Learning

Pouch Of Morison

Pouch Of Morison
Pouch Of Morison

Embarking on a journey to understand the intricacies of the human body often leads us to fascinating anatomical structures, each with its unique role and significance. One such structure is the Pouch of Morison, a critical component of the abdominal cavity that plays a pivotal role in various medical conditions and diagnostic procedures. This blog post delves into the anatomy, clinical significance, and diagnostic relevance of the Pouch of Morison, providing a comprehensive overview for medical professionals and enthusiasts alike.

Anatomy of the Pouch of Morison

The Pouch of Morison, also known as the hepatorenal recess, is a potential space within the peritoneal cavity. It is located between the liver and the right kidney, extending from the bare area of the liver to the right suprarenal gland. This space is bounded by several important structures:

  • The liver superiorly
  • The right kidney inferiorly
  • The right suprarenal gland medially
  • The right triangular ligament laterally

Understanding the anatomy of the Pouch of Morison is crucial for diagnosing and managing various abdominal conditions. The pouch is a common site for fluid accumulation, which can be indicative of several pathological processes.

Clinical Significance of the Pouch of Morison

The Pouch of Morison is clinically significant for several reasons. Its location and anatomical features make it a common site for the accumulation of fluid, which can be indicative of various medical conditions. Some of the key clinical significances include:

  • Ascites: The pouch is a frequent site for the accumulation of ascitic fluid in conditions such as liver cirrhosis, heart failure, and malignant ascites.
  • Infection: Infections such as peritonitis can lead to fluid accumulation in the Pouch of Morison, which can be diagnosed through imaging studies.
  • Trauma: Blunt abdominal trauma can result in hemoperitoneum, where blood accumulates in the peritoneal cavity, including the Pouch of Morison.
  • Malignant Conditions: Certain malignancies, such as hepatocellular carcinoma and renal cell carcinoma, can metastasize to the Pouch of Morison, leading to fluid accumulation.

Recognizing the clinical significance of the Pouch of Morison is essential for accurate diagnosis and effective management of these conditions.

Diagnostic Relevance of the Pouch of Morison

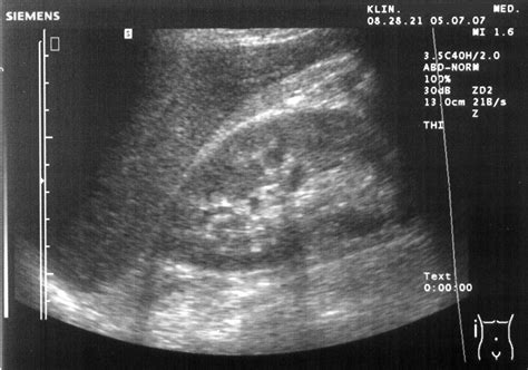
The Pouch of Morison is a critical area for diagnostic imaging, particularly in ultrasound and computed tomography (CT) scans. These imaging modalities are commonly used to detect fluid accumulation in the pouch, which can provide valuable information about the underlying condition.

Ultrasound of the abdomen showing the Pouch of Morison

Ultrasound: Ultrasound is a non-invasive and readily available imaging technique that can detect fluid in the Pouch of Morison. The presence of fluid in this area can be visualized as an anechoic (black) space between the liver and the right kidney.

Computed Tomography (CT): CT scans provide detailed cross-sectional images of the abdomen, allowing for a more comprehensive evaluation of the Pouch of Morison. Fluid accumulation in the pouch can be seen as a hypodense (dark) area on CT images.

Magnetic Resonance Imaging (MRI): MRI offers high-resolution images of soft tissues and can be used to evaluate the Pouch of Morison, particularly in cases where ultrasound or CT findings are inconclusive.

Paracentesis: In some cases, paracentesis may be performed to drain fluid from the Pouch of Morison for diagnostic purposes. This procedure involves inserting a needle into the peritoneal cavity to aspirate fluid, which can then be analyzed for various markers of disease.

๐Ÿ“ Note: Paracentesis should be performed by trained medical professionals to minimize the risk of complications.

Differential Diagnosis of Fluid in the Pouch of Morison

Fluid accumulation in the Pouch of Morison can be indicative of various conditions. A differential diagnosis should consider the following possibilities:

Condition Clinical Features Diagnostic Tests
Liver Cirrhosis Ascites, jaundice, hepatic encephalopathy Liver function tests, ultrasound, CT scan
Heart Failure Dyspnea, peripheral edema, jugular venous distention Echocardiogram, chest X-ray, BNP levels
Malignant Ascites Abdominal distention, weight loss, cachexia CT scan, MRI, paracentesis with cytology
Peritonitis Abdominal pain, fever, rebound tenderness Blood cultures, abdominal CT scan, paracentesis
Blunt Abdominal Trauma Abdominal pain, tenderness, guarding CT scan, ultrasound, diagnostic peritoneal lavage

Accurate diagnosis requires a thorough clinical evaluation, imaging studies, and laboratory tests to determine the underlying cause of fluid accumulation in the Pouch of Morison.

Management of Conditions Associated with the Pouch of Morison

Management of conditions associated with fluid accumulation in the Pouch of Morison depends on the underlying cause. Treatment strategies may include:

  • Medical Management: For conditions such as liver cirrhosis and heart failure, medical management may involve diuretics, dietary modifications, and lifestyle changes.
  • Surgical Intervention: In cases of malignant ascites or traumatic hemoperitoneum, surgical intervention may be necessary to drain the fluid and address the underlying cause.
  • Paracentesis: For symptomatic relief, paracentesis can be performed to drain fluid from the Pouch of Morison, reducing abdominal discomfort and improving respiratory function.
  • Antibiotic Therapy: In cases of peritonitis, antibiotic therapy is essential to treat the underlying infection and prevent complications.

Effective management requires a multidisciplinary approach, involving gastroenterologists, radiologists, surgeons, and other healthcare professionals.

Paracentesis procedure

๐Ÿ“ Note: Management strategies should be tailored to the individual patient's needs and the underlying condition.

Understanding the anatomy, clinical significance, and diagnostic relevance of the Pouch of Morison is crucial for medical professionals. This knowledge enables accurate diagnosis and effective management of various abdominal conditions, ultimately improving patient outcomes.

Related Terms:

  • morison pouch radiology
  • morrison pouch anatomy
  • morison pouch meaning
  • morison pouch fluid
  • where is morrison's pouch located
  • hepatorenal recess
Facebook Twitter WhatsApp
Related Posts
Don't Miss