Learning

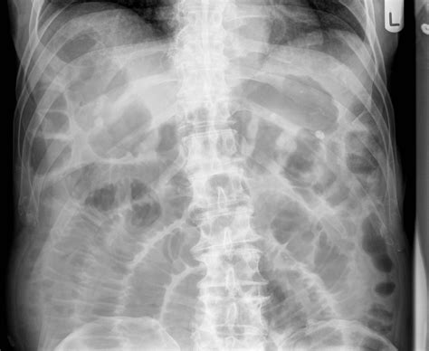
Small Bowel Series

Small Bowel Series
Small Bowel Series

Understanding the intricacies of a Small Bowel Series is crucial for healthcare professionals and patients alike. This diagnostic procedure plays a pivotal role in evaluating the small intestine, helping to identify various gastrointestinal issues. This blog post delves into the details of a Small Bowel Series, its importance, the procedure involved, and what patients can expect.

What is a Small Bowel Series?

A Small Bowel Series, also known as a Small Bowel Follow-Through, is a radiological examination that uses X-rays to visualize the small intestine. This procedure is essential for diagnosing conditions that affect the small bowel, such as Crohn’s disease, celiac disease, and intestinal obstructions. By providing detailed images, a Small Bowel Series helps healthcare providers make accurate diagnoses and develop effective treatment plans.

Importance of a Small Bowel Series

The small intestine is a critical part of the digestive system, responsible for absorbing nutrients from food. However, it can be challenging to examine due to its location and length. A Small Bowel Series offers a non-invasive way to assess the small intestine, making it a valuable tool in gastroenterology. Some of the key benefits include:

  • Early Detection: Identifying issues early can lead to better outcomes and more effective treatment.
  • Detailed Imaging: Provides clear images of the small intestine, helping to pinpoint the exact location and nature of the problem.
  • Non-Invasive: Unlike endoscopic procedures, a Small Bowel Series does not require the insertion of instruments into the body.

Preparing for a Small Bowel Series

Preparation is key to ensuring the accuracy of a Small Bowel Series. Patients are typically advised to follow specific guidelines to prepare for the procedure. These may include:

  • Dietary Restrictions: Patients may be asked to follow a clear liquid diet for 24 hours before the exam. This helps to clear the digestive tract of any solid food that could interfere with the images.
  • Medication Adjustments: Certain medications, such as those containing barium, may need to be avoided. Patients should consult their healthcare provider about any necessary adjustments.
  • Hydration: Staying hydrated is important, but patients should avoid drinking anything that could leave residue in the digestive tract.

The Small Bowel Series Procedure

The Small Bowel Series procedure involves several steps, each designed to provide a comprehensive view of the small intestine. Here’s a breakdown of what to expect:

  • Barium Ingestion: The patient drinks a barium solution, which coats the lining of the small intestine and makes it visible on X-rays.
  • X-Ray Imaging: A series of X-rays are taken at regular intervals as the barium moves through the small intestine. This process can take several hours, depending on how quickly the barium passes through the digestive system.
  • Positioning: The patient may be asked to change positions to help the barium move through the small intestine and to capture different angles.

During the procedure, it is important for the patient to remain still during each X-ray to ensure clear images. The healthcare team will monitor the progress of the barium and adjust the timing of the X-rays accordingly.

What to Expect After the Procedure

After completing the Small Bowel Series, patients can generally resume their normal activities. However, there are a few things to keep in mind:

  • Hydration: Drinking plenty of fluids can help flush the barium out of the system more quickly.
  • Bowel Movements: The barium may cause temporary changes in bowel movements, which should return to normal within a day or two.
  • Follow-Up: The healthcare provider will review the images and discuss the results with the patient. Depending on the findings, further tests or treatments may be recommended.

📝 Note: If you experience severe abdominal pain, vomiting, or other concerning symptoms after the procedure, contact your healthcare provider immediately.

Interpreting the Results

The results of a Small Bowel Series are interpreted by a radiologist, who looks for signs of abnormalities in the small intestine. Some of the conditions that can be detected include:

  • Inflammatory Bowel Disease (IBD): Conditions like Crohn’s disease can cause inflammation and ulcers in the small intestine.
  • Celiac Disease: This autoimmune disorder can damage the lining of the small intestine, affecting nutrient absorption.
  • Intestinal Obstructions: Blockages in the small intestine can be identified, helping to determine the cause and appropriate treatment.
  • Tumors and Polyps: Abnormal growths in the small intestine can be detected, which may require further investigation or treatment.

The radiologist will provide a detailed report to the referring healthcare provider, who will then discuss the findings and next steps with the patient.

Common Questions About Small Bowel Series

Patients often have questions about the Small Bowel Series procedure. Here are some of the most common queries:

Is the procedure painful?

The Small Bowel Series is generally not painful. However, some patients may experience discomfort from the barium solution or the need to hold still during the X-rays.

How long does the procedure take?

The entire procedure can take several hours, depending on how quickly the barium moves through the small intestine. Patients should plan to spend a significant portion of the day at the medical facility.

Are there any risks?

The risks associated with a Small Bowel Series are minimal. However, some patients may experience allergic reactions to the barium solution. It is important to inform the healthcare provider of any known allergies before the procedure.

Can I eat before the procedure?

Patients are typically advised to follow a clear liquid diet for 24 hours before the procedure. This helps to ensure that the small intestine is clear of any solid food that could interfere with the images.

Alternative Diagnostic Methods

While a Small Bowel Series is a valuable diagnostic tool, there are other methods that can be used to evaluate the small intestine. Some of these alternatives include:

  • Capsule Endoscopy: A small camera is swallowed and passes through the digestive system, capturing images of the small intestine.
  • CT Enterography: A CT scan with contrast is used to provide detailed images of the small intestine.
  • MRI Enterography: Similar to CT enterography, but uses magnetic resonance imaging instead of X-rays.

Each of these methods has its own advantages and disadvantages, and the choice of procedure will depend on the specific needs of the patient and the preferences of the healthcare provider.

Conclusion

A Small Bowel Series is a crucial diagnostic tool for evaluating the small intestine, providing detailed images that help healthcare providers identify and treat various gastrointestinal conditions. By understanding the procedure, preparing appropriately, and knowing what to expect, patients can ensure a smooth and effective experience. Whether used alone or in conjunction with other diagnostic methods, a Small Bowel Series plays a vital role in maintaining digestive health and well-being.

Related Terms:

  • small bowel series results
  • normal small bowel series
  • small bowel series imaging
  • small bowel series test
  • small bowel series contrast
  • small bowel series procedure
Facebook Twitter WhatsApp
Related Posts
Don't Miss