Learning

Sperm Through Microscope

Sperm Through Microscope
Sperm Through Microscope

Exploring the microscopic world of sperm through a microscope is a fascinating journey into the realm of reproductive biology. This process not only aids in understanding the fundamentals of human reproduction but also plays a crucial role in diagnosing and treating infertility issues. By examining sperm through a microscope, scientists and healthcare professionals can gain valuable insights into sperm morphology, motility, and concentration, which are essential parameters for assessing male fertility.

Understanding Sperm Through a Microscope

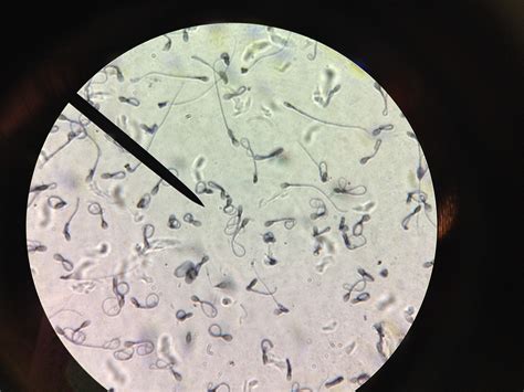
Sperm, the male reproductive cells, are tiny, motile structures designed to fertilize the female egg. When viewed through a microscope, sperm exhibit distinct characteristics that can be analyzed to determine their health and viability. The primary components of a sperm cell include the head, midpiece, and tail. The head contains the genetic material, the midpiece is rich in mitochondria that provide energy, and the tail propels the sperm forward.

Preparing the Sample for Microscopic Examination

To observe sperm through a microscope, a sample of semen is first collected. This sample is then prepared for microscopic examination using specific techniques. The most common method involves placing a drop of semen on a microscope slide and covering it with a coverslip. This preparation allows for the observation of sperm motility and concentration. For a more detailed analysis of sperm morphology, a stained sample may be used. Staining techniques, such as the Papanicolaou stain, help to highlight the structural details of the sperm cells.

Analyzing Sperm Parameters

When examining sperm through a microscope, several key parameters are assessed to evaluate male fertility. These parameters include:

  • Motility: This refers to the ability of sperm to move forward progressively. Motility is crucial for sperm to navigate through the female reproductive tract and reach the egg.
  • Concentration: This measures the number of sperm present in a given volume of semen. A higher concentration generally indicates better fertility potential.
  • Morphology: This involves examining the shape and structure of the sperm. Normal sperm morphology is essential for successful fertilization.

These parameters are often evaluated using standardized criteria, such as those outlined by the World Health Organization (WHO). The WHO guidelines provide a framework for assessing sperm quality and interpreting the results in the context of male infertility.

Common Techniques for Sperm Analysis

Several techniques are employed to analyze sperm through a microscope, each offering unique insights into sperm health and function. Some of the most commonly used techniques include:

  • Bright-Field Microscopy: This is the simplest and most widely used technique for examining sperm. It involves observing the sample under a standard light microscope, allowing for the assessment of motility, concentration, and basic morphology.
  • Phase-Contrast Microscopy: This technique enhances the contrast of the sample, making it easier to observe the internal structures of the sperm. It is particularly useful for assessing sperm motility and viability.
  • Dark-Field Microscopy: This method uses oblique illumination to create a bright image against a dark background. It is effective for observing the movement of sperm and detecting any abnormalities in their structure.
  • Fluorescence Microscopy: This technique involves staining the sperm with fluorescent dyes to highlight specific components, such as DNA or mitochondria. It is useful for detailed morphological analysis and assessing sperm viability.

Each of these techniques has its advantages and limitations, and the choice of method depends on the specific requirements of the analysis.

Interpreting the Results

Interpreting the results of sperm analysis through a microscope involves comparing the observed parameters to established reference values. For example, according to the WHO guidelines, normal sperm parameters are defined as follows:

Parameter Normal Range
Motility ≥40% progressively motile sperm
Concentration ≥15 million sperm per milliliter
Morphology ≥4% normal forms

If the results fall below these thresholds, it may indicate potential fertility issues that require further investigation and treatment. It is important to note that sperm analysis is just one component of a comprehensive fertility evaluation, and other factors, such as hormonal levels and female reproductive health, should also be considered.

📝 Note: The interpretation of sperm analysis results should be conducted by a qualified healthcare professional to ensure accurate diagnosis and appropriate treatment.

Advanced Techniques for Sperm Analysis

In addition to traditional microscopic techniques, advanced methods are available for a more detailed analysis of sperm. These techniques provide deeper insights into sperm function and can help identify subtle abnormalities that may not be detectable through standard microscopy. Some of the advanced techniques include:

  • Computer-Assisted Sperm Analysis (CASA): This automated system uses digital imaging and software algorithms to analyze sperm motility, concentration, and morphology. CASA provides objective and reproducible results, reducing the subjectivity associated with manual analysis.
  • Flow Cytometry: This technique uses fluorescent dyes and laser technology to analyze large numbers of sperm cells simultaneously. It is particularly useful for assessing sperm viability, DNA integrity, and the presence of reactive oxygen species (ROS).
  • Electron Microscopy: This high-resolution imaging technique allows for detailed examination of sperm ultrastructure. It is used to study the fine details of sperm morphology and identify structural abnormalities that may affect fertility.

These advanced techniques offer valuable tools for researchers and clinicians to gain a deeper understanding of sperm function and fertility potential.

Clinical Applications of Sperm Analysis

Sperm analysis through a microscope has numerous clinical applications, particularly in the field of reproductive medicine. Some of the key applications include:

  • Diagnosis of Infertility: Sperm analysis is a crucial step in the diagnostic workup of male infertility. By evaluating sperm parameters, healthcare professionals can identify potential causes of infertility and develop appropriate treatment plans.
  • Assisted Reproductive Technologies (ART): Sperm analysis is essential for procedures such as in vitro fertilization (IVF) and intracytoplasmic sperm injection (ICSI). These techniques often require the selection of high-quality sperm for fertilization, and microscopic examination helps in identifying the most viable sperm.
  • Monitoring Treatment Efficacy: Sperm analysis can be used to monitor the effectiveness of treatments aimed at improving male fertility. For example, hormonal therapies or lifestyle modifications can be evaluated by assessing changes in sperm parameters over time.

In addition to these clinical applications, sperm analysis through a microscope is also valuable for research purposes, contributing to our understanding of reproductive biology and the development of new fertility treatments.

Sperm analysis through a microscope is a fundamental tool in reproductive medicine, providing essential insights into male fertility. By examining sperm parameters such as motility, concentration, and morphology, healthcare professionals can diagnose infertility issues, guide treatment decisions, and improve reproductive outcomes. Advanced techniques, such as CASA and flow cytometry, offer even deeper insights into sperm function, enhancing our ability to address complex fertility challenges. As our understanding of sperm biology continues to evolve, so too will the techniques and applications of sperm analysis, paving the way for more effective and personalized fertility treatments.

Related Terms:

  • sperm cells mature in the
  • microscope power to see sperm
  • microscopic view of sperm
  • sperm under microscope diagram
Facebook Twitter WhatsApp
Related Posts
Don't Miss