Learning

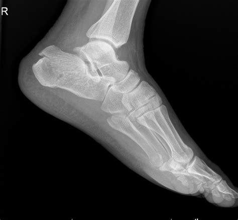
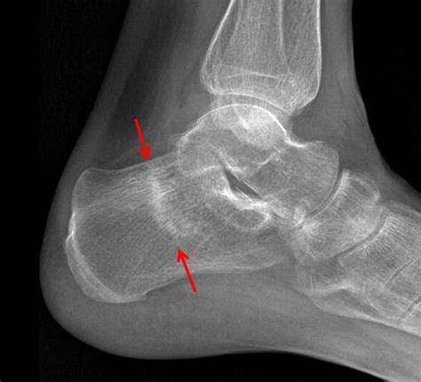
Stress Fracture Heel

Stress Fracture Heel
Stress Fracture Heel

Understanding and managing a stress fracture heel is crucial for anyone experiencing persistent heel pain. This condition, often overlooked, can significantly impact daily activities and overall quality of life. A stress fracture in the heel typically results from repetitive stress and overuse, leading to small cracks in the bone. This blog post will delve into the causes, symptoms, diagnosis, treatment, and prevention of a stress fracture heel, providing comprehensive insights to help you navigate this condition effectively.

Understanding Stress Fractures

A stress fracture is a small crack in a bone caused by repetitive force, often from overuse. Unlike acute fractures resulting from a single traumatic event, stress fractures develop gradually. The heel bone, or calcaneus, is particularly susceptible to stress fractures due to the significant weight and pressure it bears during daily activities.

Causes of Stress Fracture Heel

Several factors contribute to the development of a stress fracture heel. Understanding these causes can help in prevention and early intervention:

  • Overuse: Engaging in high-impact activities such as running, jumping, or dancing without adequate rest can lead to a stress fracture heel.
  • Inadequate Footwear: Wearing shoes that lack proper support or cushioning can increase the risk of heel injuries.
  • Biomechanical Issues: Conditions like flat feet, high arches, or leg length discrepancies can alter the distribution of weight on the heel, making it more prone to stress fractures.
  • Nutritional Deficiencies: Insufficient intake of calcium and vitamin D can weaken bones, increasing the likelihood of stress fractures.
  • Sudden Increase in Activity: Rapidly increasing the intensity or duration of physical activities without proper conditioning can overwhelm the bones and lead to fractures.

Symptoms of Stress Fracture Heel

Recognizing the symptoms of a stress fracture heel is the first step toward effective management. Common symptoms include:

  • Pain: Persistent pain in the heel, often worsening with activity and improving with rest.
  • Swelling: Mild to moderate swelling around the heel area.
  • Tenderness: Increased sensitivity and tenderness when pressure is applied to the heel.
  • Bruising: In some cases, bruising may be visible around the heel.

Diagnosing a Stress Fracture Heel

Accurate diagnosis is essential for effective treatment. A healthcare professional will typically perform the following steps to diagnose a stress fracture heel:

  • Medical History: A detailed medical history, including recent activities and any history of similar injuries.
  • Physical Examination: A thorough physical exam to assess the heel’s tenderness, swelling, and range of motion.
  • Imaging Tests: X-rays, MRI, or bone scans may be ordered to visualize the fracture and rule out other conditions.

Treatment Options for Stress Fracture Heel

Treatment for a stress fracture heel focuses on reducing pain, promoting healing, and preventing further injury. Common treatment options include:

  • Rest: Avoiding activities that put stress on the heel, such as running or jumping.
  • Ice: Applying ice packs to the affected area for 15-20 minutes, several times a day, to reduce swelling and pain.
  • Compression: Using compression bandages or wraps to minimize swelling.
  • Elevation: Keeping the foot elevated above heart level to reduce swelling.
  • Pain Medication: Over-the-counter pain relievers such as ibuprofen or acetaminophen to manage pain and inflammation.
  • Orthotics: Custom orthotic inserts to provide additional support and correct biomechanical issues.
  • Physical Therapy: Exercises to strengthen the muscles and improve flexibility around the heel.
  • Surgery: In severe cases, surgery may be required to stabilize the fracture and promote healing.

Prevention of Stress Fracture Heel

Preventing a stress fracture heel involves a combination of proper footwear, gradual increases in activity, and maintaining overall bone health. Here are some key strategies:

  • Wear Appropriate Footwear: Choose shoes with good arch support and cushioning to absorb shock and reduce stress on the heel.
  • Gradual Increase in Activity: Gradually increase the intensity and duration of physical activities to allow your body to adapt.
  • Cross-Training: Incorporate low-impact activities like swimming or cycling into your exercise routine to reduce the risk of overuse injuries.
  • Maintain a Balanced Diet: Ensure adequate intake of calcium and vitamin D to support bone health.
  • Strengthen Foot Muscles: Perform exercises to strengthen the muscles and tendons in your feet and ankles.

💡 Note: If you experience persistent heel pain, it is essential to consult a healthcare professional for a proper diagnosis and treatment plan.

In summary, a stress fracture heel is a common yet often overlooked condition that can significantly impact daily activities. Understanding the causes, recognizing the symptoms, and seeking timely diagnosis and treatment are crucial for effective management. Prevention strategies, including proper footwear, gradual increases in activity, and maintaining bone health, can help reduce the risk of developing a stress fracture heel. By taking proactive measures and seeking professional help when needed, you can effectively manage this condition and maintain an active, pain-free lifestyle.

Related Terms:

  • stress fracture heel pain condition
  • stress fracture heel symptoms
  • broken heel bone symptoms
  • stress fracture heel bone symptoms
  • physical therapy for broken heel
  • heel pain stress fracture symptoms
Facebook Twitter WhatsApp
Related Posts
Don't Miss