Learning

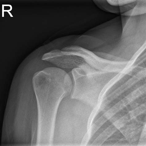
Shoulder X Ray Normal

Shoulder X Ray Normal
Shoulder X Ray Normal

Understanding the significance of a shoulder X-ray normal result is crucial for both medical professionals and patients. A shoulder X-ray is a common diagnostic tool used to evaluate the bones, joints, and surrounding soft tissues of the shoulder. This imaging technique helps identify fractures, dislocations, arthritis, and other abnormalities. However, interpreting a shoulder X-ray normal result requires a thorough understanding of the anatomy and potential pathologies that can affect the shoulder.

Understanding Shoulder Anatomy

The shoulder is a complex joint composed of several bones, muscles, and ligaments. The primary bones involved are the humerus (upper arm bone), scapula (shoulder blade), and clavicle (collarbone). The shoulder joint is a ball-and-socket joint, allowing for a wide range of motion. The rotator cuff, a group of muscles and tendons, plays a crucial role in stabilizing the shoulder and enabling movement.

What is a Shoulder X-Ray?

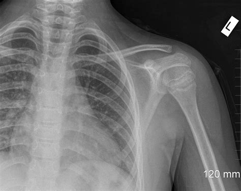
A shoulder X-ray is a non-invasive imaging test that uses electromagnetic radiation to produce images of the shoulder joint and surrounding structures. This test is often the first step in diagnosing shoulder pain or injury. The X-ray can reveal fractures, dislocations, arthritis, and other bone abnormalities. However, it may not always show soft tissue injuries, such as tears in the rotator cuff or ligaments.

Interpreting a Shoulder X-Ray Normal Result

When a shoulder X-ray normal result is reported, it means that the X-ray images do not show any visible abnormalities in the bones or joints. This can be reassuring for patients experiencing shoulder pain, as it indicates that there are no obvious fractures or dislocations. However, it is important to note that a normal X-ray does not rule out all possible causes of shoulder pain.

Here are some key points to consider when interpreting a shoulder X-ray normal result:

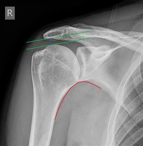
  • No Visible Fractures: The bones of the shoulder appear intact, with no signs of breaks or cracks.
  • No Dislocations: The bones are properly aligned, indicating that there is no dislocation of the shoulder joint.
  • No Arthritis: There are no visible signs of bone spurs, joint space narrowing, or other indicators of arthritis.
  • No Soft Tissue Injuries: While a normal X-ray indicates that the bones are intact, it does not provide information about soft tissue injuries, such as tears in the rotator cuff or ligaments.

Common Causes of Shoulder Pain

Even with a shoulder X-ray normal result, there are several potential causes of shoulder pain that may not be visible on an X-ray. These include:

  • Rotator Cuff Injuries: Tears or strains in the rotator cuff muscles and tendons can cause significant pain and weakness.
  • Bursitis: Inflammation of the bursae, small fluid-filled sacs that reduce friction between bones and soft tissues, can lead to pain and swelling.
  • Tendonitis: Inflammation of the tendons, often due to overuse or repetitive motions, can cause pain and stiffness.
  • Impingement Syndrome: This condition occurs when the tendons of the rotator cuff become compressed or "impinged" between the bones of the shoulder, leading to pain and reduced range of motion.
  • Frozen Shoulder: Also known as adhesive capsulitis, this condition causes stiffness and pain in the shoulder joint, often due to inflammation and thickening of the capsule surrounding the joint.

Further Diagnostic Tests

If a shoulder X-ray normal result does not provide a clear diagnosis, additional diagnostic tests may be necessary to identify the cause of shoulder pain. These tests may include:

  • Magnetic Resonance Imaging (MRI): An MRI uses magnetic fields and radio waves to produce detailed images of the soft tissues, including muscles, tendons, and ligaments. This test can help identify rotator cuff tears, tendonitis, and other soft tissue injuries.
  • Ultrasound: An ultrasound uses high-frequency sound waves to create images of the shoulder joint and surrounding structures. This test can be useful for evaluating soft tissue injuries and guiding injections or other treatments.
  • Computed Tomography (CT) Scan: A CT scan uses X-rays to produce detailed images of the bones and joints. This test can help identify fractures, dislocations, and other bone abnormalities that may not be visible on a standard X-ray.
  • Arthrogram: An arthrogram involves injecting a contrast dye into the shoulder joint and then taking X-rays or an MRI to visualize the joint and surrounding structures. This test can help identify tears in the rotator cuff or other soft tissue injuries.

Treatment Options for Shoulder Pain

Once the cause of shoulder pain has been identified, appropriate treatment can be initiated. Treatment options may include:

  • Rest and Activity Modification: Avoiding activities that exacerbate shoulder pain and allowing the shoulder to rest can help reduce inflammation and promote healing.
  • Ice and Heat Therapy: Applying ice to the shoulder for 15-20 minutes several times a day can help reduce pain and inflammation. Heat therapy can also be beneficial for relieving stiffness and promoting blood flow.
  • Pain Medication: Over-the-counter pain relievers, such as ibuprofen or acetaminophen, can help manage shoulder pain. In some cases, prescription pain medication may be necessary.
  • Physical Therapy: A physical therapist can design a customized exercise program to improve shoulder strength, flexibility, and range of motion. Physical therapy can be an effective treatment for many shoulder conditions, including rotator cuff injuries, bursitis, and tendonitis.
  • Corticosteroid Injections: Injections of corticosteroids into the shoulder joint can help reduce inflammation and pain. These injections are often used to treat conditions such as bursitis, tendonitis, and impingement syndrome.
  • Surgery: In some cases, surgery may be necessary to repair damaged tissues or correct structural abnormalities. Surgical options may include arthroscopy, open surgery, or shoulder replacement.

💡 Note: It is important to consult with a healthcare provider to determine the most appropriate treatment plan for shoulder pain. Treatment options should be tailored to the individual's specific condition and overall health.

Preventing Shoulder Injuries

Preventing shoulder injuries involves maintaining good shoulder health and avoiding activities that can lead to injury. Here are some tips for preventing shoulder injuries:

  • Warm Up and Stretch: Before engaging in physical activity, warm up the shoulder muscles and stretch to improve flexibility and reduce the risk of injury.
  • Strengthen the Shoulder Muscles: Regular exercise to strengthen the muscles of the shoulder, including the rotator cuff, can help prevent injuries and improve overall shoulder health.
  • Use Proper Technique: When engaging in activities that involve the shoulder, such as lifting weights or playing sports, use proper technique to avoid straining the shoulder muscles and joints.
  • Avoid Overuse: Repetitive motions and overuse can lead to shoulder injuries. Take breaks and vary activities to reduce the risk of overuse injuries.
  • Maintain Good Posture: Poor posture can put unnecessary strain on the shoulder muscles and joints. Maintain good posture to reduce the risk of shoulder injuries.

Preventing shoulder injuries is essential for maintaining overall shoulder health and avoiding the need for diagnostic tests and treatments. By following these tips, individuals can reduce their risk of shoulder injuries and maintain optimal shoulder function.

Shoulder injuries can significantly impact daily activities and quality of life. Understanding the significance of a shoulder X-ray normal result and the potential causes of shoulder pain is crucial for effective diagnosis and treatment. While a normal X-ray indicates that there are no visible bone abnormalities, it does not rule out all possible causes of shoulder pain. Additional diagnostic tests, such as MRI or ultrasound, may be necessary to identify the underlying cause of shoulder pain and develop an appropriate treatment plan.

By maintaining good shoulder health, avoiding activities that can lead to injury, and seeking prompt medical attention for shoulder pain, individuals can reduce their risk of shoulder injuries and maintain optimal shoulder function. If you experience shoulder pain, consult with a healthcare provider to determine the most appropriate course of action and develop a personalized treatment plan.

Related Terms:

  • normal right shoulder x rays
  • shoulder xray normal adult
  • normal xr of left shoulder
  • shoulder x rays anatomy
  • left shoulder normal x ray
  • normal shoulder x ray lateral
Facebook Twitter WhatsApp
Related Posts
Don't Miss