • Repetitive Stress: Activities that involve repetitive movements of the forearm, such as certain sports or occupations, can lead to subluxation over time.
  • Congenital Abnormalities: Some individuals may be born with structural abnormalities in the radius or surrounding ligaments, making them more susceptible to subluxation.
  • Muscular Imbalances: Weakness or tightness in the muscles and tendons around the elbow and wrist can contribute to subluxation.

Symptoms of Subluxation of Radius

Recognizing the symptoms of subluxation of the radius is essential for timely diagnosis and treatment. Some of the common symptoms include:

  • Pain: Persistent or intermittent pain in the elbow or wrist, often worsened by movement.
  • Swelling: Inflammation and swelling around the affected area.
  • Instability: A feeling of looseness or instability in the joint.
  • Limited Range of Motion: Difficulty in moving the arm or hand through its full range of motion.
  • Clicking or Popping Sounds: Audible or palpable clicking or popping sensations during movement.

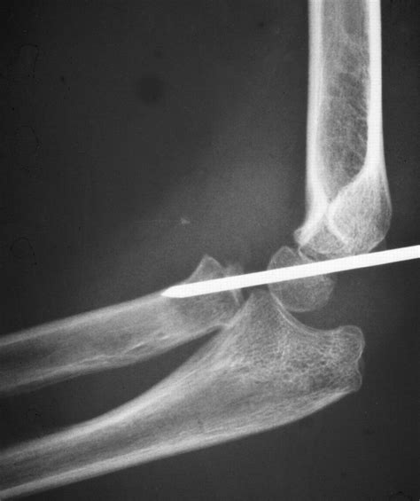
Diagnosis of Subluxation of Radius

Diagnosing subluxation of the radius involves a combination of physical examination and imaging tests. A healthcare professional will typically perform the following steps:

  • Physical Examination: Assessing the range of motion, stability, and any signs of swelling or tenderness.
  • Imaging Tests: X-rays, MRI, or CT scans to visualize the bone and surrounding tissues and confirm the diagnosis.

In some cases, additional tests such as ultrasound or arthroscopy may be recommended to get a more detailed view of the joint.

Treatment Options for Subluxation of Radius

The treatment for subluxation of the radius depends on the severity of the condition and the underlying cause. Common treatment options include:

  • Rest and Immobilization: Resting the affected arm and using a splint or brace to immobilize the joint.
  • Medications: Over-the-counter pain relievers or anti-inflammatory drugs to manage pain and reduce swelling.
  • Physical Therapy: Exercises to strengthen the muscles and improve the range of motion.
  • Surgical Intervention: In severe cases, surgery may be required to realign the bone and repair any damaged ligaments or tendons.

It is important to follow the treatment plan prescribed by a healthcare professional to ensure proper healing and prevent further complications.

πŸ“ Note: Early intervention and proper treatment can significantly improve the outcome and reduce the risk of long-term complications.

Prevention of Subluxation of Radius

Preventing subluxation of the radius involves taking proactive measures to protect the elbow and wrist. Some effective prevention strategies include:

  • Proper Warm-Up and Cool-Down: Before engaging in physical activities, ensure a thorough warm-up and cool-down to prepare the muscles and joints.
  • Strengthening Exercises: Regular exercises to strengthen the muscles and tendons around the elbow and wrist.
  • Use of Protective Gear: Wearing appropriate protective gear during sports or high-impact activities.
  • Avoiding Repetitive Stress: Taking breaks and varying activities to avoid repetitive stress on the forearm.

Common Misconceptions About Subluxation of Radius

There are several misconceptions surrounding subluxation of the radius that can lead to misunderstandings and improper treatment. Some of the common myths include:

  • It's Just a Minor Injury: While subluxation may seem minor compared to a full dislocation, it can still cause significant pain and instability if left untreated.
  • It Will Heal on Its Own: Although some cases may resolve with rest, many require specific treatment to prevent long-term issues.
  • Only Athletes Are Affected: While athletes are at higher risk, anyone can experience subluxation of the radius due to various factors.

Understanding the facts can help individuals seek appropriate care and avoid complications.

Long-Term Effects of Subluxation of Radius

If left untreated, subluxation of the radius can lead to several long-term effects, including:

  • Chronic Pain: Persistent pain and discomfort in the elbow or wrist.
  • Joint Instability: Ongoing instability and weakness in the joint.
  • Reduced Range of Motion: Limited ability to move the arm or hand through its full range of motion.
  • Arthritis: Increased risk of developing arthritis in the affected joint.

Early diagnosis and treatment can help mitigate these long-term effects and improve overall joint health.

πŸ“ Note: Regular follow-ups with a healthcare professional are essential to monitor progress and adjust the treatment plan as needed.

Case Studies and Real-Life Examples

To better understand the impact of subluxation of the radius, let's look at a few real-life examples:

Case Study 1: A young athlete who experienced a subluxation of the radius during a sports injury. The athlete sought immediate medical attention and underwent a combination of rest, immobilization, and physical therapy. With proper treatment, the athlete was able to return to sports within a few months and has since maintained a healthy and active lifestyle.

Case Study 2: An individual with a congenital abnormality in the radius bone. This person experienced recurrent subluxations and sought surgical intervention to correct the underlying issue. Post-surgery, the individual underwent extensive physical therapy and has since reported significant improvement in joint stability and range of motion.

These case studies highlight the importance of timely intervention and appropriate treatment for subluxation of the radius.

Conclusion

Subluxation of the radius is a condition that, while often overlooked, can have significant implications for joint health and overall mobility. Understanding the causes, symptoms, and treatment options is crucial for early intervention and effective management. By taking proactive measures to prevent subluxation and seeking appropriate care when needed, individuals can maintain healthy and functional joints. Regular follow-ups with healthcare professionals and adherence to treatment plans are essential for long-term joint health and well-being.

Related Terms:

  • radial head subluxation elbow
  • radial subluxation symptoms
  • subluxation of radial head
  • radial head subluxation nursing
  • subluxation of the elbow
  • radial head subluxation x ray
Facebook Twitter WhatsApp
Related Posts
Don't Miss