Learning

Roseola Virus Infant

Roseola Virus Infant
Roseola Virus Infant

Roseola, also known as sixth disease or exanthema subitum, is a common viral infection that primarily affects infants and young children. The Roseola Virus Infant is typically caused by human herpesvirus 6 (HHV-6) and, less commonly, human herpesvirus 7 (HHV-7). This infection is characterized by a high fever that suddenly resolves, followed by a distinctive rash. Understanding the symptoms, causes, and management of roseola is crucial for parents and caregivers to ensure the well-being of their children.

Understanding Roseola

Roseola is a highly contagious viral infection that usually affects children between the ages of 6 months and 2 years. The virus is spread through respiratory secretions, such as saliva or mucus, and can be transmitted through close contact with an infected individual. The incubation period for roseola is typically around 5 to 15 days, during which the virus multiplies and the child may not show any symptoms.

Symptoms of Roseola

The symptoms of roseola can be divided into two main phases: the febrile phase and the rash phase.

Febrile Phase

During the febrile phase, the child experiences a high fever, often reaching up to 103°F (39.4°C) or higher. This fever can last for 3 to 7 days and is often accompanied by other symptoms such as:

  • Irritability
  • Swollen lymph nodes in the neck
  • Sore throat
  • Runny nose
  • Cough

It is important to note that the fever in roseola can be quite high and may cause seizures in some children. These seizures, known as febrile seizures, are usually brief and do not cause long-term damage. However, if your child experiences a seizure, it is essential to seek medical attention immediately.

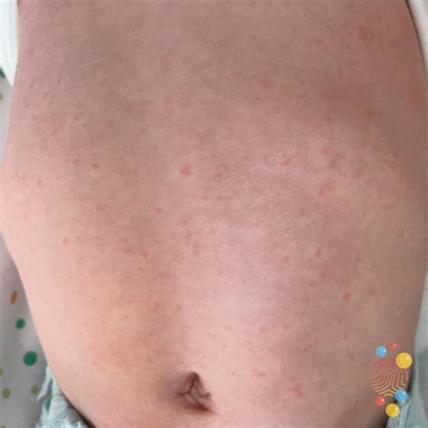
Rash Phase

After the fever subsides, a rash typically appears. The rash is characterized by small, pinkish-red spots that may be slightly raised. It usually starts on the trunk and spreads to the neck, arms, and legs. The rash is not itchy and generally fades within a few days. In some cases, the rash may be accompanied by a mild fever.

Diagnosis of Roseola

Diagnosing roseola is typically based on the characteristic symptoms and the child's medical history. There is no specific test for roseola, but a healthcare provider may order blood tests or other diagnostic procedures to rule out other conditions. In some cases, a viral culture or polymerase chain reaction (PCR) test may be performed to confirm the presence of HHV-6 or HHV-7.

Management and Treatment

Roseola is a self-limiting condition, meaning it will resolve on its own without specific treatment. The primary goal of management is to provide symptomatic relief and ensure the child's comfort. Here are some strategies to manage roseola:

  • Fever Management: Use acetaminophen or ibuprofen to reduce fever and discomfort. Follow the dosage instructions provided by your healthcare provider.
  • Hydration: Ensure the child stays hydrated by offering plenty of fluids, such as water, breast milk, or formula.
  • Rest: Encourage the child to rest and avoid strenuous activities during the febrile phase.
  • Comfort Measures: Use cool compresses or lukewarm baths to help lower the fever and provide comfort.

It is important to avoid giving aspirin to children with roseola, as it has been linked to a rare but serious condition called Reye's syndrome.

📝 Note: If your child's fever is very high or persists for more than 7 days, or if the child shows signs of dehydration, lethargy, or difficulty breathing, seek medical attention immediately.

Prevention of Roseola

Preventing the spread of roseola can be challenging, as the virus is highly contagious and can be transmitted through close contact. However, there are some measures you can take to reduce the risk of infection:

  • Hand Hygiene: Encourage frequent hand washing with soap and water, especially before eating and after using the bathroom.
  • Avoid Close Contact: Limit close contact with infected individuals, especially during the febrile phase when the virus is most contagious.
  • Clean Surfaces: Regularly clean and disinfect surfaces that may be contaminated with the virus, such as toys, doorknobs, and countertops.

It is also important to note that children who have had roseola are generally immune to future infections with the same virus. However, they can still be infected with other strains of HHV-6 or HHV-7.

Complications of Roseola

Roseola is typically a mild and self-limiting condition, but in some cases, it can lead to complications. Some of the potential complications of roseola include:

  • Febrile Seizures: As mentioned earlier, high fever can cause febrile seizures in some children. These seizures are usually brief and do not cause long-term damage.
  • Dehydration: Prolonged fever and vomiting can lead to dehydration, especially in young children. It is important to ensure the child stays hydrated.
  • Secondary Infections: In some cases, the rash and fever can be accompanied by secondary bacterial infections, such as ear infections or pneumonia. If your child shows signs of a secondary infection, seek medical attention.

While these complications are rare, it is essential to monitor your child's symptoms and seek medical attention if you have any concerns.

When to Seek Medical Attention

Roseola is generally a mild condition, but there are situations where medical attention is necessary. Seek immediate medical care if your child experiences any of the following:

  • Fever that persists for more than 7 days
  • Severe headache or neck stiffness
  • Difficulty breathing or rapid breathing
  • Lethargy or difficulty waking up
  • Signs of dehydration, such as dry mouth, decreased urine output, or no tears when crying
  • Seizures or convulsions

Trust your instincts as a parent. If you feel something is not right, it is always better to err on the side of caution and consult a healthcare provider.

Long-Term Outlook

Roseola is a common childhood infection that typically resolves without long-term complications. Most children recover fully within a week or two. However, it is important to note that HHV-6 and HHV-7 can remain dormant in the body and reactivate later in life, although this is rare in healthy individuals.

In some cases, reactivation of HHV-6 can occur in immunocompromised individuals, such as those with HIV/AIDS or those undergoing chemotherapy. This reactivation can lead to more severe symptoms and complications. If you or someone you know is immunocompromised, it is essential to discuss any concerns with a healthcare provider.

Roseola is a common viral infection that primarily affects infants and young children. Understanding the symptoms, causes, and management of roseola is crucial for parents and caregivers to ensure the well-being of their children. By recognizing the characteristic symptoms and providing appropriate care, you can help your child recover comfortably from this infection.

Roseola is a common viral infection that primarily affects infants and young children. Understanding the symptoms, causes, and management of roseola is crucial for parents and caregivers to ensure the well-being of their children. By recognizing the characteristic symptoms and providing appropriate care, you can help your child recover comfortably from this infection.

Roseola is a common viral infection that primarily affects infants and young children. Understanding the symptoms, causes, and management of roseola is crucial for parents and caregivers to ensure the well-being of their children. By recognizing the characteristic symptoms and providing appropriate care, you can help your child recover comfortably from this infection.

Roseola is a common viral infection that primarily affects infants and young children. Understanding the symptoms, causes, and management of roseola is crucial for parents and caregivers to ensure the well-being of their children. By recognizing the characteristic symptoms and providing appropriate care, you can help your child recover comfortably from this infection.

Roseola is a common viral infection that primarily affects infants and young children. Understanding the symptoms, causes, and management of roseola is crucial for parents and caregivers to ensure the well-being of their children. By recognizing the characteristic symptoms and providing appropriate care, you can help your child recover comfortably from this infection.

Roseola is a common viral infection that primarily affects infants and young children. Understanding the symptoms, causes, and management of roseola is crucial for parents and caregivers to ensure the well-being of their children. By recognizing the characteristic symptoms and providing appropriate care, you can help your child recover comfortably from this infection.

Roseola is a common viral infection that primarily affects infants and young children. Understanding the symptoms, causes, and management of roseola is crucial for parents and caregivers to ensure the well-being of their children. By recognizing the characteristic symptoms and providing appropriate care, you can help your child recover comfortably from this infection.

Roseola is a common viral infection that primarily affects infants and young children. Understanding the symptoms, causes, and management of roseola is crucial for parents and caregivers to ensure the well-being of their children. By recognizing the characteristic symptoms and providing appropriate care, you can help your child recover comfortably from this infection.

Roseola is a common viral infection that primarily affects infants and young children. Understanding the symptoms, causes, and management of roseola is crucial for parents and caregivers to ensure the well-being of their children. By recognizing the characteristic symptoms and providing appropriate care, you can help your child recover comfortably from this infection.

Roseola is a common viral infection that primarily affects infants and young children. Understanding the symptoms, causes, and management of roseola is crucial for parents and caregivers to ensure the well-being of their children. By recognizing the characteristic symptoms and providing appropriate care, you can help your child recover comfortably from this infection.

Roseola is a common viral infection that primarily affects infants and young children. Understanding the symptoms, causes, and management of roseola is crucial for parents and caregivers to ensure the well-being of their children. By recognizing the characteristic symptoms and providing appropriate care, you can help your child recover comfortably from this infection.

Roseola is a common viral infection that primarily affects infants and young children. Understanding the symptoms, causes, and management of roseola is crucial for parents and caregivers to ensure the well-being of their children. By recognizing the characteristic symptoms and providing appropriate care, you can help your child recover comfortably from this infection.

Roseola is a common viral infection that primarily affects infants and young children. Understanding the symptoms, causes, and management of roseola is crucial for parents and caregivers to ensure the well-being of their children. By recognizing the characteristic symptoms and providing appropriate care, you can help your child recover comfortably from this infection.

Roseola is a common viral infection that primarily affects infants and young children. Understanding the symptoms, causes, and management of roseola is crucial for parents and caregivers to ensure the well-being of their children. By recognizing the characteristic symptoms and providing appropriate care, you can help your child recover comfortably from this infection.

Roseola is a common viral infection that primarily affects infants and young children. Understanding the symptoms, causes, and management of roseola is crucial for parents and caregivers to ensure the well-being of their children. By recognizing the characteristic symptoms and providing appropriate care, you can help your child recover comfortably from this infection.

Roseola is a common viral infection that primarily affects infants and young children. Understanding the symptoms, causes, and management of roseola is crucial for parents and caregivers to ensure the well-being of their children. By recognizing the characteristic symptoms and providing appropriate care, you can help your child recover comfortably from this infection.

Roseola is a common viral infection that primarily affects infants and young children. Understanding the symptoms, causes, and management of roseola is crucial for parents and caregivers to ensure the well-being of their children. By recognizing the characteristic symptoms and providing appropriate care, you can help your child recover comfortably from this infection.

Roseola is a common viral infection that primarily affects infants and young children. Understanding the symptoms, causes, and management of roseola is crucial for parents and caregivers to ensure the well-being of their children. By recognizing the characteristic symptoms and providing appropriate care, you can help your child recover comfortably from this infection.

Roseola is a common viral infection that primarily affects infants and young children. Understanding the symptoms, causes, and management of roseola is crucial for parents and caregivers to ensure the well-being of their children. By recognizing the characteristic symptoms and providing appropriate care, you can help your child recover comfortably from this infection.

Roseola is a common viral infection that primarily affects infants and young children. Understanding the symptoms, causes, and management of roseola is crucial for parents and caregivers to ensure the well-being of their children. By recognizing the characteristic symptoms and providing appropriate care, you can help your child recover comfortably from this infection.

Roseola is a common viral infection that primarily affects infants and young children. Understanding the symptoms, causes, and management of roseola is crucial for parents and caregivers to ensure the well-being of their children. By recognizing the characteristic symptoms and providing appropriate care, you can help your child recover comfortably from this infection.

Roseola is a common viral infection that primarily affects infants and young children. Understanding the symptoms, causes, and management of roseola is crucial for parents and caregivers to ensure the well-being of their children. By recognizing the characteristic symptoms and providing appropriate care, you can help your child recover comfortably from this infection.

Roseola is a common viral infection that primarily affects infants and young children. Understanding the symptoms, causes, and management of roseola is crucial for parents and caregivers to ensure the well-being of their children. By recognizing the characteristic symptoms and providing appropriate care, you can help your child recover comfortably from this infection.

Roseola is a common viral infection that primarily affects infants and young children. Understanding the symptoms, causes, and management of roseola is crucial for parents and caregivers to ensure the well-being of their children. By recognizing the characteristic symptoms and providing appropriate care, you can help your child recover comfortably from this infection.

Roseola is a common viral infection that primarily affects infants and young children. Understanding the symptoms, causes, and management of roseola is crucial for parents and caregivers to ensure the well-being of their children. By recognizing the characteristic symptoms and providing appropriate care, you can help your child recover comfortably from this infection.

Roseola is a common viral infection that primarily affects infants and young children. Understanding the symptoms, causes, and management of roseola is crucial for parents and caregivers to ensure the well-being of their children. By recognizing the characteristic symptoms and providing appropriate care, you can help your child recover comfortably from this infection.

Roseola is a common viral infection that primarily affects infants and young children. Understanding the symptoms, causes, and management of roseola is crucial for parents and caregivers to ensure the well-being of their children. By recognizing the characteristic symptoms and providing appropriate care, you can help your child recover comfortably from this infection.

Roseola is a common viral infection that primarily affects infants and young children. Understanding the symptoms, causes, and management of roseola is crucial for parents and caregivers to ensure the well-being of their children. By recognizing the characteristic symptoms and providing appropriate care, you can help your child recover comfortably from this infection.

Roseola is a common viral infection that primarily affects infants and young children. Understanding the symptoms, causes, and management of roseola is crucial for parents and caregivers to ensure the well-being of their children. By recognizing the characteristic symptoms and providing appropriate care, you can help your child recover comfortably from this infection.

Roseola is a common viral infection that primarily affects infants and young children. Understanding the symptoms, causes, and management of roseola is crucial for parents and caregivers to ensure the well-being of their children. By recognizing the characteristic symptoms and providing appropriate care, you can help your child recover comfortably from this infection.

Roseola is a common viral infection that primarily affects infants and young children. Understanding the symptoms, causes, and management of roseola is crucial for parents and caregivers to ensure the well-being of their children. By recognizing the characteristic symptoms and providing appropriate care, you can help your child recover comfortably from this infection.

Roseola is a common viral infection that primarily affects infants and young children. Understanding the symptoms, causes, and management of roseola is crucial for parents and caregivers to ensure the well-being of their children. By recognizing the characteristic symptoms and providing appropriate care, you can help your child recover comfortably from this infection.

Roseola is a common viral infection that primarily affects infants and young children. Understanding the symptoms, causes, and management of roseola is crucial for parents and caregivers to ensure the well-being of their children. By recognizing the characteristic symptoms and providing appropriate care, you can help your child recover comfortably from this infection.

Roseola is a common viral infection that primarily affects infants and young children. Understanding the symptoms, causes, and management of roseola is crucial for parents and caregivers to ensure the well-being of their children. By recognizing the characteristic symptoms and providing appropriate care, you can help your child recover comfortably from this infection.

Roseola is a common viral infection that primarily affects infants and young children. Understanding the symptoms, causes, and management of roseola is crucial for parents and caregivers to ensure the well-being of their children. By recognizing the characteristic symptoms and providing appropriate care, you can help your child recover comfortably from this infection.

Roseola is a common viral infection that primarily affects infants and young children. Understanding the symptoms, causes, and management of roseola is crucial for parents and caregivers to ensure the well-being of their children. By recognizing the characteristic symptoms and providing appropriate care, you can help your child recover comfortably from this infection.

Roseola is a common viral infection that primarily affects infants and young children. Understanding the symptoms, causes, and management of roseola is crucial for parents and caregivers to ensure the well-being of their children. By recognizing the characteristic symptoms and providing appropriate care, you can help your child recover comfortably from this infection.

Roseola is a common viral infection that primarily affects infants and young children. Understanding the symptoms, causes, and management of roseola is crucial for parents and caregivers to ensure the well-being of their children. By recognizing the characteristic symptoms and providing appropriate care, you can help your child recover comfortably from this infection.

Roseola is a common viral infection that primarily affects infants and young children. Understanding the symptoms, causes, and management of roseola is crucial for parents and caregivers to ensure the well-being of their children. By recognizing the characteristic symptoms and providing appropriate care, you can help your child recover comfortably from this infection.

Roseola is a common viral infection that primarily affects infants and young children. Understanding the symptoms, causes, and management of roseola is crucial for parents and caregivers to ensure the well-being of their children. By recognizing the characteristic symptoms and providing appropriate care, you can help your child recover comfortably from this infection.

Roseola is a common viral infection that primarily affects infants and young children. Understanding the symptoms, causes, and management of roseola is crucial for parents and caregivers to ensure the well-being of their children. By recognizing the characteristic symptoms and providing appropriate care, you can help your child recover comfortably from this infection.

Roseola is a common viral infection that primarily affects infants and young children. Understanding the symptoms, causes, and management of roseola is

Related Terms:

  • roseola virus in children
  • roseola virus in infants
  • roseola without fever
  • roseola rash on baby
  • roseola rash infants
  • roseola symptoms in infant
Facebook Twitter WhatsApp
Related Posts
Don't Miss