Learning

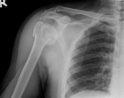
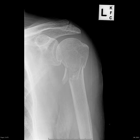
Proximal Humerus Fracture

Proximal Humerus Fracture
Proximal Humerus Fracture

Proximal humerus fractures are a common type of injury, particularly among older adults, and can significantly impact daily activities and quality of life. Understanding the causes, symptoms, diagnosis, and treatment options for a proximal humerus fracture is crucial for effective management and recovery. This blog post aims to provide a comprehensive overview of proximal humerus fractures, helping readers gain a deeper understanding of this condition.

Understanding Proximal Humerus Fractures

A proximal humerus fracture occurs at the top of the humerus, the long bone in the upper arm. This type of fracture is often the result of a fall onto an outstretched hand or a direct blow to the shoulder. The proximal humerus is composed of several parts, including the head, greater tuberosity, lesser tuberosity, and the surgical neck. Fractures can occur in any of these areas, and the severity can vary from minor cracks to complete breaks.

Causes of Proximal Humerus Fractures

Proximal humerus fractures can result from various causes, but the most common include:

  • Falls: Especially in older adults, falls are a leading cause of proximal humerus fractures. Osteoporosis, a condition that weakens bones, increases the risk of fractures from falls.
  • Trauma: Direct impact to the shoulder, such as from a car accident or sports injury, can cause a proximal humerus fracture.
  • Overuse: Repetitive stress or overuse, particularly in athletes or individuals involved in manual labor, can lead to stress fractures in the proximal humerus.

Symptoms of Proximal Humerus Fractures

Recognizing the symptoms of a proximal humerus fracture is essential for prompt medical attention. Common symptoms include:

  • Pain: Severe pain in the shoulder and upper arm, which may worsen with movement.
  • Swelling: Rapid swelling and bruising around the shoulder area.
  • Deformity: Visible deformity or a bump on the shoulder.
  • Limited Range of Motion: Difficulty moving the arm or shoulder.
  • Numbness or Tingling: In some cases, numbness or tingling in the arm or hand.

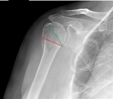
Diagnosing Proximal Humerus Fractures

Diagnosing a proximal humerus fracture involves a combination of physical examination and imaging tests. The diagnostic process typically includes:

  • Medical History: The healthcare provider will ask about the injury, symptoms, and any underlying medical conditions.
  • Physical Examination: A thorough examination of the shoulder and arm to assess pain, swelling, and range of motion.
  • Imaging Tests: X-rays are the primary imaging tool used to diagnose proximal humerus fractures. In some cases, additional tests such as CT scans or MRIs may be ordered to provide more detailed images.

Classification of Proximal Humerus Fractures

Proximal humerus fractures are classified based on the location and pattern of the fracture. The most common classification systems include:

  • Neer Classification: This system categorizes fractures based on the number of parts involved (one, two, three, or four parts).
  • AO/OTA Classification: This system uses a more detailed coding system to describe the fracture pattern and severity.

Understanding the classification of the fracture helps healthcare providers determine the appropriate treatment plan.

Treatment Options for Proximal Humerus Fractures

The treatment of a proximal humerus fracture depends on the severity of the fracture, the patient's age, overall health, and activity level. Treatment options range from non-surgical to surgical interventions.

Non-Surgical Treatment

For less severe fractures, non-surgical treatment may be sufficient. This typically includes:

  • Immobilization: Using a sling or shoulder immobilizer to keep the arm in a stable position and reduce pain.
  • Pain Management: Medications such as nonsteroidal anti-inflammatory drugs (NSAIDs) or stronger pain relievers to manage discomfort.
  • Physical Therapy: Exercises to improve range of motion, strength, and flexibility as the fracture heals.

📝 Note: Non-surgical treatment is often recommended for older adults or those with medical conditions that make surgery risky.

Surgical Treatment

For more severe fractures, surgery may be necessary to realign the bone and promote healing. Surgical options include:

  • Open Reduction and Internal Fixation (ORIF): A procedure where the fracture is surgically realigned and stabilized using plates, screws, or pins.
  • Hemiarthroplasty: Replacement of the humeral head with a prosthetic component, often used in older adults with severe fractures.
  • Reverse Total Shoulder Arthroplasty: A more complex procedure where both the humeral head and the glenoid (socket) are replaced, providing better stability and function.

📝 Note: Surgical treatment is typically recommended for younger, active individuals or those with complex fractures that do not heal well with non-surgical methods.

Recovery and Rehabilitation

Recovery from a proximal humerus fracture can take several months, depending on the severity of the injury and the type of treatment. Rehabilitation is a crucial part of the recovery process and typically includes:

  • Immobilization: Initially, the arm may need to be kept in a sling or immobilizer to allow the fracture to heal.
  • Pain Management: Continued use of medications to manage pain and inflammation.
  • Physical Therapy: A structured program of exercises to restore range of motion, strength, and function. This may include passive and active range of motion exercises, strengthening exercises, and functional training.

Regular follow-up appointments with the healthcare provider are essential to monitor progress and adjust the treatment plan as needed.

Complications of Proximal Humerus Fractures

While most proximal humerus fractures heal well with appropriate treatment, complications can occur. Potential complications include:

  • Nonunion or Malunion: The fracture does not heal properly, leading to persistent pain and limited function.
  • Stiffness: Limited range of motion in the shoulder, which can affect daily activities.
  • Nerve or Blood Vessel Injury: Damage to nerves or blood vessels in the shoulder area, which can cause numbness, tingling, or weakness.
  • Arthritis: Development of shoulder arthritis, which can cause chronic pain and stiffness.

Early recognition and treatment of complications can help improve outcomes and reduce long-term disability.

Prevention of Proximal Humerus Fractures

While not all proximal humerus fractures can be prevented, there are steps individuals can take to reduce their risk. These include:

  • Fall Prevention: Implementing fall prevention strategies, such as removing tripping hazards, using assistive devices, and participating in balance and strength training programs.
  • Bone Health: Maintaining good bone health through a balanced diet rich in calcium and vitamin D, regular weight-bearing exercise, and avoiding smoking and excessive alcohol consumption.
  • Safety Measures: Wearing protective gear during sports or high-risk activities and using seatbelts in vehicles.

By taking proactive measures, individuals can reduce their risk of sustaining a proximal humerus fracture and other related injuries.

Proximal Humerus Fracture in Different Age Groups

Proximal humerus fractures can affect individuals of all ages, but the incidence and management can vary significantly between different age groups.

Children and Adolescents

In children and adolescents, proximal humerus fractures are relatively rare but can occur due to high-energy trauma, such as falls from significant heights or sports injuries. These fractures often involve the growth plate (physis) and require careful management to prevent long-term complications.

Adults

In adults, proximal humerus fractures are more common and often result from falls or direct trauma. Treatment options vary based on the severity of the fracture and the patient's overall health. Non-surgical treatment is often sufficient for less severe fractures, while surgical intervention may be necessary for more complex injuries.

Older Adults

Older adults are at a higher risk of proximal humerus fractures due to osteoporosis and increased fall risk. These fractures can be more challenging to manage due to underlying health conditions and reduced bone quality. Non-surgical treatment is often preferred for older adults, but surgical options may be considered in cases of severe fractures or when non-surgical methods are ineffective.

Special Considerations for Proximal Humerus Fractures

Certain factors can influence the management and outcomes of proximal humerus fractures. These include:

  • Osteoporosis: Individuals with osteoporosis are at a higher risk of fractures and may require additional interventions to promote healing and prevent future fractures.
  • Comorbidities: Underlying medical conditions, such as diabetes or cardiovascular disease, can affect healing and recovery. These conditions need to be managed carefully to optimize outcomes.
  • Activity Level: The patient's activity level and functional demands play a crucial role in determining the appropriate treatment plan. Active individuals may require more aggressive treatment to restore function and return to their previous activities.

Addressing these special considerations can help improve the overall management and outcomes of proximal humerus fractures.

Case Studies and Real-Life Examples

To better understand the impact of proximal humerus fractures, let's explore a few real-life examples:

Case Study 1: Mrs. Smith, 75 Years Old

Mrs. Smith, a 75-year-old woman, fell while walking her dog and sustained a proximal humerus fracture. She was diagnosed with osteoporosis and had a history of hypertension. Her fracture was classified as a two-part fracture, and she was treated non-surgically with a sling and pain management. Physical therapy was initiated after four weeks, and she made a full recovery within six months.

Case Study 2: Mr. Johnson, 45 Years Old

Mr. Johnson, a 45-year-old construction worker, fell from a ladder and sustained a complex proximal humerus fracture. He underwent open reduction and internal fixation (ORIF) to realign the bone and stabilize the fracture. Post-operative physical therapy was crucial for his recovery, and he returned to work within three months.

Case Study 3: Ms. Lee, 30 Years Old

Ms. Lee, a 30-year-old athlete, sustained a proximal humerus fracture during a skiing accident. Her fracture was classified as a three-part fracture, and she underwent reverse total shoulder arthroplasty. She underwent intensive physical therapy and made a full recovery, returning to her athletic activities within a year.

These case studies illustrate the diverse nature of proximal humerus fractures and the importance of individualized treatment plans.

Future Directions in Proximal Humerus Fracture Management

Advances in medical technology and research continue to improve the management of proximal humerus fractures. Future directions in this field include:

  • Minimally Invasive Techniques: Developing less invasive surgical techniques to reduce recovery time and improve outcomes.
  • Biological Enhancements: Using biological agents, such as growth factors or stem cells, to promote bone healing and reduce complications.
  • Personalized Medicine: Tailoring treatment plans based on individual patient characteristics, including genetic factors and lifestyle.

These advancements hold promise for improving the management and outcomes of proximal humerus fractures in the future.

Proximal humerus fractures are a significant health concern, particularly among older adults. Understanding the causes, symptoms, diagnosis, and treatment options is essential for effective management and recovery. By taking proactive measures to prevent fractures and seeking prompt medical attention when necessary, individuals can improve their outcomes and maintain a high quality of life.

Related Terms:

  • proximal humerus fracture cpt code
  • proximal humerus fracture rehab protocol
  • proximal humerus fracture radiology
  • proximal humerus
  • supracondylar humerus fracture
  • distal humerus fracture
Facebook Twitter WhatsApp
Related Posts
Don't Miss