Learning

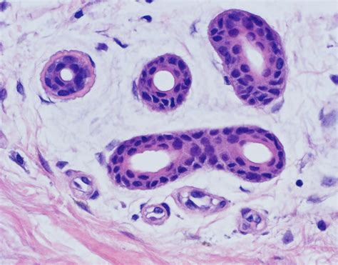
Stratified Cuboidal Epithelial Tissue

Stratified Cuboidal Epithelial Tissue
Stratified Cuboidal Epithelial Tissue

Stratified cuboidal epithelial tissue is a type of epithelial tissue that plays a crucial role in various biological functions. This tissue is characterized by its layered structure and cuboidal cells, which are roughly square-shaped when viewed from the side. Understanding the structure, function, and significance of stratified cuboidal epithelial tissue is essential for comprehending the complexities of human anatomy and physiology.

Understanding Stratified Cuboidal Epithelial Tissue

Stratified cuboidal epithelial tissue is composed of multiple layers of cuboidal cells. These cells are arranged in a way that provides both structural support and functional versatility. The cuboidal shape of the cells allows for efficient transport of substances across the tissue, making it ideal for various physiological processes.

Structure of Stratified Cuboidal Epithelial Tissue

The structure of stratified cuboidal epithelial tissue can be broken down into several key components:

  • Layers: The tissue is composed of multiple layers of cells, which provide strength and durability.
  • Cuboidal Cells: The cells are roughly square-shaped, which allows for efficient transport of substances.
  • Basement Membrane: This layer supports the epithelial tissue and anchors it to the underlying connective tissue.

These components work together to create a robust and functional tissue that can withstand mechanical stress and perform essential biological functions.

Functions of Stratified Cuboidal Epithelial Tissue

Stratified cuboidal epithelial tissue serves several important functions in the body. Some of the key functions include:

  • Protection: The multiple layers of cells provide a barrier that protects underlying tissues from mechanical damage and pathogens.
  • Secretion: The tissue can secrete various substances, such as mucus, which helps to lubricate and protect surfaces.
  • Absorption: The cuboidal cells can absorb nutrients and other substances, facilitating the transport of essential materials across the tissue.
  • Excretion: The tissue can also excrete waste products, helping to maintain homeostasis in the body.

These functions are essential for maintaining the health and integrity of various organs and systems in the body.

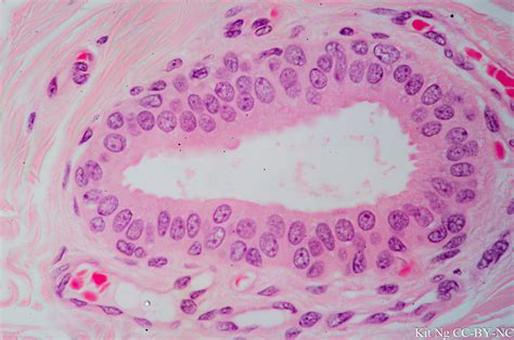
Locations of Stratified Cuboidal Epithelial Tissue

Stratified cuboidal epithelial tissue is found in several locations throughout the body, including:

  • Salivary Glands: The tissue lines the ducts of salivary glands, facilitating the secretion of saliva.
  • Mammary Glands: The tissue is present in the ducts of mammary glands, aiding in the secretion of milk.
  • Sweat Glands: The tissue lines the ducts of sweat glands, helping to regulate body temperature.
  • Pancreas: The tissue is found in the ducts of the pancreas, assisting in the secretion of digestive enzymes.

These locations highlight the versatility and importance of stratified cuboidal epithelial tissue in various physiological processes.

Comparing Stratified Cuboidal Epithelial Tissue with Other Epithelial Tissues

To better understand stratified cuboidal epithelial tissue, it is helpful to compare it with other types of epithelial tissues. The main types of epithelial tissues include:

  • Simple Epithelial Tissue: This tissue is composed of a single layer of cells and can be further classified based on the shape of the cells (squamous, cuboidal, or columnar).
  • Stratified Epithelial Tissue: This tissue is composed of multiple layers of cells and can also be classified based on the shape of the cells (squamous, cuboidal, or columnar).
  • Pseudostratified Epithelial Tissue: This tissue appears to be stratified but is actually composed of a single layer of cells. The nuclei of the cells are at different levels, giving the appearance of multiple layers.

Stratified cuboidal epithelial tissue differs from these other types in its layered structure and the cuboidal shape of its cells. This unique structure allows it to perform specialized functions that are not possible with other types of epithelial tissues.

Importance of Stratified Cuboidal Epithelial Tissue in Health and Disease

Stratified cuboidal epithelial tissue plays a crucial role in maintaining health and can be affected by various diseases and conditions. Some of the key points to consider include:

  • Health: In a healthy state, stratified cuboidal epithelial tissue functions efficiently, providing protection, secretion, absorption, and excretion. This helps to maintain the overall health and integrity of the body.
  • Disease: Various diseases and conditions can affect stratified cuboidal epithelial tissue, leading to dysfunction and potential health issues. For example, inflammation, infection, and cancer can all impact the tissue's ability to perform its functions.
  • Diagnosis and Treatment: Understanding the structure and function of stratified cuboidal epithelial tissue is essential for diagnosing and treating diseases that affect it. Medical professionals can use this knowledge to develop targeted therapies and interventions.

By recognizing the importance of stratified cuboidal epithelial tissue in health and disease, we can better appreciate its role in the body and work towards maintaining its optimal function.

Research and Future Directions

Research on stratified cuboidal epithelial tissue is ongoing, with scientists and medical professionals continually seeking to understand its structure, function, and role in health and disease. Some of the key areas of research include:

  • Molecular Biology: Studying the molecular mechanisms that regulate the structure and function of stratified cuboidal epithelial tissue.
  • Cellular Biology: Investigating the cellular processes that occur within the tissue, such as cell division, differentiation, and apoptosis.
  • Pathology: Examining the ways in which diseases and conditions affect stratified cuboidal epithelial tissue and developing new diagnostic and therapeutic approaches.

Future research in these areas has the potential to yield significant insights into the biology of stratified cuboidal epithelial tissue and its role in health and disease. This knowledge can be used to develop new treatments and interventions that improve patient outcomes and quality of life.

📚 Note: The study of stratified cuboidal epithelial tissue is a complex and evolving field. Staying up-to-date with the latest research and developments is essential for understanding its role in the body and its potential applications in medicine.

Clinical Applications

Stratified cuboidal epithelial tissue has several clinical applications, particularly in the fields of pathology and oncology. Understanding the tissue's structure and function is crucial for diagnosing and treating various conditions. Some key clinical applications include:

  • Diagnostic Pathology: Pathologists examine stratified cuboidal epithelial tissue to diagnose diseases such as cancer, inflammation, and infections. Biopsies and tissue samples are analyzed to identify abnormalities and determine the appropriate course of treatment.
  • Oncology: In cancer research, stratified cuboidal epithelial tissue is studied to understand the mechanisms of tumor growth and metastasis. This knowledge is used to develop targeted therapies and improve cancer treatment outcomes.
  • Regenerative Medicine: Researchers are exploring the potential of stratified cuboidal epithelial tissue in regenerative medicine. Stem cells derived from this tissue can be used to repair and regenerate damaged organs and tissues, offering new hope for patients with chronic diseases.

These clinical applications highlight the importance of stratified cuboidal epithelial tissue in modern medicine and its potential to revolutionize patient care.

Case Studies

To illustrate the clinical significance of stratified cuboidal epithelial tissue, consider the following case studies:

  • Case Study 1: Breast Cancer: A patient presents with a lump in the breast. A biopsy reveals that the lump is composed of stratified cuboidal epithelial tissue with abnormal cell growth. Further analysis confirms the diagnosis of breast cancer. The patient undergoes surgery, chemotherapy, and radiation therapy, leading to a successful recovery.
  • Case Study 2: Pancreatic Disease: A patient experiences severe abdominal pain and jaundice. Imaging studies reveal a blockage in the pancreatic duct. A biopsy of the duct tissue shows inflammation and damage to the stratified cuboidal epithelial tissue. The patient is treated with anti-inflammatory medications and a low-fat diet, resulting in symptom relief and improved quality of life.

These case studies demonstrate the clinical relevance of stratified cuboidal epithelial tissue and its role in diagnosing and treating various conditions.

Conclusion

Stratified cuboidal epithelial tissue is a vital component of the human body, playing essential roles in protection, secretion, absorption, and excretion. Its unique structure and function make it indispensable for maintaining health and well-being. Understanding the biology, clinical applications, and future directions of stratified cuboidal epithelial tissue is crucial for advancing medical knowledge and improving patient outcomes. By continuing to explore this fascinating tissue, we can unlock new insights into human physiology and develop innovative treatments for a wide range of diseases and conditions.

Facebook Twitter WhatsApp
Related Posts
Don't Miss