Learning

Pseudo Jones Fracture

Pseudo Jones Fracture
Pseudo Jones Fracture

Understanding the complexities of foot and ankle injuries is crucial for both medical professionals and athletes. One such injury that often goes unnoticed but can have significant implications is the Pseudo Jones Fracture. This condition, though less common than other foot injuries, requires careful diagnosis and treatment to ensure proper healing and prevent long-term complications.

What is a Pseudo Jones Fracture?

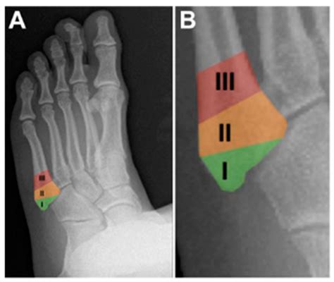
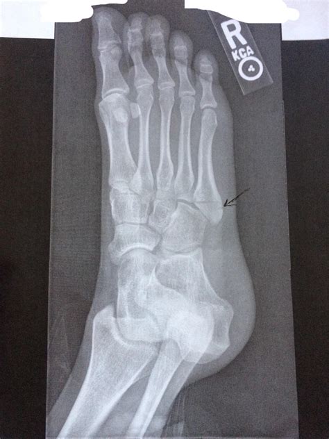
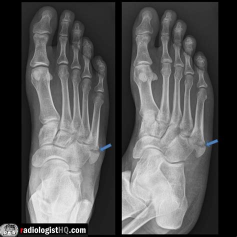
A Pseudo Jones Fracture is a specific type of fracture that occurs in the fifth metatarsal bone of the foot. This bone is located on the outer side of the foot and connects to the little toe. The term "Pseudo Jones" distinguishes it from a true Jones fracture, which occurs at the base of the fifth metatarsal. A Pseudo Jones Fracture typically involves a fracture at the proximal diaphysis of the fifth metatarsal, just distal to the tuberosity.

Causes and Risk Factors

The primary cause of a Pseudo Jones Fracture is usually a sudden, forceful impact on the foot, often resulting from activities that involve twisting or rolling the ankle. Common scenarios include:

  • Sports injuries, particularly in sports like basketball, soccer, and running.
  • Falls or accidents that involve landing awkwardly on the foot.
  • Overuse injuries, where repetitive stress on the foot leads to a fracture.

Certain risk factors can increase the likelihood of sustaining a Pseudo Jones Fracture, including:

  • Previous foot or ankle injuries.
  • Poor footwear that lacks proper support.
  • High-impact activities without adequate conditioning.
  • Underlying bone conditions, such as osteoporosis.

Symptoms and Diagnosis

Recognizing the symptoms of a Pseudo Jones Fracture is the first step in seeking appropriate treatment. Common symptoms include:

  • Pain and tenderness on the outer side of the foot.
  • Swelling and bruising around the affected area.
  • Difficulty bearing weight on the foot.
  • Limited range of motion in the foot and ankle.

Diagnosing a Pseudo Jones Fracture typically involves a combination of physical examination and imaging tests. A healthcare provider will:

  • Conduct a thorough physical examination to assess the extent of the injury.
  • Order X-rays to visualize the fracture and determine its location and severity.
  • In some cases, additional imaging tests such as MRI or CT scans may be recommended for a more detailed assessment.

Treatment Options

The treatment for a Pseudo Jones Fracture depends on the severity of the injury and the individual's overall health. Common treatment options include:

Non-Surgical Treatment

For less severe fractures, non-surgical treatment may be sufficient. This typically involves:

  • Rest, Ice, Compression, and Elevation (RICE) to reduce pain and swelling.
  • Immobilization with a cast, boot, or brace to prevent movement and promote healing.
  • Pain management with over-the-counter or prescription medications.
  • Physical therapy to regain strength and flexibility once the fracture has healed.

Surgical Treatment

In more severe cases, surgery may be necessary to ensure proper healing and alignment. Surgical options include:

  • Open reduction and internal fixation (ORIF), where the fracture is realigned and secured with screws or plates.
  • Bone grafting, which may be required if the fracture is complex or involves a significant bone loss.

After surgery, a period of immobilization and rehabilitation is typically required to ensure proper healing and restore function.

Recovery and Rehabilitation

The recovery process for a Pseudo Jones Fracture can vary depending on the severity of the injury and the chosen treatment method. Generally, the recovery timeline includes:

  • Initial healing phase, which may take 6-8 weeks for non-surgical treatment or longer for surgical cases.
  • Gradual return to weight-bearing activities, guided by a healthcare provider or physical therapist.
  • Physical therapy to regain strength, flexibility, and range of motion.
  • Gradual return to sports or high-impact activities, typically after 3-6 months.

It is essential to follow the rehabilitation plan closely to ensure a full recovery and prevent future injuries.

📝 Note: Recovery times can vary, and it is crucial to consult with a healthcare provider for personalized advice.

Prevention Strategies

Preventing a Pseudo Jones Fracture involves taking proactive measures to protect the foot and ankle. Key prevention strategies include:

  • Wearing appropriate footwear with good support and cushioning.
  • Gradually increasing the intensity and duration of physical activities.
  • Strengthening the muscles and ligaments in the foot and ankle through regular exercise.
  • Maintaining a healthy lifestyle to promote bone health, including adequate calcium and vitamin D intake.

By incorporating these strategies into daily routines, individuals can significantly reduce their risk of sustaining a Pseudo Jones Fracture.

In addition to these general prevention strategies, athletes and individuals involved in high-impact activities should consider the following:

  • Using protective gear, such as ankle braces or taping, during sports or physical activities.
  • Regularly inspecting and maintaining sports equipment to ensure safety.
  • Seeking prompt medical attention for any foot or ankle injuries to prevent complications.

Comparing Pseudo Jones Fracture with Other Foot Injuries

Understanding how a Pseudo Jones Fracture differs from other foot injuries can help in accurate diagnosis and treatment. Here is a comparison with some common foot injuries:

Injury Type Location Common Causes Treatment Options
Pseudo Jones Fracture Proximal diaphysis of the fifth metatarsal Sudden impact, twisting, or rolling the ankle Non-surgical (RICE, immobilization), Surgical (ORIF, bone grafting)
Jones Fracture Base of the fifth metatarsal Sudden impact, twisting, or rolling the ankle Non-surgical (RICE, immobilization), Surgical (ORIF, bone grafting)
Lisfranc Injury Midfoot, involving the tarsometatarsal joints High-impact trauma, twisting injuries Non-surgical (RICE, immobilization), Surgical (ORIF, arthrodesis)
Stress Fracture Various bones in the foot Repetitive stress, overuse Non-surgical (RICE, immobilization, activity modification)

Each of these injuries requires a tailored approach to diagnosis and treatment. Accurate identification of the injury type is crucial for effective management.

📝 Note: Always consult with a healthcare provider for a proper diagnosis and treatment plan.

In conclusion, a Pseudo Jones Fracture is a specific type of foot injury that requires careful diagnosis and treatment. Understanding the causes, symptoms, and treatment options can help individuals seek appropriate care and prevent long-term complications. By following prevention strategies and seeking prompt medical attention, individuals can minimize their risk of sustaining this injury and ensure a full recovery if it occurs.

Related Terms:

  • pseudojones fracture wikem
  • jones fracture versus avulsion
  • jones vs pseudo radiology
  • jones versus pseudo fracture
  • pseudojones fracture orthobullets
  • pseudo jones fracture x ray
Facebook Twitter WhatsApp
Related Posts
Don't Miss