Learning

Pulsus Parvus Et Tardus

Pulsus Parvus Et Tardus
Pulsus Parvus Et Tardus

Understanding the nuances of cardiovascular health is crucial for early detection and effective management of various heart conditions. One of the key indicators that healthcare professionals look for is the Pulsus Parvus Et Tardus, a specific pulse characteristic that can provide valuable insights into the functioning of the heart and blood vessels. This condition is often associated with aortic stenosis, a narrowing of the aortic valve that restricts blood flow from the heart to the rest of the body.

What is Pulsus Parvus Et Tardus?

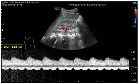
Pulsus Parvus Et Tardus is a Latin term that translates to “small and late pulse.” It describes a pulse that is both weak (parvus) and delayed (tardus). This characteristic pulse is typically felt in the peripheral arteries, such as the radial artery in the wrist. The delayed and weak pulse is a result of the increased resistance to blood flow caused by the narrowed aortic valve. This resistance makes it harder for the heart to pump blood efficiently, leading to a delayed and diminished pulse.

Causes of Pulsus Parvus Et Tardus

The primary cause of Pulsus Parvus Et Tardus is aortic stenosis. Aortic stenosis occurs when the aortic valve, which controls blood flow from the heart to the aorta, becomes narrowed. This narrowing can be due to various factors, including:

  • Calcification of the valve: Over time, calcium deposits can build up on the valve, causing it to stiffen and narrow.
  • Rheumatic fever: This condition can damage the heart valves, leading to stenosis.
  • Congenital heart defects: Some individuals are born with abnormal aortic valves that can become stenotic over time.

Symptoms and Diagnosis

Identifying Pulsus Parvus Et Tardus involves a thorough physical examination and diagnostic tests. Symptoms of aortic stenosis, which may prompt further investigation, include:

  • Chest pain or angina
  • Shortness of breath, especially during physical activity
  • Fatigue
  • Dizziness or fainting
  • Heart palpitations
  • Swelling in the legs or ankles

During a physical examination, a healthcare provider may detect a weak and delayed pulse in the peripheral arteries. Additional diagnostic tests may include:

  • Echocardiogram: This ultrasound test provides detailed images of the heart and can assess the severity of aortic stenosis.
  • Electrocardiogram (ECG): This test records the electrical activity of the heart and can detect abnormalities.
  • Chest X-ray: This imaging test can show the size and shape of the heart and lungs.
  • Cardiac catheterization: This invasive procedure involves inserting a thin tube into the heart to measure pressure and blood flow.

Management and Treatment

The management of Pulsus Parvus Et Tardus and aortic stenosis depends on the severity of the condition and the presence of symptoms. Treatment options include:

  • Medications: Drugs such as beta-blockers, calcium channel blockers, and diuretics may be prescribed to manage symptoms and reduce the workload on the heart.
  • Valve replacement surgery: In severe cases, surgical replacement of the aortic valve may be necessary. This can be done through open-heart surgery or minimally invasive procedures.
  • Transcatheter aortic valve replacement (TAVR): This is a less invasive procedure where a new valve is inserted through a catheter, often used for patients who are not suitable for open-heart surgery.

Lifestyle Changes and Prevention

While Pulsus Parvus Et Tardus and aortic stenosis often require medical intervention, lifestyle changes can also play a role in managing the condition and preventing its progression. Key lifestyle modifications include:

  • Healthy diet: Consuming a balanced diet rich in fruits, vegetables, whole grains, and lean proteins can help maintain overall heart health.
  • Regular exercise: Engaging in regular physical activity can improve cardiovascular fitness and reduce the risk of heart disease.
  • Avoiding tobacco and excessive alcohol: Quitting smoking and limiting alcohol consumption can significantly improve heart health.
  • Managing chronic conditions: Controlling conditions such as high blood pressure, high cholesterol, and diabetes can help prevent the progression of aortic stenosis.

Prognosis and Monitoring

The prognosis for individuals with Pulsus Parvus Et Tardus and aortic stenosis varies depending on the severity of the condition and the effectiveness of treatment. Regular monitoring and follow-up with a healthcare provider are essential to track the progression of the disease and adjust treatment as needed. Key aspects of monitoring include:

  • Regular check-ups: Frequent visits to the cardiologist for physical examinations and diagnostic tests.
  • Medication management: Ensuring that prescribed medications are taken as directed and adjusting doses as needed.
  • Symptom monitoring: Keeping track of any changes in symptoms and reporting them to the healthcare provider.

📝 Note: Early detection and prompt treatment of aortic stenosis can significantly improve the prognosis and quality of life for individuals with Pulsus Parvus Et Tardus. Regular follow-ups and adherence to treatment plans are crucial for managing the condition effectively.

Understanding the Impact on Daily Life

Living with Pulsus Parvus Et Tardus and aortic stenosis can present challenges, but with proper management, many individuals can lead active and fulfilling lives. It is important to understand how the condition affects daily activities and to make necessary adjustments. Key considerations include:

  • Energy conservation: Pacing activities and taking rest breaks can help manage fatigue.
  • Dietary adjustments: Following a heart-healthy diet can support overall cardiovascular health.
  • Exercise modifications: Engaging in low-impact exercises such as walking, swimming, or cycling can improve cardiovascular fitness without straining the heart.
  • Stress management: Techniques such as meditation, deep breathing, and yoga can help reduce stress and improve overall well-being.

Support and Resources

For individuals living with Pulsus Parvus Et Tardus and aortic stenosis, accessing support and resources can be invaluable. Support groups, educational materials, and healthcare professionals can provide guidance and encouragement. Key resources include:

  • Cardiovascular support groups: Joining a support group can provide a sense of community and shared experiences.
  • Educational materials: Books, articles, and online resources can offer valuable information about managing the condition.
  • Healthcare professionals: Regular consultations with cardiologists and other healthcare providers can ensure comprehensive care and support.

In conclusion, Pulsus Parvus Et Tardus is a critical indicator of aortic stenosis, a condition that requires careful management and monitoring. Understanding the causes, symptoms, and treatment options for this condition is essential for early detection and effective management. By adopting a heart-healthy lifestyle, seeking regular medical care, and utilizing available resources, individuals with Pulsus Parvus Et Tardus can improve their quality of life and overall cardiovascular health.

Related Terms:

  • tardus parvus waveform ultrasound image
  • pulsus parvus et tardus waveform
  • tardus parvus waveform ultrasound carotid
  • tardus parvus ultrasound
  • pulsus parvus and tardus
  • what is tardus parvus waveform
Facebook Twitter WhatsApp
Related Posts
Don't Miss