Learning

Pulmonary Vascular Congestion

Pulmonary Vascular Congestion
Pulmonary Vascular Congestion

Pulmonary vascular congestion is a critical medical condition that affects the blood vessels in the lungs, leading to a buildup of fluid and impaired gas exchange. This condition can arise from various underlying issues, including heart failure, pulmonary hypertension, and other cardiovascular diseases. Understanding the causes, symptoms, diagnosis, and treatment options for pulmonary vascular congestion is essential for effective management and improved patient outcomes.

Understanding Pulmonary Vascular Congestion

Pulmonary vascular congestion occurs when the blood vessels in the lungs become congested, leading to a reduction in the lungs' ability to oxygenate the blood. This condition can be acute or chronic, depending on the underlying cause and the duration of symptoms. Acute pulmonary vascular congestion often results from sudden events such as a heart attack or severe pneumonia, while chronic congestion is typically associated with long-term conditions like heart failure or pulmonary hypertension.

Causes of Pulmonary Vascular Congestion

Several factors can contribute to pulmonary vascular congestion. Some of the most common causes include:

  • Heart Failure: When the heart is unable to pump blood efficiently, it can lead to a backup of blood in the pulmonary vessels, causing congestion.
  • Pulmonary Hypertension: High blood pressure in the pulmonary arteries can strain the vessels, leading to congestion and reduced blood flow.
  • Chronic Obstructive Pulmonary Disease (COPD): Conditions like emphysema and chronic bronchitis can damage the lung tissue and blood vessels, contributing to congestion.
  • Pneumonia: Infections in the lungs can cause inflammation and fluid buildup, leading to pulmonary vascular congestion.
  • Pulmonary Embolism: A blood clot in the pulmonary arteries can obstruct blood flow, causing congestion and potentially life-threatening complications.

Symptoms of Pulmonary Vascular Congestion

The symptoms of pulmonary vascular congestion can vary depending on the severity and underlying cause. Common symptoms include:

  • Shortness of Breath: Difficulty breathing, especially during physical activity, is a hallmark symptom.
  • Cough: A persistent cough, sometimes productive of sputum, can indicate congestion.
  • Fatigue: Feelings of extreme tiredness and weakness are common.
  • Chest Pain: Discomfort or pain in the chest area can occur, especially with exertion.
  • Swelling: Fluid retention in the legs, ankles, or abdomen may be present.
  • Rapid Heartbeat: An increased heart rate can be a sign of the body's attempt to compensate for reduced oxygenation.

Diagnosing Pulmonary Vascular Congestion

Diagnosing pulmonary vascular congestion involves a combination of medical history, physical examination, and diagnostic tests. Key diagnostic steps include:

  • Medical History and Physical Examination: The healthcare provider will assess symptoms, medical history, and perform a physical exam to check for signs of congestion, such as abnormal lung sounds or swelling.
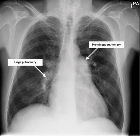
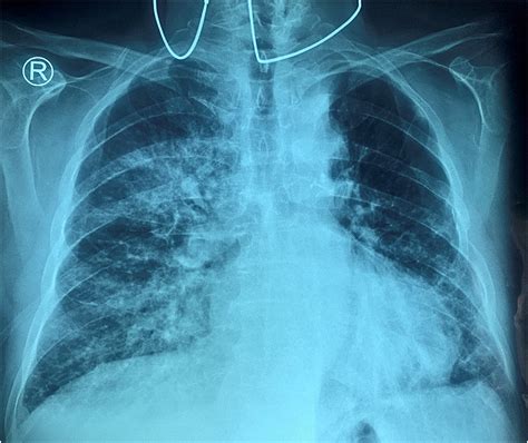
  • Chest X-ray: This imaging test can reveal fluid buildup in the lungs and other abnormalities.
  • Echocardiogram: An ultrasound of the heart can evaluate heart function and detect any structural issues contributing to congestion.
  • Pulmonary Function Tests: These tests measure lung capacity and airflow, helping to assess the severity of congestion.
  • Blood Tests: Laboratory tests can check for markers of infection, inflammation, and other underlying conditions.
  • CT Scan or MRI: Advanced imaging techniques can provide detailed views of the lungs and blood vessels, aiding in diagnosis.

Treatment Options for Pulmonary Vascular Congestion

Treatment for pulmonary vascular congestion focuses on addressing the underlying cause and managing symptoms. Common treatment approaches include:

  • Medications: Diuretics to reduce fluid buildup, vasodilators to improve blood flow, and oxygen therapy to enhance oxygenation.
  • Lifestyle Changes: Quitting smoking, maintaining a healthy weight, and engaging in regular exercise can improve overall lung health.
  • Oxygen Therapy: Supplemental oxygen can help alleviate symptoms and improve quality of life.
  • Pulmonary Rehabilitation: A structured program of exercise, education, and support to enhance lung function and reduce symptoms.
  • Surgery: In severe cases, surgical interventions such as lung transplantation or pulmonary thromboendarterectomy may be considered.

Managing Pulmonary Vascular Congestion

Effective management of pulmonary vascular congestion requires a multidisciplinary approach involving healthcare providers, patients, and their families. Key strategies for managing this condition include:

  • Regular Monitoring: Frequent check-ups and diagnostic tests to monitor lung function and adjust treatment as needed.
  • Medication Adherence: Taking prescribed medications as directed to control symptoms and prevent complications.
  • Lifestyle Modifications: Adopting healthy habits such as a balanced diet, regular exercise, and avoiding triggers like smoking and pollution.
  • Education and Support: Learning about the condition and seeking support from healthcare providers, support groups, and family members.

📝 Note: It is crucial to work closely with healthcare providers to develop a personalized management plan tailored to individual needs and circumstances.

Preventing Pulmonary Vascular Congestion

While not all cases of pulmonary vascular congestion can be prevented, certain measures can reduce the risk of developing this condition. Preventive strategies include:

  • Regular Check-ups: Routine medical examinations to detect and manage underlying conditions early.
  • Healthy Lifestyle: Maintaining a healthy weight, exercising regularly, and avoiding smoking.
  • Vaccinations: Getting vaccinated against respiratory infections like pneumonia and influenza.
  • Managing Chronic Conditions: Effectively managing conditions like heart disease, diabetes, and COPD to prevent complications.

Living with Pulmonary Vascular Congestion

Living with pulmonary vascular congestion can be challenging, but with the right support and management strategies, individuals can improve their quality of life. Key aspects of living with this condition include:

  • Symptom Management: Using medications and therapies to control symptoms and enhance daily functioning.
  • Emotional Support: Seeking support from family, friends, and support groups to cope with the emotional impact of the condition.
  • Education: Learning about the condition and its management to make informed decisions about care.
  • Adaptation: Making necessary adjustments to daily activities and routines to accommodate the condition.

Pulmonary vascular congestion is a complex condition that requires comprehensive management and support. By understanding the causes, symptoms, diagnosis, and treatment options, individuals can take proactive steps to manage their condition effectively. Regular monitoring, adherence to treatment plans, and a healthy lifestyle are essential for improving outcomes and enhancing quality of life. With the right approach, individuals with pulmonary vascular congestion can lead fulfilling lives despite the challenges posed by this condition.

Related Terms:

  • pulmonary vascular congestion cxr
  • pulmonary vascular congestion treatment
  • pulmonary vascular congestion xray
  • pulmonary vascular congestion causes
  • what is pulmonary vascular disease
Facebook Twitter WhatsApp
Related Posts
Don't Miss