Learning

Skin Tag Vs Wart

Skin Tag Vs Wart
Skin Tag Vs Wart

Skin growths can be a common concern for many people, and understanding the differences between various types of skin growths is crucial for proper identification and treatment. Two of the most frequently encountered skin growths are skin tags and warts. While both can be unsightly and cause discomfort, they have distinct characteristics and require different approaches for management. This blog post aims to provide a comprehensive comparison between skin tags and warts, helping you understand the differences and how to address each condition effectively.

Understanding Skin Tags

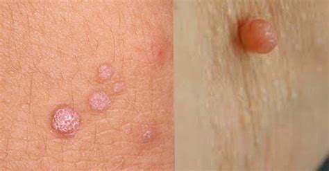
Skin tags, also known as acrochordons, are small, soft growths that hang off the skin. They are typically flesh-colored or slightly darker and can vary in size from a few millimeters to several centimeters. Skin tags are usually found in areas where the skin rubs against itself or clothing, such as the neck, armpits, and groin.

Skin tags are generally harmless and do not cause any pain or discomfort unless they are irritated or caught on clothing. They are more common in middle-aged and older adults, as well as in individuals who are overweight or have diabetes. The exact cause of skin tags is not fully understood, but they are believed to be related to friction and hormonal changes.

Understanding Warts

Warts are small, rough growths on the skin caused by the human papillomavirus (HPV). They can appear anywhere on the body but are most commonly found on the hands, feet, and face. Warts can be contagious and are often spread through direct contact with an infected person or surface. There are several types of warts, including common warts, plantar warts, and genital warts, each with its own characteristics and treatment options.

Common warts are typically found on the hands and fingers and have a rough, cauliflower-like appearance. Plantar warts, on the other hand, appear on the soles of the feet and can be painful due to their location. Genital warts are sexually transmitted and can cause discomfort and embarrassment. Warts can be treated with various methods, including topical medications, freezing, and surgical removal.

Skin Tag Vs Wart: Key Differences

While skin tags and warts may appear similar at first glance, there are several key differences that can help you distinguish between the two. Understanding these differences is essential for proper identification and treatment.

Characteristic Skin Tag Wart
Cause Friction and hormonal changes Human papillomavirus (HPV)
Appearance Soft, flesh-colored growths that hang off the skin Rough, cauliflower-like growths
Location Neck, armpits, groin, and other areas of skin friction Hands, feet, face, and genital areas
Contagiousness Not contagious Contagious
Treatment Removal by cutting, freezing, or burning Topical medications, freezing, surgical removal

Diagnosing Skin Tags and Warts

Diagnosing skin tags and warts typically involves a visual examination by a healthcare professional. In some cases, a biopsy may be performed to confirm the diagnosis, especially if the growth is unusual or suspicious. It is important to consult a dermatologist for an accurate diagnosis and appropriate treatment plan.

During the examination, the healthcare provider will assess the appearance, location, and symptoms of the growth. They may also ask about your medical history and any recent changes in your skin. Based on this information, they can determine whether the growth is a skin tag or a wart and recommend the best course of action.

📝 Note: Self-diagnosis is not recommended, as it can lead to misidentification and inappropriate treatment. Always consult a healthcare professional for an accurate diagnosis.

Treatment Options for Skin Tags

Skin tags are generally harmless and do not require treatment unless they cause discomfort or are cosmetically bothersome. There are several methods for removing skin tags, including:

  • Cutting: The skin tag is cut off using a scalpel or scissors. This method is quick and effective but may leave a small scar.
  • Freezing: Liquid nitrogen is applied to the skin tag, causing it to freeze and fall off. This method is painless but may require multiple treatments.
  • Burning: An electric current is used to burn off the skin tag. This method is effective but may cause some discomfort and leave a small scar.
  • Ligation: A small band is tied around the base of the skin tag, cutting off blood supply and causing it to fall off. This method is painless but may take several days to a week for the skin tag to fall off.

It is important to note that skin tag removal should be performed by a healthcare professional to minimize the risk of infection and scarring. Over-the-counter treatments are available, but they may not be as effective or safe as professional removal.

Treatment Options for Warts

Warts can be treated with various methods, depending on the type and location of the wart. Some common treatment options include:

  • Topical Medications: Over-the-counter treatments such as salicylic acid can be applied directly to the wart to dissolve the affected skin. Prescription medications, such as imiquimod, may also be used for more resistant warts.
  • Freezing: Liquid nitrogen is applied to the wart, causing it to freeze and fall off. This method is effective but may require multiple treatments.
  • Surgical Removal: The wart is surgically removed using a scalpel or laser. This method is effective but may leave a small scar.
  • Electrocautery: An electric current is used to burn off the wart. This method is effective but may cause some discomfort and leave a small scar.

It is important to consult a healthcare professional for the best treatment option based on the type and location of the wart. Some warts may require multiple treatments or a combination of methods for complete removal.

📝 Note: Over-the-counter treatments for warts should be used with caution, as they can cause skin irritation and may not be effective for all types of warts.

Preventing Skin Tags and Warts

While skin tags and warts have different causes, there are some general preventive measures that can help reduce the risk of both conditions:

  • Maintain Good Hygiene: Keep your skin clean and dry to prevent the spread of infections and reduce friction.
  • Avoid Sharing Personal Items: Do not share towels, razors, or other personal items that can spread infections.
  • Wear Loose Clothing: Choose clothing that fits well and does not cause excessive friction on the skin.
  • Protect Your Skin: Use sunscreen and protective clothing to shield your skin from harmful UV rays.

For warts specifically, it is important to avoid direct contact with infected surfaces and practice safe sex to prevent the spread of genital warts. Vaccination against HPV can also help reduce the risk of developing warts and other HPV-related conditions.

While skin tags are generally not preventable, maintaining a healthy weight and managing hormonal imbalances can help reduce the risk of developing skin tags.

When to Seek Medical Attention

Most skin tags and warts are harmless and can be treated effectively with over-the-counter or professional methods. However, there are some situations where medical attention is necessary:

  • If the growth is painful or bleeding.
  • If the growth changes in appearance or size.
  • If the growth is located in a sensitive area, such as the genitals or face.
  • If you have a weakened immune system or other underlying health conditions.
  • If you are unsure about the diagnosis or treatment options.

It is always best to consult a healthcare professional for an accurate diagnosis and appropriate treatment plan. Early intervention can help prevent complications and ensure the best possible outcome.

📝 Note: Do not attempt to remove skin tags or warts at home without proper medical guidance, as this can lead to infection, scarring, and other complications.

Skin tags and warts are common skin growths that can cause discomfort and cosmetic concerns. Understanding the differences between skin tags and warts is essential for proper identification and treatment. While skin tags are generally harmless and can be removed with various methods, warts require specific treatment options to address the underlying viral infection. Preventive measures can help reduce the risk of both conditions, but it is important to consult a healthcare professional for an accurate diagnosis and appropriate treatment plan. By taking proactive steps and seeking medical attention when necessary, you can effectively manage skin tags and warts and maintain healthy, clear skin.

Related Terms:

  • skin tags moles and warts
  • skin tag vs wart pictures
  • viral wart vs skin tag
  • skin tag vs verruca
  • moles vs skin tags
  • warts and skin tag removal
Facebook Twitter WhatsApp
Related Posts
Don't Miss