Learning

Simple Cuboidal Epithelium

Simple Cuboidal Epithelium
Simple Cuboidal Epithelium

The study of histology, the microscopic anatomy of tissues, reveals a fascinating world of cellular structures and functions. Among the various types of epithelial tissues, the Simple Cuboidal Epithelium stands out due to its unique characteristics and diverse functions. This type of epithelium is composed of a single layer of cube-shaped cells, each with a nucleus that is typically round and centrally located. The cells are tightly packed, forming a continuous sheet that lines various organs and structures in the body.

Structure and Characteristics

The Simple Cuboidal Epithelium is characterized by its simple structure, consisting of a single layer of cells. These cells are roughly cube-shaped, with each cell having a height and width that are approximately equal. The nucleus of each cell is centrally located, giving the cells a symmetrical appearance. The cells are tightly packed together, with minimal intercellular space, which contributes to the epithelium's barrier function.

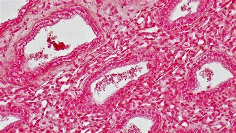
The Simple Cuboidal Epithelium is found in various locations throughout the body, including the kidneys, thyroid gland, and parts of the reproductive system. Its primary functions include secretion, absorption, and protection. The cuboidal shape of the cells allows for efficient transport of substances across the epithelium, making it well-suited for these roles.

Functions of Simple Cuboidal Epithelium

The Simple Cuboidal Epithelium plays a crucial role in several physiological processes. Its functions can be broadly categorized into three main areas: secretion, absorption, and protection.

Secretion

One of the primary functions of the Simple Cuboidal Epithelium is secretion. This type of epithelium is responsible for producing and releasing various substances, including hormones, enzymes, and mucus. For example, in the thyroid gland, the Simple Cuboidal Epithelium secretes thyroid hormones, which are essential for regulating metabolism. Similarly, in the kidneys, the Simple Cuboidal Epithelium of the renal tubules secretes various substances into the urine.

Absorption

In addition to secretion, the Simple Cuboidal Epithelium also plays a vital role in absorption. This type of epithelium is involved in the uptake of nutrients, water, and other substances from the surrounding environment. For instance, in the proximal convoluted tubules of the kidneys, the Simple Cuboidal Epithelium absorbs glucose, amino acids, and other essential molecules from the filtrate, returning them to the bloodstream.

Protection

The Simple Cuboidal Epithelium also serves a protective function. Its tightly packed cells form a barrier that prevents the passage of harmful substances and pathogens. This protective role is particularly important in organs that are exposed to the external environment, such as the reproductive system. In the ovaries and testes, the Simple Cuboidal Epithelium provides a protective layer that helps to maintain the integrity of the gametes.

Locations and Examples

The Simple Cuboidal Epithelium is found in various locations throughout the body, each with its unique functions and characteristics. Some of the most notable examples include:

  • The kidneys, where it lines the renal tubules and plays a crucial role in filtration and reabsorption.
  • The thyroid gland, where it secretes thyroid hormones.
  • The ovaries and testes, where it provides a protective layer for the gametes.
  • The salivary glands, where it secretes saliva.
  • The pancreas, where it secretes digestive enzymes and hormones.

Each of these locations highlights the versatility and importance of the Simple Cuboidal Epithelium in maintaining the body's homeostasis and overall health.

Microscopic Features

Under a microscope, the Simple Cuboidal Epithelium exhibits several distinctive features that aid in its identification and understanding. These features include:

  • Cell Shape: The cells are roughly cube-shaped, with a height and width that are approximately equal.
  • Nucleus Location: The nucleus is centrally located within each cell, giving the cells a symmetrical appearance.
  • Intercellular Space: The cells are tightly packed together, with minimal intercellular space.
  • Basement Membrane: The epithelium rests on a basement membrane, which provides structural support and anchors the cells in place.

These microscopic features are essential for understanding the structure and function of the Simple Cuboidal Epithelium and its role in various physiological processes.

Comparative Analysis

To better understand the Simple Cuboidal Epithelium, it is helpful to compare it with other types of epithelial tissues. The following table provides a comparative analysis of the Simple Cuboidal Epithelium with other common types of epithelial tissues:

Type of Epithelium Cell Shape Layers Primary Functions
Simple Cuboidal Epithelium Cube-shaped Single Secretion, absorption, protection
Simple Squamous Epithelium Flat, scale-like Single Diffusion, filtration, secretion
Simple Columnar Epithelium Column-shaped Single Absorption, secretion, protection
Stratified Squamous Epithelium Flat, scale-like Multiple Protection, friction resistance
Stratified Cuboidal Epithelium Cube-shaped Multiple Protection, secretion

This comparative analysis highlights the unique characteristics and functions of the Simple Cuboidal Epithelium and how it differs from other types of epithelial tissues.

📝 Note: The table above provides a general overview of the different types of epithelial tissues. The specific functions and characteristics of each type may vary depending on their location and the organ they are associated with.

Clinical Significance

The Simple Cuboidal Epithelium plays a crucial role in various clinical conditions and diseases. Understanding its structure and function is essential for diagnosing and treating these conditions. Some of the clinical significance of the Simple Cuboidal Epithelium includes:

  • Renal Diseases: The Simple Cuboidal Epithelium of the renal tubules is involved in the filtration and reabsorption of substances in the kidneys. Dysfunction of this epithelium can lead to various renal diseases, including acute kidney injury and chronic kidney disease.
  • Thyroid Disorders: The Simple Cuboidal Epithelium of the thyroid gland is responsible for secreting thyroid hormones. Abnormalities in this epithelium can result in thyroid disorders, such as hypothyroidism and hyperthyroidism.
  • Reproductive Health: The Simple Cuboidal Epithelium in the ovaries and testes provides a protective layer for the gametes. Dysfunction of this epithelium can affect reproductive health and fertility.

By understanding the clinical significance of the Simple Cuboidal Epithelium, healthcare professionals can better diagnose and treat various conditions and diseases.

📝 Note: The clinical significance of the Simple Cuboidal Epithelium is vast and encompasses many areas of medicine. This section provides a brief overview of some of the key clinical conditions associated with this type of epithelium.

Research and Future Directions

Research on the Simple Cuboidal Epithelium continues to uncover new insights into its structure, function, and clinical significance. Future directions in this field include:

  • Molecular and Cellular Studies: Further investigation into the molecular and cellular mechanisms underlying the functions of the Simple Cuboidal Epithelium can provide valuable insights into its role in health and disease.
  • Tissue Engineering: Advances in tissue engineering and regenerative medicine hold promise for developing new therapies for conditions involving the Simple Cuboidal Epithelium.
  • Clinical Applications: Ongoing research aims to translate basic scientific findings into clinical applications, improving the diagnosis and treatment of diseases associated with the Simple Cuboidal Epithelium.

These research directions highlight the ongoing efforts to deepen our understanding of the Simple Cuboidal Epithelium and its potential applications in medicine.

📝 Note: The field of histology is constantly evolving, with new discoveries and technologies emerging regularly. Staying updated with the latest research and developments is crucial for advancing our knowledge of the Simple Cuboidal Epithelium and its clinical significance.

In conclusion, the Simple Cuboidal Epithelium is a fascinating and essential component of the body’s epithelial tissues. Its unique structure and diverse functions make it a critical player in various physiological processes, including secretion, absorption, and protection. Understanding the Simple Cuboidal Epithelium and its clinical significance is vital for diagnosing and treating various conditions and diseases. As research continues to uncover new insights into this type of epithelium, its importance in medicine and healthcare will only grow. The ongoing exploration of the Simple Cuboidal Epithelium holds promise for developing new therapies and improving patient outcomes, making it a vital area of study in the field of histology.

Related Terms:

  • simple cuboidal epithelium meaning
  • simple cuboidal epithelium function
  • simple cuboidal epithelium location function
  • simple cuboidal epithelium location
  • simple cuboidal epithelium diagram
  • kidney simple cuboidal epithelium
Facebook Twitter WhatsApp
Related Posts
Don't Miss