Learning

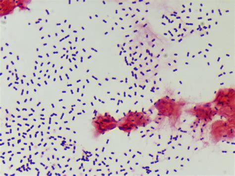
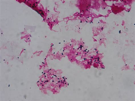
Strep Pneumo Gram Stain

Strep Pneumo Gram Stain
Strep Pneumo Gram Stain

In the realm of microbiology and clinical diagnostics, the Strep Pneumo Gram Stain is a crucial tool for identifying bacterial infections. This staining technique is widely used in laboratories to differentiate between Gram-positive and Gram-negative bacteria, which is essential for accurate diagnosis and treatment. Understanding the Strep Pneumo Gram Stain process, its applications, and interpretations can significantly enhance the efficiency and accuracy of diagnostic procedures.

Understanding the Gram Stain Technique

The Gram stain is a differential staining method developed by Hans Christian Gram in 1884. It involves a series of steps that use different dyes and reagents to classify bacteria based on their cell wall characteristics. The primary dyes used in the Gram stain are crystal violet and safranin, along with iodine and alcohol as mordants and decolorizers, respectively.

Steps in Performing a Strep Pneumo Gram Stain

The Strep Pneumo Gram Stain procedure involves several meticulous steps to ensure accurate results. Here is a detailed guide:

  • Preparation of the Smear: A thin smear of the bacterial sample is prepared on a clean glass slide. The smear should be fixed by heat to kill the bacteria and adhere them to the slide.
  • Primary Staining: The smear is stained with crystal violet for about 1 minute. Crystal violet penetrates the cell walls of all bacteria, staining them purple.
  • Iodine Treatment: The slide is then treated with iodine solution (Gram's iodine) for 1 minute. Iodine acts as a mordant, forming a complex with the crystal violet that makes it more difficult to remove.
  • Decolorization: The slide is washed with alcohol or acetone for a few seconds. This step is critical as it decolorizes Gram-negative bacteria, which have thinner peptidoglycan layers, while Gram-positive bacteria retain the crystal violet-iodine complex due to their thicker peptidoglycan layers.
  • Counterstaining: The slide is counterstained with safranin for about 30 seconds. Safranin stains the decolorized Gram-negative bacteria pink or red.
  • Washing and Drying: The slide is washed with water to remove excess stain and then dried.
  • Microscopic Examination: The stained smear is examined under a microscope to observe the color and morphology of the bacteria.

🔍 Note: Proper fixation and staining times are crucial for accurate results. Over-staining or under-staining can lead to misinterpretation of the Gram reaction.

Interpreting the Results of a Strep Pneumo Gram Stain

The interpretation of a Strep Pneumo Gram Stain relies on the color and morphology of the bacteria observed under the microscope. Here are the key points to consider:

  • Gram-Positive Bacteria: These bacteria retain the crystal violet stain and appear purple or blue under the microscope. Examples include *Streptococcus pneumoniae* and *Staphylococcus aureus*.
  • Gram-Negative Bacteria: These bacteria are decolorized by the alcohol and take up the safranin counterstain, appearing pink or red. Examples include *Escherichia coli* and *Pseudomonas aeruginosa*.
  • Morphology: The shape and arrangement of the bacteria can also provide valuable information. For instance, *Streptococcus pneumoniae* typically appears as lancet-shaped diplococci, while *Staphylococcus aureus* appears as grape-like clusters.

Here is a table summarizing the key characteristics of Gram-positive and Gram-negative bacteria:

Characteristic Gram-Positive Bacteria Gram-Negative Bacteria
Stain Color Purple/Blue Pink/Red
Cell Wall Thickness Thick Peptidoglycan Layer Thin Peptidoglycan Layer
Examples *Streptococcus pneumoniae*, *Staphylococcus aureus* *Escherichia coli*, *Pseudomonas aeruginosa*

🔍 Note: Some bacteria may exhibit atypical Gram reactions due to variations in cell wall composition or staining conditions. Always consider the clinical context and additional diagnostic tests for confirmation.

Applications of the Strep Pneumo Gram Stain

The Strep Pneumo Gram Stain has numerous applications in clinical and research settings. Some of the key applications include:

  • Diagnosis of Infectious Diseases: The Gram stain is used to identify bacterial infections in various clinical specimens, such as blood, urine, sputum, and wound swabs. It helps in the rapid differentiation of Gram-positive and Gram-negative bacteria, guiding initial antibiotic therapy.
  • Research and Development: In research laboratories, the Gram stain is used to study bacterial morphology, cell wall composition, and the effects of antimicrobial agents. It is also employed in the development of new diagnostic tools and treatments.
  • Epidemiological Studies: The Gram stain is used in epidemiological studies to track the spread of bacterial infections and identify outbreaks. It helps in understanding the prevalence and distribution of different bacterial species in various populations.

One of the most significant applications of the Strep Pneumo Gram Stain is in the diagnosis of *Streptococcus pneumoniae* infections. *Streptococcus pneumoniae* is a common cause of pneumonia, meningitis, and other respiratory infections. The Gram stain helps in the rapid identification of this bacterium, allowing for prompt and appropriate treatment.

Challenges and Limitations of the Strep Pneumo Gram Stain

While the Strep Pneumo Gram Stain is a valuable diagnostic tool, it has several challenges and limitations. Some of the key challenges include:

  • Subjectivity: The interpretation of the Gram stain results can be subjective and dependent on the expertise of the technician. Variations in staining techniques and microscopic examination can lead to misinterpretation.
  • Atypical Gram Reactions: Some bacteria may exhibit atypical Gram reactions due to variations in cell wall composition or staining conditions. This can lead to misidentification and inappropriate treatment.
  • Contamination: Contamination of the sample or the staining reagents can affect the accuracy of the results. Proper aseptic techniques and quality control measures are essential to minimize contamination.

To overcome these challenges, it is important to follow standardized protocols, use high-quality reagents, and ensure proper training of laboratory personnel. Additionally, the Gram stain should be used in conjunction with other diagnostic tests, such as culture and molecular methods, for accurate and reliable results.

🔍 Note: Always consider the clinical context and additional diagnostic tests for confirmation of Gram stain results. The Gram stain is a valuable tool but should not be relied upon solely for diagnosis.

In conclusion, the Strep Pneumo Gram Stain is a fundamental technique in microbiology and clinical diagnostics. It plays a crucial role in the identification of bacterial infections, guiding appropriate treatment and management. Understanding the steps involved in performing the Gram stain, interpreting the results, and recognizing its applications and limitations can significantly enhance the efficiency and accuracy of diagnostic procedures. By adhering to standardized protocols and using the Gram stain in conjunction with other diagnostic tests, healthcare professionals can provide timely and effective care to patients with bacterial infections.

Related Terms:

  • gram stain streptococcus
  • strep pneumo gram stain morphology
  • where is streptococcus pneumoniae found
  • streptococcus pneumoniae
  • how to identify streptococcus pneumoniae
  • pictures of streptococcus pneumoniae
Facebook Twitter WhatsApp
Related Posts
Don't Miss