Learning

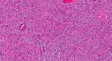
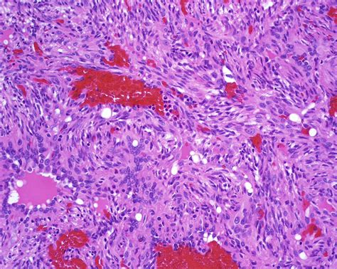
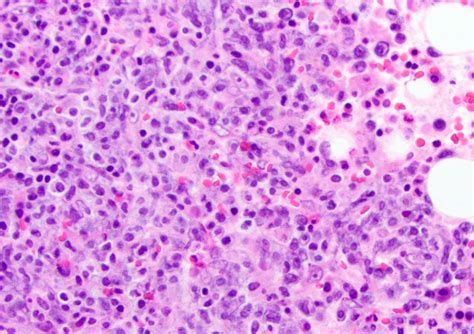
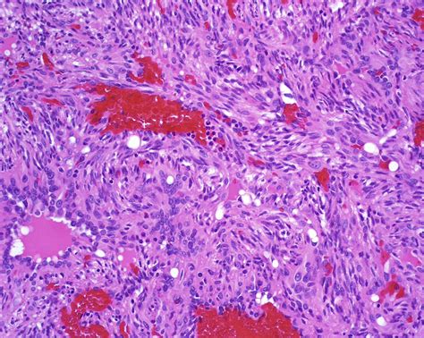
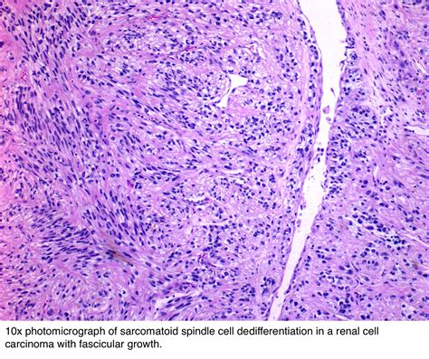
Spindle Cell Tumor

Spindle Cell Tumor
Spindle Cell Tumor

Spindle cell tumors are a diverse group of neoplasms characterized by spindle-shaped cells. These tumors can arise in various tissues and organs throughout the body, making their diagnosis and treatment a complex process. Understanding the different types, causes, symptoms, and treatment options for spindle cell tumors is crucial for both healthcare professionals and patients.

Understanding Spindle Cell Tumors

Spindle cell tumors are named for their distinctive spindle-shaped cells, which are elongated and tapered at both ends. These tumors can be benign or malignant, and their behavior can vary widely depending on the specific type and location. Some common types of spindle cell tumors include:

  • Fibrosarcoma
  • Leiomyosarcoma
  • Rhabdomyosarcoma
  • Synovial sarcoma
  • Gastrointestinal stromal tumor (GIST)

Each of these tumors has unique characteristics and requires different approaches to diagnosis and treatment.

Causes and Risk Factors

The exact causes of spindle cell tumors are not fully understood, but several risk factors have been identified. These include:

  • Genetic mutations: Certain genetic mutations, such as those in the TP53 gene, have been linked to an increased risk of developing spindle cell tumors.
  • Radiation exposure: Previous exposure to radiation therapy can increase the risk of developing spindle cell tumors.
  • Chemical exposure: Exposure to certain chemicals, such as vinyl chloride and arsenic, has been associated with an increased risk of spindle cell tumors.
  • Chronic inflammation: Chronic inflammation in certain tissues can lead to the development of spindle cell tumors.

While these risk factors can increase the likelihood of developing a spindle cell tumor, it is important to note that many people with these risk factors never develop the condition.

Symptoms and Diagnosis

The symptoms of spindle cell tumors can vary widely depending on the location and size of the tumor. Common symptoms include:

  • Pain or swelling in the affected area
  • A palpable mass or lump
  • Numbness or weakness in the affected area
  • Fatigue or weight loss

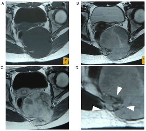
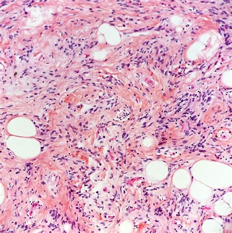
Diagnosing a spindle cell tumor typically involves a combination of imaging tests, such as X-rays, CT scans, and MRIs, as well as a biopsy to examine the tissue under a microscope. The biopsy is crucial for determining the specific type of spindle cell tumor and its grade, which indicates how aggressive the tumor is likely to be.

Treatment Options

The treatment of spindle cell tumors depends on several factors, including the type and location of the tumor, its grade, and the overall health of the patient. Common treatment options include:

  • Surgery: Surgical removal of the tumor is often the primary treatment for spindle cell tumors. The goal is to remove the entire tumor with clear margins to reduce the risk of recurrence.
  • Radiation therapy: Radiation therapy may be used before or after surgery to shrink the tumor or destroy any remaining cancer cells.
  • Chemotherapy: Chemotherapy may be used in cases where the tumor is aggressive or has spread to other parts of the body. It can be administered systemically or directly into the affected area.
  • Targeted therapy: Some spindle cell tumors have specific genetic mutations that can be targeted with specialized drugs. These targeted therapies can be very effective in certain cases.

In some cases, a combination of these treatments may be used to achieve the best possible outcome.

Prognosis and Follow-Up Care

The prognosis for spindle cell tumors can vary widely depending on the specific type, grade, and stage of the tumor. Generally, low-grade tumors have a better prognosis than high-grade tumors. Regular follow-up care is essential to monitor for recurrence and manage any long-term side effects of treatment.

Follow-up care may include:

  • Regular physical examinations
  • Imaging tests, such as CT scans or MRIs
  • Blood tests to monitor for recurrence
  • Supportive care to manage symptoms and side effects

Patients should work closely with their healthcare team to develop a personalized follow-up plan that meets their individual needs.

Specific Types of Spindle Cell Tumors

Spindle cell tumors can occur in various tissues and organs, each with its unique characteristics and treatment considerations. Some of the most common types include:

Fibrosarcoma

Fibrosarcoma is a malignant tumor that arises from fibrous connective tissue. It can occur in both soft tissues and bones. Fibrosarcomas are typically aggressive and can metastasize to other parts of the body. Treatment often involves a combination of surgery, radiation therapy, and chemotherapy.

Leiomyosarcoma

Leiomyosarcoma is a malignant tumor that arises from smooth muscle cells. It can occur in various parts of the body, including the uterus, gastrointestinal tract, and soft tissues. Leiomyosarcomas are often aggressive and can metastasize to other organs. Treatment typically involves surgery, radiation therapy, and chemotherapy.

Rhabdomyosarcoma

Rhabdomyosarcoma is a malignant tumor that arises from skeletal muscle cells. It is most commonly found in children and young adults. Rhabdomyosarcomas can occur in various parts of the body, including the head and neck, genitourinary tract, and extremities. Treatment often involves a combination of surgery, radiation therapy, and chemotherapy.

Synovial Sarcoma

Synovial sarcoma is a malignant tumor that arises from synovial tissue, which lines the joints, tendons, and bursae. It can occur in various parts of the body, including the extremities, trunk, and head and neck. Synovial sarcomas are often aggressive and can metastasize to other organs. Treatment typically involves surgery, radiation therapy, and chemotherapy.

Gastrointestinal Stromal Tumor (GIST)

Gastrointestinal stromal tumor (GIST) is a type of spindle cell tumor that arises from the interstitial cells of Cajal in the gastrointestinal tract. GISTs can be benign or malignant and can occur in various parts of the gastrointestinal tract, including the stomach, small intestine, and colon. Treatment often involves surgery, targeted therapy, and, in some cases, chemotherapy.

Table: Common Types of Spindle Cell Tumors

Type of Tumor Origin Common Locations Treatment Options
Fibrosarcoma Fibrous connective tissue Soft tissues, bones Surgery, radiation therapy, chemotherapy
Leiomyosarcoma Smooth muscle cells Uterus, gastrointestinal tract, soft tissues Surgery, radiation therapy, chemotherapy
Rhabdomyosarcoma Skeletal muscle cells Head and neck, genitourinary tract, extremities Surgery, radiation therapy, chemotherapy
Synovial Sarcoma Synovial tissue Extremities, trunk, head and neck Surgery, radiation therapy, chemotherapy
Gastrointestinal Stromal Tumor (GIST) Interstitial cells of Cajal Stomach, small intestine, colon Surgery, targeted therapy, chemotherapy

This table provides a quick reference for the common types of spindle cell tumors, their origins, common locations, and typical treatment options.

📝 Note: The information provided in this table is a general overview and may not cover all specific cases or treatment options. Always consult with a healthcare professional for personalized advice.

Research and Future Directions

Research into spindle cell tumors is ongoing, with a focus on improving diagnosis, treatment, and outcomes. Some of the key areas of research include:

  • Genetic and molecular studies: Understanding the genetic and molecular changes that occur in spindle cell tumors can help identify new targets for treatment.
  • Immunotherapy: Immunotherapy is a promising area of research that involves using the body's immune system to fight cancer. Some spindle cell tumors may respond to immunotherapy, and ongoing studies are exploring this potential.
  • Personalized medicine: Personalized medicine involves tailoring treatment to the individual characteristics of the tumor and the patient. This approach can improve outcomes and reduce side effects.

As research continues, it is hoped that new and more effective treatments for spindle cell tumors will be developed, improving the prognosis for patients.

Spindle cell tumors are a complex and diverse group of neoplasms that require careful diagnosis and treatment. Understanding the different types, causes, symptoms, and treatment options is essential for both healthcare professionals and patients. By staying informed and working closely with healthcare teams, patients can improve their chances of a successful outcome.

Related Terms:

  • spindle cell tumor radiology
  • spindle cell tumor treatment
  • spindle cell tumor breast
  • spindle cell tumor ovary
  • spindle cell tumor lung
  • spindle cell tumor benign
Facebook Twitter WhatsApp
Related Posts
Don't Miss