Learning

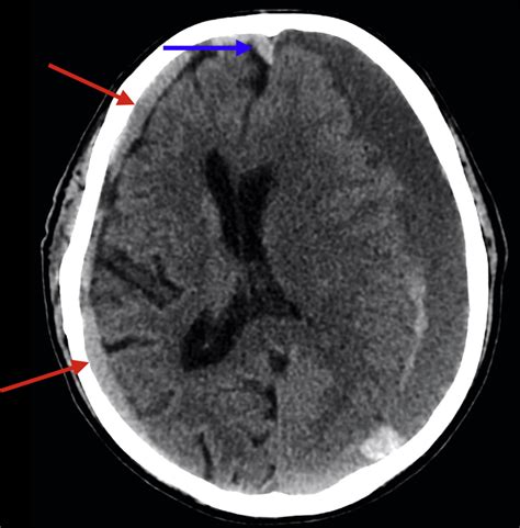
Subdural Hemorrhage Ct Images

Subdural Hemorrhage Ct Images
Subdural Hemorrhage Ct Images

Subdural hemorrhage is a serious medical condition that requires immediate attention. It occurs when blood collects between the dura mater and the arachnoid mater, the two outermost membranes that cover the brain. Early and accurate diagnosis is crucial for effective treatment, and one of the most reliable methods for diagnosing subdural hemorrhage is through the use of Subdural Hemorrhage CT Images.

Understanding Subdural Hemorrhage

Subdural hemorrhage can be acute, subacute, or chronic, depending on the time elapsed since the bleeding began. Acute subdural hemorrhage occurs within 72 hours of the injury, subacute within 3 to 20 days, and chronic after 20 days. Each type presents different symptoms and requires different diagnostic approaches.

Importance of CT Scans in Diagnosing Subdural Hemorrhage

Computed Tomography (CT) scans are the gold standard for diagnosing subdural hemorrhage. CT scans provide detailed Subdural Hemorrhage CT Images that help radiologists and neurologists identify the presence and extent of the hemorrhage. These images are crucial for determining the appropriate course of treatment.

How CT Scans Work

CT scans use X-rays to create cross-sectional images of the body. In the case of subdural hemorrhage, the CT scan focuses on the brain to detect any abnormalities. The images produced are highly detailed and can show the exact location and size of the hemorrhage. This information is essential for planning surgical interventions if necessary.

Interpreting Subdural Hemorrhage CT Images

Interpreting Subdural Hemorrhage CT Images requires a trained eye. Radiologists look for specific signs that indicate the presence of a subdural hemorrhage. These signs include:

  • Hyperdense crescent-shaped collections of blood between the skull and the brain.
  • Midline shift, where the brain is pushed to one side due to the pressure from the hemorrhage.
  • Effacement of the sulci and ventricles, indicating compression of the brain tissue.

These findings help in diagnosing the type and severity of the subdural hemorrhage.

Types of Subdural Hemorrhage

Subdural hemorrhages can be classified into different types based on their characteristics and the time since the injury. The main types are:

  • Acute Subdural Hemorrhage: Occurs within 72 hours of the injury and appears as a hyperdense collection on CT images.
  • Subacute Subdural Hemorrhage: Occurs between 3 to 20 days after the injury and may appear isodense or hypodense on CT images.
  • Chronic Subdural Hemorrhage: Occurs more than 20 days after the injury and appears hypodense on CT images.

Each type requires a different approach to diagnosis and treatment.

Diagnostic Criteria for Subdural Hemorrhage

Diagnosing subdural hemorrhage involves several steps, including a thorough medical history, physical examination, and imaging studies. The diagnostic criteria for subdural hemorrhage include:

  • Clinical symptoms such as headache, nausea, vomiting, and altered mental status.
  • Physical examination findings such as neurological deficits and signs of trauma.
  • CT scan results showing the characteristic findings of subdural hemorrhage.

These criteria help in confirming the diagnosis and planning the appropriate treatment.

Treatment Options for Subdural Hemorrhage

The treatment of subdural hemorrhage depends on the type, severity, and location of the hemorrhage. Treatment options include:

  • Medical Management: For small, asymptomatic hemorrhages, medical management may be sufficient. This includes close monitoring, pain management, and supportive care.
  • Surgical Intervention: For larger or symptomatic hemorrhages, surgical intervention may be necessary. This can include craniotomy, burr hole drainage, or other surgical procedures to evacuate the blood and relieve pressure on the brain.

Subdural Hemorrhage CT Images play a crucial role in determining the appropriate treatment plan.

Role of CT Scans in Monitoring Treatment

CT scans are not only essential for diagnosing subdural hemorrhage but also for monitoring the progress of treatment. Follow-up CT scans can show whether the hemorrhage is resolving or if further intervention is needed. This ongoing monitoring is crucial for ensuring the best possible outcome for the patient.

Challenges in Diagnosing Subdural Hemorrhage

Despite the advancements in medical imaging, diagnosing subdural hemorrhage can still be challenging. Some of the challenges include:

  • Distinguishing between acute, subacute, and chronic subdural hemorrhages based on CT images.
  • Identifying small or subtle hemorrhages that may not be immediately apparent on CT scans.
  • Differentiating subdural hemorrhage from other types of intracranial bleeding, such as epidural or intraparenchymal hemorrhages.

These challenges highlight the importance of experienced radiologists and neurologists in interpreting Subdural Hemorrhage CT Images.

Advancements in CT Technology

Advancements in CT technology have significantly improved the diagnosis of subdural hemorrhage. Modern CT scanners provide higher resolution images, allowing for more accurate detection and characterization of hemorrhages. Additionally, new imaging techniques, such as CT angiography and CT perfusion, can provide further information about the blood vessels and blood flow in the brain.

Case Studies: Real-World Examples

To illustrate the importance of Subdural Hemorrhage CT Images, let’s consider a few case studies:

Case Study 1: A 65-year-old patient presented with a sudden onset of severe headache and vomiting. A CT scan revealed a hyperdense crescent-shaped collection consistent with an acute subdural hemorrhage. The patient underwent emergency surgery to evacuate the blood, and follow-up CT scans showed resolution of the hemorrhage.

Case Study 2: A 70-year-old patient with a history of falls presented with confusion and weakness on one side of the body. A CT scan showed a hypodense collection consistent with a chronic subdural hemorrhage. The patient was managed conservatively with close monitoring and supportive care, and follow-up CT scans showed gradual resolution of the hemorrhage.

Preventive Measures

Preventing subdural hemorrhage involves reducing the risk of head injuries. Some preventive measures include:

  • Wearing seatbelts and helmets to protect against head injuries in accidents.
  • Falling prevention measures, such as removing tripping hazards and installing grab bars in bathrooms.
  • Avoiding activities that increase the risk of head injuries, such as extreme sports without proper protective gear.

These measures can help reduce the incidence of subdural hemorrhage and other head injuries.

📌 Note: Always consult with a healthcare professional for medical advice tailored to your specific situation.

In summary, Subdural Hemorrhage CT Images are invaluable in the diagnosis and management of subdural hemorrhage. They provide detailed information about the location, size, and type of hemorrhage, which is crucial for planning appropriate treatment. Advancements in CT technology continue to improve the accuracy and reliability of these images, making them an essential tool in modern medicine. Early and accurate diagnosis, along with appropriate treatment, can significantly improve outcomes for patients with subdural hemorrhage.

Related Terms:

  • ct scan for subdural hematoma
  • subdural bleed on ct
  • subdural hematoma ct images
  • subdural hematoma vs hemorrhage
  • subdural hemorrhage ct brain
  • symptoms of a subdural hematoma
Facebook Twitter WhatsApp
Related Posts
Don't Miss