Learning

Septic Pelvic Thrombophlebitis

Septic Pelvic Thrombophlebitis
Septic Pelvic Thrombophlebitis

Septic pelvic thrombophlebitis is a rare but serious condition that can occur as a complication of pelvic infections, particularly those related to childbirth or gynecological procedures. This condition involves the formation of blood clots in the pelvic veins, which can lead to severe complications if not promptly diagnosed and treated. Understanding the causes, symptoms, diagnosis, and treatment of septic pelvic thrombophlebitis is crucial for healthcare providers and patients alike.

Understanding Septic Pelvic Thrombophlebitis

Septic pelvic thrombophlebitis is characterized by the presence of blood clots in the pelvic veins, often accompanied by an infection. This condition can arise from various pelvic infections, including those related to childbirth, such as endometritis or pelvic abscesses. The infection can spread to the veins, leading to the formation of blood clots, which can obstruct blood flow and cause significant complications.

Causes of Septic Pelvic Thrombophlebitis

The primary cause of septic pelvic thrombophlebitis is an underlying pelvic infection. Common sources of these infections include:

  • Postpartum infections, such as endometritis or pelvic abscesses.
  • Gynecological procedures, including surgeries like hysterectomy or cesarean section.
  • Pelvic inflammatory disease (PID), often caused by sexually transmitted infections.
  • Other pelvic infections, such as diverticulitis or appendicitis.

These infections can lead to the formation of blood clots in the pelvic veins, which can then become infected, resulting in septic pelvic thrombophlebitis.

Symptoms of Septic Pelvic Thrombophlebitis

The symptoms of septic pelvic thrombophlebitis can vary but often include:

  • Fever and chills
  • Abdominal pain, often localized to the lower abdomen
  • Pelvic pain or tenderness
  • Nausea and vomiting
  • General malaise and fatigue

In some cases, patients may also experience symptoms related to the underlying infection, such as vaginal discharge or dysuria (painful urination).

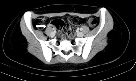
Diagnosis of Septic Pelvic Thrombophlebitis

Diagnosing septic pelvic thrombophlebitis can be challenging due to its rarity and the similarity of its symptoms to other conditions. Healthcare providers typically use a combination of clinical evaluation, laboratory tests, and imaging studies to make a diagnosis.

Clinical evaluation involves a thorough medical history and physical examination. Laboratory tests may include:

  • Complete blood count (CBC) to check for signs of infection, such as elevated white blood cell count.
  • Blood cultures to identify the causative organism.
  • C-reactive protein (CRP) and erythrocyte sedimentation rate (ESR) to assess the level of inflammation.

Imaging studies are crucial for diagnosing septic pelvic thrombophlebitis. Commonly used imaging modalities include:

  • Computed tomography (CT) scan with contrast to visualize the pelvic veins and detect the presence of blood clots.
  • Magnetic resonance imaging (MRI) to provide detailed images of the pelvic area.
  • Ultrasound to assess blood flow in the pelvic veins.

In some cases, a combination of these imaging studies may be necessary to confirm the diagnosis.

Treatment of Septic Pelvic Thrombophlebitis

The treatment of septic pelvic thrombophlebitis typically involves a multidisciplinary approach, including antibiotics, anticoagulation therapy, and supportive care. The goal is to eradicate the infection, dissolve the blood clots, and prevent complications.

Antibiotics are the cornerstone of treatment for septic pelvic thrombophlebitis. The choice of antibiotics depends on the suspected or identified causative organism. Commonly used antibiotics include:

  • Broad-spectrum antibiotics, such as cephalosporins or carbapenems, to cover a wide range of potential pathogens.
  • Targeted antibiotics based on culture and sensitivity results.

Anticoagulation therapy is often used to prevent the growth of blood clots and reduce the risk of complications. Commonly used anticoagulants include:

  • Heparin, which can be administered intravenously or subcutaneously.
  • Low-molecular-weight heparin (LMWH), such as enoxaparin.
  • Warfarin, which may be used for long-term anticoagulation.

Supportive care is essential for managing the symptoms and complications of septic pelvic thrombophlebitis. This may include:

  • Intravenous fluids to maintain hydration and electrolyte balance.
  • Pain management with analgesics.
  • Monitoring for complications, such as sepsis or organ failure.

In some cases, surgical intervention may be necessary to remove infected tissue or drain abscesses. This is typically done in conjunction with antibiotic therapy and anticoagulation.

📌 Note: Early diagnosis and prompt treatment of septic pelvic thrombophlebitis are crucial for preventing serious complications, including sepsis, organ failure, and death.

Complications of Septic Pelvic Thrombophlebitis

Septic pelvic thrombophlebitis can lead to several serious complications if not promptly diagnosed and treated. These complications include:

  • Sepsis: A severe and life-threatening infection that can spread to other parts of the body.
  • Organ failure: Including kidney failure, liver failure, or respiratory failure.
  • Pulmonary embolism: A blood clot that travels to the lungs, which can be life-threatening.
  • Chronic pelvic pain: Persistent pain in the pelvic area that can affect quality of life.
  • Infertility: In some cases, septic pelvic thrombophlebitis can lead to infertility due to damage to the reproductive organs.

Prompt diagnosis and treatment are essential for preventing these complications and improving outcomes.

Risk Factors for Septic Pelvic Thrombophlebitis

Several risk factors can increase the likelihood of developing septic pelvic thrombophlebitis. These include:

  • Recent pelvic surgery, such as hysterectomy or cesarean section.
  • History of pelvic inflammatory disease (PID).
  • Recent childbirth, particularly if complicated by infection.
  • Use of intrauterine devices (IUDs).
  • History of blood clots or thrombophilia (a condition that increases the risk of blood clots).
  • Immune system disorders or conditions that weaken the immune system.

Understanding these risk factors can help healthcare providers identify patients who are at higher risk for septic pelvic thrombophlebitis and take appropriate preventive measures.

Prevention of Septic Pelvic Thrombophlebitis

Preventing septic pelvic thrombophlebitis involves addressing the underlying risk factors and taking appropriate measures to reduce the risk of pelvic infections. Some preventive strategies include:

  • Prompt treatment of pelvic infections, such as PID or endometritis.
  • Prophylactic antibiotics during and after pelvic surgery to prevent infections.
  • Early mobilization and use of compression stockings to prevent blood clots after surgery.
  • Avoiding the use of IUDs in patients with a history of pelvic infections.
  • Regular follow-up and monitoring for patients at high risk for pelvic infections.

By taking these preventive measures, healthcare providers can reduce the risk of septic pelvic thrombophlebitis and improve patient outcomes.

Case Studies and Real-World Examples

To better understand the clinical presentation and management of septic pelvic thrombophlebitis, let's examine a few case studies:

Case Study 1: A 32-year-old woman presented with fever, abdominal pain, and pelvic tenderness two weeks after a cesarean section. She had a history of endometritis and was diagnosed with septic pelvic thrombophlebitis based on a CT scan. She was treated with broad-spectrum antibiotics and heparin, and her symptoms resolved within a week.

Case Study 2: A 45-year-old woman with a history of PID presented with fever, nausea, and vomiting. She was diagnosed with septic pelvic thrombophlebitis based on an MRI and blood cultures. She was treated with targeted antibiotics and LMWH, and her symptoms improved over the course of two weeks.

Case Study 3: A 28-year-old woman presented with severe pelvic pain and fever three days after a hysterectomy. She was diagnosed with septic pelvic thrombophlebitis based on a CT scan and blood cultures. She underwent surgical drainage of an abscess and was treated with antibiotics and heparin. Her symptoms resolved, and she was discharged after a week.

These case studies illustrate the diverse clinical presentations and management strategies for septic pelvic thrombophlebitis. Early diagnosis and prompt treatment are crucial for preventing complications and improving outcomes.

Future Directions in Research and Management

Despite advances in diagnostic and treatment modalities, septic pelvic thrombophlebitis remains a challenging condition to manage. Future research should focus on:

  • Developing more sensitive and specific diagnostic tools for early detection of septic pelvic thrombophlebitis.
  • Identifying new therapeutic targets for more effective treatment of septic pelvic thrombophlebitis.
  • Improving preventive strategies to reduce the incidence of pelvic infections and septic pelvic thrombophlebitis.
  • Conducting large-scale clinical trials to evaluate the efficacy and safety of different treatment regimens.

By addressing these research priorities, healthcare providers can improve the diagnosis, treatment, and prevention of septic pelvic thrombophlebitis, ultimately leading to better patient outcomes.

Septic pelvic thrombophlebitis is a rare but serious condition that can occur as a complication of pelvic infections. Understanding the causes, symptoms, diagnosis, and treatment of this condition is crucial for healthcare providers and patients alike. Early diagnosis and prompt treatment are essential for preventing serious complications and improving outcomes. By taking appropriate preventive measures and staying informed about the latest research and management strategies, healthcare providers can effectively manage septic pelvic thrombophlebitis and improve patient care.

Related Terms:

  • septic pelvic thrombophlebitis acog
  • treatment of septic pelvic thrombophlebitis
  • pelvic deep vein thrombosis
  • septic emboli signs and symptoms
  • treatment of septic thrombophlebitis
  • pelvic vein thrombosis in women
Facebook Twitter WhatsApp
Related Posts
Don't Miss