Learning

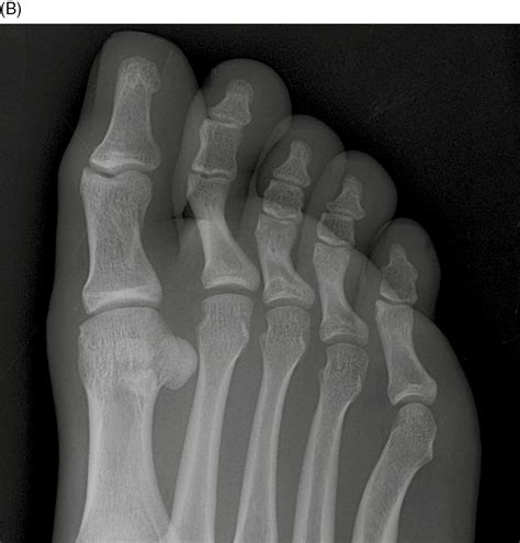
Proximal Phalanx Fracture

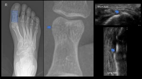
Proximal Phalanx Fracture
Proximal Phalanx Fracture

Injuries to the hand can be debilitating, affecting daily activities and quality of life. One of the most common hand injuries is a Proximal Phalanx Fracture, which occurs when the bone closest to the knuckle in the finger breaks. This type of fracture can result from various causes, including trauma, sports injuries, or even simple accidents. Understanding the causes, symptoms, diagnosis, and treatment options for a Proximal Phalanx Fracture is crucial for effective management and recovery.

Understanding the Proximal Phalanx

The proximal phalanx is the first bone in the finger, located between the metacarpal bone (the bone in the palm) and the middle phalanx (the bone in the middle of the finger). This bone plays a critical role in the movement and stability of the finger. A fracture in this area can significantly impact hand function and mobility.

Causes of Proximal Phalanx Fracture

A Proximal Phalanx Fracture can occur due to several reasons:

  • Trauma: Direct impact or blunt force to the finger, such as from a fall or a heavy object.
  • Sports Injuries: Common in contact sports like basketball, football, or martial arts where fingers are at risk of being jammed or crushed.
  • Accidents: Everyday accidents, such as slamming a finger in a door or crushing it with a tool.
  • Overuse: Repetitive stress or overuse can sometimes lead to stress fractures in the proximal phalanx.

Symptoms of Proximal Phalanx Fracture

Recognizing the symptoms of a Proximal Phalanx Fracture is essential for prompt treatment. Common symptoms include:

  • Pain: Severe pain in the affected finger, especially when moving it.
  • Swelling: Noticeable swelling around the injured area.
  • Deformity: The finger may appear bent or misshapen.
  • Bruising: Discoloration around the injured finger.
  • Limited Mobility: Difficulty moving the finger or reduced range of motion.
  • Tenderness: Increased sensitivity to touch or pressure.

Diagnosing a Proximal Phalanx Fracture

Diagnosing a Proximal Phalanx Fracture typically involves a combination of physical examination and imaging tests. The diagnostic process may include:

  • Physical Examination: A healthcare provider will examine the injured finger, checking for swelling, deformity, and tenderness.
  • X-rays: Imaging tests to visualize the bone and determine the extent and location of the fracture.
  • CT Scans or MRIs: In some cases, more detailed imaging may be required to assess the fracture and surrounding tissues.

Treatment Options for Proximal Phalanx Fracture

The treatment for a Proximal Phalanx Fracture depends on the severity and type of fracture. Common treatment options include:

Non-Surgical Treatment

For less severe fractures, non-surgical treatment may be sufficient. This can include:

  • Immobilization: Using a splint or cast to keep the finger straight and prevent movement.
  • Pain Management: Over-the-counter pain relievers or prescription medications to manage pain and inflammation.
  • Ice Therapy: Applying ice to the injured area to reduce swelling.
  • Elevation: Keeping the hand elevated to minimize swelling.

Surgical Treatment

In more severe cases, surgery may be necessary. Surgical options can include:

  • Open Reduction and Internal Fixation (ORIF): A procedure where the bone fragments are realigned and held in place with screws, plates, or wires.
  • K-Wire Fixation: Using thin wires to hold the bone fragments together.
  • External Fixation: A device that stabilizes the bone from outside the body.

📝 Note: The choice of treatment depends on the specific type and severity of the fracture, as well as the patient's overall health and lifestyle.

Recovery and Rehabilitation

Recovery from a Proximal Phalanx Fracture involves a combination of rest, immobilization, and rehabilitation. The recovery process typically includes:

  • Immobilization Period: Wearing a splint or cast for several weeks to allow the bone to heal.
  • Physical Therapy: Exercises to regain strength, flexibility, and range of motion in the finger.
  • Follow-Up Visits: Regular check-ups with a healthcare provider to monitor progress and adjust the treatment plan as needed.

Complications and Risks

While most Proximal Phalanx Fractures heal without complications, there are potential risks and complications to be aware of:

  • Non-Union: The bone fragments do not heal properly, leading to a non-union.
  • Malunion: The bone heals in a misaligned position, affecting finger function.
  • Infection: Risk of infection, especially if surgery is involved.
  • Stiffness: Reduced range of motion and stiffness in the finger.
  • Arthritis: Development of arthritis in the affected joint.

Preventing Proximal Phalanx Fractures

While not all Proximal Phalanx Fractures can be prevented, there are steps you can take to reduce the risk:

  • Wear Protective Gear: Use gloves and other protective equipment during sports or activities that pose a risk to the hands.
  • Avoid High-Risk Activities: Be cautious during activities that could lead to finger injuries.
  • Strengthen Hand Muscles: Regular hand exercises can improve strength and stability, reducing the risk of fractures.

Proximal Phalanx Fractures are a common but manageable injury. With prompt diagnosis and appropriate treatment, most patients can expect a full recovery and return to normal hand function. Understanding the causes, symptoms, and treatment options for this type of fracture is essential for effective management and prevention.

In summary, a Proximal Phalanx Fracture is a significant injury that requires careful attention and treatment. By recognizing the symptoms, seeking prompt medical care, and following the recommended treatment plan, individuals can minimize complications and achieve a successful recovery. Whether through non-surgical methods or surgical intervention, the goal is to restore hand function and mobility, allowing patients to return to their daily activities with confidence.

Related Terms:

  • proximal phalanx fracture thumb
  • proximal phalanx fracture toe
  • proximal phalanx fracture management
  • proximal phalanx fracture icd 10
  • distal phalanx fracture
  • proximal phalanx fracture orthobullets
Facebook Twitter WhatsApp
Related Posts
Don't Miss