Learning

Scapholunate Ligament Tear

Scapholunate Ligament Tear
Scapholunate Ligament Tear

Wrist injuries can be debilitating, affecting daily activities and quality of life. One of the most common and serious wrist injuries is a Scapholunate Ligament Tear. This injury occurs when the ligament that connects the scaphoid and lunate bones in the wrist is damaged, often due to a fall or sudden impact. Understanding the causes, symptoms, diagnosis, and treatment options for a Scapholunate Ligament Tear is crucial for effective management and recovery.

Understanding the Scapholunate Ligament

The scapholunate ligament is a critical structure in the wrist that provides stability and allows for smooth movement. It connects the scaphoid bone (a small bone on the thumb side of the wrist) and the lunate bone (a bone in the center of the wrist). This ligament is essential for maintaining the alignment of the carpal bones and ensuring proper wrist function.

Causes of a Scapholunate Ligament Tear

A Scapholunate Ligament Tear can occur due to various reasons, including:

  • Falls: Falling onto an outstretched hand is a common cause, especially in sports or accidents.
  • Trauma: Direct impact or sudden twisting of the wrist can lead to a tear.
  • Overuse: Repetitive stress on the wrist, often seen in athletes or manual laborers, can weaken the ligament over time.
  • Degenerative Conditions: Conditions like arthritis can weaken the ligament, making it more susceptible to injury.

Symptoms of a Scapholunate Ligament Tear

Recognizing the symptoms of a Scapholunate Ligament Tear is the first step toward seeking appropriate treatment. Common symptoms include:

  • Pain: Persistent pain in the wrist, often worsening with movement.
  • Swelling: Swelling around the wrist joint.
  • Weakness: Weakness in the wrist and hand, making it difficult to grip or lift objects.
  • Instability: A feeling of instability or looseness in the wrist.
  • Clicking or Popping: Audible or palpable clicking or popping sensations during wrist movement.

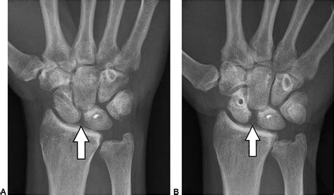
Diagnosing a Scapholunate Ligament Tear

Diagnosing a Scapholunate Ligament Tear involves a combination of physical examination and imaging tests. The diagnostic process typically includes:

  • Physical Examination: A healthcare provider will assess the wrist for tenderness, swelling, and range of motion. Specific tests, such as the Watson test, can help identify a scapholunate ligament injury.
  • Imaging Tests: X-rays, MRI, and CT scans can provide detailed images of the wrist, helping to confirm the diagnosis and assess the extent of the injury.

Treatment Options for a Scapholunate Ligament Tear

The treatment for a Scapholunate Ligament Tear depends on the severity of the injury and the individual’s overall health. Options range from conservative measures to surgical intervention.

Conservative Treatment

For mild to moderate tears, conservative treatment may be sufficient. This includes:

  • Rest: Avoiding activities that aggravate the injury.
  • Ice: Applying ice to reduce swelling and pain.
  • Compression: Using a compression bandage to control swelling.
  • Elevation: Keeping the wrist elevated to reduce swelling.
  • Immobilization: Wearing a wrist brace or cast to immobilize the joint and promote healing.
  • Physical Therapy: Exercises to improve strength and range of motion.

Surgical Treatment

For severe tears or when conservative treatment fails, surgery may be necessary. Surgical options include:

  • Arthroscopy: A minimally invasive procedure to repair the ligament using small incisions and a camera.
  • Open Repair: A more invasive procedure involving a larger incision to directly repair the ligament.
  • Ligament Reconstruction: Using a tendon graft to reconstruct the damaged ligament.
  • Fusion: In severe cases, fusing the scaphoid and lunate bones may be necessary to stabilize the wrist.

📝 Note: The choice of surgical procedure depends on the severity of the tear, the patient's age, and overall health. Consultation with an orthopedic surgeon is essential for determining the best course of treatment.

Recovery and Rehabilitation

Recovery from a Scapholunate Ligament Tear involves a structured rehabilitation program to restore function and strength. Key aspects of rehabilitation include:

  • Immobilization: Wearing a cast or brace for several weeks to allow the ligament to heal.
  • Physical Therapy: Exercises to improve range of motion, strength, and flexibility.
  • Gradual Return to Activity: Slowly resuming normal activities and sports under the guidance of a healthcare provider.

Preventing Future Injuries

Preventing future wrist injuries, including Scapholunate Ligament Tears, involves several strategies:

  • Proper Technique: Using correct techniques in sports and activities to reduce the risk of injury.
  • Strengthening Exercises: Regularly performing exercises to strengthen the wrist and forearm muscles.
  • Wrist Guards: Wearing protective gear during high-risk activities.
  • Adequate Rest: Allowing sufficient rest and recovery time between activities.

Preventing future injuries is crucial for maintaining long-term wrist health and avoiding recurrent injuries.

Long-Term Outlook

The long-term outlook for individuals with a Scapholunate Ligament Tear varies depending on the severity of the injury and the effectiveness of treatment. With proper care and rehabilitation, many people can regain full or near-full function of their wrist. However, severe injuries may require ongoing management and may limit certain activities.

Regular follow-ups with a healthcare provider are essential to monitor progress and address any complications that may arise. Early intervention and adherence to the treatment plan can significantly improve the chances of a successful recovery.

In some cases, individuals may experience chronic pain or instability despite treatment. In such situations, additional interventions or lifestyle modifications may be necessary to manage symptoms and improve quality of life.

Understanding the causes, symptoms, diagnosis, and treatment options for a Scapholunate Ligament Tear is essential for effective management and recovery. By seeking timely medical attention and following a structured rehabilitation program, individuals can improve their chances of a successful recovery and return to their daily activities.

In conclusion, a Scapholunate Ligament Tear is a serious wrist injury that requires prompt attention and appropriate treatment. Whether through conservative measures or surgical intervention, addressing the injury early can prevent long-term complications and improve overall wrist function. Regular follow-ups and adherence to the treatment plan are crucial for a successful recovery and maintaining long-term wrist health.

Related Terms:

  • scapholunate ligament tear recovery time
  • scapholunate ligament tear icd10
  • scapholunate ligament tear management
  • scapholunate ligament tear symptoms
  • scapholunate ligament tear radsource
  • scapholunate ligament tear orthobullets
Facebook Twitter WhatsApp
Related Posts
Don't Miss