Learning

Shingles Or Poison Ivy

Shingles Or Poison Ivy
Shingles Or Poison Ivy

Distinguishing between shingles or poison ivy can be challenging, as both conditions present with skin rashes and can cause significant discomfort. However, understanding the differences between these two ailments is crucial for proper treatment and management. This blog post will delve into the characteristics, causes, symptoms, and treatment options for both shingles and poison ivy, helping you identify and address each condition effectively.

Understanding Shingles

Shingles, also known as herpes zoster, is a viral infection caused by the varicella-zoster virus, the same virus that causes chickenpox. After a person recovers from chickenpox, the virus remains dormant in the nerve tissue near the spinal cord and brain. Years later, the virus can reactivate, leading to shingles.

Causes of Shingles

The exact trigger for the reactivation of the varicella-zoster virus is not fully understood, but several factors can increase the risk:

  • Age: The risk of shingles increases with age, particularly after 50.
  • Weakened Immune System: Conditions like HIV/AIDS, cancer, or the use of immunosuppressive drugs can weaken the immune system, making it harder to keep the virus dormant.
  • Stress: Emotional or physical stress can also trigger the reactivation of the virus.

Symptoms of Shingles

The symptoms of shingles typically appear in stages:

  • Initial Stage: Pain, tingling, or itching in a specific area of the skin.
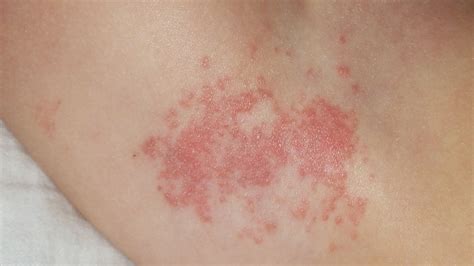
  • Rash Development: Within a few days, a red rash develops in the affected area, which can be very painful.
  • Blisters: The rash turns into fluid-filled blisters that break open and crust over.
  • Additional Symptoms: Fever, headache, and fatigue may also occur.

Treatment Options for Shingles

While there is no cure for shingles, several treatment options can help manage symptoms and speed up recovery:

  • Antiviral Medications: Drugs like acyclovir, valacyclovir, and famciclovir can reduce the severity and duration of the outbreak.
  • Pain Relievers: Over-the-counter pain relievers such as ibuprofen or acetaminophen can help manage pain.
  • Topical Treatments: Calamine lotion or other topical creams can soothe the skin and reduce itching.
  • Vaccination: The shingles vaccine (Shingrix) can significantly reduce the risk of developing shingles and its complications.

💡 Note: Early treatment with antiviral medications is crucial for reducing the severity and duration of shingles symptoms.

Understanding Poison Ivy

Poison ivy is a plant that contains an oil called urushiol, which can cause an allergic reaction in many people. Contact with this oil, whether through direct touch or indirect contact (such as through clothing or pets), can lead to a rash known as contact dermatitis.

Causes of Poison Ivy

The primary cause of poison ivy rash is contact with the urushiol oil found in the plant. This oil is present in all parts of the plant, including the leaves, stems, and roots. The reaction occurs when the oil comes into contact with the skin, triggering an immune response.

Symptoms of Poison Ivy

The symptoms of poison ivy typically develop within 12 to 48 hours after exposure and can include:

  • Redness and Itching: The affected area becomes red and itchy.
  • Blisters: Small blisters may form, which can break open and ooze.
  • Swelling: The skin may become swollen and tender.
  • Additional Symptoms: In severe cases, fever, headache, and swollen lymph nodes may occur.

Treatment Options for Poison Ivy

While there is no specific treatment for poison ivy rash, several measures can help alleviate symptoms:

  • Wash the Affected Area: Rinse the skin with cool water and mild soap as soon as possible after exposure to remove the urushiol oil.
  • Topical Treatments: Over-the-counter creams containing hydrocortisone or calamine lotion can help reduce itching and inflammation.
  • Oral Medications: Antihistamines can help relieve itching, while oral corticosteroids may be prescribed for severe cases.
  • Cold Compresses: Applying a cold compress to the affected area can help reduce swelling and soothe the skin.

💡 Note: Avoid scratching the rash, as this can increase the risk of infection and prolong healing.

Distinguishing Between Shingles and Poison Ivy

Distinguishing between shingles and poison ivy can be challenging due to their similar symptoms, but there are key differences to consider:

Characteristic Shingles Poison Ivy
Cause Viral infection (varicella-zoster virus) Allergic reaction to urushiol oil
Symptom Onset Pain or tingling before rash appears Rash appears within 12-48 hours after exposure
Rash Appearance Blisters that break open and crust over Redness, itching, and blisters that may ooze
Location Typically appears in a band or strip on one side of the body Can appear anywhere on the body where contact occurred
Duration Can last 2-4 weeks Can last 1-3 weeks

If you are unsure whether you have shingles or poison ivy, it is essential to consult a healthcare professional for an accurate diagnosis and appropriate treatment.

Preventing Shingles and Poison Ivy

While it is not always possible to prevent shingles or poison ivy, there are steps you can take to reduce your risk:

Preventing Shingles

To reduce the risk of shingles:

  • Get Vaccinated: The shingles vaccine (Shingrix) is highly effective in preventing shingles and its complications.
  • Maintain a Healthy Lifestyle: Regular exercise, a balanced diet, and adequate sleep can help boost your immune system.
  • Manage Stress: Techniques such as meditation, yoga, and deep breathing can help manage stress levels.

Preventing Poison Ivy

To avoid contact with poison ivy:

  • Identify the Plant: Learn to recognize poison ivy and avoid areas where it grows.
  • Wear Protective Clothing: When in areas where poison ivy may be present, wear long sleeves, long pants, and gloves.
  • Wash Clothing and Equipment: After potential exposure, wash clothing and equipment thoroughly to remove any urushiol oil.

💡 Note: If you suspect you have been exposed to poison ivy, wash the affected area with cool water and mild soap as soon as possible.

In summary, while both shingles and poison ivy can cause skin rashes and discomfort, they have distinct causes, symptoms, and treatment options. Understanding these differences is crucial for proper management and prevention. If you experience symptoms that you suspect may be shingles or poison ivy, consult a healthcare professional for an accurate diagnosis and appropriate treatment. Early intervention can significantly improve outcomes and reduce the risk of complications.

Related Terms:

  • can poison ivy cause shingles
  • poison ivy rash vs scabies
  • poison ivy or something else
  • shingles vs poison ivy symptoms
  • poison ivy vs chicken pox
  • poison oak rash vs shingles
Facebook Twitter WhatsApp
Related Posts
Don't Miss