Learning

Splenic Artery Aneurysm

Splenic Artery Aneurysm
Splenic Artery Aneurysm

Splenic artery aneurysm (SAA) is a rare but significant medical condition that affects the splenic artery, the blood vessel that supplies the spleen. This condition involves the abnormal dilation or ballooning of the artery, which can lead to serious complications if left untreated. Understanding the causes, symptoms, diagnosis, and treatment options for SAA is crucial for both healthcare providers and patients.

Understanding Splenic Artery Aneurysm

A splenic artery aneurysm is a localized dilation of the splenic artery, often occurring at the junction of the splenic artery and its branches. This condition is more common in women, particularly those who have had multiple pregnancies. The exact cause of SAA is not always clear, but several factors are believed to contribute to its development:

  • Pregnancy: Hormonal changes and increased blood volume during pregnancy can weaken the artery walls.
  • Connective Tissue Disorders: Conditions like Ehlers-Danlos syndrome and Marfan syndrome can affect the integrity of blood vessels.
  • Atherosclerosis: The buildup of plaque in the arteries can weaken the vessel walls.
  • Portal Hypertension: Increased pressure in the portal vein system can lead to the dilation of the splenic artery.

Symptoms of Splenic Artery Aneurysm

Many people with a splenic artery aneurysm do not experience any symptoms, and the condition is often discovered incidentally during imaging tests for other conditions. However, when symptoms do occur, they can include:

  • Abdominal Pain: Often described as a dull, persistent pain in the upper left abdomen.
  • Nausea and Vomiting: These symptoms can accompany abdominal pain.
  • Fever: In some cases, a low-grade fever may be present.
  • Back Pain: Pain may radiate to the back.

If the aneurysm ruptures, it can lead to life-threatening internal bleeding, which requires immediate medical attention. Symptoms of a ruptured splenic artery aneurysm include:

  • Severe Abdominal Pain: Often sudden and intense.
  • Rapid Heart Rate: Tachycardia can occur due to blood loss.
  • Low Blood Pressure: Hypotension is a sign of significant blood loss.
  • Fainting: Loss of consciousness can occur due to shock.

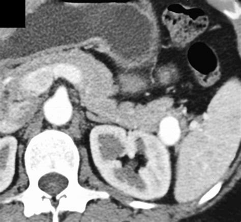
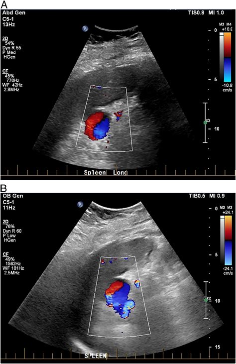
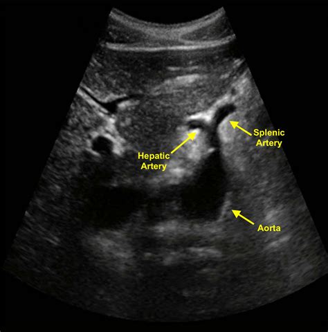
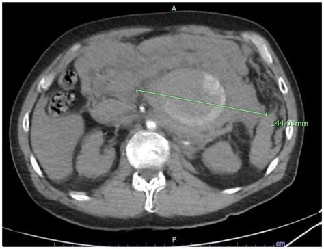
Diagnosis of Splenic Artery Aneurysm

Diagnosing a splenic artery aneurysm typically involves a combination of medical history, physical examination, and imaging tests. The diagnostic process may include:

  • Medical History and Physical Examination: The healthcare provider will ask about symptoms, medical history, and perform a physical exam to check for signs of abdominal pain or tenderness.
  • Imaging Tests: Various imaging techniques can help visualize the splenic artery and detect aneurysms. These include:
Imaging Test Description
Ultrasound: Uses sound waves to create images of the abdomen. It is non-invasive and can detect aneurysms, but it may not provide detailed images.
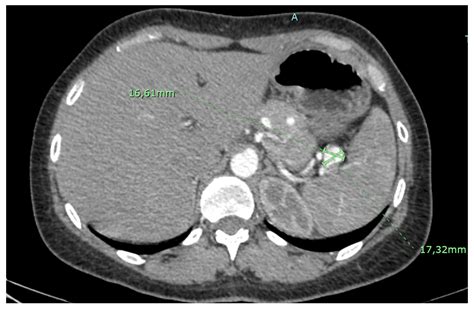
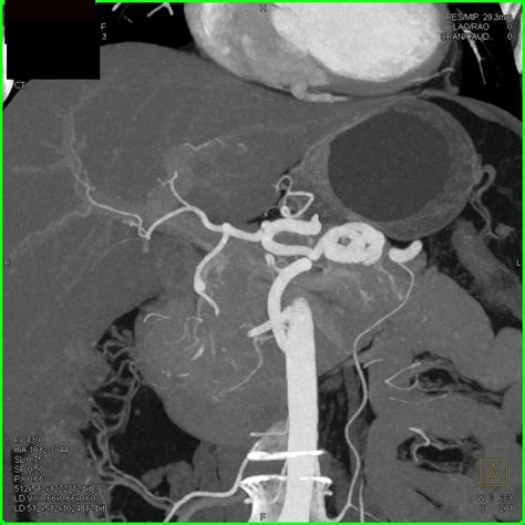
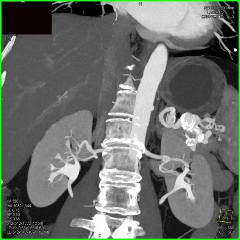
Computed Tomography (CT) Scan: Provides detailed cross-sectional images of the abdomen. It is often used to confirm the presence of an aneurysm and assess its size and location.
Magnetic Resonance Imaging (MRI): Uses magnetic fields and radio waves to create detailed images. It is useful for patients who cannot undergo a CT scan due to allergies or other contraindications.
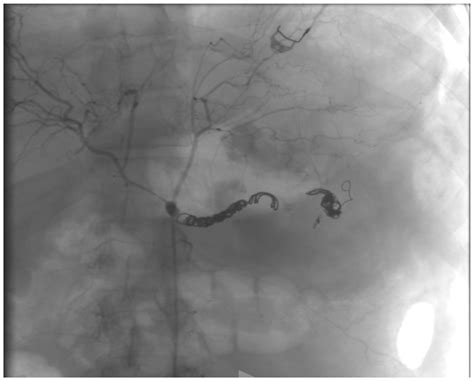
Angiography: Involves injecting a contrast dye into the blood vessels and taking X-ray images. It provides detailed images of the blood vessels and can help plan treatment.

Angiography is particularly useful for planning surgical or endovascular interventions.

πŸ“ Note: Early detection of a splenic artery aneurysm is crucial for preventing complications. Regular check-ups and imaging tests may be recommended for individuals at higher risk.

Treatment Options for Splenic Artery Aneurysm

The treatment of a splenic artery aneurysm depends on several factors, including the size of the aneurysm, the presence of symptoms, and the overall health of the patient. Treatment options can be categorized into surgical and non-surgical approaches:

Non-Surgical Management

For small, asymptomatic aneurysms, a watchful waiting approach may be recommended. This involves regular monitoring with imaging tests to track the size and progression of the aneurysm. Non-surgical management may include:

  • Lifestyle Modifications: Maintaining a healthy lifestyle, including a balanced diet, regular exercise, and avoiding smoking, can help manage risk factors.
  • Medications: Blood pressure control and other medications may be prescribed to manage underlying conditions that contribute to the aneurysm.

Surgical Management

For larger aneurysms or those that are symptomatic, surgical intervention may be necessary. Surgical options include:

  • Open Surgery: Traditional open surgery involves making an incision in the abdomen to access the splenic artery. The aneurysm is repaired or the artery is ligated (tied off) to prevent further dilation.
  • Endovascular Repair: This minimally invasive procedure involves inserting a catheter into a blood vessel, usually in the groin, and guiding it to the site of the aneurysm. A stent or coil is then placed to reinforce the artery and prevent rupture.

Endovascular repair is often preferred for its lower risk of complications and shorter recovery time compared to open surgery.

πŸ“ Note: The choice of treatment depends on the individual patient's condition and the expertise of the healthcare team. A multidisciplinary approach involving vascular surgeons, interventional radiologists, and other specialists is often recommended.

Complications and Risks

Splenic artery aneurysms can lead to several complications, the most serious of which is rupture. A ruptured aneurysm can cause life-threatening internal bleeding, requiring immediate medical attention. Other potential complications include:

  • Thrombosis: Blood clots can form within the aneurysm, leading to blockage of the blood vessel.
  • Infection: In rare cases, an aneurysm can become infected, leading to sepsis.
  • Organ Damage: A ruptured aneurysm can cause damage to nearby organs, including the spleen, pancreas, and intestines.

Rupture is more likely in larger aneurysms and those that are symptomatic. Regular monitoring and timely intervention can help prevent these complications.

Prevention and Risk Management

While splenic artery aneurysms cannot always be prevented, certain measures can help manage the risk factors and reduce the likelihood of complications:

  • Regular Check-ups: Individuals at higher risk, such as those with connective tissue disorders or a history of multiple pregnancies, should undergo regular check-ups and imaging tests.
  • Healthy Lifestyle: Maintaining a healthy lifestyle, including a balanced diet, regular exercise, and avoiding smoking, can help manage risk factors.
  • Blood Pressure Control: Managing high blood pressure through medication and lifestyle changes can reduce the risk of aneurysm formation and rupture.

Early detection and regular monitoring are key to preventing complications associated with splenic artery aneurysms.

πŸ“ Note: Individuals with a family history of aneurysms or connective tissue disorders should discuss their risk factors with their healthcare provider and consider regular screening.

Splenic artery aneurysms are a serious but manageable condition. Understanding the causes, symptoms, diagnosis, and treatment options is essential for both healthcare providers and patients. Early detection, regular monitoring, and timely intervention can help prevent complications and improve outcomes. By maintaining a healthy lifestyle and managing risk factors, individuals can reduce their risk of developing this condition and its associated complications.

Related Terms:

  • splenic artery aneurysm rupture risk
  • splenic aneurysm when to operate
  • aneurysm on spleen prognosis
  • living with splenic artery aneurysm
  • 7mm splenic artery aneurysm
  • splenic artery aneurysm causes
Facebook Twitter WhatsApp
Related Posts
Don't Miss